خلية معدية رئيسية
الخلايا المعدية الرئيسية (بالإنجليزية: Gastric chief cell) (أو الخلايا الهضمية أو الخلايا المفرزة لخمائر المعدة) هي نوع من الخلايا الموجودة في المعدة، تفرز الببسين وليبيز المعدة وهي الخلايا المسؤولة عن إفراز الكيموسين في المجترات.[1] تقع هذه الخلايا في الطبقات المخاطية العميقة من بطانة المعدة. تطلق الخلايا الرئيسية إنزيم زايموجين عندما يتم تحفيزها بمجموعة من العوامل المختلفة كنشاط الكولينيرجيك من العصب المبهم والحالة الحمضية في المعدة. كما يعمل هرمون الغاسترين والسيكريتين كمثبطات للإفرازات.[2] تعمل هذه الخلايا جنباً إلى جنب مع الخلايا الجدارية التي تطلق العصارة الهضمية وتحوّل الببسينوغين إلى ببسين.
| خلية رئيسية | |
|---|---|
| الاسم اللاتيني exocrinocytus principalis | |
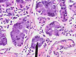
![]() Human chief cells near tip of black pointer | |
| تفاصيل | |
| ترمينولوجيا هستولوجيكا | H3.04.02.1.00031 |
| FMA | 62902 |
| ن.ف.م.ط. | A03.556.875.875.440.150، وA10.615.550.291.150، وA11.436.150 |
| ن.ف.م.ط. | D019872 |
التسمية
تستخدم المصطلحات "خلية رئيسية" وخلية تخمرية دون كلمة "مِعَدي" لتسمية هذا النوع من الخلايا. لكن يمكن استخدام هذه المصطلحات لوصف أنواع الخلايا الأخرى كخلايا الدرقية الرئيسية. كما تعرف الخلايا الرئيسية بخلايا الجهاز الهضمي.
طالع أيضاً
- عصارة هضمية
- غدد قاع المعدة
المراجع
- Kitamura N, Tanimoto A, Hondo E, Andrén A, Cottrell DF, Sasaki M, Yamada J (2001). "Immunohistochemical study of the ontogeny of prochymosin--and pepsinogen-producing cells in the abomasum of sheep". Anatomia, Histologia, Embryologia. 30 (4): 231–235. doi:10.1046/j.1439-0264.2001.00326.x. PMID 11534329. الوسيط
|CitationClass=تم تجاهله (مساعدة) - Johnson. Gastrointestinal Physiology 6th Edition. Mosby. 2001
وصلات خارجية
- Anatomy Atlases - Microscopic Anatomy, plate 01.05
- صور نسيجية: 22201loa — نظام تعلم علم الأنسجة في جامعة بوسطن - "Ultrastructure of the Cell: chief cells and enteroendocrine cell"
- صور نسيجية: 11304loa — نظام تعلم علم الأنسجة في جامعة بوسطن - "Digestive System: Alimentary Canal: fundic stomach, gastric glands, base"
- "chief cell" في معجم دورلاند الطبي
- فسيولوجيا: 6/6ch4/s6ch4_8 - أساسيات فسيولوجيا الإنسان
- بوابة الكيمياء الحيوية
- بوابة تشريح
- بوابة علم وظائف الأعضاء
