ذات الرئة الشفطية
ذات الرئة الشفطي أو ذات الرئة الاستنشاقية (بالإنجليزية: Aspiration pneumonia) هو التهاب رئوي قصبي يحدث بسبب دخول مواد غريبة إلى الشعب الهوائية،[1] وعادة ما تكون من الفم أو المعدة، مثل الطعام واللعاب وإفرازات الأنف. نتيجة لذلك قد يحدث الالتهاب الرئوي الكيميائي (أو الالتهاب الرئوي الشفطي) بحسب حموضة المواد الداخلة. البكتريا المعدية (وخصوصا اللاهوائية) قد تزيد الالتهاب.
| ذات الرئة الشفطي Aspiration pneumonia | |
|---|---|
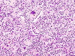
![]() صورة مجهرية نسيجية لشخص مسن يشكو ذات الرئة الشفطي ووهن عصبي. لاحظ تفاعل خلية الجسم الغريب العملاقة. صورة مجهرية نسيجية لشخص مسن يشكو ذات الرئة الشفطي ووهن عصبي. لاحظ تفاعل خلية الجسم الغريب العملاقة. | |
| معلومات عامة | |
| الاختصاص | طب الرئة |
| من أنواع | ذات الرئة البكتيري |
| التاريخ | |
| وصفها المصدر | الموسوعة السوفيتية الكبرى |
الأسباب
يحدث ذات الرئة الشفطي بسبب عملية بلع غير كفوءة. تحدث هذه الحالة في أمراض عدة مثل التصلب المتعدد والسكتة ومرض آلزهايمر والسكر. كما يحدث خلال العمليات الجراحية وهي مشكلة علاجية قد تحدث بسبب التخدير العام، لذلك تكون التعليمات لا شيء في الفم (باللاتينية: Nil per os ومختصرها NPO) لمدة لا تقل عن 4 ساعات قبل العملية.
عوامل الخطورة
- الإثنية[2]
- التقدم في السن[3][4]
- الجنس (الذكور أكثر من الإناث)[3]
- ضعف صحة الأسنان[3][5]
- أمراض الرئة[3]
- عسر البلع[3][4]
- السكري[3]
- الخرف الشديد[3]
- سوء التغذية[3]
- مرض باركنسون[3]
- بعض الأدوية، مثل:[3]
- انخفاض الحالة الوظيفية[4]
- البقاء في المستشفى لفترات طويلة أو التعرض لعمليات جراحية[4]
- انخفاض الوعي[4]
- التدخل الميكانيكي في المجاري التنفسية[4]
- نقص المناعة[4]
- التدخين[4]
- العلاج بالمضادات الحيوية[4]
- انخفاض التنظيف الرئوي[4]
- ضعف انعكاس السعال[4]
- خلل في الوقاية المخاطية الطبيعية[4]
- خلل في تنظيف الهدب المخاطي[4]
- اضطراب المناعة[4]
- انسدادات في المجاري التنفسية[4]
- تضرر النسيج الرئوي[4]
طالع أيضا
- عسر البلع
- ذات الرئة المكتسب من المستشفى
- متلازمة الشريان المساريقي العلوي
- متلازمة الشفط العقي
المصادر
- "aspiration pneumonia" في معجم دورلاند الطبي
- Oliver, N.M., Stukenborg, G.J., Wagner, D.P., Harrell, F.E., Kilbirdge, K.L., Lyman, J.A., Einbinder, J., & Connors, A.F. (2004). Ethnicity on In-Hospital Mortality from Aspiration Pneumonia. Journal of the National Medical Association, 96(11), 1462-1469.
- van der Maarek-Wierink, C.D., Vanobbergen, J.N., Bronkhorst, E.M., Schols, J.M., & de Baat, C., (2011). Risk factors for aspiration pneumonia in frail older people: a systematic literature review. Journal of American Medical Directors Association, 12(5), 344-354.
- Taylor, G.W., Loesche, W.J., & Terpenning, M.S. (2000). Impact of Oral Diseases on Systemic Health in the Elderly: Diabetes Mellitus and Aspiration Pneumonia. Journal of Public Health Dentistry, 60(4), 313-320
- Scannapieco, F.A., Mylotte, J.M. (1996). Relationship between periodontal disease and bacterial pneumonia. Journal of Periodontal, 67, supple 10, 1114-1122.
- Table 13-7 in: Mitchell, Richard Sheppard; Kumar, Vinay; Abbas, Abul K.; Fausto, Nelson. Robbins Basic Pathology: With STUDENT CONSULT Online Access. Philadelphia: Saunders. ISBN 1-4160-2973-7. الوسيط
|CitationClass=تم تجاهله (مساعدة)صيانة CS1: أسماء متعددة: قائمة المؤلفون (link) 8th edition.
- بوابة طب
في كومنز صور وملفات عن: ذات الرئة الشفطية
This article is issued from Wikipedia. The text is licensed under Creative Commons - Attribution - Sharealike. Additional terms may apply for the media files.
.jpg.webp)