ذئبة التهاب الكلى
ذئبة التهاب الكلى أو التهاب الكلية الذئبي(Lupus nephritis) هو التهاب في الكلية بسبب الذئبة الحُمامية المجموعية (Systemic lupus erythematosus, SLE)، وهو مرض في الجهاز المناعيّ. على خلاف ضرر الكلية، من الممكن أن يسبب هذا المرض ضرراً للجلد والمفاصل والجهاز العصبي، وبدرجة أقل، أي عضو أو جهاز آخر في الجسم.
| ذئبة التهاب الكلى/ التهاب الكليه الذئبي | |
|---|---|
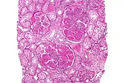
![]() صورة مجهرية of diffuse proliferative lupus nephritis showing increased mesangial matrix and mesangial hypercellularity. خزعة كلوية. PAS stain. صورة مجهرية of diffuse proliferative lupus nephritis showing increased mesangial matrix and mesangial hypercellularity. خزعة كلوية. PAS stain. | |
| معلومات عامة | |
| الاختصاص | طب الكلى |
| من أنواع | التهاب كبيبات الكلى |
| المظهر السريري | |
| الأعراض | التهاب [1] |
| الإدارة | |
| أدوية | سيكلوفوسفاميد ، وبريدنيزون ، وريتوكسيماب ، وحمض الميكوفينوليك ، وميكوفينولات موفيتل ، وبيليموماب ، وميثيلبريدنيزولون ، وتاكروليمس
|
العلامات والأعراض
من الأعراض العامّة للمرض: تقرحات الفم، حساسية للضوء، أعراض عصبية، اضطرابات في الدم، مرض كلويّ، وغيرها.
سريريّاً، يظهر مرض SLE مع حمّى ونقص في الوزن (في جميع المرضى)100%، ا لتهاب في المفاصل 95%، والتهاب التأمور (حول القلب)80%، أنيميا، تساقط في الشعر75%، انخفاض في عدد خلايا الدم البيضاء والصفائح الدموية، خُثار50%، وغيرها. ونصف حالات ال SLE تقريبا تُظهر علامات التهاب الكلية الذئبي في وقت ما.
من العلامات الخاصّة بالكلية: وجود بروتين في البول (في جميع المرضى)100%، المتلازمة الكُلاييّة (Nephrotic syndrome)55%، وجود دم في البول بكميات قليلة 80%، وجود كميات كبيرة من الدم في البول 2%، وانخفاض في وظيفة الكلى60%، فشل كلوي حاد 2%، ارتفاع في ضغط الدم35%، ارتفاع في البوتاسيوم في الدم15%، الاختلالات الأنبوبية 70%.
في المرحلة الأولى، يكون المرض بمظهر طبيعي تحت المجهر، لكن مع وجود بعض المخلّفات الظاهرة فقط تحت المجهر الإلكتروني. وفي هذه المرحلة يكون تحليل البول طبيعيّاً.
في المرحلة الثانية، تزداد كمية الخلايا ويتوسّع النسيج المسند (Matrix). وقد يوجد هنا بعض الدم الدقيق في البول أو البروتين في البول. لكن من النادر وجود المتلازمة الكلايّية أو ارتفاع ضغط الدم.
أما في المرحلة الثالثة، فيوجد آفات تصلّبية (sclerotic lesions) في أقل من 50% من الكُبيبَات (Glomeruli)، ومن الممكن أن تكون شاملة أو خاصة بمناطق معينة. ومن الممكن ملاحظة وجود مُخلّفات تحت بطانيّة (Subendothelial deposits) تحت المجهر الإلكتروني. ومن خلال التفاعلات المناعية المضيئة يتبين وجود مولدات ضد من نوع IgG، IgM، IgAويكون هناك دم وبروتين في البول، مع أو بدون متلازمة كلاييّة وارتفاع ضغط الدم.
في المرحلة الرابعة، وتسمى (التهاب كبيبات الكلى التكاثري المنتشر) (Diffuse proliferative glomerulonephritis) وهي الأكثر تقدّماً وضرراً والأكثر شيوعاً في نفس الوقت. أكثر من 50% من الكُبيبات تتأثر. ويوجد هنا دم وبروتين في البول، عادةً مع وجود للمتلازمة الكلاييّة، وارتفاع ضغط الدم وارتفاع في نسب الكريتينين في الدم.
المرحلة الخامسة تتضّمن زيادة في غلاظة جدران الشعيرات الكبيبية، ومخلّفات تحت ظاهرية (Subepithelial deposits) تحت المجهر الإلكتروني. قد يكون مستوى الكريتينين في الدم مرتفعاً أو طبيعياً، وقد تورث المريض قابلية لمشاكل خُثاريّة مثل انسداد الوريد الكلويّ. ثمّة مرحلة أخيرة، وهي السادسة، وتُسمّى التهاب الكلية الذئبي التصلّبي المتقدم (Advanced sclerosing lupus nephritis)، ويكون فيها التصلّب عامّاً (في أكثر من 90% من الحبيبات)، وتمثل مرحلة الشفاء من إصابة التهابية سابقة. وتتّسم بخلل مستمر وبطيء في وظيفة الكلية. وتكون استجابة المرض للعلاج المناعي ضئيلة.


التشخيص
يعتمد التشخيص على اختبارات الدم وتحليل البول و صور الأشعة، والخزعة الكلويّة كذلك. قسّمت منظمة الصحة العالمية (WHO) التهاب الكلية الذئبي إلى 5 أصناف بناءً على الخزعة. تم وضع هذا التصنيف عام 1982، وتم تعديله عام 1995.[2]
- الصنف الأول: التهاب كلويّ كبيبيّ محدود. يظهر بشكل طبيعي تحت المجهر العاديّ، لكن تظهر مخلّفات تحت المجهر الإلكتروني. ويشكّل 5% من حالات الالتهاب الكلوي الذّئبي.الفشل الكلوي نادر جدا.[3]
- الصنف الثاني: وهو التهاب كلوي ذئبي تكاثري. ويستجيب بشكل كامل للعلاج بالستيرويدات ويشكّل 20% من الحالات.الفشل الكلوي نادر.[4][5]
- الصنف الثالث: التهاب كلوي ذئبي تكاثري بؤريّ (Focal). يستجيب للعلاج بكميات عالية من الستيرويدات. ويشكّل 25% من الحالات.[5][6] الفشل الكلوي غير معتاد في هذه الحالة.[7]
- الصنف الرابع: التهاب كلوي ذئبي تكاثري منتشر (Diffuse): يُعالج عن طريق الستيرويدات ومثبّطات المناعة. ويشكّل 40% من الحالات. الفشل الكلوي شائع في هذا الصنف.[7]
- الصنف الخامس: التهاب كلوي غشائيّ (Membranous): ويتّسم بوذمة شديدة (extreme edema)، وخسارة للبروتينات. يشكّل 10% من الحالات، والفشل الكلوي غير شائع.[7]
تُوصف الأدوية للتقليل من الانتفاخات وضغط الدم والالتهاب، عن طريق تثبيط جهاز المناعة. كما قد يحتاج المرضى لتقليل ما يتناولونه من بروتين وصوديوم وبوتاسيوم. يجب على المرضى الذين يعانون من مرض شديد التقليل من تناول الصوديوم إلى 2 جرام فقط في اليوم، وأن يقلّلوا من السوائل أيضاً. اعتماداً على الهيستولوجي، ومدى فعالية الكلى، ومستوى البروتين في البول، من الممكن أن يحتاج المريض إلى علاج بالستيرويدات أو الكيماوي.[7]
العلاج
من الوصفات الدوائية لالتهاب الكلى الذئبي، المايكوفينوليت موفيتيل (MMF) والسايكلوفوسفامايد (في الوريد)،[8][9] ومثبطات المناعة من ستيرويدات وغيرها. وكلها فعالة بدرجة متساوية تقريباً في العلاج. لكن ال MFF هو الأكثر أماناً حيث لا يسبّب فشل في المبيض، وتساقط للشعر ومشاكل في المناعة بنفس القدر، كما أنه أفضل في العلاج في مرحلة المداومة (Maintenance).[8]
روابط خارجيه
قراءه متقدمه
- Lahita, Robert G. (2004-06-09). Systemic Lupus Erythematosus (باللغة الإنجليزية). Academic Press. ISBN 9780080474540. مؤرشف من الأصل في 22 مايو 2016. الوسيط
|CitationClass=تم تجاهله (مساعدة) - Greenberg, Arthur; Cheung, Alfred K. (2005-01-01). Primer on Kidney Diseases (باللغة الإنجليزية). Elsevier Health Sciences. ISBN 1416023127. مؤرشف من الأصل في 24 يناير 2020. الوسيط
|CitationClass=تم تجاهله (مساعدة) - Castro-Santana, Lesliane E.; Colón, Marilú; Molina, María J.; Rodríguez, Vanessa E.; Mayor, Angel M.; Vilá, Luis M. (2010-01-01). "Efficacy of two cyclophosphamide regimens for the treatment of lupus nephritis in Puerto Ricans: low versus standard dose". Ethnicity & disease. 20 (1 0 1): S1-116-21. ISSN 1049-510X. PMC 3572835. PMID 20521398. الوسيط
|CitationClass=تم تجاهله (مساعدة) - Appel, Gerald B.; Contreras, Gabriel; Dooley, Mary Anne; Ginzler, Ellen M.; Isenberg, David; Jayne, David; Li, Lei-Shi; Mysler, Eduardo; Sánchez-Guerrero, Jorge (2009-05-01). "Mycophenolate Mofetil versus Cyclophosphamide for Induction Treatment of Lupus Nephritis". Journal of the American Society of Nephrology: JASN. 20 (5): 1103–1112. doi:10.1681/ASN.2008101028. ISSN 1046-6673. PMC 2678035. PMID 19369404. الوسيط
|CitationClass=تم تجاهله (مساعدة)
مراجع
- معرف أنطولوجية المرض: http://www.disease-ontology.org/?id=DOID:0080162 — تاريخ الاطلاع: 30 نوفمبر 2020 — الرخصة: CC0
- Ponticelli, C.; Moroni, G. (2005-01-01). "Renal transplantation in lupus nephritis". Lupus. 14 (1): 95–98. ISSN 0961-2033. PMID 15732296. مؤرشف من الأصل في 28 مارس 2019. الوسيط
|CitationClass=تم تجاهله (مساعدة) - "Lupus nephritis: MedlinePlus Medical Encyclopedia". www.nlm.nih.gov. مؤرشف من الأصل في 04 يوليو 2016. اطلع عليه بتاريخ 31 أكتوبر 2015. الوسيط
|CitationClass=تم تجاهله (مساعدة); تحقق من التاريخ في:|تاريخ أرشيف=(مساعدة) - Saxena, Ramesh; Mahajan, Tina; Mohan, Chandra (2011-01-01). "Lupus nephritis: current update". Arthritis Research & Therapy. 13 (5): 240. doi:10.1186/ar3378. ISSN 1478-6354. PMC 3308062. PMID 22078716. مؤرشف من الأصل في 9 يناير 2020. الوسيط
|CitationClass=تم تجاهله (مساعدة) - "Lupus Nephritis". www.niddk.nih.gov. مؤرشف من الأصل في 24 يناير 2020. اطلع عليه بتاريخ 31 أكتوبر 2015. الوسيط
|CitationClass=تم تجاهله (مساعدة) - Information, National Center for Biotechnology; Pike, U. S. National Library of Medicine 8600 Rockville; MD, Bethesda; Usa, 20894. "Lupus Nephritis - National Library of Medicine". PubMed Health. مؤرشف من الأصل في 12 فبراير 2020. اطلع عليه بتاريخ 03 نوفمبر 2015. الوسيط
|CitationClass=تم تجاهله (مساعدة)CS1 maint: numeric names: قائمة المؤلفون (link) - Lewis, Edmund J.; Schwartz, Melvin M. (2010-11-04). Lupus Nephritis (باللغة الإنجليزية). OUP Oxford. صفحة 174-177. ISBN 9780199568055. مؤرشف من الأصل في 23 يونيو 2016. الوسيط
|CitationClass=تم تجاهله (مساعدة) - "Lupus Nephritis: Practice Essentials, Background, Pathophysiology". مؤرشف من الأصل في 20 ديسمبر 2019. الوسيط
|CitationClass=تم تجاهله (مساعدة); Cite journal requires|journal=(مساعدة) - Salgado, Alberto (2012). "Lupus Nephritis: An Overview of Recent Findings". Autoimmune diseases. doi:10.1155/2012/849684. مؤرشف من الأصل في 14 أبريل 2019. اطلع عليه بتاريخ October 2015. الوسيط
|CitationClass=تم تجاهله (مساعدة); تحقق من التاريخ في:|تاريخ الوصول=(مساعدة)
- بوابة طب
