خلية جسم غريب عملاقة
خلية الجسم الغريب العملاقة (بالإنجليزية: Foreign-body giant cell) هي تجمع من اندماج عدد من الخلايا الأكولة الكبيرة (خلية عملاقة) والتي تتكون استجابة لوجود جسم غريب كبير. هذا دليل على أن الأجسام الغريبة الداخلة في الجسم تتسبب التهاب مزمن واستجابة للجسم الغريب.[1] التفاعل تجاه هذا الجسم قد يتسبب بتضرر في المنطقة المصابة بالعدوى وأثرا خراجيا على شكل ندبة.[2]
.jpg.webp)
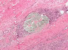
صورة مجهرية نسيجية لشخص مسن يشكو ذات الرئة الشفطي ووهن عصبي. لاحظ تفاعل خلية الجسم الغريب العملاقة.

تفاعل خلية جسم غريب عملاقة مع مادة ما.
النوى تظهر بشكل غير منتظم،[3] حيث توجد النوى في الوسط وتتراكم فوق بعضها،[4] بخلاف خلية لانغهانز العملاقة التي تتوزع فيها النوى على الأطراف.
المصادر
- Foreign Body Giant Cell في المَكتبة الوَطنية الأمريكية للطب نظام فهرسة المواضيع الطبية (MeSH).
- Mcnally, Amy. "Giant Cell Formation". مؤرشف من الأصل في 11 يناير 2020. اطلع عليه بتاريخ 21 مايو 2013. الوسيط
|CitationClass=تم تجاهله (مساعدة) - "Inflammation". مؤرشف من الأصل في 1 سبتمبر 2017. الوسيط
|CitationClass=تم تجاهله (مساعدة) - "Giant cells in chronic inflammation". مؤرشف من الأصل في 8 أغسطس 2018. اطلع عليه بتاريخ 21 مايو 2013. الوسيط
|CitationClass=تم تجاهله (مساعدة)
- بوابة علم الأحياء الخلوي والجزيئي
This article is issued from Wikipedia. The text is licensed under Creative Commons - Attribution - Sharealike. Additional terms may apply for the media files.