التهاب كبيبات الكلى
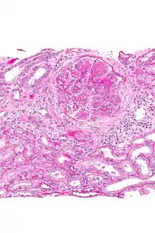
التهاب كبيبات الكلى هو مصطلح يُستخدم للإشارة إلى عدة أمراض بالكلى ( عادةً تصيب كلا من الكليتين) والعديد منها يتميز بالتهاب تجمعات الأوعية الدموية الصغيرة بالكليتين، ومن هنا جاءت التسمية.[2] بما أنه ليس مرضاً واحداً فإن الأعراض تعتمد على نوع المرض. قد يشكو المريض من بيلة دموية فقط (دم في البول) أو بروتينية (دم وبروتين في البول) أو كما في المتلازمة الكلوية أو متلازمة الالتهاب الكلوي أو القصور الكلوي الحاد أو مرض الكلى المزمن. يتم تصنيفهم إلى عدة أنماط مرضية مختلفة، والتي تم تجميعها على نطاق واسع في نوعين هما التكاثري أو غير التكاثري. تشخيص نوع المرض أمر مهم لأن النتيجة والعلاج يختلفان باختلاف الأنواع.
| التهاب كبيبات الكلى | |
|---|---|
| Glomerulonephritis | |
![]() | |
| معلومات عامة | |
| الاختصاص | طب الكلى |
| من أنواع | التهاب الكلى ، واعتلال كبيبات الكلى |
| المظهر السريري | |
| الأعراض | التهاب الكلى [1] |
| الإدارة | |
| أدوية | |
| التاريخ | |
| وصفها المصدر | الموسوعة السوفيتية الكبرى |
الأسباب الرئيسية تكون في الكلى، بينما الأسباب الثانوية تكون بسبب بعض الأمراض المعدية (بكتيريا، فيروسات أو طفيليات)، أدوية، اضطرابات جهاز المناعة (مرض الذئبة الحمراء، التهاب الأوعية الدموية)، أو مرض السكري، الأورام والأمراض الوراثية.
العلامات والأعراض
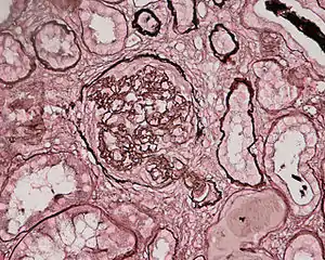
يشير المرض إلى التهاب كبيبات الكلى وهي الوحدة المختصة بعملية الترشيح والفلترة في الكلى، عادة ما ينتج عن ذلك المتلازمة الكلوية. متلازمة الالتهاب الكلوي، الفشل الكلوي الحاد أو المزمن أو قد يكون المرض صامتا.[3]:500
المتلازمة الكلوية
تتميز برباعية هي الوذمة مصاحبًا لها زيادة البروتين في البول ونقصه في الدم، وأيضًا زيادة الدهون في الدم. وسبب ذلك هو أن التهاب خلايا الأقدام الكاذبة المحيطة بالكبيبات ينتج عنه زيادة تسرب البروتين مما يؤدي إلى زيادة فقدانه في البول. عندما تتجاوز كمية البروتين المفقودة في البول قدرة الكبد على التعويض يظهر نقص البروتين في الدم، وخاصة الألبيومين الذي يمثل غالبية البروتينات المنتشرة بالدم. ومع نقص البروتينات ينخفض الضغط الجرمي في الدم مما يؤدي إلى الوذمة.
وتجدر الإشارة هنا أن انخفاض الضغط الجرمي داخل الأوعية الدموية يفسر جزئيًا وذمة المريض، حيث أظهرت الدراسات الأخيرة أن احتباس الصوديوم في النفرونات البعيدة (القنوات المُجمّعة) هو السبب الرئيسي لاحتباس الماء والوذمة في المتلازمة.[4] تتفاقم هذه الحالة بإفراز هرمون الألدوستيرون من الغدة الكظرية، مسببًا احتباس الصوديوم والماء. وأيضًا الهرمون المضاد لإدرار الماء. أما زيادة الدهون فيكون نتيجة لزيادة نشاط الكبد أثناء محاولة تعويض البروتينات المفقودة، وأيضًا فقد ليباز في البول.[5]:549:

متلازمة الالتهاب الكلوي
تتميز متلازمة الالتهاب الكلوي بوجود دم في البول (وخاصة خلايا الدم الحمراء)، أيضًا انخفاض كمية البول، ارتفاع ضغط الدم ووذمة متوسطة. هذه المتلازمة عادة ما تكون بعد الإصابة بالبكتيريا العقدية، يُعتقد أن الضرر الناتج عن التهاب الخلايا المبطنة للكبيبة يؤدي إلى ترسيب الأجسام المضادة و تدمير الحاجز الخلوي، مما يؤدي إلى نزول الدم في البول. في نفس الوقت، قد تؤدي هذه التغيرات إلى انخفاض تدفق الدم في الكلى، فتقل الفلترة ويقل إنتاج البول. لاحقًا ينشط نظام الرينين أنجيوتنسين، بسبب انخفاض الدم في الجهاز المجاور للكبيبات، مما قد يؤدي إلى ارتفاع ضغط الدم [5]:554:
النوع غير تكاثري
يتميز هذا النوع بأشكال التهاب كبيبات الكلى التي لا يتم فيها تغيير عدد الخلايا. وعادة ما تسفر عن المتلازمة الكلوية. وتشمل الأسباب:
التغير الطفيف
يعد مرض التغير الطفيف سببا للمتلازمة الكلوية دون تغييرات واضحة في الكبيبة تحت المجهر. فقط يظهر عادة مع وذمة، وزيادة فقد البروتينات في البول وانخفاض مستويات البروتين في الدم، وزيادة الدهون المنتشرة في الدم. كما أنه السبب الأكثر شيوعا للمتلازمة الكلوية عند الأطفال. على الرغم من عدم ظهور تغيرات في الكبيبة تحت المجهر الضوئي إلا أنه قد تظهر تغيرات بها بواسطة المجهر الإلكتروني حيث يحدث التحام في نتوءات خلايا الأقدام الكاذبة ( وهي الخلايا المبطنة للغشاء السفلي للشعيرات الدموية في الكبيبة). يتم علاجه بالستيرويدات ولا يتطور المرض ليصبح مزمنًا.[3]:500[5]:550
تصلب أجزاء كبيبات الكلى
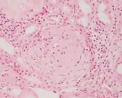
يتميز التنسيق القطعي في الكبيبات بتصلب أجزاء من الكبيبات. وعادة ما تشابه أعراضه أعراض المتلازمة الكلوية. قد يترافق هذا النوع من التهاب كبيبات الكلى مع أمراض مثل فيروس نقص المناعة البشرية وتعاطي الهيروين، أو قد يكون وراثيًا مثل متلازمة آلبورت. السبب في حوالي 20-30٪ من الحالات غير معروف. تحت المجهر، قد تُظهر الكبيبات المصابة زيادة في الهيالين، مادة وردية متجانسة، وأيضا الخلايا الدهنية، وزيادة في الكولاجين. قد يتم العلاج بالستيرويدات، ولكن ما يقارب نصف الأشخاص الذين يعانون هذا النوع من التهاب كبيبات الكلى يكون لديهم تدهور تدريجي في وظائف الكلى، تنتهي بالفشل الكلوي [5]:550–551
التهاب كبيبات الكلى الغشائي
يرتبط ثلثي التهاب كبيبات الكلى الغشائي مع أجسام مضادة ذاتية ضد مستقبل الفسفوليبازA2 ولكن قد تشمل أسباب أخرى مثل سرطانات الرئة والأمعاء، والالتهابات مثل التهاب الكبد ب والملاريا، بعض الأدوية مثل بنسلامين، أمراض النسيج الضام مثل الذئبة الحمامية الجهازية. والأفراد المعالَجون بالتحويلة الدماغية يكونون في خطر الإصابة بالتهاب كبيبات الكلى الغشائي. يتميز المرض بزيادة سمك الغشاء القاعدي للكبيبة دون زيادة عدد الخلايا. تُظهر الصبغة امتصاص الجسم المضاد "جي". وقد يحيط الغشاء القاعدي بهذه الترسبات ممثلا شكل "السنبلة والقبة". وأيضًا تُظهر الأنابيب أعراضُا نموذجية تدل على النوع الثالث من تفاعلات الحساسية، والذي يسبب تكاثر الخلايا المبطنة، يمكن رؤيتها تحت المجهر الضوئي بواسطة صبغةPAS.[6] تقدُّم المرض يتبع قاعدة الأثلاث: ثلث يبقى كما هو وثلث يُشفى وثلث يتدهور إلى مراحل متأخرة من الفشل الكلوي. كلما تقدم المرض كلما زاد التهاب أنابيب الكلى فتؤدي إلى ضمورها وزيادة ترسب الهيالين فتنكمش الكلى. وقد نحاول العلاج بالستيرويدات. في حالات نادرة للغاية، تتم وراثة المرض في العائلات -عادة من خلال الإناث- ، في هذه الحالة يسمى التهاب كبيبات الكلى الغشائي العائلي. فقط نحو تسعة حالات موثقة في العالم.
ضعف الغشاء القاعدي
مرض ضعف الغشاء القاعدي يتميز بأن يكون الغشاء القاعدي للكبيبة رقيقًا يُرى بالمجهر الإلكتروني، وهي حالة حميدة تسبب استمرار بيلة دموية مجهرية وأيضًا فقد البروتينات في البول والذي عادةً ما يكون خفيفًا وتكون الحالة بشكل عام ممتازة.
النوع التكاثري
يتميز التهاب الكلى التكاثري بزيادة عدد الخلايا في الكبيبة. ويكون عادة كثلاثي: دم في البول ونقص كمية البول، ارتفاع ضغط الدم، ومتلازمة الالتهاب الكلوي. عادة ما يتطور إلى مراحل متأخرة من الفشل الكلوي خلال أسابيع أو سنين (حسب النوع).
اعتلال الكلية بسبب IgA
اعتلال الكليةigA ، والمعروف أيضا باسم مرض بيرغر، هو النوع الأكثر شيوعا من التهاب كبيبات الكلى، ويكون عرضه عادة بيلة دموية مرئية أو غير مرئية، أحيانا تكون مصحوبة مع بروتين في البول بدرجة منخفضة، نادرًا ما يسبب المتلازمة الكلوية. يوصف اعتلال الكلية كمرض يصيب البالغين من الشباب بعد عدة أيام من عدوى الجهاز التنفسي ويُشفى دون تدخل. ويتميز بترسبات من igA بين الشعيرات الدموية في الكبيبة [3]:501[5]:554–555 يشير هينوخ شونلاين إلى شكل من أشكال اعتلال الكلية igA ، يصيب عادة الأطفال، وتتميز بسلسلة من كدمات صغيرة على الأرداف والساقين، مع ألم في البطن [3]:501

التهاب كبيبات الكلى بعد العدوى
يمكن أن يحدث التهاب كبيبات الكلى بعد أي عدوى، ولكن عادة ما يكون بعد العدوى بالبكتيريا العقدية المُقيّحة. ويحدث ذلك بعد 1-4 أسابيع من تواجدها في البلعوم، من المرجح أن تأتي مع الشعور بالضيق، حمى طفيفة، الغثيان، ومتلازمة الالتهاب الكلوي بشكل بسيط حيث زيادة متوسطة في ضغط الدم، البيلة الدموية، وتغير لون البول إلى البني الدخاني. فالمركبات المناعية التي تترسب في الكبيبة تؤدي إلى التهابات [5] :554–555
قد يتم التشخيص بناء على النتائج السريرية أو من خلال الأجسام المضادة للبكتيريا العقدية O الموجودة في الدم. ونادرا ما يتم أخذ خزعة، يُتوقع شفاء المرض من تلقاء نفسه لدى الأطفال خلال 1-4 أسابيع، بينما في الكبار عادة ما تتدهور الحالة.[3] :501

تكاثر الخلايا وتغير الغشاء القاعدي للكبيبة
[3]:502 يتميز هذا النوع بزيادة في عدد الخلايا في الكبيبة، وتغيرات في الغشاء القاعدي الكبيبي. يكون هذا الشكل مع المتلازمة الكلوية، نقص الـcomplement في الدم، وعادة ما تتدهور الحالة. يوجد نوعين أساسيين:[5]:552–553
يحدث النوع 1 بسبب المركبات المناعية المنتشرة، غالبا كنتيجة ثانوية لمرض الذئبة الحمامية الجهازية، التهاب الكبد B و C، أو غيره من الأمراض المزمنة أو المتكررة. المركبات المناعية قد تؤدي إلى تفعيل النظام المُكمِّل، مما يؤدي إلى حدوث التهاب وتدفق الخلايا الالتهابية [5]:552–553 النوع 2، المعروف أيضا باسم مرض الترسبات الكثيفة، ويتميز بتفعيل مفرط للنظام المكمل. والأجسام المضادة C3 الكلوي يقوم بتثبيت C3-كونفيرتاز، مما قد يؤدي إلى تفعيل زائد للنظام [5]:553

التهاب كبيبات الكلى المتدهور
والمعروف أيضا باسم التهاب كبيبات الكلى الهلالي، يتميز بالتدهور السريع في وظائف الكلى. الأشخاص الذين يعانون من التهاب كبيبات الكلى السريع قد يصابون بالمتلازمة الكلوية. والتي تكون استجابتها ضعيفة للستيرويدات أثناء العلاج في بعض الأحيان، [7] يُعرف بثلاثة أنواع فرعية:[5]:557–558[7]
نوع 1 هو مرض كودباستشر، أحد أمراض المناعة الذاتية التي تصيب أيضًا الرئة. في متلازمة كودباستشر، تكون الأجسام المضادة "جي" موجهة ضد الغشاء القاعدي الكبيبي ففتؤدي إلى التهابات، مما يسبب متلازمة الالتهاب الكلوي والسعال حتى الدم[5]:557 مطلوب جرعة عالية من مثبطات المناعة مثل سيكلوفوسفاميد، بالإضافة إلى فصل البلازما وتنقيتها. يتم التشخيص بصبغ عينات الأنسجة الذي يُظهر ترسبات الجسم المضاد G. ويتميز النوع 2 بأن الضرر الناتج يكون بسبب ترسبات المركبات المناعية، قد يصاحبه مرض الذئبة الحمامية الجهازية، التهاب كبيبات الكلى بعد العدوى، أو اعتلال الكلية بسبب الجسم المضاد A [5]:558
ويرتبط نوع 3 التهاب كبيبات الكلى السريع مع أسباب التهاب الأوعية الدموية حيث لا تُظهر الصبغات ترسبات مناعية، لكن اختبارات الدم قد تكون إيجابية للأجسام المضادةANCA [5]:558–559 التشريح المرضي: غالبية الكبيبات تُظهر تشكيل أهلة بسبب مرور الفيبرين إلى كبسولة بومان نتيجة لزيادة نفاذية الغشاء القاعدي الكبيبي. الفيبرين يحفز تكاثر الخلايا المبطنة للكبسولة، مما يضغط على الأوعية الدموية الشعرية ويقلل من مساحة بومان، الأمر الذي يؤدي إلى الفشل الكلوي في غضون أسابيع أو أشهر.

التشخيص
يتم تشخيص بعض أشكال التهاب كبيبات الكلى سريريًا، استنادًا إلى نتائج التاريخ المرضي والفحص. ويمكن أن يشمل اختبارات أخرى:[7]
فحص البول اختبارات الدم، بما في ذلك علامات الالتهابات والاختبارات الخاصة مثل (الأجسام المضادة للنواة، الأجسام المضادة للغشاء القاعدي الكبيبي)
خزعة الكلى (أخذ عينة من نسيج الكلى)
العلاج
يعتمد العلاج على مسببات المرض وعلى مدى خطورة الأعراض والحالة الصحية للمريض وأيضًا ما إذا كان المرض حادًا أم مزمنًا. الهدف من العلاج في الأساس هو منع زيادة تدهور الكلى، وأهم خطوة هي علاج ارتفاع ضغط الدم يكون ذلك عن طريق مدرات البول وغيرها من الأدوية. و علاج السبب عن طريق المضادات الحيوية أو الأدوية المثبطة للمناعة والستيرويدات أو الأبحاث الحديثة حول مكملات زيت السمك، وأيضًا فصل البلازما وتنقيتها من الأجسام المضادة.
يشمل العلاج تغيير نمط الحياة بتقليل كمية الملح في الطعام لمنع زيادة احتباس الماء في الجسم، تقليل كمية البوتاسيوم والبروتين لمنع زيادة تراكم فضلاتهم في الدم، الحفاظ على وزن مثالي، تنظيم سكر الدم إذا كان المريض يعاني من داء السكري، والابتعاد عن التدخين.
أما في الحالات المتأخرة وحالات الفشل الكلوي فإن العلاج طويل المدى هو غسيل الكلى أو زرع كلى، وإذا كان زرع الكلى غير مناسب لتدهور الحالة الصحية فإن غسيل الكلى هو الاختيار الوحيد.
انظر أيضًا
المصادر
- معرف أنطولوجية المرض: http://www.disease-ontology.org/?id=DOID:2921 — تاريخ الاطلاع: 30 نوفمبر 2020 — الرخصة: CC0
- "glomerulonephritis" في معجم دورلاند الطبي
- Colledge, Nicki R.; Walker, Brian R.; Ralston, Stuart H., المحررون (2010). Davidson's principles and practice of medicine. illust. Robert Britton (الطبعة 21st). Edinburgh: Churchill Livingstone/Elsevier. ISBN 978-0-7020-3084-0. الوسيط
|CitationClass=تم تجاهله (مساعدة) - The Nephrotic Syndrome Stephan R. Orth, M.D., and Eberhard Ritz, M.D. N Engl J Med 1998; 338:1202-1211April 23, 1998DOI: 10.1056/NEJM199804233381707
- Kumar, Vinay, المحرر (2007). Robbins basic pathology (الطبعة 8th). Philadelphia: Saunders/Elsevier. ISBN 978-1-4160-2973-1. الوسيط
|CitationClass=تم تجاهله (مساعدة) - مدلاين بلس Membranous nephropathy
- COUSER, W (1 May 1999). "Glomerulonephritis". The Lancet. 353 (9163): 1509–1515. doi:10.1016/S0140-6736(98)06195-9. PMID 10232333. الوسيط
|CitationClass=تم تجاهله (مساعدة)

