داء بروتيني سنخي رئوي
الداء البروتيني السنخي الرئوي أو الداء البروتيني في الأسناخ الرئوية (بالإنجليزية: Pulmonary alveolar proteinosis) يُعرف اختصاراً PAP. وهو اضطراب رئوي نادر يتميز بتراكم غير طبيعي لبروتينات شحمية مشتقة من السورفاكتانت (فاعل بالسطح الرئوي) داخل الحويصلات الهوائية في الرئة. تتداخل المواد المتراكمة مع التبادل الطبيعي للغازات وتمدد الرئتين، مما يؤدي في النهاية إلى صعوبة في التنفس وميل للإصابة بالإنتانات الرئوية. تم تقسيم الداء البروتيني السنخي الرئوي إلى ثلاثة أنواع فرعية وهي خلقي، ثانوي، مناعي ذاتي.[1] يمثل المناعي الذاتي 90% من كل حالات الداء البروتيني السنخي الرئوي.
| داء بروتيني سنخي رئوي | |
|---|---|
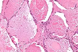
![]() صورة مجهرية للداء البروتيني السنخي الرئوي، تظهر الفراغات الهوائية مملوءة بكثافات موضعية تدعى بـ الأجسام الكثيفة. صبغة الهيماتوكسيلين واليوزين. صورة مجهرية للداء البروتيني السنخي الرئوي، تظهر الفراغات الهوائية مملوءة بكثافات موضعية تدعى بـ الأجسام الكثيفة. صبغة الهيماتوكسيلين واليوزين. | |
| تسميات أخرى | الداء البروتيني في الأسناخ الرئوية |
| معلومات عامة | |
| الاختصاص | الأمراض التنفسية |
| من أنواع | مرض رئوي |
| الأنواع | خلقي، ثانوي، مناعي ذاتي. |
| المظهر السريري | |
| الأعراض | ثلث المرضى المصابين لاعرضيين، وقد نجد زلة تنفسية، سعال، إنتاج القشع، التعب، وفقدان الوزن. |
| المضاعفات | إنتانات رئوية، التليف الرئوي، والقلب الرئوي. |
| الإدارة | |
| التشخيص | خزعة الرئة عبر القصبات |
| الوبائيات | |
| الوفيات | معدل وفيات يصل إلى 30٪ |
| التاريخ | |
| المكتشف | صموئيل روزن، بنجامين كاسلمان، وأفيريل ليبو. |
تاريخ المرض
تم وصف الداء البروتيني السنخي الرئوي لأول مرة في عام 1958[2] من قبل صموئيل روزن (Samuel Rosen)، بنجامين كاسلمان (Benjamin Castleman)، وأفيريل ليبو (Averill Liebow).[3] في سلسلة حالاتهم التي نشرت في نيو إنغلاند جورنال أوف ميديسين في 7 حزيران من ذلك العام، وصفوا 27 مريضاً لديهم أدلة مرضية على امتلاء الحويصلات الهوائية بمادة إيجابية لحمض شيف الدوري. تم التعرف لاحقاً على هذه المادة الغنية بالدهون لتدعى فاعل بالسطح الرئوي (السورفكتانت).
في عام 1960، كان الدكتور خوسيه راميريز ريفيرا (Jose Ramirez-Rivera) في مشفى الرعاية الصحية للمحاربين القدامى في بالتيمور قد أبلغ عن علاج الداء البروتيني السنخي الرئوي باستخدام غسل القصبات والأسناخ العلاجي،[4] وقد وصف "الغمر القطعي" المتكرر كوسيلة لإزالة المواد السنخية المتراكمة.[5]
الآلية الإمراضية
تتطور الأشكال المختلفة من الداء البروتيني السنخي بسبب انخفاض مستويات العامل المنبه لمستعمرات المحببات والبلاعم (GM-CSF) أو بسبب ضعف وظيفة و/أو معالجة الفاعل بالسطح بواسطة البلاعم السنخية.
دور العامل المنبه لمستعمرات المحببات والبلاعم
تشير العديد من الأدلة إلى أن نقص بروتين GM-CSF أو وظيفته يلعب دوراً رئيسياً في الداء البروتيني السنخي وهو مسؤول عن العيوب الملحوظة في معالجة الفاعل بالسطح.[6]
الفئران المعدلة وراثياً التي تفتقر لمورثة GM-CSF، تراكم عندها الصميم البروتيني للفاعل بالسطح وكذلك الفاعل بالسطح في المساحات السنخية بشكل مشابه لمرضى الداء البروتيني السنخي الرئوي.[7] إعادة تكوين مورثة GM-CSF يصحح بشكل كامل الداء البروتيني السنخي في هذه الفئران، كما يفعل العلاج بإرذاذات GM-CSF [8][9]
قد تفسر المناعة الذاتية الخلطية النقص الوظيفي لـ GM-CSF في البالغين المصابين بالداء البروتيني السنخي المكتسب.[10][11] في مجموعة من 248 مريضاً يعانون من الداء البروتيني السنخي، تم العثور على أجسام مضادة مصلية لـ GM-CSF عند 90% منهم (داء بروتيني سنخي مناعي ذاتي)، أما ذوي الاختبارات السلبية للأجسام المضادة للعامل المنبه لمستعمرات المحببات والبلاعم وجد أن 10% لديهم أمراض معروفة بأنها تسبب داء بروتيني سنخي (داء بروتيني سنخي ثانوي) و<1% غير معروف السبب (داء بروتيني سنخي غير مصنف).[12]
دورالبالعات
تشير الموجودات في المرضى والفئران المعدلة وراثياً أن المعالجة الضعيفة للفاعل بالسطح بواسطة البلاعم السنخية تساهم في التسبب بالداء البروتيني السنخي.
يتغلب تراكم المواد الغنية بالفاعل بالسطح الرئوي بشكل تدريجي على البلاعم السنخية وآليات تنقية الخلية من النوع الثاني، مما يؤدي إلى ضعف البلعمة واندماج الجسيم الحال البلعمي.[13][14][15] قد تفسر الأسباب الأخرى لخلل البلاعم المكتسب، مثل العلاج بالعقاقير المثبطة للمناعة أو الأورام الدموية الخبيثة، الاكتشاف العرضي للداء البروتيني السنخي المرتبط بهذه الاضطرابات.[16][17]
الأعراض والعلامات
الأعراض
عادة ما يكون ذو بداية تدريجية عند البالغين، كما وجد أن حوالي ثلث المرضى المصابين لاعرضيين.[18] الأعراض الرئيسية هي زلة تنفسية تدريجية عند الجهد[19] (52 إلى 94 %)، سعال (23 إلى 66 %)، إنتاج القشع (1 إلى 4 %)، التعب (0 إلى 50 %)، فقدان الوزن (0 إلى 43 %)، وحمى منخفضة الدرجة (1 إلى 15 %) تتطور على مدار أسابيع إلى أشهر.[12][18][20][21] يعتبر السعال غير المنتج (السعال الجاف) شائعاً، وقد يحدث أحياناً إنتاج قشع على شكل قطع هلامية.
بين المرضى الذين يعانون من الداء البروتيني الثانوي بسبب متلازمة خلل التنسج النخاعي، تم الإبلاغ عن الحمى (45 %) والسعال (42 %).[20]
قد تحدث الحمى عند مرضى الداء البروتيني السنخي الآخرين بسبب عدوى إضافية بالكائنات الحية مثل نوكاردية والمتفطرات والفطريات المستوطنة أو الانتهازية.[18][22][23] في دراسة مكونة من 248 مريضاً يعانون من الداء البروتيني السنخي، وجد أربعة مرضى مصابين بداء الرشاشيات، ثلاثة مصابين بالمتفطرة السلية، واثنان مصابان بالمتفطرات اللانموذجية.[18] في دراسة منفصلة مكونة من 70 مريضاً، وجد 10 مرضى مصابين بإنتانات الجهاز التنفسي (المتكيسة الرئوية، الإشريكية القولونية، والمستدمية النزلية).[22]
العلامات
غالباً ما يكون الفحص السريري طبيعي.[20] توجد الكراكر (كَرْكَرَة وهي صوت حاد وقصير) أثناء إصغاء الصدر في حوالي (50%) من المرضى، ولكن يمكن أن تكون غائبة على الرغم من وجود أدلة شعاعية على الامتلاء السنخي، قد يكون سبب ذلك امتلاء الأحياز الهوائية القاصية بالسوائل بشكل كامل مما يجعل حركة الغازات غائبة.[24] كما نجد تعجر الأصابع وزرقة في حوالي (25%).[12]
التشخيص
يعتبر تنظير القصبات المرن مع فحص الغسالة القصبية السنخية، وإن أمكن خزعة الرئة عبر القصبات مفتاح للتشخيص. يتم تشخيص PAP بالاعتماد على أعراض المريض، صورة الصدر، والتقييم المجهري لغسالة/ خزعة الرئة. الاختبارات الإضافية للأجسام المضادة لمضاد GM-CSF مفيدة للتأكيد.[25]
الموجودات الشعاعية
.jpg.webp)
على الرغم من أن كل من الأعراض وموجودات التصوير موصوفة جيداً، إلا أنها غير نوعية ولا يمكن تمييزها عن العديد من الحالات الأخرى. على سبيل المثال، قد تظهر صورة الصدر البسيطة عتامة سنخية، وقد يظهر التصوير الطبقي المحوسب مظهر "الحجارة المرصوفة"، وكلاهما يظهر بشكل شائع في العديد من الحالات الأخرى.[26] وبالتالي، فإن التشخيص يعتمد في المقام الأول على موجودات التشريح المرضي.
موجودات الغسالة أو الخزعة
يتم الحصول على غسالة رئوية أو أنسجة لتحليل التشريح المرضي باستخدام غسل القصبات والأسناخ و/ أو خزعة الرئة.[27] تُظهر نتائج الخزعة المميزة امتلاء الحويصلات الهوائية (وأحياناً القصبات الهوائية الانتهائية) بمادة غير متجانسة محبة للحمض، والتي تتلون بشدة على صبغة PAS. في حين تبقى الحويصلات الهوائية المحيطة والخلايا الرئوية الخلالية طبيعية نسبياً.[28] يُظهر الفحص المجهري الإلكتروني للعينة جسيمات صُفاحية تمثل الفاعل بالسطح.[29] يتداخل التشخيص مع أمراض ذات نتائج مماثلة مجهرياً هي الالتهاب الرئوي بالمتكيسة الرئوية الجؤجؤية.[12]
المضاعفات
المضاعفات الرئيسية للمرض هي:
- الإنتانات الرئوية بالنوكاردية النجمية، المتكيسة الرئوية الجؤجؤية، والمتفطرة الرئوية الجوانية.[30]
- يمكن أن يؤدي الداء البروتيني السنخي الرئوي إلى التليف الرئوي و/أو القلب الرئوي.
- وُجد بعض الارتباط بين الأجسام المضادة الذاتية للعامل المنبه لمستعمرات المحببات والبلاعم وبعض حالات التهاب السحايا بالمستخفيات في المرضى ذوي المناعة الطبيعية.[31]
العلاج
يعتمد تدبير الداء البروتيني السنخي الرئوي (PAP) على تطور المرض، الإنتانات الموجودة، ودرجة الضعف الفيزيولوجي. يرتكز التدبير الأساسي على الإزالة الميكانيكية للمواد البروتينية الدهنية بواسطة غسل الرئة الكامل.[32][33] في الداء البروتيني السنخي الرئوي الثانوي، يتم علاج المرض المستبطن المسبب له. ثبت أن إعطاء العامل المنبه لمستعمرات المحببات والبلاعم الانشاقي والجهازي آمن وفعال في توفير تأثير علاجي مستديم في الداء البروتيني السنخي الرئوي المناعي الذاتي.[34] يعتبر زرع الرئة هو الحل في حال الداء البروتيني السنخي الرئوي الخلقي أو المرحلة النهائية من المرض (القلب الرئوي وتليف الرئة).
الإنذار
تم الإبلاغ عن معدل وفيات يصل إلى 30٪ خلال عدة سنوات من بداية المرض، ولكن قد يكون معدل الوفيات الفعلي أقل من 10٪. يزداد ظهور PAP الرئوي المعزول وقد يتراجع عفوياً على مدار عدة أشهر. أما إنذار الثانوي فهو يعتمد على المرض المسبب له.
المراجع
- Carey, Brenna; Trapnell, Bruce C. (2010-05). "The molecular basis of pulmonary alveolar proteinosis". Clinical Immunology. 135 (2): 223–235. doi:10.1016/j.clim.2010.02.017. ISSN 1521-6616. مؤرشف من الأصل في 23 فبراير 2020. الوسيط
|CitationClass=تم تجاهله (مساعدة); تحقق من التاريخ في:|تاريخ=(مساعدة) - Seymour JF, Presneill JJ (July 2002). "Pulmonary alveolar proteinosis: progress in the first 44 years". Am. J. Respir. Crit. Care Med. 166 (2): 215–35. doi:10.1164/rccm.2109105. PMID 12119235. الوسيط
|CitationClass=تم تجاهله (مساعدة) - Rosen SH, Castleman B, Liebow AA (1958). "Pulmonary alveolar proteinosis". N. Engl. J. Med. 258 (23): 1123–1142. doi:10.1056/NEJM195806052582301. PMID 13552931. الوسيط
|CitationClass=تم تجاهله (مساعدة) - Ramirez-Rivera J, Nyka W, McLaughlin J (1963). "Pulmonary Alveolar Proteinosis: Diagnostic Technics and Observations". New England Journal of Medicine. 268 (4): 165–71. doi:10.1056/NEJM196301242680401. PMID 13990655. الوسيط
|CitationClass=تم تجاهله (مساعدة) - Ramirez-Rivera J, Schultz RB, Dutton RE (1963). "Pulmonary Alveolar Proteinosis: A New Technique and Rational for Treatment". Archives of Internal Medicine. 112 (3): 419–31. doi:10.1001/archinte.1963.03860030173021. الوسيط
|CitationClass=تم تجاهله (مساعدة) - Carey, Brenna; Trapnell, Bruce C. (2010-05). "The molecular basis of pulmonary alveolar proteinosis". Clinical Immunology. 135 (2): 223–235. doi:10.1016/j.clim.2010.02.017. ISSN 1521-6616. مؤرشف من الأصل في 11 مايو 2020. الوسيط
|CitationClass=تم تجاهله (مساعدة); تحقق من التاريخ في:|تاريخ=(مساعدة) - Dranoff, G; Crawford, A.; Sadelain, M; Ream, B; Rashid, A; Bronson, R.; Dickersin, G.; Bachurski, C.; Mark, E. (1994-04-29). "Involvement of granulocyte-macrophage colony-stimulating factor in pulmonary homeostasis". Science. 264 (5159): 713–716. doi:10.1126/science.8171324. ISSN 0036-8075. مؤرشف من الأصل في 11 مايو 2020. الوسيط
|CitationClass=تم تجاهله (مساعدة) - Huffman, J A; Hull, W M; Dranoff, G; Mulligan, R C; Whitsett, J A (1996-02-01). "Pulmonary epithelial cell expression of GM-CSF. corrects the alveolar proteinosis in GM-CSF-deficient mice". Journal of Clinical Investigation. 97 (3): 649–655. doi:10.1172/jci118461. ISSN 0021-9738. مؤرشف من الأصل في 11 مايو 2020. الوسيط
|CitationClass=تم تجاهله (مساعدة) - Reed, Jacquelyn A.; Ikegami, Machiko; Cianciolo, Eli R.; Lu, Wei; Cho, Patricia S.; Hull, William; Jobe, Alan H.; Whitsett, Jeffrey A. (1999-04-01). "Aerosolized GM-CSF ameliorates pulmonary alveolar proteinosis in GM-CSF-deficient mice". American Journal of Physiology-Lung Cellular and Molecular Physiology. 276 (4): L556–L563. doi:10.1152/ajplung.1999.276.4.l556. ISSN 1040-0605. مؤرشف من الأصل في 23 فبراير 2020. الوسيط
|CitationClass=تم تجاهله (مساعدة) - Kitamura, Takayuki; Tanaka, Naohiko; Watanabe, Junichi; Uchida; Kanegasaki, Shiro; Yamada, Yoshitsugu; Nakata, Koh (1999-09-20). "Idiopathic Pulmonary Alveolar Proteinosis as an Autoimmune Disease with Neutralizing Antibody against Granulocyte/Macrophage Colony-Stimulating Factor". The Journal of Experimental Medicine. 190 (6): 875–880. doi:10.1084/jem.190.6.875. ISSN 0022-1007. مؤرشف من الأصل في 11 مايو 2020. الوسيط
|CitationClass=تم تجاهله (مساعدة) - Doerschuk, Claire M. (2007-02-08). "Pulmonary Alveolar Proteinosis — Is Host Defense Awry?". New England Journal of Medicine. 356 (6): 547–549. doi:10.1056/nejmp068259. ISSN 0028-4793. مؤرشف من الأصل في 11 مايو 2020. الوسيط
|CitationClass=تم تجاهله (مساعدة) - Inoue, Yoshikazu; Trapnell, Bruce C.; Tazawa, Ryushi; Arai, Toru; Takada, Toshinori; Hizawa, Nobuyuki; Kasahara, Yasunori; Tatsumi, Koichiro; Hojo, Masaaki (2008-04). "Characteristics of a Large Cohort of Patients with Autoimmune Pulmonary Alveolar Proteinosis in Japan". American Journal of Respiratory and Critical Care Medicine. 177 (7): 752–762. doi:10.1164/rccm.200708-1271oc. ISSN 1073-449X. مؤرشف من الأصل في 11 مايو 2020. الوسيط
|CitationClass=تم تجاهله (مساعدة); تحقق من التاريخ في:|تاريخ=(مساعدة) - Brasch, F. (2004-09-01). "Surfactant proteins in pulmonary alveolar proteinosis in adults". European Respiratory Journal. 24 (3): 426–435. doi:10.1183/09031936.04.00076403. ISSN 0903-1936. مؤرشف من الأصل في 11 مايو 2020. الوسيط
|CitationClass=تم تجاهله (مساعدة) - Alberti, A; Luisetti, M; Braschi, A; Rodi, G; Iotti, G; Sella, D; Poletti, V; Benori, V; Baritussio, A (1996-09). "Bronchoalveolar lavage fluid composition in alveolar proteinosis. Early changes after therapeutic lavage". American Journal of Respiratory and Critical Care Medicine. 154 (3): 817–820. doi:10.1164/ajrccm.154.3.8810625. ISSN 1073-449X. مؤرشف من الأصل في 11 مايو 2020. الوسيط
|CitationClass=تم تجاهله (مساعدة); تحقق من التاريخ في:|تاريخ=(مساعدة) - Gonzalez-Rothi, Ricardo J.; Harris, J. Ode (1986-11). "Pulmonary Alveolar Proteinosis". Chest. 90 (5): 656–661. doi:10.1378/chest.90.5.656. ISSN 0012-3692. مؤرشف من الأصل في 11 مايو 2020. الوسيط
|CitationClass=تم تجاهله (مساعدة); تحقق من التاريخ في:|تاريخ=(مساعدة) - PRAKASH, UDAYA B.S.; BARHAM, STEVEN S.; CARPENTER, HERSCHEL A.; DINES, DAVID E.; MARSH, H. MICHAEL (1987-06). "Pulmonary Alveolar Phospholipoproteinosis: Experience With 34 Cases and a Review". Mayo Clinic Proceedings. 62 (6): 499–518. doi:10.1016/s0025-6196(12)65477-9. ISSN 0025-6196. مؤرشف من الأصل في 11 مايو 2020. الوسيط
|CitationClass=تم تجاهله (مساعدة); تحقق من التاريخ في:|تاريخ=(مساعدة) - Poletti, Venerino; Costabel, Ulrich; Casoni, Gian Luca; Bigliazzi, Caterina; Drent, Marjolein; Olivieri, Dario (2004). "Rare Infiltrative Lung Diseases: A Challenge for Clinicians". Respiration. 71 (5): 431–443. doi:10.1159/000080625. ISSN 0025-7931. مؤرشف من الأصل في 11 مايو 2020. الوسيط
|CitationClass=تم تجاهله (مساعدة) - Bonfield, Tracey L.; Russell, Debra; Burgess, Sujata; Malur, Anagha; Kavuru, Mani S.; Thomassen, Mary Jane (2002-10). "Autoantibodies against Granulocyte Macrophage Colony–Stimulating Factor Are Diagnostic for Pulmonary Alveolar Proteinosis". American Journal of Respiratory Cell and Molecular Biology. 27 (4): 481–486. doi:10.1165/rcmb.2002-0023oc. ISSN 1044-1549. مؤرشف من الأصل في 11 مايو 2020. الوسيط
|CitationClass=تم تجاهله (مساعدة); تحقق من التاريخ في:|تاريخ=(مساعدة) - Shah PL, Hansell D, Lawson PR, Reid KB, Morgan C (January 2000). "Pulmonary alveolar proteinosis: clinical aspects and current concepts on pathogenesis". Thorax. 55 (1): 67–77. doi:10.1136/thorax.55.1.67. PMC 1745595. PMID 10607805. الوسيط
|CitationClass=تم تجاهله (مساعدة) - Suzuki, Takuji; Trapnell, Bruce C. (2016-09). "Pulmonary Alveolar Proteinosis Syndrome". Clinics in Chest Medicine. 37 (3): 431–440. doi:10.1016/j.ccm.2016.04.006. ISSN 0272-5231. مؤرشف من الأصل في 14 أبريل 2020. الوسيط
|CitationClass=تم تجاهله (مساعدة); تحقق من التاريخ في:|تاريخ=(مساعدة) - B.C.; Uchida, K. (2009-12). Interstitial Lung Diseases. European Respiratory Society Journals Ltd. صفحات 208–224. ISBN 9781904097730. مؤرشف من الأصل في 23 فبراير 2020. الوسيط
|CitationClass=تم تجاهله (مساعدة); تحقق من التاريخ في:|تاريخ=(مساعدة) - Bonella, Francesco; Bauer, Peter C.; Griese, Matthias; Ohshimo, Shinichiro; Guzman, Josune; Costabel, Ulrich (2011-12). "Pulmonary alveolar proteinosis: New insights from a single-center cohort of 70 patients". Respiratory Medicine. 105 (12): 1908–1916. doi:10.1016/j.rmed.2011.08.018. ISSN 0954-6111. مؤرشف من الأصل في 11 مايو 2020. الوسيط
|CitationClass=تم تجاهله (مساعدة); تحقق من التاريخ في:|تاريخ=(مساعدة) - Witty, Lynn A.; Tapson, Victor F.; Piantadosi, Claude A. (1994-03). "Isolation of Mycobacteria in Patients with Pulmonary Alveolar Proteinosis". Medicine. 73 (2): 103–109. doi:10.1097/00005792-199403000-00003. ISSN 0025-7974. مؤرشف من الأصل في 11 مايو 2020. الوسيط
|CitationClass=تم تجاهله (مساعدة); تحقق من التاريخ في:|تاريخ=(مساعدة) - Goldstein, Lawrence S.; Kavuru, Mani S.; Curtis-McCarthy, Patricia; Christie, Howard A.; Farver, Carol; Stoller, James K. (1998-11). "Pulmonary Alveolar Proteinosis". Chest. 114 (5): 1357–1362. doi:10.1378/chest.114.5.1357. ISSN 0012-3692. مؤرشف من الأصل في 12 مارس 2020. الوسيط
|CitationClass=تم تجاهله (مساعدة); تحقق من التاريخ في:|تاريخ=(مساعدة) - Uchida K, Nakata K, Carey B, Chalk C, Suzuki T, Sakagami T, Koch DE, Stevens C, Inoue Y, Yamada Y, Trapnell BC (Jan 15, 2014). "Standardized serum GM-CSF autoantibody testing for the routine clinical diagnosis of autoimmune pulmonary alveolar proteinosis". J Immunol Methods. 402 (1–2): 57–70. doi:10.1016/j.jim.2013.11.011. PMID 24275678. الوسيط
|CitationClass=تم تجاهله (مساعدة) - Holbert, J. M.; Costello, P.; Li, W.; Hoffman, R. M.; Rogers, R. M. (May 2001). "CT features of pulmonary alveolar proteinosis". AJR. American Journal of Roentgenology. 176 (5): 1287–1294. doi:10.2214/ajr.176.5.1761287. ISSN 0361-803X. PMID 11312196. الوسيط
|CitationClass=تم تجاهله (مساعدة) - Monisha Das, MD & Gary A. Salzman, MD (February 2010). "Pulmonary Alveolar Proteinosis: An Overview for Internists and Hospital Physicians". Hospital Practice. 38 (1): 43–49. doi:10.3810/hp.2010.02.277. PMID 20469623. مؤرشف من الأصل في 23 فبراير 2020. الوسيط
|CitationClass=تم تجاهله (مساعدة) - Mikami, T.; Yamamoto, Y.; Yokoyama, M.; Okayasu, I. (December 1997). "Pulmonary alveolar proteinosis: diagnosis using routinely processed smears of bronchoalveolar lavage fluid". Journal of Clinical Pathology. 50 (12): 981–984. doi:10.1136/jcp.50.12.981. ISSN 0021-9746. PMC 500376. PMID 9516877. الوسيط
|CitationClass=تم تجاهله (مساعدة) - Maygarden, S. J.; Iacocca, M. V.; Funkhouser, W. K.; Novotny, D. B. (June 2001). "Pulmonary alveolar proteinosis: a spectrum of cytologic, histochemical, and ultrastructural findings in bronchoalveolar lavage fluid". Diagnostic Cytopathology. 24 (6): 389–395. doi:10.1002/dc.1086. ISSN 8755-1039. PMID 11391819. الوسيط
|CitationClass=تم تجاهله (مساعدة) - ABDUL RAHMAN, Jamalul Azizi; MOODLEY, Yuben P.; PHILLIPS, Martin J. (2004-08). "Pulmonary alveolar proteinosis associated with psoriasis and complicated by mycobacterial infection: Successful treatment with granulocyte-macrophage colony stimulating factor after a partial response to whole lung lavage". Respirology. 9 (3): 419–422. doi:10.1111/j.1440-1843.2004.00594.x. ISSN 1323-7799. مؤرشف من الأصل في 12 مارس 2020. الوسيط
|CitationClass=تم تجاهله (مساعدة); تحقق من التاريخ في:|تاريخ=(مساعدة) - Rosen, Lindsey B.; Freeman, Alexandra F.; Yang, Lauren M.; Jutivorakool, Kamonwan; Olivier, Kenneth N.; Angkasekwinai, Nasikarn; Suputtamongkol, Yupin; Bennett, John E.; Pyrgos, Vasilios (2013-03-18). "Anti–GM-CSF Autoantibodies in Patients with Cryptococcal Meningitis". The Journal of Immunology. 190 (8): 3959–3966. doi:10.4049/jimmunol.1202526. ISSN 0022-1767. مؤرشف من الأصل في 23 فبراير 2020. الوسيط
|CitationClass=تم تجاهله (مساعدة) - Ceruti M, Rodi G, Stella GM, et al. (2007). "Successful whole lung lavage in pulmonary alveolar proteinosis secondary to lysinuric protein intolerance: a case report". Orphanet J Rare Dis. 2: 14. doi:10.1186/1750-1172-2-14. PMC 1845139. PMID 17386098. الوسيط
|CitationClass=تم تجاهله (مساعدة) - Menard KJ (April 2005). "Whole lung lavage in the treatment of pulmonary alveolar proteinosis". J. Perianesth. Nurs. 20 (2): 114–26. doi:10.1016/j.jopan.2005.01.005. PMID 15806528. الوسيط
|CitationClass=تم تجاهله (مساعدة) - Tazawa, Ryushi; Trapnell, Bruce C.; Inoue, Yoshikazu; Arai, Toru; Takada, Toshinori; Nasuhara, Yasuyuki; Hizawa, Nobuyuki; Kasahara, Yasunori; Tatsumi, Koichiro (2010-06-15). "Inhaled Granulocyte/Macrophage–Colony Stimulating Factor as Therapy for Pulmonary Alveolar Proteinosis". American Journal of Respiratory and Critical Care Medicine. 181 (12): 1345–1354. doi:10.1164/rccm.200906-0978oc. ISSN 1073-449X. مؤرشف من الأصل في 12 مارس 2020. الوسيط
|CitationClass=تم تجاهله (مساعدة)
روابط خارجية
- https://www.uptodate.com/contents/causes-clinical-manifestations-and-diagnosis-of-pulmonary-alveolar-proteinosis-in-adults#H15
- https://emedicine.medscape.com/article/300615-overview
- http://www.orpha.net ORPHANET/ The portal for rare diseases and orphan drugs
- بوابة طب
