مرض باركنسون
مرض باركنسون كما يُعرف باسم الشلل الارتعاشي هو اضطراب تنكسي في الجهاز العصبي المركزي الذي يؤثر بشكل رئيسي على الجهاز الحركي.[2] تبدأ الأعراض ببطء في بداية المرض، أكثر الأعراض وضوحاً هي الرعاش، التقبض، نقص الحراك وتشوه المشية.[2] قد تحدث مشاكل التفكير والسلوك أيضا. كما يصبح الخرف شائعا في المراحل المتقدمة من المرض. يعتبر الاكتئاب والقلق هم أيضا من الأعراض الشائعة التي تحدث في أكثر من ثلث الأشخاص المصابين بمرض باركسنون.[3] وتشمل الأعراض الحسية : اضطراب النوم والمشاكل العاطفية.[2][3] الأعراض الحركية الرئيسية تسمى بشكل جماعي "باركنسونية"، أو "متلازمة باركنسونية".[4][5] سبب مرض باركنسون غير معروف بشكل عام، ولكن يعتقد أنه ينطوي على عوامل وراثية وبيئية.[4] وهناك أيضا خطر متزايد في الأشخاص المعرضين لبعض المبيدات ومن بين أولئك الذين أصيبوا بإصابات في الرأس، في حين أن هناك خطر أقل في مدخني التبغ وأولئك الذين يشربون القهوة أو الشاي.[4][6] الأعراض الحركية للمرض تنتج عن موت الخلايا في المادة السوداء، وهي منطقة من الدماغ المتوسط. وهذا يؤدي إلى عدم كفاية الدوبامين في هذه المجالات.[2] والسبب في موت الخلايا غير مفهوم، ولكنه ينطوي على تراكم البروتينات في أجسام ليوي في الخلايا العصبية.[4] تشخيص الحالات النموذجية يعتمد أساسا على الأعراض، مع اختبارات مثل التصوير العصبي تستخدم لاستبعاد الأمراض الأخرى.[2]
| مرض باركنسون | |
|---|---|
![]() مرض باركنسون مجهول السبب، متلازمة جامدة ناقصة الحركة، شلل مرض باركنسون مجهول السبب، متلازمة جامدة ناقصة الحركة، شلل | |
| معلومات عامة | |
| الاختصاص | طب الجهاز العصبي |
| المظهر السريري | |
| الأعراض | رعاش ، وتقبض ، ونقص الحراك ، وتشوه المشية |
| الإدارة | |
| أدوية | كابرجولين ، وليفودوبا ، وبراميبيكسول ، وإنتاكابون ، وبايبيريدين ، وكاربيدوبا ، وبيرغوليد ، و(±)-دبرينيل ، وتولكابون ، وبروموكريبتين ، وثلاثي الهيكسيفينيديل ، وروبينيرول ، وأمانتادين ، وآبومورفين ، وراساجيلين ، وسافيناميد ، وزونيساميد ، وروتيغوتين ، وكاربيدوبا/ليفودوبا ، وريفاستيجمين ، وكلوزابين ، وريفاستيجمين ، وروتيغوتين ، وبيريبيديل ، وليفودوبا ، وأمانتادين ، وإنتاكابون ، وثلاثي الهيكسيفينيديل
|
| الوبائيات | |
| انتشار المرض | 0.002 (2012)[1] |
| التاريخ | |
| سُمي باسم | جيمس باركنسون |
| وصفها المصدر | الموسوعة السوفيتية الأرمينية ، وموسوعة بلوتو |
لا يوجد علاج لمرض باركنسون.[2] العلاج الأولي هو عادة ما يكون ليفودوبا أنتيباركينسون الدواء مع محفز للدوبامين. مع تقدم المرض تظل الخلايا العصبية في حالة فقدان، وبالتالي تصبح هذه الأدوية أقل فعالية.[3] أظهر النظام الغذائي وبعض أشكال إعادة التأهيل بعض الفعالية في تحسين الأعراض.[7][8] تم استخدام جراحة عصبية لوضع ميكرولتروديس لتحفيز الدماغ للحد من أعراض الجهاز الحركي في الحالات الشديدة عندما تكون الأدوية غير فعالة.[2][4] في عام 2015، أثر مرض باركنسون على 6.2 مليون شخص وأسفر عن حوالي 117.400 حالة وفاة على مستوى العالم.[9][10] مرض باركنسون يحدث عادة في الأشخاص الذين تزيد أعمارهم عن 60 عاما.[2][11] الذكور أكثر تضررا من الإناث.[4] عندما يصيب المرض الأشخاص الأقل من 50 عاماً، يطلق عليه مرض باركنسون الشبابي.[12] متوسط العمر المتوقع بعد تشخيص مرض باركنسون بين 7 و 14 سنة.[3] اكتشف هذ المرض الطبيب الإنجليزي جيمس باركنسون، الذي نشر أول وصف تفصيلي في مقال عن هز الشلل، في عام 1817.[13][14] وتشمل حملات التوعية العامة يوم باركنسون العالمي (في عيد ميلاد جيمس باركنسون، 11 نيسان / أبريل) واستخدام توليب أحمر كرمز للمرض.[15] من بين الأشخاص الذين عانوا من مرض باركنسون وساهموا في زيادة وعي الجمهور بالحالة هم الممثل مايكل جي فوكس، والدراج الأولمبي ديفيس فيني، والملاكم الراحل محمد علي.[16][17][18]
التصنيف

تسمى صعوبات الحركة التي وجدت في مرض باكنسون بـ "باركنسونيسم - parkinsonism". تُعرف الأعراض الحركية "الباركنسونية" ببطء الحركة (بطء في بدء الحركات الطوعية، مع انخفاض تدريجي في السرعة، بالإضافة إلى واحدة من ثلاثة علامات مادية اخرى: صلابة العضلات، والرعاش، وعدم الاستقرار الوضعي.[19][20][21]
يسمى مرض باركنسون أحيانا "باركنسون مجهول السبب"، لأنه ليس لهذا المرض سبب محدد. وتشمل الأسباب التي يمكن التعرف عليها من مرض باركنسون السموم، والالتهابات، والآثار الجانبية للأدوية، والتوقف الأيضي، وآفات الدماغ مثل السكتات الدماغية. قد تحدث العديد من الاضطرابات العصبية أيضا مع الشلل الرعاشي، ويشار إليها أحيانا باسم "باركنسون الشاذة" أو "باركنسون الزائد" وهي تشمل ضمور النظام المتعدد، والشلل فوق الناصف التدريجي، وانحطاط القشرية، والخرف و داء جسيمات ليوي.[22][22][23][24]
يشير العلماء أحيانا إلى مرض باركنسون باعتباره اعتلالا متزامنا (بسبب تراكم غير طبيعي لبروتين ألفا-ساينوسلين في الدماغ) لتمييزه عن الأمراض العصبية التناسلية الأخرى، مثل مرض آلزهايمر حيث يتراكم في الدماغ بروتين تاو. يوجد تداخل سريري ومرضي كبير بين توباثيز وسينوكلينوباثيز. على النقيض من مرض باركنسون، مرض الزهايمر هو الأكثر شيوعا مع فقدان الذاكرة، وعلامات كاردينال من مرض باركنسون (بطء، ورعاش، وصلابة، وعدم الاستقرار الوضعي) ليست سمات طبيعية من مرض الزهايمر.[25]
الخرف و داء جسيمات ليوي هو اعتلال له صلة وثيقة بمرض باركنسون، العلاقة بين مرض باركنسون (PD) و داء جسيمات ليوي (DLP) معقدة تماما.ويمكن أن تمثل أجزاء من سلسلة متصلة مع سمات سريرية ومرضية مختلفة متفاوتة أو قد تثبت أنها أمراض منفصلة.[26]
العلامات والأعراض


الأعراض الأكثر تميزا لمرض باركنسون هي صعوبة الحركة، كما أن الأعراض غير الحركية، والتي تشمل الخلل الذاتي، والمشاكل العصبية والنفسية (المزاج، والإدراك، والسلوك، أو تغيير الفكر)، والحس (تغير الشعور بالرائحة بشكل خاص) وصعوبات النوم، هي أيضا شائعة. بعض هذه الأعراض غير الحركية قد تكون موجودة في وقت التشخيص.[29]
الجهاز الحركي
الأعراض الحركية الأساسية في مرض باركنسون هم أربعة : رعاش، نقص الحراك، وصلابة الحركة، وعدم الاستقرار الوضعي.[29]
أكثر الأعراض الحركية شيوعا في مرض باركنسون هي هزة بطيئة في اليد التي تختفي أثناء الحركة الطوعية للذراع المتضررة وفي مراحل النوم العميق. وعادة ما تظهر تلك الرعشة في يد واحدة، ولكن سرعان ما تتأثر اليد الأخرى في نهاية المطاف مع تقدم المرض. تردد الهزة لمرض باركنسون ما بين 4 و 6 هيرتز في الثانية الواحدة. وهناك ميزة لحركة الرعاش التي تخص اليد وهي ميل السبابة والإبهام للمس بعضهم وعمل حركة دائرية.[29][30]
عرض نقص الحراك موجود في جميع حالات مرض باركنسون، ويرجع ذلك إلى الاضطرابات في التخطيط الحركي لبدء الحركة، ويرتبط مع الصعوبات على طول مسار عملية الحركة، من التخطيط للبدء إلى تنفيذ حركة. أداء الحركة يكون ضعيفاً. بطء الحركة هو أكثر أعراض الإعاقة من مرض باركنسون مما يؤدي إلى صعوبات في المهام اليومية مثل خلع الملابس، والتغذية، والاستحمام. فإنه يؤدي إلى صعوبة خاصة في تنفيذ اثنين من الأنشطة الحركية المستقلة في نفس الوقت، ويمكن أن يزداد سوءا عن طريق الضغط النفسي أو الأمراض المتزامنة. ومن المفارقات أن المرضى الذين يعانون من مرض باركنسون يمكن في كثير من الأحيان أن يركبوا دراجة أو يتسلقوا السلالم بسهولة أكثر من المشى. في حين أن معظم الأطباء قد تلاحظ بسهولة بطء الحركة، والتقييم الرسمي يتطلب المريض للقيام بالحركات المتكررة لأصابع اليدين والقدمين.[31]
الصلابة أحد أعراض باركسنون وهي صلابة ومقاومة لحركة الأطراف الناجمة عن زيادة قوة العضلات، والانكماش المفرط والمستمر للعضلات.[22][29][32][33] تعتبر الصلابة مزيج من الرعشة وزيادة القوة العضلية في نفس الوقت. قد ترتبط الصلابة مع آلام المفاصل. وهذا الألم هو مظهر أولي متكرر للمرض. في المراحل المبكرة من مرض باركنسون، غالبا ما تكون الصلابة غير متناظرة وتميل إلى التأثير على عضلات الرقبة والكتف قبل عضلات الوجه والأطراف، مع تطور المرض، تؤثر الصلابة عادة على الجسم كله وتقلل من القدرة على التحرك.[29][34][35]
عدم الاستقرار الوضعي يكون في المراحل الأخيرة من مرض باركنسون، مما يؤدي إلى ضعف التوازن والسقوط المتكرر مما يسهل من كسور العظام، وفقدان الثقة، وانخفاض التنقل. وغالبا ما يكون عدم الاستقرار غائبا في المراحل الأولية، وخاصة لدى الشباب، خاصة قبل ظهور الأعراض الثنائية. ما يصل إلى 40٪ من الأشخاص الذين تم تشخيصهم بمرض باركنسون يسقطون على الأرض بشكل مستمر.[29][36][37][38]
تشمل العلامات والأعراض الأخرى المعترف بها التي تؤثر على النظام الحركي للمريض هي : (حركة سريعة تحدث للمريض عند محاولته للتوقف أو تغيير وضعه)، ومن العلامات أيضا : صوت هادئ، وجه لا يتحرك ( يسمى بالقناع - لعدم ظهور علامات ضحك أو حزن أو أى شئ على المريض ) كما أن الكتابة اليدوية للمريض تصغر بشكل ملحوظ مع الوقت.[39]
الجهاز العصبي
مرض باركنسون يمكن أن يسبب اضطرابات عصبية نفسية، والتي يمكن أن تتراوح من اضطرابات خفيفة إلى اضطرابات شديدة. تشمل اضطرابات على الإدراك، والمزاج، والسلوك، والفكر.[29]
يمكن أن تحدث اضطرابات إدراكية في المراحل المبكرة من المرض وأحيانا قبل التشخيص، وتزيد تلك الاضطرابات مع زيادة في عمر المريض وتقدم مراحل المرض. العجز الإدراكي الأكثر شيوعا في مرض باركنسون هو ضعف التنفيذ والتخطيط، والذي يمكن أن يشمل مشاكل في التخطيط والمرونة المعرفية والتفكير المجرد، وتثبيط الإجراءات غير المناسبة، والشروع في الإجراءات المناسبة، والذاكرة العاملة، وتشمل الصعوبات الإدراكية الأخرى سرعة المعالجة المعرفية البطيئة، وتراجع الاستعصاب والإدراك الضعيف وتقدير الوقت. كما أن مشاكل النظر هي جزء من المرض، على سبيل المثال، عندما يطلب من الفرد إجراء اختبارات التعرف على الوجه وإدراك اتجاه الخطوط المرسومة لا يمكنه تحديد ذلك بسهولة. الشخص المصاب بمرض باركسنون لدية مرتين إلى ستة أضعاف خطر الخرف مقارنة مع عامة السكان.[29][40]
يزيد انتشار الخرف مع التقدم في السن، وطول مدة المرض. ويرتبط الخرف مع انخفاض نوعية الحياة في الأشخاص الذين يعانون من مرض باركنسون ومقدمي الرعاية لهم، وبالتالي احتياج المريض بصورة أكبر إلى الرعاية التمريضية المنزل.[40][41]
السلوك وتغييرات المزاج هي أكثر شيوعا لمرضى باركنسون دون ضعف الإدراك مقارنة بالأصحاء، وعادة ما يكون تغير السلوك والمزاج مصاحب للخرف. أكثر مشاكل المزاج شيوعا هي الاكتئاب، واللامبالاة، والقلق. إن تشخيص الاكتئاب أمر معقد بسبب حقيقة أن لغة الجسد من الاكتئاب قد تتنكر على أنه مرض باركنسون، منها مثلا الوجه الحزين الذي لا يعبر عنه، وحركة بطيئة، وصوت هادئ متقطع - كل هذا قد يكون مريض باركنسون أو مجرد حالة اكتئاب وبالتالى الفصل بينهما باستخدام تلك الأعراض فقط صعب جدا. قد يصل 30٪ من الأشخاص الذين يعانون من مرض باركنسون إلى أعراض القلق، بدءا من اضطراب القلق العام إلى اضطراب القلق الاجتماعي، اضطراب الهلع واضطراب وسواسي قهري.[29]
الانقسام الذي يحدث فيه سلوكيات نمطية متكررة بلا هدف، تحدث فقط لعدة ساعات، وهو اضطراب آخر ناجم عن دواء مضاد للباركنسون.
تحدث الهلوسة أو الأوهام في حوالي 50٪ من الأشخاص المصابين بمرض باركنسون على مدى المرض، ويمكن أن تكون علامة على ظهور الخرف. وتتراوح هذه الأمور بين الهلوسة الصغيرة - "الشعور بالمرور" (شيء يمر بسرعة بجانب الشخص) أو "الإحساس بوجود" (تصور شيء / شخص يقف إلى جانب أو خلف الشخص) - إلى هلوسة بصرية وأفكار بجنون العظمة. الهلوسة السمعية هي غير شائعة في مرض باركنسون، ونادرا ما توصف بأنها أصوات. ويعتقد الآن أن الذهان هو جزء لا يتجزأ من هذا المرض. والذهان مع الأوهام والهذيان المرتبطة بها هو تعقيد معترف به من العلاج المضاد للباركنسون ويمكن أيضا أن يكون سببها التهابات المسالك البولية (كما يحدث في كثير من الأحيان في كبار السن)، ولكن المخدرات والعدوى ليست العوامل الوحيدة وراء علم الأمراض أو التغيرات في النواقل العصبية أو مستقبلاتها (على سبيل المثال، أستيل كولين، سيروتونين) يعتقد أنها تلعب دورا في الذهان في مرض باركنسون.[42][43]
أعراض أخرى
بالإضافة إلى الأعراض العصبية والنفسية والحركية، يُمكن لمرض باركنسون أن يضاعف من مشاكل الأجهزة الأخرى.
مشاكل النوم هي سمة من سمات المرض ويمكن أن تتفاقم بسبب الأدوية. الأعراض يمكن أن تظهر كالـ نعاس أثناء النهار (بما في ذلك هجمات النوم المفاجئة تشبه الخدار)، واضطرابات في النوم، أو أرق. حركة العين السريعة، حيث يتصرف المريض وكأنه في حلم، وأحيانا إصابة أنفسهم أو شريك سريرهم، قد تبدأ سنوات عديدة قبل إصابة النظام الحركي أو السمات المعرفية من مرض باركنسون.[29][44]
التغيرات في الجهاز العصبي الذاتي يمكن أن تؤدي إلى هبوط الضغط الانتصابي (انخفاض ضغط الدم عند الوقوف)، التهاب الجلد الدهني والتعرق المفرط، وسلس البول، وتغيير الوظيفة الجنسية. الإمساك وإضعاف المعدة يمكن أن تكون شديدة بما فيه الكفاية لتسبب عدم الراحة وحتى تعريض الصحة للخطر. التغييرات في الإدراك قد تشمل إحساس ضعيف بالرائحة، والرؤية المضطربة، والألم. كل هذه الأعراض يمكن أن تحدث قبل سنوات من تشخيص المرض.[7][29]
الأسباب
عوامل بيئية
ارتبط التعرض لمبيدات الآفات وإصابة الرأس بالإصابة بمرض باركنسون ولكن الخطر الإصابة ضعيف إلى حد ما. الناس الذين لم يدخنوا السجائر أبداً لديهم خطر متزايد للإصابة بمرض باركنسون ولا يشربون المشروبات التي تحتوي على الكافيين بشكل معتدل يزيد من خطورة الإصابة بالمرض. تركيزات منخفضة من البول في مصل الدم قد تزيد من خطر الإصابة بمرض باركنسون.[45][46]
عوامل وراثية

يُفترض أن مرض باركنسون اضطراب غير وراثي ولكن يبدو أنه نتاج تفاعل معقد من العوامل الوراثية والبيئية. حوالي 15٪ من الأفراد الذين لديهم أقرباء مصابون يعانون من المرض أيضا، و 5-10٪ من الناس المصابون بمرض باركنسون يمكن أن يكون سبب الإصابة هي طفرة في واحدة من عدة جينات محددة . قد لا يؤدي تروين أحد هذه الطفرات الجينية إلى الإصابة بالمرض، فهو يضع الفرد في خطر متزايد، وغالبا ما يكون بالاشتراك مع عوامل خطر أخرى، ولكن في معظم الحالات، فإن الأشخاص الذين يعانون من هذه الطفرات سيصابون بمرض باركنسون.[4][22][47]
الجينات المتورطة في تطوير مرض باركنسون هي : ألفا-ساينوسلين، LRRK2، GBA، PRKN، PINK1، PARK7، VPS35، EIF4G1، DNAJC13 و CHCHD2.[48]
الطفرات الجينية SNCA مهمة في مرض باركنسون لأن البروتين الذي يشفر الجينات، ألفا-ساينوسلين، هو المكون الرئيسي لهيئات ليوي التي تتراكم في أدمغة الناس. الطفرات في بعض الجينات، بما في ذلك SNCA، LRRK2، GBA وجد أنها عوامل خطر. الطفرات في الجين LRRK2 هي السبب الأكثر شيوعا المسبب لمرض باركنسون، وهو ما يمثل حوالي 5٪ من الأفراد الذين لديهم تاريخ عائلي للمرض و 3٪ من الحالات المتفرقة. طفرة في GBA تعرض الشخص بشكل كبير لتطوير مرض باركنسون.[47][48][49]
وتشارك العديد من الجينات المرتبطة لمرض باركنسون في وظيفة الليزوزومات. وقد اقترح أن بعض حالات مرض باركنسون قد تكون ناجمة عن اختلالات الليسوسوم الذي يقلل من قدرة الخلايا على كسر ألفا-ساينوسلين.[50]
الفيزيولوجيا المرضية

المرضية الرئيسية لمرض باركنسون هي موت الخلايا في العقد القاعدية في الدماغ (التي تؤثر على حوالي 70٪ من دوبامين الخلايا العصبية في المادة السوداء ) بالإضافة إلى (تراكم بروتين ألفا-ساينوسلين) في العديد من الخلايا العصبية المتبقية. ويرافق هذا فقدان الخلايا العصبية وموت الخلايا النجمية (الخلايا الدبقية على شكل نجمة) وزيادة كبيرة في عدد الخلايا الدبقية الصغيرة (نوع آخر من الخلايا الدبقية) في المادة النيجرية.[49][51]

- التقدم الأولي التخطيطي لرواسب الجسم ليوي في المراحل الأولى من مرض باركنسون، على النحو الذي اقترحه براك وزملاؤه
- توطين منطقة خفض حجم الدماغ في مرض باركنسون مقارنة مع مجموعة من المشاركين دون المرض في دراسة التصوير العصبي، والتي خلصت إلى أن الضرر في الدماغ قد يكون في أول مرحلة يمكن تحديدها من الاعتلال العصبي لمرض باركنسون
هناك خمسة مسارات رئيسية في الدماغ تربط مناطق الدماغ الأخرى مع العقد القاعدية. المعروفة باسم قشرة حركية، أوكولو-موتور "oculo-motor"، قشرة مخية، جهاز نطاقي و قشرة جبهية حجاجية. كل منهم يتأثر في مرض باركنسون، واضطراب تلك المناطق في الدماغ يفسر العديد من أعراض المرض، لأن هذه الدوائر تشارك في مجموعة واسعة من الوظائف، بما في ذلك الحركة والانتباه والتعلم.[52]
هناك نموذج مفاهيمي خاص للنظام الحركي وتغييره مع مرض باركنسون وكان لهذا النموذج تأثير كبير منذ عام 1980، على الرغم من بعض القيود التي أدت إلى بعض التعديلات فيه. في هذا النموذج، العقد القاعدية عادة تمارس تأثير مثبط مستمر على مجموعة واسعة من الأنظمة الحركية، ومنعهم من أن تصبح نشطة في أوقات غير مناسبة. عندما يتم اتخاذ قرار لتنفيذ إجراء معين، يتم تقليل تثبيط النظام المحرك المطلوب، وبالتالي الإفراج عنه للتفعيل. يعمل الدوبامين لتسهيل هذا الإفراج عن الجهاز الحركي، لذلك المستويات العالية من الدوبامين تميل إلى تعزيز النشاط الحركي، وهذا ما يحدث في مرض باركنسون حيث يتطلب المريض بذل مزيد من الجهد من أجل أي حركة معينة. وبالتالي، فإن التأثير الصافي لاستنفاد الدوبامين هو إنتاج نقص الحركة، وهو انخفاض عام في إنتاج المحرك. العقاقير التي تستخدم لعلاج مرض باركنسون، قد تعمل على زيادة الدوبامين، مما يسمح لتفعيل النظم الحركية.[52]
موت خلايا الدماغ
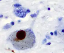
هناك تكهنات بعدة آليات يمكن من خلالها فقدان خلايا الدماغ. وتتكون إحدى الآليات من تراكم غير طبيعي للبروتين ألفا-ساينوسلين المرتبط ب يوبيكويتين في الخلايا التالفة. يتراكم هذا البروتين غير القابل للذوبان داخل الخلايا العصبية التي تشكل مشتقات تسمى أجسام ليوي. وفقا لـ براك ، يتم تصنيف المرض على أساس النتائج المرضية، تظهر هيئات ليوي لأول مرة في لمبة الشم، النخاع المستطيل و بونتين تيغمينتوم. قد يكون الأفراد في هذه المرحلة غير متناظرين أو قد يكون لديهم أعراض غير حركية مبكرة (مثل فقدان الشعور بالرائحة، أو بعض الأرق أو الخلل التلقائي). مع تطور المرض، تتطور جثث ليوي في مادة نيغرا، مناطق الدماغ المتوسط والدماغ الأمامي القاعدي، وأخيرا، القشرة المخية الحديثة. هذه المواقع في الدماغ هي الأماكن الرئيسية من انحطاط الخلايا العصبية في مرض باركنسون. ومع ذلك، قد لا تسبب أجسام ليوي موت الخلايا وقد تكون وقائية. الأشكال الأخرى من ألفا سينوكلين (على سبيل المثال، أوليغوميرس) التي لا يتم تجميعها في أجسام ليوي بينما تكون نيوريتس ليوي هي الأشكال السامة للبروتين.في الأشخاص الذين يعانون من الخرف، من الشائع وجود أجسام ليوي في المناطق القشرية. كما أن التشابك العصبي الليفي والويحات الخرفية، التي يتميز بها مرض آلزهايمر، ليست شائعة ما لم يتم التخلي عن الشخص.[49][51][53][54]
وتشمل الآليات الأخرى للموت الخلوي ضعف النظام البروتاسومي والليسوسومي وخفض نشاط الميتوكندريون. وعادة ما يلاحظ تراكم الحديد في المادة نيغرا بالتزامن مع مشتملات البروتين. قد تكون ذات صلة بالإجهاد التأكسدي، وتكدس البروتين والموت العصبي، ولكن الآليات ليست مفهومة تماما.[54][55]
التشخيص
يقوم الطبيب في البداية بتقييم مرض باركنسون مع التاريخ الطبي الدقيق والفحص العصبي. قد يعطى المريض ليفودوبا، ومع أي تحسن ناتج في الخلل الموجود في النظام الحركي يساعد بذلك على تأكيد التشخيص من مرض باركنسون. وعادة ما يعتبر العثور على أجسام ليوي في الدماغ المتوسط على تشريح الجثة دليلا نهائيا على أن الشخص قد كان مصاباً بمرض باركنسون. المسار السريري للمرض مع مرور الوقت قد تكشف أنه ليس مرض باركنسون، مما يتطلب أن يتم استعراض العرض السريري بشكل دوري للتأكد من دقة التشخيص.[29][29][56]
الأسباب الأخرى التي يمكن أن تتشابه بشكل ثانوي بمرض باركنسون هي السكتة الدماغية والمخدرات. يجب استبعاد الشلل فوق الناصري التدريجي وضمور النظام المتعدد. الأدوية المضادة للباركنسون عادة ما تكون أقل فعالية في السيطرة على الأعراض في باركنسون زائد المتلازمات. قد تشير معدلات التطور والخلل الإدراكي المبكر أو عدم الاستقرار الوضعي في البداية إلى مرض باركنسون ويشار أحيانا إلى أشكال وراثية ذات نمط راثي أو متنحي من الميراث كمرض باركنسون العائلي.[22][29][56][57]
وقد وضعت المنظمات الطبية معايير التشخيص لتخفيف وتوحيد عملية التشخيص، وخاصة في المراحل المبكرة من المرض. والمعايير الأكثر شهرة تأتي على نطاق واسع من البنك البريطاني للاضطرابات العصبية والمعهد الوطني الأمريكي للاضطرابات العصبية والسكتة الدماغية. معايير المملكة تتطلب بطء الحركة بالإضافة إلى إما صلابة، أو رعشة، أو عدم الاستقرار الوضعي. وهناك أسباب أخرى محتملة لهذه الأعراض تحتاج إلى استبعاد. وأخيرا، هناك حاجة إلى ثلاثة أو أكثر من الميزات الداعمة التالية خلال بداية أو تطور المرض : يبدأ المرض بجانب واحد فقط من الجسم، رعاش أثناء الراحة، عدم تناظر الأعراض الحركية، والاستجابة لعلاج ليفودوبا لمدة خمس سنوات على الأقل.[58]
عندما يتم فحص التشخيصات لمرض باركنسون بواسطة تشريح الجثة، يتم العثور على اضطرابات الحركة في المتوسط لتكون 79.6٪ دقيقة في التقييم الأولي و 83.9٪ دقيقة بعد أن صقل تشخيصها في فحص المتابعة. عندما يتم فحص التشخيصات السريرية التي يؤديها أساسا نونكسيرتس عن طريق التشريح، متوسط الدقة يكون بمعدل 73.8٪ و 82.7٪ من التشخيصات باستخدام معايير بنك الدماغ.[59]
وقد اقترحت فرقة عمل تابعة للجمعية الدولية لمرض الشلل الرعاش والحركة (MDS) معايير تشخيصية لمرض باركنسون، فضلا عن معايير بحثية لتشخيص مرض البادري، ولكنها تتطلب التحقق من المعايير الأكثر رسوخا.[60][61]
التصوير
التصوير المقطعي المحوسب عادة ما يبدو طبيعياً في الأشخاص المصابين بمرض باركنسون، وقد أصبح التصوير بالرنين المغناطيسي أكثر دقة في تشخيص المرض مع مرور الوقت، وتحديدا من خلال T2* حساسة للحديد وصورة الرنين المغناطيسي الموزنة بقابلية التمغنط لا يقل عن 3T، وكلاهما يمكن أن يظهر عدم وجود نمط التصوير "ذيل السنونو" مميزة في المادة الظهرانية الوحشية. في تحليل تلوي، كان غياب هذا النمط 98٪ و 95٪ محدداً لهذا المرض. صورة الانتشار في الرنين المغناطيسي تظهر إمكانية التمييز بين باركنسون وباركنسون بلوس سيندرومز، على الرغم من أن قيمته التشخيصية لا تزال قيد التحقيق. ويستخدم التصوير المقطعي بالرنين المغناطيسي والتصوير بالرنين المغناطيسي أيضا لاستبعاد الأمراض الأخرى التي يمكن أن تكون أسباب ثانوية للباركنسون، التهاب الدماغ الأكثر شيوعا والإهانات الدماغية المزمنة، فضلا عن كيانات أقل تواترا مثل أورام العقد القاعدية واستسقاء الرأس.[62][63][64]
نشاط الدوبامين ذات الصلة في العقد القاعدية يمكن قياسها مباشرة مع PET و SPECT بالاشعة. يمكن أن يؤدي اكتشاف النشاط المرتبط بالدوبامين المنخفض في العقد القاعدية إلى استبعاد ظاهرة باركنسون التي يسببها الدواء، ولكن ينخفض النشاط المرتبط بدوبامين العقد القاعدية في كل من اضطرابات باركنسون وباركنسون بلوس بحيث لا تكون هذه الفحوصات موثوقة في تمييز مرض باركنسون عن غيرها.[62]
الوقاية
ممارسة الرياضة في منتصف العمر قد يقلل من خطر مرض باركنسون في وقت لاحق من الحياة. كما يبدو الكافيين وقائيا لمرض باركنسون كما أن يعبر عن انخفاض أكبر من المخاطر التي تحدث مع كمية أكبر من المشروبات التي تحتوي على الكافيين مثل القهوة. فالأشخاص الذين يدخنون السجائر أو يستخدمون التبغ الذي لا يدخن هم أقل احتمالا من غير المدخنين للإصابة بمرض باركنسون، وكلما استخدموا التبغ، كلما قل احتمال إصابتهم. وليس من المعروف ما الذي يكمن وراء هذا التأثير. استخدام التبغ قد يحمي فعلا ضد مرض باركنسون.[8][65][66]
تم اقتراح مضادات الأكسدة، مثل فيتامين ج و فيتامين إي للحماية من المرض، ولكن نتائج الدراسات كانت متناقضة ولم يثبت أي تأثير إيجابي. وكانت النتائج المتعلقة ب الأحماض الدهنية متناقضة، مع دراسات مختلفة عن الآثار الوقائية، والآثار المتزايدة للمخاطر. كانت هناك مؤشرات أولية على أن استخدام العقاقير المضادة للالتهابات ومحصرات قنوات الكالسيوم قد تكون وقائية. ووجد تحليل عام 2010 أن أدوية مضادات الالتهاب اللا ستيرويدي (باستثناء أسبرين)، قد ارتبطت بنسبة 15 في المئة على الأقل (أعلى في المستخدمين على المدى الطويل والمنتظم) الحد من حدوث تطور مرض باركنسون..[4][67][68]
العلاج

ليس هناك علاج لمرض باركنسون، ولكن الأدوية والجراحة والعلاج الطبيعي يمكن أن توفر المساعدة للمرضى وأكثر فعالية بكثير من العلاجات المتاحة للاضطرابات العصبية الأخرى مثل مرض الزهايمر، ومرض الخلايا العصبية الحركية، ومتلازمة باركنسون والتصلب المتعدد. والأسر الرئيسية من الأدوية مفيدة لعلاج الأعراض الحركية هي ليفودوبا (جنبا إلى جنب دائما مع محفز للدوبامين و مثبط أكسيداز أحادي الأمين وأحيانا أيضا مع مثبط COMT)، منبهات الدوبامين ومثبطات ماو-ب. مرحلة المرض والعمر عند بداية المرض تحدد المجموعة الأكثر فائدة.[69]
يمكن التمييز بين ثلاث مراحل : مرحلة أولية حيث طور الفرد مع المرض بعض الإعاقة التي تتطلب العلاج الدوائي، والمرحلة الثانية المرتبطة بتطور المضاعفات المتعلقة باستخدام ليفودوبا، والمرحلة الثالثة أعراض لا علاقة لها بنقص الدوبامين أو ليفودوبا.[70]
العلاج في المرحلة الأولى يهدف إلى التبادل الأمثل بين السيطرة على الأعراض وعلاج الآثار الجانبية. يمكن تأجيل ليفودوبا في البداية باستخدام أدوية أخرى مثل مثبطات ماو-ب ومنبهات الدوبامين بدلا من ليفودوبا نفسه، على أمل تأخير بدء المضاعفات بسبب استخدام ليفودوبا. ومع ذلك، ليفودوبا لا يزال العلاج الأكثر فعالية لأعراض الجهاز الحركي ويجب ألا يتأخر في المرضى الذين يعانون من ضعف في نوعية الحياة من قبل تلك الأعراض. يرتبط خلل ليفودوبا بقوة أكبر مع مدة وشدة المرض، لذلك تأخير هذا العلاج لا يكون هو الحل الأمثل في تلك الحالة.[71][72]
في المرحلة الثانية الهدف هو الحد من أعراض مرض باركنسون مع السيطرة على التقلبات في تأثير الدواء. يجب أن تدار عمليات السحب المفاجئة من الأدوية أو الإفراط في الاستخدام. الأدوية التي تؤخذ عن طريق الفم ليست كافية للسيطرة على الأعراض ولذلك يتم استخدام الجراحة، وتحفيز الدماغ العميق، والحقن تحت الجلد لتسريب أبومورفين ومضخات دوبا المعوية يمكن أن تكون ذات فائدة. المرحلة الثالثة تقدم العديد من المشاكل الصعبة التي تتطلب مجموعة متنوعة من العلاجات للأعراض النفسية، انخفاض ضغط الدم الانتصابي، اختلال المثانة، الخ. في المراحل النهائية من المرض، يتم توفير الرعاية لتحسين نوعية الحياة.[72][73][74]
الأدوية
ليفودوبا


ليفودوبا (بالإنجليزية L-DOPA) كان العلاج الأكثر استخداما على مدى أكثر من 30 عاما. يتم تحويل L-دوبا إلى الدوبامين في الخلايا العصبية بواسطة دوبا - ديكاربوكسيلاس. وبما أن الأعراض الحركية تنتج عن نقص الدوبامين في المادة السوداء، فإن استخدام L-DOPA يقلل مؤقتا من الأعراض الحركية.
فقط 5-10٪ من L-DOPA يعبر حاجز الدم في الدماغ. وغالبا ما يتم تحويل البقية إلى دوبامين في مكان آخر، مما يسبب مجموعة واسعة من الآثار الجانبية بما في ذلك الغثيان، خلل الحركة. كاربيدوبا وبنسيرازيد هي مثبطات دكاربوكسيلاز دوبا التي تقوم بتثبيط تكوين الدوبامين في الأماكن الأخرى الغير مرغوب بها ، وبالتالي تقليص الأعراض الجانبية للعلاج بقدر الإمكان. حيث تمنع عملية التمثيل الغذائي للـ L-DOPA في الأماكن الأخرى، وبالتالي زيادة تسليم ليفودوبا إلى الجهاز العصبي المركزي. المثبطات الحالية هي كاربيدوبا / ليفودوبا (الأسماء التجارية سينيميت، فارماكوبا، اتامت) و بنسيرازيد / ليفودوبا (الاسم التجاري مادوبار).[75]
تولكابون يمنع انزيم الكاتيكول- O- ميثيل ترانسفيراس (ناقل كاتيكول-و-مثيل)، الذي يحط من الدوبامين و ليفادوبا، وبالتالي إطالة الآثار العلاجية ل ليفودوبا. يستخد التولكابون، جنبا إلى جنب مع مثبطات ديكاربوكسيلاس دوبا الطرفية، لزيادة القوة العلاجية من L-DOPA. ومع ذلك فهذا العلاج محدود، نظرا لآثاره الجانبية المحتملة مثل فشل الكبد. دواء مماثل، إنتاكابون ، لم يظهر أنه يسبب تغييرات كبيرة في وظائف الكبد كما يحافظ على تثبيط كاف من COMT مع مرور الوقت. يمكن استخدام الإنتاكابون كعلاج (كومتان) أو جنبا إلى جنب مع كاربيدوبا و ليفودوبا (ستاليفو).
نتائج استخدام ليفودوبا يعمل على انخفاض تكوين الجسم الذاتي لـ L-DOPA، على المدى الطويل يُمكن أن يسبب العلاج تطوير المضاعفات الحركية التي تتميز بالحركات اللاإرادية والخلل الحركي والتقلبات في الاستجابة للأدوية. عندما يحدث ذلك ، يتحول مريض باركنسون من مريض مستجيب بشكل جيد جدا للعلاج وتحسن ملحوظ في اختفاء أعراض المرض إلى مريض غير مستجيب إطلاقا للعلاج وظهور الأعراض المرضية بشكل سئ لهذا السبب، يتم إعطاء مرضى باركنسون جرعات مخفضة من ليفودوبا قدر الإمكان للحد من تلك المشكلة. التأخير في بدء العلاج الدوائي، بدلا من استخدام بدائل لبعض الوقت، يعد من الأمور الشائعة أيضا لتفادي تلك المشكلة. كانت الاستراتيجية السابقة للحد من المضاعفات الحركية هي سحب L-DOPA من المرضى لبعض الوقت. ولكنه كان أمر سئ لأنه يمكن أن يجلب آثار جانبية خطيرة مثل متلازمة ( خبيثة الذهان ). معظم المرضى في نهاية المطاف بحاجة ل ليفودوبا و في وقت لاحق سوف يتم ظهور المضاعفات الحركية.
ظاهرة المضاعفات المرضية بسبب استخدام العلاج يطلق عليها بالإنجليزية ( on-off phenomenon ) وهي نتيجة ثابتة تقريبا من العلاج بـ ليفودوبا المستدام في المرضى الذين يعانون من مرض باركنسون. مراحل الجمود والعجز المرتبطة بالاكتئاب. كل هذه الأعراض المسئول عنها هو العلاج ، وبالرغم من كل هذه المشاكل التي تسببها العوامل الدوائية لمرضى باركنسون يتم تقديم الأدلة للإشارة إلى أهمية التعامل مع ليفودوبا. إعادة توزيع جرعات ليفودوبا بجرعات أصغر وأكثر تواترا، قد تكون مفيدة في التحكم في التذبذبات في بعض المرضى. وقد يؤدي تقييد البروتينات الغذائية واستخدام هيدروكلوريد السيليجيلين والبروموكريبتين أيضا إلى تحسين تقلبات الحركة بشكل مؤقت. ويشمل النهج الجديد للعلاج استخدام آبومورفين تحت الجلد، وخروج ليفودوبا بكميات صغيرة مع مثبط دوبا كربوكسيل المحيطي يُساعد ذلك على خفض المضاعفات الناتجة عن استخدام L-DOPA.
منبهات الدوبامين
محفز الدوبامين له تأثير مماثل لـ ليفودوبا لأنه يرتبط بمستقبلات الدوبامين في الدماغ. تم استخدام منبهات الدوبامين في البداية للمرضى الذين يعانون من ظاهرة مشاكل العلاج ب L-DOPA و ديسكينيسياس كعلاج تكميلي ل ليفودوبا ( on-off phenomenon ) ، لكنها الآن تستخدم أساسا من تلقاء نفسها كعلاج أولي للأعراض الحركية بهدف تأخير المضاعفات الحركية.[76] تشمل منبهات الدوبامين ما يلي : بروموكريبتين ، بيرغوليد ، براميبكسول ، روبينيرول ، بيريبيديل ، كابرجولين ، آبومورفين ، ليسوريد.
محفز الدوبامين له اثار جانبية كثيرة وان كانت خفيفة مثل : النعاس ، الهلوسة ، الأرق ، الغثيان ، الإمساك. في بعض الأحيان، تظهر الآثار الجانبية حتى في الحد الأدنى من الجرعة الفعالة سريريا، مما يؤدي الطبيب للبحث عن محفز مختلف. بالمقارنة مع ليفودوبا، يقوم محفز الدوبامين بتأخير المضاعفات الحركية، والسيطرة على أعراض أسوأ من ليفودوبا. ومع ذلك، فهي عادة ما تكون فعالة بما يكفي لإدارة الأعراض في السنوات الأولى.[77] كما أن محفزات الدوبامين أكثر تكلفة.[77] منبهات الدوبامين عند الجرعات العالية تسبب اضطرابات السيطرة على النبضات.[75] ديسكينيسياس مع منبهات الدوبامين نادرة في المرضى الأصغر سنا، وأكثر شيوعا في المرضى الأكبر سنا.[77] كل هذا يوضح مدى أهمية منبهات الدوبامين كعلاج أولي لمرضى باركنسون عن ليفودوبا.[77]
آبومورفين,هو محفز للدوبامين والذي لا يُؤخذ عن طريق الفم، يمكن استخدامه للحد من فقدان الحركة في أواخر المرض. وبما أن الآثار الثانوية مثل الارتباك والهلوسة ليست نادرة مع علاج آبومورفين ، ينبغي مراقبة المرضى عن كثب. آبومورفين يمكن أن يُؤخذ عن طريق الحقن تحت الجلد باستخدام مضخة صغيرة يحملها المريض. ويتم إعطاء جرعة منخفضة تلقائيا على مدار اليوم، وبالتالي الحد من تقلبات الأعراض الحركية من خلال توفير جرعات ثابتة من محفزات الدوبامين.عند استخدام مضخة آبومورفين يجب تغيير موقع الحقن يوميا لتجنب تشكيل العقيدات. آبومورفين متاح أيضا بجرعات كبيرة كقلم أوتينجكتورالمُستخدم لجرعات الطوارئ مثل السقوط أو أول جرعة في الصباح. الغثيان والقيء أمر شائع مع آبومورفين، وقد يتطلب ذلك أخذ الدومبيريدون (مضاد للقىء).
في دراسة تقييم فعالية لمنبهات الدوبامين بالمقارنة مع ليفودوبا، أظهرت النتائج أن المرضى الذين أخذوا منبهات الدوبامين كانوا أقل عرضة لتطوير خلل الحركة، خلل التوتر، وتقلبات الحركات، على الرغم من أنهم أكثر عرضة لوقف العلاج بسبب الآثار الجانبية السلبية مثل الغثيان ، والإمساك ، وما إلى ذلك.
مثبطات ماو-ب
تقوم مثبطات أكسيداز أحادي الأمين (سيليجيلين ، راساجيلين) على زيادة مستوى الدوبامين في العقد القاعدية. حيث تقوم بتثبط مونوامين أوكسيديز-ب (ماو-ب) الذي يقوم بتكسير الدوبامين الذي يتم افرازه من الخلايا العصبية. ولذلك، فإن تقليل ماو-ب يؤدي إلى كميات أعلى من L-DOPA. وبالمثل لمحفزات الدوبامين، مثبطات ماو-ب تحسن الأعراض الحركية وتأخر الحاجة إلى اتخاذ ليفودوبا كعلاج وحيد في المراحل الأولى من المرض، ولكن تلك المثبطات تنتج آثار أكثر سلبية وتكون أقل فعالية من ليفودوبا. كما أن فعاليتها في المرحلة المتقدمة من المرض ضعيفة.
وتشمل الأيضات من سيليجيلين على : L- الأمفيتامين و L- الميثامفيتامين. هذا قد يؤدي إلى آثار جانبية مثل الأرق. تأثير جانبي آخر يمكن أن يكون التهاب الفم. وخلافا لغيرها من مثبطات أوكسيديز مونوامين ، الأطعمة التي تحتوي على تيرامين لا تسبب أزمة ارتفاع ضغط الدم.
الأدوية الأخرى
بعض الأدلة تشير إلى أدوية أخرى مثل أمانتادين و مضادات الكولين قد تكون مفيدة كعلاج للأعراض الحركية في مرض باركنسون المبكر والمتأخر، ولكن تلك الأدوية لا تُعتبر العلاج الأول للمرض. بالإضافة إلى الأعراض الحركية، يرافق مرض باركنسون مجموعة من الأعراض المختلفة والتي يتم استخدام مركبات مختلفة لتحسين بعض من هذه المشاكل.[78] ومن الأمثلة على ذلك استخدام كلوزابين للذهان، مثبطات الكولينستراز للخرف، و مودافينيل للنعاس.[78][79]
وتشير دراسة أولية إلى أن أخذ دواء دونبيزيل قد يساعد على منع سقوط مرضى باركنسون. دونيبيزيل يعزز مستويات الناقلات العصبية لل أستيل كولين، وهو حاليا العلاج المعتمد للأعراض المعرفية لمرض ألزهايمر.[80]
إدخال كلوزابين (كلوزاريل) يمثل انفراجة كبيرة في علاج الأعراض الذهانية من مرض باركنسون. قبل إدخال الكلوزابين ، كان التعامل مع الأعراض الذهانية يعتمد على الحد من علاج الدوبامين أو العلاج بواسطة الجيل الأول من مضادات الذهان، وكلها كانت تسئ إلى وظيفة الحركة في المرضى. وتشمل مضادات الذهان الغير نمطية المفيدة في العلاج كيتيابين (سيروكيل)، زيبراسيدون (جيودون)، أريبيبرازول (أبيليفي)، وباليبيريدون (إنفيغا). ويعتقد أن كلوزابين لديها أعلى فعالية وأقل اثار جانبية.[79]
الجراحة

كان علاج مرض باركنسون يقتصر على الجراحة، ولكن بعد اكتشاف ليفودوبا، اقتصرت الجراحة على عدد قليل فقط من الحالات.[81] وقد أدت الدراسات في العقود القليلة الماضية إلى تحسينات كبيرة في التقنيات الجراحية، ويتم استخدام الجراحة مرة أخرى في الأشخاص الذين يعانون من أعراض مرض باركنسون المتقدمة الذين لم يعد العلاج الدوائي كافيا لهم.[81]
أقل من 10٪ من مرضى باركنسون مؤهلين كمرشحين مناسبين للاستجابة الجراحية. ثلاثة آليات مختلفة للاستجابة الجراحية ل مرض باركنسون هي: (حرق لا رجعة فيه أو تجميد أنسجة المخ)، أو تحفيز العميق للدماغ (DBS)، أو الجراحة التصالحية.[82]
المناطق المستهدفة لتحفيز الدماغ العميق (DBS) تشمل المهاد، الكرة الشاحبة (تقنية الآفة التي تسمى باليدوتومي)، أو النواة أسفل المهاد[81]
جراحة الآفة العصبية
يتم تدمير الآفة العصبية عن طريق الحرارة، وأجزاء من الدماغ المرتبطة بإنتاج أعراض عصبية باركنسونية. الإجراءات عموما تنطوي على بضع المهاد و / أو بضع الكرة الشاحبة (بالإنجليزية: Pallidotomy). بالنسبة للمهاد يتم تدمير جزء منه وخاصة النواة المِهادِيَّةُ البَطْنانِيَّةُ المتوسطة (بالانجليزية: ventralis intermedius (VIM) nucleus)، لقمع الرعاش في 80-90٪ من المرضى. إذا أصبحت الأكينيسيا واضحة، يكون موقع الاجتثاث هو نواة تحت المهاد.
في المرضى المصابون بالأكينيسيا أو أعراض حركية متقدمة مصاحبة لمرض باركنسون أو خلل الحركة (بالإنجليزية: Dyskinesia)، يتم تدمير (كي) الكرة الشاحبة الداخلية (بالانجليزية: Globus Pallidus internus GPi). ولأنه من الصعب قياس كمية الأنسجة التي يتم تدميرها بدقة، وأن الأنسجة التي تتضرر لا رجعة فيها، قد تم استبدال هذه الطريقة عموما بالتحفيز العميق للدماغ، ألا انه لازال الكي يستخدم لحالات مرضية يتم دراستها من قبل فريق طبي متخصص.
تحفيز الدماغ العميق
التحفيز العميق للدماغ (DBS) هو حاليا الأسلوب الأكثر استخداما من العلاج الجراحي لأنه لا يدمر أنسجة المخ، بل هو عكسها، ويمكن أن يكون مصمما للأفراد في مرحلة خاصة من المرض. يستخدم (DBS) ثلاثة مكونات: محفز عصبي، يسمى أيضا مولد النبض المزروع (IPG)، الذي يولد نبضات كهربائية تستخدم لتعديل النشاط العصبي، سلك الرصاص الذي يوجه النبضات لعدد من الأقطاب المعدنية نحو طرف الرصاص بالقرب من هدف التحفيز، وسلك التمديد الذي يربط الرصاص. يتم زرع (IPG)، وهو عبارة عن بطارية تعمل بالطاقة والمغطاة بالتيتانيوم، تقليديا تحت الترقوة، ويتم توصيله عن طريق التمديد تحت الجلد إلى الرصاص، والذي يمتد من خارج الجمجمة تحت فروة الرأس وصولا إلى الدماغ ثم إلى الهدف.
ويمكن تحقيق الاستهداف قبل الجراحة لمواقع الزرع المناسبة عن طريق الطرق غير المباشرة والمباشرة. الطريقة غير المباشرة تستخدم التصوير المقطعي بالحاسوب، التصوير بالرنين المغناطيسي، أو البطين لتحديد موقع الصوار الأمامي والخلفي ثم توظف الإحداثيات والمسافات المحددة سلفا من الخط بين الصائم لتحديد المنطقة المستهدفة. ويمكن أيضا استخدام خرائط الأطلس المحددة نسيجيا لاحقا للتحقق من المنطقة المستهدفة. الطريقة المباشرة توفر التصور واستهداف نواة عميقة من خلال تطبيق التصوير بالرنين المغناطيسي، والتي على عكس الطريقة غير المباشرة، يأخذ في الاعتبار الاختلاف التشريحي لحجم النوى، والفصل الوظيفي بين الأفراد.[83]
وقد وضعت الخرائط الوظيفية الكهربية، وهي أداة تستخدم في كلا الطريقتين للتحقق من نوى الهدف، بسبب المخاطر المرتبطة من النزيف، واضطراب أو تقلصات كزازي. في الآونة الأخيرة، أظهرت حساسية التصوير المرجح، وهو نوع من التصوير بالرنين المغناطيسي، قوة لا تصدق على التمييز بين نوى الدماغ العميقة، ويجري استخدامها في (DBS) للحد من الإفراط في EFM.[84]
يوصى التحفيز العميق للدماغ (DBS) لمرضى باركنسون الذين يعانون من التقلبات الحركية بسبب الدواء ، أو لأولئك الذين هم يرفضون الدواء.
التحفيز العميق للدماغ فعال في قمع أعراض مرض باركنسون، وخاصة الهزة. وأدت دراسة سريرية أجريت مؤخرا إلى توصيات بشأن تحديد أي مرضى باركنسون هم الأكثر احتمالا للاستفادة من (DBS).
النظام الغذائي
العضلات والأعصاب التي تتحكم في عملية الهضم قد تتأثر بمرض باركنسون، لذلك فمن الشائع حدوث الإمساك و شلل المعدة (المواد الغذائية المتبقية في المعدة تبقى لفترات أطول من المعتاد).[85] يُنصح باتباع نظام غذائي متوازن للمساعدة في تحسين عملية الهضم. يجب أن يتضمن النظام الغذائي الأطعمة الغنية بالألياف الغذائية والكثير من الماء.[85] تستخدم ليفودوبا والبروتينات نفس نظام النقل في الأمعاء والحاجز الدموي في الدماغ، ويوجد بينهما تنافس للوصول إلى تلك المناطق.[85] عندما يتم أخذ الأدوية في وقت واحد ، فإن عواقب هذه المنافسة هو انخفاض فعالية الدواء.[85] لذلك، عندما يتم أخذ ليفودوبا، يتم تثبيط البروتينات، في حين أنه في المراحل المتقدمة، يوصى بتناول إضافي من المنتجات منخفضة البروتين مثل الخبز أو المعكرونة لأسباب مماثلة.[85] لتقليل التفاعل مع البروتينات، يوصى أن تُؤخذ ليفودوبا قبل 30 دقيقة من وجبات الطعام.[85] في الوقت نفسه ، يتم تقييد استخدام البروتينات أثناء الإفطار والغداء وعادة ما تؤخذ في العشاء.[85] مع تطور المرض، قد يظهر عسر البلع. في مثل هذه الحالات، تشمل تدابير محددة لاستهلاك السائل، والمواقف الخاصة عند تناول الطعام، وفغر المعدة في أسوأ الحالات.[85]
إعادة التأهيل
دراسة إعادة التأهيل في مرض باركنسون نادرة وذات جودة منخفضة.[86][87] تشير أدلة جزئية إلى قدرة إعادة التأهيل على حل مشاكل الكلام والحركة، ولكن هذه الدراسات نادرة ومنخفضة الجودة.[86][87] يمكن ممارسة الرياضة البدنية العادية و / أو العلاج الفيزيائي لتحسين الحركة والمرونة والقوة، وسرعة المشي، ونوعية الحياة.[87] إعادة التأهيل قد يحسن من الإمساك أيضا. وقد تبين أن التمارين الرياضية تفيد المرضى الذين يعانون من مرض باركنسون فيما يتعلق بالأداء البدني، ونوعية الحياة والحد من خطر التوازن والسقوط. استعرضت 14 دراسة آثار ممارسة الرياضة على الأشخاص الذين يعانون من مرض باركنسون، ونتجت إلى أنه لم تحدث أى آثار جانبية بسبب الرياضة.[88] ومن المعروف أن هناك خمس آليات مقترحة يمكن من خلالها تعزيز الممارسة العصبية. النشاط المكثف. أنشطة معقدة تعزز التكيف الهيكلي بشكل أكبر؛ والأنشطة المجزية تعمل على زيادة مستويات الدوبامين في الجسم، وبالتالي تعزيز التعلم / إعادة التعلم؛ يتم إدخال التمارين الرياضية في مرحلة مبكرة من المرض، وبالتالي تعمل تلك التمارين على تباطئ تطور مرض باركنسون.[85][89] واحدة من أكثر العلاجات التي تُمارس على نطاق واسع لعلاج اضطرابات الكلام المرتبطة بمرض باركنسون هو العلاج الصوتي لي سيلفرمان (LSVT)، الذي يركز على زيادة الجهارة الصوتية واتباع نهج مكثف لمدة شهر واحد[86][90] علاج النطق باستخدام (LSVT)على وجه التحديد قد يُحسن من وظيفة الصوت والكلام.[86] العلاج الوظيفي (OT) يهدف إلى تعزيز الصحة ونوعية الحياة من خلال مساعدة المرضى للمشاركة في العديد من أنشطة الحياة اليومية.[86] تم إجراء عدد قليل من الدراسات حول فعالية (OT) ونوعيتها ، على الرغم من أن بعض المؤشرات تدل على أنه قد تتحسن المهارات الحركية ونوعية الحياة.[86][91]
التمارين الرياضية
ممارسة التمارين البدنية العادية مع أو بدون العلاج الفيزيائي يمكن أن يكون مفيدا للحفاظ على تحسين التنقل والمرونة والقوة، وسرعة المشي، ونوعية الحياة.[87][92] تم اكتشاف تقنيات استرخاء مثل هزاز لطيف لتقليل التوتر العضلي المفرط لتحسين المرونة للمرضى الذين يعانون من الصلابة،. تقنيات فعالة أخرى لتعزيز الاسترخاء تشمل حركة دورانية بطيئة للأطراف والجذع.[93] يتم تناول التغيرات الشائعة في المشية المرتبطة بهذا المرض مثل نقص الحركة (بطء الحركة)، خفض الذراع من خلال مجموعة متنوعة من الاستراتيجيات لتحسين التنقل الوظيفي. وتشمل الأهداف برامج إعادة تأهيل لتحسين سرعة المشي، وطول الخطوة. كما تشمل الاستراتيجيات استخدام المعدات المساعدة والكتابة اللفظية (اليدوية والبصرية والسمعية).[94]
وقد أدت تمارين التقوية إلى تحسينات في وظائف القوة والحركة في المرضى الذين يعانون من ضعف العضلات الأساسي والضعف المرتبط بعدم النشاط في حالات مرض باركنسون المعتدل.[92] يقوم المرضى بتمارين لمدة 45 دقيقة إلى ساعة واحدة بعد الدواء.[95] ووجدت دراسة تدريب أن المقاومة الموجهة نحو الساقين السفلية للمرضى الذين يعانون من مرض باركنسون لمدة 8 أسابيع اكتسبوا قوة في البطن، وتحسن في سرعة المشي.[96] تمارين التنفس العميقة هي مفيدة لتحسين حركة الصدر وتلك التمارين ضرورية بسبب وجود اختلالات في الجهاز التنفسي لمرضى باركنسون.[97] ممارسة الرياضة قد تحسن من الإمساك.[98]
التلقين
يتم استخدام الأجهزة البصرية والسمعية والحسية والجسدية [99] جنبا إلى جنب مع مساعدات المشي لتحسين المشي في الأفراد الذين يعانون من مرض باركنسون.[100]
تدريب المشي
قد يؤدي التدريب على مشية محددة المهام إلى تحسين المشي على المدى الطويل للمرضى الذين يعانون من مرض باركنسون. وقد استخدمت الدراسات البحثية السابقة نظم دعم وزن الجسم أثناء تدريب المشي، وقد تبين أن هذا التدريب على المشي يساعد على تحسين سرعة المشي على المدى الطويل.[101]
تبحث الدراسات في تأثير تاي تشي على أداء المشية، والتوازن في الأشخاص الذين يعانون من مرض باركنسون.[102][103] وخلصت الدراسة الأولى إلى أن تاي تشي كان غير فعال لأنه لم يكن هناك تحسن في أداء المشية وليس هناك تحسن في درجة الجزء الثالث من مقياس تصنيف مرض باركنسون الموحد (UPDRS).[102]
الكلام والعلاج المهني
واحدة من العلاجات الأكثر ممارسة على نطاق واسع لعلاج اضطرابات الكلام المرتبطة بمرض باركنسون هو العلاج النفسي لي سيلفرمان (LSVT).[86][90]
أجريت دراسة لتحديد ما إذا كان LSVT مفيد في تحسين وضوح الجملة من 8 لمكبرات الصوت مع مرض باركنسون، وفقا لمستمعي السمع العادي.[104] وخلصت الدراسة إلى أنه بعد LSVT، كان هناك تحسن كبير في نسبة الكلمات التي يفهمها المستمعين.[104] على الرغم من أن LSVT لم يكن مفيدا ل 2 من المتكلمين، والعلاج لم يعمل على زيادة بريق الصوت.[104] ولذلك، أظهر LSVT أنه يمكن أن يُحسن من الكلام والصوت لدى الأشخاص الذين يعانون من مرض باركنسون.[104]
يمكن للأشخاص المصابين بمرض باركنسون أيضا أن يصابوا بالاضطراب الذي يتميز بانخفاض وضوح الكلام.[105]
العلاج الوظيفي يهدف إلى تعزيز الصحة ونوعية الحياة من خلال مساعدة الأشخاص المصابين بالمرض للمشاركة في أكبر قدر ممكن من روتينهم اليومي قدر الإمكان.[86] هناك مؤشر على أن العلاج المهني قد يحسن المهارات الحركية ونوعية الحياة طوال فترة العلاج.[86][91]
العلاج بالموسيقى
الدراسات تدرس ما إذا كان العلاج بالموسيقى يمكن أن يكون له تأثير مفيد على مرضى باركنسون.[106] دراسة لمدة 3 أشهر تحققت ما إذا كان هناك أي فائدة حركية للعلاج بالموسيقى والعلاج الطبيعي على مرضى باركنسون، وما إذا كانت العلاجات لها أي تأثير على رفاههم العاطفي ونوعية حياتهم.[106] يتكون العلاج الموسيقي من الغناء الكوري، والممارسة الصوتية والحركات الإيقاعية وحرية الجسم، في حين أن العلاج الطبيعي يتألف من تمارين التمدد، والمهام الحركية محددة وسبل تحسين التوازن والمشية.[106] وخلصت الدراسة إلى أن العلاج بالموسيقى كان له تأثير مفيد على مشاعر المريض، فإنه أظهر تحسنا في بطء الحركة، وفي نوعية الحياة. لكن العلاج بالموسيقى كان يفتقر إلى الفائدة الحركية، في حين أظهر العلاج الطبيعي تحسن في صلابة المرضى.[106]
الرعاية التلطيفية
غالبا ما تكون الرعاية التلطيفية مطلوبة في المراحل النهائية من المرض، عندما يصبح العلاج بالدوبامين غير فعال. والهدف من الرعاية التلطيفية هو تحقيق أقصى قدر من نوعية الحياة للشخص المصاب بالمرض. يتم الحد من أو سحب تناول مخدرات الدوبامين للحد من الآثار الجانبية للدواء، ومنع قرح الفراش التي تأتي للمرضى الغير نشطين أو الغير قادرين على الحركة.[107]
العلاجات الأخرى
يحسن التحفيز المغناطيسي للدماغ مؤقتا من خلل الحركة التي يسببها ليفودوبا [108] وقد اقترحت عناصر غذائية مختلفة كعلاجات ممكنة. ومع ذلك، لا يوجد دليل يدل على أن الفيتامينات أو المضافات الغذائية تعمل على تحسين الأعراض.[109] لا توجد أدلة كافية تشير إلى أن الوخز بالإبر، وممارسة تاي تشي شوان لها أي تأثير على الأعراض.[110][111][112] الفول والميقونة هي مصادر طبيعية من ل-دوبا يتم اتخاذها من قبل العديد من المرضى المصابين بمرض باركنسون. في حين أنها أظهرت بعض الفعالية[113] تناول مثل تلك الأشياء ليس خاليا من المخاطر.[114][115]
هناك أيضا جهاز يمكن ارتداؤه يمكن أن يعمل على الحد من هزات يد المريض والأصابع وبالتالي استعادة الوظائف الطبيعية.[116][117][118] زيت جوز الهند البكر قد أظهر في بعض الاختبارات نتائج إيجابية بنسبة 40% لتقوية الذاكرة.
التاريخ

وقد وصفت الآثار الإيجابية وإن كانت متواضعة من مضادات الكولين شبه القلوية التي تم الحصول عليها من مصنع بيلادونا ( ست الحسن ) خلال القرن التاسع عشر من قبل شاركوت، إرب، وغيرهم. قد جرت تجربة الجراحة الحديثة للرعاش، والتي تتكون من ليسيونينغ لبعض الهياكل العقد القاعدية لأول مرة في عام 1939، وتحسنت على مدى السنوات ال 20 التالية.[119] قبل هذا التاريخ، كانت مضادات الكولين والجراحة هي التريمات الوحيدة حتى وصول ليفودوبا، مما قلص استخدامها بشكل كبير.[119][120]
تم تصنيع ليفودوبا لأول مرة في عام 1911 من قبل كازيمير فانك، لكنها لم تحظ باهتمام يذكر حتى منتصف القرن العشرين.[121] ودخلت الممارسة السريرية في عام 1967، ونشرت أول دراسة كبيرة تحسينات في الأشخاص الذين يعانون من مرض باركنسون الناتجة عن العلاج مع ليفودوبا في عام 1968. ليفودوبا جلبت ثورة في علاج مرض باركنسون.[121][122] وبحلول أواخر الثمانينيات ظهرتحفيز الدماغ العميق كعلاج ممكن، وتمت الموافقة عليه للاستخدام السريري من قبل إدارة الغذاء والدواء (الولايات المتحدة) في عام 1997.[123]
اتجاهات البحث
لا يتوقع اكتشاف علاجات جديدة على المدى القصير، ولكن هناك عدة خطوط بحث نشطة للعلاجات الجديدة.[124] وتشمل هذه الاتجاهات البحثية البحث عن نماذج حيوانية جديدة للمرض، والفائدة المحتملة للعلاج الجيني، وزرع الخلايا الجذعية.[125]
نماذج حيوانية
كان من غير المعروف ما إذا كان مرض باركنسون بإمكانه أن يحدث بشكل طبيعي في أي نوع آخر غير البشر، على الرغم من أن النماذج الحيوانية التي تظهر بعض سمات المرض تستخدم في الأبحاث. استهلكت مجموعة من مدمني المخدرات في ولاية كاليفورنيا في أوائل الثمانينيات من القرن العشرين جرعة ملوثة بشكل غير مشروع من الأفيون الاصطناعي، وأدى ذلك إلى ظهور أعراض مرض باركنسون لديهم، ونتج عن ذلك اكتشاف أن المادة الكيميائية MPTP هي عامل يسبب حدوث مرض باركنسون لدى الرئيسيات البشرية وغير البشرية.[126] وهناك نماذج أخرى سائدة تعتمد على السموم وتستخدم أحد أنواع المبيدات الحشرية، ومبيدات الأعشاب، ومبيدات الفطريات.[127] النماذج التي تعتمد على السموم هي الأكثر استخداما في الرئيسيات. كما توجد نماذج القوارض المعدلة وراثيا أيضا [128]
علاجات الأعصاب

التحقيقات في الحماية العصبية هي في طليعة البحوث لمرض باركنسون. حاليا، لا يوجد أى علاج مثبت لعلاج مريض الباركنسون. في حين لا يزال نظريا، يستند علاج الأعصاب على فكرة أن بعض الخلايا العصبية التي تنتج الدوبامين تكون عرضة للانحلال المبكر وموت الخلايا يمكن أن يكون محمي من خلال إدخال الأدوية العصبية. يمكن أن تحدث هذه الحماية قبل أن تظهر أي أعراض على أساس المخاطر الوراثية.
وقد اقترحت عدة جزيئات كعلاجات محتملة.[125] ومع ذلك، لم يظهر أي من تلك الأدوية قدرة على الحد من انحلال الأعصاب.[125] تشمل تلك الأدوية استماتة (omigapil, CEP-1347), حمض الجلوتاميك، أكسيداز أحادي الأمين (سيليجيلين، راساجيلين)، ميتوكندريون (مرافق الإنزيم Q10، كرياتين)، محصرات قنوات الكالسيوم و (إسراديبين) - عامل نمو (GDNF).[125] تستهدف الأبحاث قبل السريرية أيضا ألفا-ساينوسلين.[124]
زرع الأعصاب
منذ أوائل الثمانينيات من القرن العشرين استخدمت الأنسجة الجنينية والخنازير والشريان السباتي الأصلي أو الشبكية في زرع الخلايا لمرضى باركنسون.[125] وعلى الرغم من وجود دليل أولي على أن زرع الخلايا المنتجة للدوبامين في الدماغ المتوسط مفيد، فإن أفضل الدراسات التي شيدت حتى الآن تشير إلى أن زرع الخلايا ليس له أي تأثير.[125] وهناك مشكلة أخرى هامة هي الإفراط في إطلاق الدوبامين من الأنسجة المزروعة، مما يؤدي إلى خلل التوتر.[129] زرع الخلايا الجذعية هي هدف البحث الرئيسي الأخير: عندما زُرعت الخلايا في أدمغة القوارض والقردة، عملت على تحسين التشوهات السلوكية من الحيوانات.[125][130] ومع ذلك، فإن استخدام الخلايا الجذعية الجنينية مثير للجدل.[125] وقد اقترح البعض أن هذا الجدل يمكن التغلب عليه باستخدام خلية جذعية مستحثة وافرة القدرة من البالغين.[125]
المجتمع والثقافة
التكلفة

تكاليف مرض باركنسون على المجتمع مرتفعة جداً، ولكن الحسابات الدقيقة صعبة بسبب القضايا المنهجية في البحوث والاختلافات بين البلدان. وتقدر التكلفة السنوية في المملكة المتحدة بين 449 مليون و 3.3 مليار جنيه، في حين أن تكلفة كل مريض سنويا في الولايات المتحدة هي على الأرجح حوالي 10.000$ وعبء إجمالي يقدر بحوالي 23 مليار دولار. وتأتي أكبر حصة من التكلفة المباشرة من رعاية المرضى الداخليين ودور التمريض، في حين أن حصة الدواء تأتي أقل بكثير. والتكاليف غير المباشرة مرتفعة بسبب انخفاض الإنتاجية والعبء على مقدمي الرعاية. بالإضافة إلى التكاليف الاقتصادية، يقلل مرض باركنسون من نوعية حياة المرضى ومقدمي الرعاية لهم.[131]
توليب أحمر
11 أبريل، عيد ميلاد جيمس باركينسون، تم اختياره يوم باركنسون العالمي. تم اختيار توليب أحمر من قبل المنظمات الدولية كرمز للمرض في عام 2005، وهو يمثل صنف توليب جيمس باركينسون، الذي سجله عام 1981 من قبل البستانيين الهولنديين. وتشمل منظمات الدعوة مؤسسة باركينسون الوطنية، التي قدمت أكثر من 180 مليون دولار في مجال الرعاية والبحوث وخدمات الدعم منذ عام 1982، مؤسسة باركنسون للأمراض، التي وزعت أكثر من 115 مليون دولار للبحوث وحوالي 50 مليون دولار لبرامج التعليم والدعوة منذ تأسيسها في عام 1957 من قبل ويليام بلاك؛ جمعية مرض باركنسون الأمريكية، التي تأسست في عام 1961؛ ورابطة مرض باركنسون الأوروبية، التي تأسست في عام 1992.[132][133][134][135][136]
حالات بارزة

الممثل مايكل جي فوكس. بعد التشخيص، كان فوكس يقوم بأدواره التلفزيونية أثناء مرضه، وأحيانا يتصرف دون دواء، من أجل توضيح آثار هذا الشرط. وقد كتب سيرتين ذاتيتين تلعب فيهما معركته ضد المرض دورا رئيسيا، وظهر أمام الكونغرس الأمريكي دون دواء لتوضيح آثار المرض. تهدف مؤسسة مايكل جي فوكس إلى تطوير علاج لمرض باركنسون. حصل فوكس على شهادة الدكتوراه الفخرية في الطب من معهد كارولينسكا لإسهاماته في الأبحاث في مرض باركنسون.[16][137][138] بدأ الدراج المحترف والميدالي الأولمبي دافيس فيني، الذي تم تشخيصه بمرض باركنسون في سن الأربعين، مؤسسة دافيس فيني في عام 2004 والتي تدعم أبحاث باركنسون، مع التركيز على نوعية الحياة للأشخاص المصابين بالمرض.[17][139][140]
ظهرت لدى الملاكم محمد علامات باركنسون عندما كان بلغ من العمر 38 عاما، ولكن لم يتم تشخيصه حتى بلغ من العمر 42 عاما، وكان يطلق عليه "أكثر مرضى باركنسون شهرة في العالم".[18][141][142]
أشهر المصابين به
مراجع
- العنوان : Parkinson's disease: Prevalence, diagnosis and impact — المجلد: 25 — الصفحة: 10-14 — العدد: 11 — نشر في: Health Reports — https://pubmed.ncbi.nlm.nih.gov/25408491
- "Parkinson's Disease Information Page". NINDS. June 30, 2016. مؤرشف من الأصل في 19 مايو 2019. اطلع عليه بتاريخ 18 يوليو 2016. الوسيط
|CitationClass=تم تجاهله (مساعدة) - Sveinbjornsdottir, S (11 July 2016). "The clinical symptoms of Parkinson's disease". Journal of Neurochemistry. 139: 318–324. doi:10.1111/jnc.13691. PMID 27401947. الوسيط
|CitationClass=تم تجاهله (مساعدة) - Kalia, LV; Lang, AE (29 August 2015). "Parkinson's disease". Lancet. 386 (9996): 896–912. doi:10.1016/s0140-6736(14)61393-3. PMID 25904081. الوسيط
|CitationClass=تم تجاهله (مساعدة) - Jones, H. Royden (2013). The Netter collection of medical illustrations. a compilation of paintings (الطبعة 2nd). Philadelphia, PA: Saunders Elsevier. صفحة 161. ISBN 9781455733873. مؤرشف من الأصل في 22 يناير 2020. الوسيط
|CitationClass=تم تجاهله (مساعدة) - Barranco Quintana, JL; Allam, MF; Del Castillo, AS; Navajas, RF (February 2009). "Parkinson's disease and tea: a quantitative review". Journal of the American College of Nutrition. 28 (1): 1–6. doi:10.1080/07315724.2009.10719754. PMID 19571153. الوسيط
|CitationClass=تم تجاهله (مساعدة) - Barichella M, Cereda E, Pezzoli G (October 2009). "Major nutritional issues in the management of Parkinson's disease". Mov. Disord. 24 (13): 1881–92. doi:10.1002/mds.22705. PMID 19691125. الوسيط
|CitationClass=تم تجاهله (مساعدة)صيانة CS1: يستخدم وسيط المؤلفون (link) - Ahlskog, JE (19 July 2011). "Does vigorous exercise have a neuroprotective effect in Parkinson disease?". Neurology. 77 (3): 288–94. doi:10.1212/wnl.0b013e318225ab66. PMC 3136051. PMID 21768599. الوسيط
|CitationClass=تم تجاهله (مساعدة) - GBD 2015 Disease and Injury Incidence and Prevalence, Collaborators. (8 October 2016). "Global, regional, and national incidence, prevalence, and years lived with disability for 310 diseases and injuries, 1990-2015: a systematic analysis for the Global Burden of Disease Study 2015". Lancet. 388 (10053): 1545–1602. doi:10.1016/S0140-6736(16)31678-6. PMC 5055577. PMID 27733282. الوسيط
|CitationClass=تم تجاهله (مساعدة) - GBD 2015 Mortality and Causes of Death, Collaborators. (8 October 2016). "Global, regional, and national life expectancy, all-cause mortality, and cause-specific mortality for 249 causes of death, 1980-2015: a systematic analysis for the Global Burden of Disease Study 2015". Lancet. 388 (10053): 1459–1544. doi:10.1016/s0140-6736(16)31012-1. PMC 5388903. PMID 27733281. الوسيط
|CitationClass=تم تجاهله (مساعدة) - Carroll, William M. (2016). International Neurology. John Wiley & Sons. صفحة 188. ISBN 9781118777367. مؤرشف من الأصل في 17 ديسمبر 2019. الوسيط
|CitationClass=تم تجاهله (مساعدة) - Mosley, Anthony D. (2010). The encyclopedia of Parkinson's disease (الطبعة 2nd). New York: Facts on File. صفحة 89. ISBN 9781438127491. مؤرشف من الأصل في 2 يناير 2020. الوسيط
|CitationClass=تم تجاهله (مساعدة) - "An Essay on the Shaking Palsy". مؤرشف من الأصل في 13 أغسطس 2018. الوسيط
|CitationClass=تم تجاهله (مساعدة) - Shulman JM, De Jager PL, Feany MB (February 2011) [25 October 2010]. "Parkinson's disease: genetics and pathogenesis". Annual Review of Pathology. 6: 193–222. doi:10.1146/annurev-pathol-011110-130242. PMID 21034221. الوسيط
|CitationClass=تم تجاهله (مساعدة) - Lees AJ (September 2007). "Unresolved issues relating to the shaking palsy on the celebration of James Parkinson's 250th birthday". Mov. Disord. 22 (Suppl 17): S327–34. doi:10.1002/mds.21684. PMID 18175393. الوسيط
|CitationClass=تم تجاهله (مساعدة) - Davis P (3 May 2007). "Michael J. Fox". The TIME 100. تايم (مجلة). مؤرشف من الأصل في 25 يوليو 2013. اطلع عليه بتاريخ 02 أبريل 2011. الوسيط
|CitationClass=تم تجاهله (مساعدة) - Macur, Juliet (26 March 2008). "For the Phinney Family, a Dream and a Challenge". The New York Times. مؤرشف من الأصل في 20 مايو 2019. اطلع عليه بتاريخ 25 مايو 2013.
About 1.5 million Americans have received a diagnosis of Parkinson's disease, but only 5 to 10 percent learn of it before age 40, according to the National Parkinson Foundation. Davis Phinney was among the few.
الوسيط|CitationClass=تم تجاهله (مساعدة) - Brey RL (April 2006). "Muhammad Ali's Message: Keep Moving Forward". Neurology Now. American Academy of Neurology. 2 (2): 8. doi:10.1097/01222928-200602020-00003. مؤرشف من الأصل في 27 سبتمبر 2011. اطلع عليه بتاريخ 02 أبريل 2011. الوسيط
|CitationClass=تم تجاهله (مساعدة) - "Parkinson's Disease vs. Parkinsonism" (PDF). National Parkinson Foundation. مؤرشف من الأصل (PDF) في 12 يوليو 2018. اطلع عليه بتاريخ 22 يونيو 2017. الوسيط
|CitationClass=تم تجاهله (مساعدة) - "Queen Square Brain Bank diagnostic criteria for Parkinson's disease". مؤرشف من الأصل في 01 مارس 2020. اطلع عليه بتاريخ 22 يونيو 2017. الوسيط
|CitationClass=تم تجاهله (مساعدة) - Ling, Helen; Massey, Luke A.; Lees, Andrew J.; Brown, Peter; Day, Brian L. (April 2012). "Hypokinesia without decrement distinguishes progressive supranuclear palsy from Parkinson's disease". Brain: A Journal of Neurology. 135 (Pt 4): 1141–1153. doi:10.1093/brain/aws038. ISSN 1460-2156. PMC 3326257. PMID 22396397. الوسيط
|CitationClass=تم تجاهله (مساعدة) - Samii A, Nutt JG, Ransom BR (29 May 2004). "Parkinson's disease". ذا لانسيت. 363 (9423): 1183–93. doi:10.1016/S0140-6736(04)16305-8. PMID 15172778. الوسيط
|CitationClass=تم تجاهله (مساعدة) - Nuytemans K, Theuns J, Cruts M, Van Broeckhoven C (July 2010) [18 May 2010]. "Genetic etiology of Parkinson disease associated with mutations in the SNCA, PARK2, PINK1, PARK7, and LRRK2 genes: a mutation update". Human Mutation. 31 (7): 763–80. doi:10.1002/humu.21277. PMC 3056147. PMID 20506312. الوسيط
|CitationClass=تم تجاهله (مساعدة) - Schrag A (2007). "Epidemiology of movement disorders". In Tolosa E, Jankovic JJ (المحررون). Parkinson's disease and movement disorders. Hagerstown, Maryland: Lippincott Williams & Wilkins. صفحات 50–66. ISBN 0-7817-7881-6. الوسيط
|CitationClass=تم تجاهله (مساعدة) - Galpern WR, Lang AE (March 2006) [17 February 2006]. "Interface between tauopathies and synucleinopathies: a tale of two proteins". Annals of Neurology. 59 (3): 449–58. doi:10.1002/ana.20819. PMID 16489609. الوسيط
|CitationClass=تم تجاهله (مساعدة) - Aarsland D, Londos E, Ballard C (April 2009) [28 January 2009]. "Parkinson's disease dementia and dementia with Lewy bodies: different aspects of one entity". Int. Psychogeriatr. 21 (2): 216–19. doi:10.1017/S1041610208008612. PMID 19173762. الوسيط
|CitationClass=تم تجاهله (مساعدة) - Photo by Arthur Londe from Nouvelle Iconographie de la Salpètrière, vol. 5, p. 226
- Charcot, Jean-Martin; Sigerson, George (1879). Lectures on the diseases of the nervous system (الطبعة Second). Philadelphia: Henry C. Lea. صفحة 113.
The strokes forming the letters are very irregular and sinuous, whilst the irregularities and sinuosities are of a very limited width. (...) the down-strokes are all, with the exception of the first letter, made with comparative firmness and are, in fact, nearly normal – the finer up-strokes, on the contrary, are all tremulous in appearance (...).
الوسيط|CitationClass=تم تجاهله (مساعدة); تحقق من التاريخ في:|year= / |date= mismatch(مساعدة) - Jankovic J (April 2008). "Parkinson's disease: clinical features and diagnosis". Journal of Neurology, Neurosurgery, and Psychiatry. 79 (4): 368–76. doi:10.1136/jnnp.2007.131045. PMID 18344392. مؤرشف من الأصل في 3 يوليو 2019. الوسيط
|CitationClass=تم تجاهله (مساعدة) - Cooper G, Eichhorn G, Rodnitzky RL (2008). "Parkinson's disease". In Conn PM (المحرر). Neuroscience in medicine. Totowa, NJ: Humana Press. صفحات 508–12. ISBN 978-1-60327-454-8. الوسيط
|CitationClass=تم تجاهله (مساعدة) - Lees, Andrew J.; Hardy, John; Revesz, Tamas (2009-06-13). "Parkinson's disease". Lancet. 373 (9680): 2055–2066. doi:10.1016/S0140-6736(09)60492-X. ISSN 1474-547X. PMID 19524782. الوسيط
|CitationClass=تم تجاهله (مساعدة) - Banich MT, Compton RJ (2011). "Motor control". Cognitive neuroscience. Belmont, CA: Wadsworth, Cengage learning. صفحات 108–44. ISBN 0-8400-3298-6. الوسيط
|CitationClass=تم تجاهله (مساعدة) - Longmore M, Wilkinson IB, Turmezei T, Cheung CK (4 January 2007). Oxford Handbook of Clinical Medicine. دار نشر جامعة أكسفورد. صفحة 486. ISBN 978-0-19-856837-7. الوسيط
|CitationClass=تم تجاهله (مساعدة) - O'Sullivan SB, Schmitz TJ (2007). "Parkinson's Disease". Physical Rehabilitation (الطبعة 5th). Philadelphia: F.A. Davis. صفحات 856–57. الوسيط
|CitationClass=تم تجاهله (مساعدة)CS1 maint: ref=harv (link) - Fung VS, Thompson PD (2007). "Rigidity and spasticity". In Tolosa E, Jankovic (المحررون). Parkinson's disease and movement disorders. Hagerstown, MD: Lippincott Williams & Wilkins. صفحات 504–13. ISBN 0-7817-7881-6. الوسيط
|CitationClass=تم تجاهله (مساعدة) - Hoehn, M. M.; Yahr, M. D. (May 1967). "Parkinsonism: onset, progression and mortality". Neurology. 17 (5): 427–442. ISSN 0028-3878. PMID 6067254. الوسيط
|CitationClass=تم تجاهله (مساعدة) - Mark Hallett; Werner Poewe (13 October 2008). Therapeutics of Parkinson's Disease and Other Movement Disorders. John Wiley & Sons. صفحة 417. ISBN 978-0-470-71400-3. مؤرشف من الأصل في 8 سبتمبر 2017. الوسيط
|CitationClass=تم تجاهله (مساعدة) - Yao, S.C.; Hart, A.D.; Terzella, M.J. (May 2013). "An evidence-based osteopathic approach to Parkinson disease". Osteopathic Family Physician. 5 (3): 96–101. doi:10.1016/j.osfp.2013.01.003. الوسيط
|CitationClass=تم تجاهله (مساعدة) - Rajesh Pahwa; Kelly E. Lyons (25 March 2003). Handbook of Parkinson's Disease, Third Edition. CRC Press. صفحة 76. ISBN 978-0-203-91216-4. مؤرشف من الأصل في 8 سبتمبر 2017. الوسيط
|CitationClass=تم تجاهله (مساعدة) - Caballol N, Martí MJ, Tolosa E (September 2007). "Cognitive dysfunction and dementia in Parkinson disease". Movement Disorders. 22 (Suppl 17): S358–66. doi:10.1002/mds.21677. PMID 18175397. الوسيط
|CitationClass=تم تجاهله (مساعدة) - Garcia-Ptacek, Sara; Kramberger, Milica G. (September 2016). "Parkinson Disease and Dementia". Journal of Geriatric Psychiatry and Neurology. 29 (5): 261–270. doi:10.1177/0891988716654985. ISSN 0891-9887. PMID 27502301. الوسيط
|CitationClass=تم تجاهله (مساعدة) - Shergill SS, Walker Z, Le Katona C (October 1998). "A preliminary investigation of laterality in Parkinson's disease and susceptibility to psychosis". J. Neurol. Neurosurg. Psychiatr. 65 (4): 610–11. doi:10.1136/jnnp.65.4.610. PMC 2170290. PMID 9771806. مؤرشف من الأصل في 01 مارس 2020. الوسيط
|CitationClass=تم تجاهله (مساعدة)صيانة CS1: يستخدم وسيط المؤلفون (link) - Friedman JH (June 2010). "Parkinson's disease psychosis 2010: A review article". Parkinsonism Relat. Disord. 16 (9): 553–60. doi:10.1016/j.parkreldis.2010.05.004. PMID 20538500. الوسيط
|CitationClass=تم تجاهله (مساعدة) - Eun, Kim, Young; S., Jeon, Beom (2014-01-01). "Clinical Implication of REM Sleep Behavior Disorder in Parkinson's Disease". Journal of Parkinson's Disease (باللغة الإنجليزية). 4 (2). doi:10.3233/jpd-130293. ISSN 1877-7171. مؤرشف من الأصل في 01 مارس 2020. الوسيط
|CitationClass=تم تجاهله (مساعدة) - Chahine, Lama M.; Stern, Matthew B.; Chen-Plotkin, Alice (January 2014). "Blood-based biomarkers for Parkinson's disease". Parkinsonism & Related Disorders. 20 Suppl 1: S99–103. doi:10.1016/S1353-8020(13)70025-7. ISSN 1873-5126. PMC 4070332. PMID 24262199. الوسيط
|CitationClass=تم تجاهله (مساعدة) - Noyce, Alastair J.; Bestwick, Jonathan P.; Silveira-Moriyama, Laura; Hawkes, Christopher H.; Giovannoni, Gavin; Lees, Andrew J.; Schrag, Anette (December 2012). "Meta-analysis of early nonmotor features and risk factors for Parkinson disease". Annals of Neurology. 72 (6): 893–901. doi:10.1002/ana.23687. ISSN 1531-8249. PMC 3556649. PMID 23071076. الوسيط
|CitationClass=تم تجاهله (مساعدة) - Lesage S, Brice A (April 2009). "Parkinson's disease: from monogenic forms to genetic susceptibility factors". Hum. Mol. Genet. 18 (R1): R48–59. doi:10.1093/hmg/ddp012. PMID 19297401. الوسيط
|CitationClass=تم تجاهله (مساعدة)صيانة CS1: يستخدم وسيط المؤلفون (link) - Kalia, Lorraine V.; Lang, Anthony E. (2015-08-29). "Parkinson's disease". Lancet. 386 (9996): 896–912. doi:10.1016/S0140-6736(14)61393-3. ISSN 1474-547X. PMID 25904081. الوسيط
|CitationClass=تم تجاهله (مساعدة) - Davie CA (2008). "A review of Parkinson's disease". Br. Med. Bull. 86 (1): 109–27. doi:10.1093/bmb/ldn013. PMID 18398010. الوسيط
|CitationClass=تم تجاهله (مساعدة) - Gan-Or, Ziv; Dion, Patrick A.; Rouleau, Guy A. (2 September 2015). "Genetic perspective on the role of the autophagy-lysosome pathway in Parkinson disease". Autophagy. 11 (9): 1443–57. doi:10.1080/15548627.2015.1067364. PMC 4590678. PMID 26207393. مؤرشف من الأصل في 01 مارس 2020. الوسيط
|CitationClass=تم تجاهله (مساعدة) - Dickson DV (2007). "Neuropathology of movement disorders". In Tolosa E, Jankovic JJ (المحررون). Parkinson's disease and movement disorders. Hagerstown, MD: Lippincott Williams & Wilkins. صفحات 271–83. ISBN 0-7817-7881-6. الوسيط
|CitationClass=تم تجاهله (مساعدة) - Obeso JA, Rodríguez-Oroz MC, Benitez-Temino B, Blesa FJ, Guridi J, Marin C, Rodriguez M (2008). "Functional organization of the basal ganglia: therapeutic implications for Parkinson's disease". Mov. Disord. 23 (Suppl 3): S548–59. doi:10.1002/mds.22062. PMID 18781672. الوسيط
|CitationClass=تم تجاهله (مساعدة)صيانة CS1: يستخدم وسيط المؤلفون (link) - Schulz-Schaeffer WJ (August 2010). "The synaptic pathology of alpha-synuclein aggregation in dementia with Lewy bodies, Parkinson's disease and Parkinson's disease dementia". Acta Neuropathol. 120 (2): 131–43. doi:10.1007/s00401-010-0711-0. PMC 2892607. PMID 20563819. الوسيط
|CitationClass=تم تجاهله (مساعدة) - Obeso JA, Rodriguez-Oroz MC, Goetz CG, Marin C, Kordower JH, Rodriguez M, Hirsch EC, Farrer M, Schapira AH, Halliday G (May 2010). "Missing pieces in the Parkinson's disease puzzle". Nat. Med. 16 (6): 653–61. doi:10.1038/nm.2165. PMID 20495568. الوسيط
|CitationClass=تم تجاهله (مساعدة)صيانة CS1: يستخدم وسيط المؤلفون (link) - Hirsch EC (December 2009). "Iron transport in Parkinson's disease". Parkinsonism Relat. Disord. 15 (Suppl 3): S209–11. doi:10.1016/S1353-8020(09)70816-8. PMID 20082992. الوسيط
|CitationClass=تم تجاهله (مساعدة) - The National Collaborating Centre for Chronic Conditions, المحرر (2006). "Diagnosing Parkinson's Disease". Parkinson's Disease. London: Royal College of Physicians. صفحات 29–47. ISBN 1-86016-283-5. مؤرشف من الأصل في 1 أبريل 2014. الوسيط
|CitationClass=تم تجاهله (مساعدة) - Poewe W, Wenning G (November 2002). "The differential diagnosis of Parkinson's disease". Eur. J. Neurol. 9 (Suppl 3): 23–30. doi:10.1046/j.1468-1331.9.s3.3.x. PMID 12464118. الوسيط
|CitationClass=تم تجاهله (مساعدة)صيانة CS1: يستخدم وسيط المؤلفون (link) - Gibb, W R; Lees, A J (June 1988). "The relevance of the Lewy body to the pathogenesis of idiopathic Parkinson's disease". Journal of Neurology, Neurosurgery, and Psychiatry. 51 (6): 745–752. ISSN 0022-3050. PMC 1033142. PMID 2841426. الوسيط
|CitationClass=تم تجاهله (مساعدة) - Rizzo, Giovanni; Copetti, Massimiliano; Arcuti, Simona; Martino, Davide; Fontana, Andrea; Logroscino, Giancarlo (2016-02-09). "Accuracy of clinical diagnosis of Parkinson disease: A systematic review and meta-analysis". Neurology. 86 (6): 566–576. doi:10.1212/WNL.0000000000002350. ISSN 1526-632X. PMID 26764028. الوسيط
|CitationClass=تم تجاهله (مساعدة) - Postuma, Ronald B.; Berg, Daniela; Stern, Matthew; Poewe, Werner; Olanow, C. Warren; Oertel, Wolfgang; Obeso, José; Marek, Kenneth; Litvan, Irene (October 2015). "MDS clinical diagnostic criteria for Parkinson's disease". Movement Disorders: Official Journal of the Movement Disorder Society. 30 (12): 1591–1601. doi:10.1002/mds.26424. ISSN 1531-8257. PMID 26474316. الوسيط
|CitationClass=تم تجاهله (مساعدة) - Berg, Daniela; Postuma, Ronald B.; Adler, Charles H.; Bloem, Bastiaan R.; Chan, Piu; Dubois, Bruno; Gasser, Thomas; Goetz, Christopher G.; Halliday, Glenda (October 2015). "MDS research criteria for prodromal Parkinson's disease". Movement Disorders: Official Journal of the Movement Disorder Society. 30 (12): 1600–1611. doi:10.1002/mds.26431. ISSN 1531-8257. PMID 26474317. الوسيط
|CitationClass=تم تجاهله (مساعدة) - Brooks DJ (April 2010). "Imaging approaches to Parkinson disease". J. Nucl. Med. 51 (4): 596–609. doi:10.2967/jnumed.108.059998. PMID 20351351. الوسيط
|CitationClass=تم تجاهله (مساعدة) - Schwarz, ST; Afzal, M; Morgan, PS; Bajaj, N; Gowland, PA; Auer, DP (2014). "The 'swallow tail' appearance of the healthy nigrosome - a new accurate test of Parkinson's disease: a case-control and retrospective cross-sectional MRI study at 3T". PLOS ONE. 9 (4): e93814. doi:10.1371/journal.pone.0093814. PMC 3977922. PMID 24710392. الوسيط
|CitationClass=تم تجاهله (مساعدة) - Mahlknecht, Philipp; Krismer, Florian; Poewe, Werner; Seppi, Klaus (2017-02-02). "Meta-analysis of dorsolateral nigral hyperintensity on magnetic resonance imaging as a marker for Parkinson's disease". Movement Disorders: Official Journal of the Movement Disorder Society. doi:10.1002/mds.26932. PMID 28151553. الوسيط
|CitationClass=تم تجاهله (مساعدة) - Ma, Chaoran; Liu, Yesong; Neumann, Samantha; Gao, Xiang (2017). "Nicotine from cigarette smoking and diet and Parkinson disease: a review". Translational Neurodegeneration. 6: 18. doi:10.1186/s40035-017-0090-8. ISSN 2047-9158. PMC 5494127. PMID 28680589. الوسيط
|CitationClass=تم تجاهله (مساعدة) - Costa J, Lunet N, Santos C, Santos J, Vaz-Carneiro A (2010). "Caffeine exposure and the risk of Parkinson's disease: a systematic review and meta-analysis of observational studies". J. Alzheimers Dis. 20 (Suppl 1): S221–38. doi:10.3233/JAD-2010-091525. PMID 20182023. مؤرشف من الأصل في 12 مارس 2020. الوسيط
|CitationClass=تم تجاهله (مساعدة)صيانة CS1: يستخدم وسيط المؤلفون (link) - Gagne JJ, Power MC (March 2010). "Anti-inflammatory drugs and risk of Parkinson disease: a meta-analysis". Neurology. 74 (12): 995–1002. doi:10.1212/WNL.0b013e3181d5a4a3. PMC 2848103. PMID 20308684. الوسيط
|CitationClass=تم تجاهله (مساعدة)صيانة CS1: يستخدم وسيط المؤلفون (link) - de Lau LM, Breteler MM (June 2006). "Epidemiology of Parkinson's disease". Lancet Neurol. 5 (6): 525–35. doi:10.1016/S1474-4422(06)70471-9. PMID 16713924. الوسيط
|CitationClass=تم تجاهله (مساعدة)صيانة CS1: يستخدم وسيط المؤلفون (link) - Connolly, Barbara S.; Lang, Anthony E. (23–30 April 2014). "Pharmacological treatment of Parkinson disease: a review". JAMA. 311 (16): 1670–1683. doi:10.1001/jama.2014.3654. ISSN 1538-3598. PMID 24756517. الوسيط
|CitationClass=تم تجاهله (مساعدة) - "The non-motor and non-dopaminergic fratures of PD". Parkinson's Disease : Non-Motor and Non-Dopaminergic Features. Olanow, C. Warren., Stocchi, Fabrizio., Lang, Anthony E. Wiley-Blackwell. 2011. ISBN 1405191856. OCLC 743205140. مؤرشف من الأصل في 1 مارس 2020. الوسيط
|CitationClass=تم تجاهله (مساعدة)صيانة CS1: آخرون (link) - Zhang, Jinglin; Tan, Louis Chew-Seng (2016). "Revisiting the Medical Management of Parkinson's Disease: Levodopa versus Dopamine Agonist". Current Neuropharmacology. 14 (4): 356–363. doi:10.2174/1570159X14666151208114634. ISSN 1875-6190. PMC 4876591. PMID 26644151. الوسيط
|CitationClass=تم تجاهله (مساعدة) - The National Collaborating Centre for Chronic Conditions, المحرر (2006). "Symptomatic pharmacological therapy in Parkinson's disease". Parkinson's Disease. London: Royal College of Physicians. صفحات 59–100. ISBN 1-86016-283-5. مؤرشف من الأصل في 1 أبريل 2014. الوسيط
|CitationClass=تم تجاهله (مساعدة) - The National Collaborating Centre for Chronic Conditions, المحرر (2006). "Palliative care in Parkinson's disease". Parkinson's Disease. London: Royal College of Physicians. صفحات 147–51. ISBN 1-86016-283-5. مؤرشف من الأصل في 1 أبريل 2014. الوسيط
|CitationClass=تم تجاهله (مساعدة) - Pedrosa, David J.; Timmermann, Lars (2013). "Review: management of Parkinson's disease". Neuropsychiatric Disease and Treatment. 9: 321–340. doi:10.2147/NDT.S32302. ISSN 1176-6328. PMC 3592512. PMID 23487540. الوسيط
|CitationClass=تم تجاهله (مساعدة) - Ceravolo R, Frosini D, Rossi C, Bonuccelli U (December 2009). "Impulse control disorders in Parkinson's disease: definition, epidemiology, risk factors, neurobiology and management". Parkinsonism Relat. Disord. 15 Suppl 4: S111–15. doi:10.1016/S1353-8020(09)70847-8. PMID 20123548. الوسيط
|CitationClass=تم تجاهله (مساعدة) - Goldenberg MM (October 2008). "Medical management of Parkinson's disease". P & T. 33 (10): 590–606. PMC 2730785. PMID 19750042. الوسيط
|CitationClass=تم تجاهله (مساعدة) - Samii A, Nutt JG, Ransom BR (May 2004). "Parkinson's disease". Lancet. 363 (9423): 1783–93. doi:10.1016/S0140-6736(04)16305-8. PMID 15172778. الوسيط
|CitationClass=تم تجاهله (مساعدة) - The National Collaborating Centre for Chronic Conditions, المحرر (2006). "Non-motor features of Parkinson's disease". Parkinson's Disease. London: Royal College of Physicians. صفحات 113–33. ISBN 1-86016-283-5. مؤرشف من الأصل في 1 أبريل 2014. الوسيط
|CitationClass=تم تجاهله (مساعدة) - Hasnain M, Vieweg WV, Baron MS, Beatty-Brooks M, Fernandez A, Pandurangi AK (July 2009). "Pharmacological management of psychosis in elderly patients with parkinsonism". Am. J. Med. 122 (7): 614–22. doi:10.1016/j.amjmed.2009.01.025. PMID 19559160. الوسيط
|CitationClass=تم تجاهله (مساعدة) - Donepezil (Aricept) Reduces Falls in People with Parkinson’s. Parkinson's Disease Foundation Science News. 11 November 2010. نسخة محفوظة 20 ديسمبر 2016 على موقع واي باك مشين.
- The National Collaborating Centre for Chronic Conditions, المحرر (2006). "Surgery for Parkinson's disease". Parkinson's Disease. London: Royal College of Physicians. صفحات 101–11. ISBN 1-86016-283-5. مؤرشف من الأصل في 1 أبريل 2014. الوسيط
|CitationClass=تم تجاهله (مساعدة) - Parkinson's disease surgery neurology Channel. Retrieved on 2010-02-02 نسخة محفوظة 30 مارس 2010 على موقع واي باك مشين.
- Nolte, 2012
- Abosch, 2010
- Barichella M, Cereda E, Pezzoli G (October 2009). "Major nutritional issues in the management of Parkinson's disease". Mov. Disord. 24 (13): 1881–92. doi:10.1002/mds.22705. PMID 19691125. الوسيط
|CitationClass=تم تجاهله (مساعدة) - The National Collaborating Centre for Chronic Conditions, المحرر (2006). "Other key interventions". Parkinson's Disease. London: Royal College of Physicians. صفحات 135–46. ISBN 1-86016-283-5. مؤرشف من الأصل في 1 أبريل 2014. الوسيط
|CitationClass=تم تجاهله (مساعدة) - Goodwin VA, Richards SH, Taylor RS, Taylor AH, Campbell JL (April 2008). "The effectiveness of exercise interventions for people with Parkinson's disease: a systematic review and meta-analysis". Mov. Disord. 23 (5): 631–40. doi:10.1002/mds.21922. PMID 18181210. الوسيط
|CitationClass=تم تجاهله (مساعدة) - Goodwin V. A., Richards S. H., Taylor R. S., Taylor A. H., Campbell J. L. (2008). "The effectiveness of exercise interventions for people with Parkinson's disease: a systematic review and meta-analysis". Movement disorders. 23 (5): 631–40. doi:10.1002/mds.21922. PMID 18181210. الوسيط
|CitationClass=تم تجاهله (مساعدة)صيانة CS1: أسماء متعددة: قائمة المؤلفون (link) - Fox CM, Ramig LO, Ciucci MR, Sapir S, McFarland DH, Farley BG (2006). "The science and practice of LSVT/LOUD: neural plasticityprincipled approach to treating individuals with Parkinson's disease and other neurological disorders". Semin Speech Lang. 27: 283–299. doi:10.1055/s-2006-955118. PMID 17117354. الوسيط
|CitationClass=تم تجاهله (مساعدة)صيانة CS1: أسماء متعددة: قائمة المؤلفون (link) - Fox CM, Ramig LO, Ciucci MR, Sapir S, McFarland DH, Farley BG (November 2006). "The science and practice of LSVT/LOUD: neural plasticity-principled approach to treating individuals with Parkinson disease and other neurological disorders". Seminars in Speech and Language. 27 (4): 283–99. doi:10.1055/s-2006-955118. PMID 17117354. الوسيط
|CitationClass=تم تجاهله (مساعدة) - Dixon L, Duncan D, Johnson P, et al. (2007). Deane K (المحرر). "Occupational therapy for patients with Parkinson's disease". Cochrane Database Syst Rev (3): CD002813. doi:10.1002/14651858.CD002813.pub2. PMID 17636709. الوسيط
|CitationClass=تم تجاهله (مساعدة) - Roeder, Luisa; Costello, Joseph T.; Smith, Simon S.; Stewart, Ian B.; Kerr, Graham K. (2015-07-06). "Effects of Resistance Training on Measures of Muscular Strength in People with Parkinson's Disease: A Systematic Review and Meta-Analysis". PLoS ONE. 10 (7): e0132135. doi:10.1371/journal.pone.0132135. PMC 4492705. PMID 26146840. مؤرشف من الأصل في 01 مارس 2020. الوسيط
|CitationClass=تم تجاهله (مساعدة) - O'Sullivan & Schmitz 2007، صفحات 873, 876
- O'Sullivan & Schmitz 2007، صفحة 879
- O'Sullivan & Schmitz 2007، صفحة 877
- Scandalis TA, Bosak A, Berliner JC, Helman LL, Wells MR (2001). "Resistance Training and Gait Function in Patients with Parkinson's Disease". Am J Phys Med Rehabil. 80 (1): 38–43. doi:10.1097/00002060-200101000-00011. الوسيط
|CitationClass=تم تجاهله (مساعدة) - O'Sullivan & Schmitz 2007، صفحة 880
- Barichella, M; Cereda, E; Pezzoli, G (Oct 15, 2009). "Major nutritional issues in the management of Parkinson's disease". Movement disorders : official journal of the Movement Disorder Society. 24 (13): 1881–92. doi:10.1002/mds.22705. PMID 19691125. الوسيط
|CitationClass=تم تجاهله (مساعدة) - van Wegen et al 2006; Nieuwboer et al. 2007
- "Parkinson Home Exercises App". Efox.nl. European Foundation for Health and Exercise. مؤرشف من الأصل في 23 أبريل 2016. اطلع عليه بتاريخ 04 ديسمبر 2015. الوسيط
|CitationClass=تم تجاهله (مساعدة) - Miyai I.; Fujimoto Y.; Yamamoto H.; et al. (2002). "Long-term effect of body weight-supported treadmill training in Parkinson's disease: a randomized controlled trial". Arch Phys Med Rehabil. 83 (10): 1370–73. doi:10.1053/apmr.2002.34603. الوسيط
|CitationClass=تم تجاهله (مساعدة) - Amano S, Nocera JR, Vallabhajosula S, Juncos JL, Gregor RJ, Waddell DE, Wolf SL, Hass CJ (2013). "The effect of Tai Chi exercise on gait initiation and gait performance in persons with Parkinson's Disease". Parkinsonism Relat Disord. 19 (11): 955–60. doi:10.1016/j.parkreldis.2013.06.007. الوسيط
|CitationClass=تم تجاهله (مساعدة) - Hackney ME, Earhart GM (2008). "Tai Chi improves balance and mobility in people with Parkinson disease". Gait & Posture. 28 (3): 456–60. doi:10.1016/j.gaitpost.2008.02.005. الوسيط
|CitationClass=تم تجاهله (مساعدة) - Cannito MP, Suiter DM, Beverly D, Chorna L, Wolf T, Pfeiffer RM (2012). "Sentence Intelligibility Before and After Voice Treatment in Speakers With Idiopathic Parkinson's Disease". Journal of Voice. 26 (2): 214–19. doi:10.1016/j.jvoice.2011.08.014. الوسيط
|CitationClass=تم تجاهله (مساعدة) - Tjaden,K (2008). "Speech and swallowing in parkinson's disease". Top Geriatric Rehabilitation. 28 (2): 115–26. doi:10.1097/01.TGR.0000318899.87690.44. PMC 2784698. PMID 19946386. الوسيط
|CitationClass=تم تجاهله (مساعدة) - Pacchetti C, Mancini F, Aglieri R, Fundaro C, Martignoni E, Nappi G (2000). "Active Music Therapy in Parkinson's Disease: An Integrative Method for Motor and Emotional Rehabilitation". Psychosomatic Medicine. 62 (2): 386–93. doi:10.1097/00006842-200005000-00012. الوسيط
|CitationClass=تم تجاهله (مساعدة) - The National Collaborating Centre for Chronic Conditions, المحرر (2006). "Palliative care in Parkinson's disease". Parkinson's Disease. London: Royal College of Physicians. صفحات 147–51. ISBN 1-86016-283-5. مؤرشف من الأصل في 1 أبريل 2014. الوسيط
|CitationClass=تم تجاهله (مساعدة) - Koch G (2010). "rTMS effects on levodopa induced dyskinesias in Parkinson's disease patients: searching for effective cortical targets". Restor. Neurol. Neurosci. 28 (4): 561–68. doi:10.3233/RNN-2010-0556. PMID 20714078. الوسيط
|CitationClass=تم تجاهله (مساعدة) - Suchowersky O, Gronseth G, Perlmutter J, Reich S, Zesiewicz T, Weiner WJ (April 2006). "Practice Parameter: neuroprotective strategies and alternative therapies for Parkinson disease (an evidence-based review): report of the Quality Standards Subcommittee of the American Academy of Neurology". Neurology. 66 (7): 976–82. doi:10.1212/01.wnl.0000206363.57955.1b. PMID 16606908. الوسيط
|CitationClass=تم تجاهله (مساعدة) - Lee MS, Lam P, Ernst E (December 2008). "Effectiveness of tai chi for Parkinson's disease: a critical review". Parkinsonism Relat. Disord. 14 (8): 589–94. doi:10.1016/j.parkreldis.2008.02.003. PMID 18374620. الوسيط
|CitationClass=تم تجاهله (مساعدة) - Lee MS, Ernst E (January 2009). "Qigong for movement disorders: A systematic review". Mov. Disord. 24 (2): 301–03. doi:10.1002/mds.22275. PMID 18973253. الوسيط
|CitationClass=تم تجاهله (مساعدة) - Lee MS, Shin BC, Kong JC, Ernst E (August 2008). "Effectiveness of acupuncture for Parkinson's disease: a systematic review". Mov. Disord. 23 (11): 1505–15. doi:10.1002/mds.21993. PMID 18618661. الوسيط
|CitationClass=تم تجاهله (مساعدة) - Katzenschlager R, Evans A, Manson A, et al. (2004). "Mucuna pruriens in Parkinson's disease: a double blind clinical and pharmacological study". J. Neurol. Neurosurg. Psychiatr. 75 (12): 1672–77. doi:10.1136/jnnp.2003.028761. PMC 1738871. PMID 15548480. الوسيط
|CitationClass=تم تجاهله (مساعدة) - Ladha SS, Walker R, Shill HA (May 2005). "Case of neuroleptic malignant-like syndrome precipitated by abrupt fava bean discontinuance". Mov. Disord. 20 (5): 630–31. doi:10.1002/mds.20380. PMID 15719433. الوسيط
|CitationClass=تم تجاهله (مساعدة) - Raguthu L, Varanese S, Flancbaum L, Tayler E, Di Rocco A (October 2009). "Fava beans and Parkinson's disease: useful 'natural supplement' or useless risk?". Eur. J. Neurol. 16 (10): e171. doi:10.1111/j.1468-1331.2009.02766.x. PMID 19678834. الوسيط
|CitationClass=تم تجاهله (مساعدة) - Jones, Brad (December 8, 2016). "Wearable Device Helps Steady Hand of Designer Who Has Parkinson's Disease". digitaltrends.com. مؤرشف من الأصل في 17 فبراير 2019. الوسيط
|CitationClass=تم تجاهله (مساعدة) - Thomas, Josh (December 9, 2016). "Cambridge inventor helps Parkinson's disease suffer to write again". cambridge-news.co.uk. Cambridgeshire, England: Cambridge News. مؤرشف من الأصل في 16 يونيو 2018. اطلع عليه بتاريخ 15 ديسمبر 2016. الوسيط
|CitationClass=تم تجاهله (مساعدة) - Mann, Tanveer (8 December 2016). "Woman with Parkinson's can write again using incredible invention". metro.co.uk. مؤرشف من الأصل في 17 أبريل 2019. اطلع عليه بتاريخ 15 ديسمبر 2016. الوسيط
|CitationClass=تم تجاهله (مساعدة) - Lanska DJ (2010). "Chapter 33: the history of movement disorders". Handb Clin Neurol. 95: 501–46. doi:10.1016/S0072-9752(08)02133-7. PMID 19892136. الوسيط
|CitationClass=تم تجاهله (مساعدة) - Guridi J, Lozano AM (November 1997). "A brief history of pallidotomy". Neurosurgery. 41 (5): 1169–80, discussion 1180–83. doi:10.1097/00006123-199711000-00029. PMID 9361073. الوسيط
|CitationClass=تم تجاهله (مساعدة) - Fahn S (2008). "The history of dopamine and levodopa in the treatment of Parkinson's disease". Mov. Disord. 23 Suppl 3: S497–508. doi:10.1002/mds.22028. PMID 18781671. الوسيط
|CitationClass=تم تجاهله (مساعدة) - Hornykiewicz O (2002). "L-DOPA: from a biologically inactive amino acid to a successful therapeutic agent". Amino Acids. 23 (1–3): 65–70. doi:10.1007/s00726-001-0111-9. PMID 12373520. الوسيط
|CitationClass=تم تجاهله (مساعدة) - Coffey RJ (March 2009). "Deep brain stimulation devices: a brief technical history and review". Artif Organs. 33 (3): 208–20. doi:10.1111/j.1525-1594.2008.00620.x. PMID 18684199. الوسيط
|CitationClass=تم تجاهله (مساعدة) - Dimond PF (2010-08-16), "No New Parkinson Disease Drug Expected Anytime Soon", GEN news highlights, GEN-Genetic Engineering & Biotechnology News, مؤرشف من الأصل في 24 مارس 2016, اطلع عليه بتاريخ 25 أكتوبر 2010 الوسيط
|CitationClass=تم تجاهله (مساعدة); الوسيط|separator=تم تجاهله (مساعدة)CS1 maint: ref=harv (link) - Obeso JA, Rodriguez-Oroz MC, Goetz CG, et al. (May 2010). "Missing pieces in the Parkinson's disease puzzle". Nat Med. 16 (6): 653–61. doi:10.1038/nm.2165. PMID 20495568. الوسيط
|CitationClass=تم تجاهله (مساعدة) - Langston JW, Ballard P, Tetrud JW, Irwin I (February 1983). "Chronic Parkinsonism in humans due to a product of meperidine-analog synthesis". Science. 219 (4587): 979–80. doi:10.1126/science.6823561. PMID 6823561. الوسيط
|CitationClass=تم تجاهله (مساعدة) - Cicchetti F, Drouin-Ouellet J, Gross RE (September 2009). "Environmental toxins and Parkinson's disease: what have we learned from pesticide-induced animal models?". Trends Pharmacol. Sci. 30 (9): 475–83. doi:10.1016/j.tips.2009.06.005. PMID 19729209. الوسيط
|CitationClass=تم تجاهله (مساعدة) - Harvey BK, Wang Y, Hoffer BJ (2008). "Transgenic rodent models of Parkinson's disease". Acta Neurochir. Suppl. 101: 89–92. doi:10.1007/978-3-211-78205-7_15. PMC 2613245. PMID 18642640. الوسيط
|CitationClass=تم تجاهله (مساعدة) - Redmond DE (October 2002). "Cellular replacement therapy for Parkinson's disease – where we are today?". The Neuroscientist. 8 (5): 457–88. doi:10.1177/107385802237703. PMID 12374430. الوسيط
|CitationClass=تم تجاهله (مساعدة) - "Stem Cell Research Aims to Tackle Parkinson's Disease". مؤرشف من الأصل في 22 مايو 2019. اطلع عليه بتاريخ 16 أبريل 2010. الوسيط
|CitationClass=تم تجاهله (مساعدة) - Findley LJ (September 2007). "The economic impact of Parkinson's disease". Parkinsonism Relat. Disord. 13 (Suppl): S8–S12. doi:10.1016/j.parkreldis.2007.06.003. PMID 17702630. الوسيط
|CitationClass=تم تجاهله (مساعدة) - "About EPDA". European Parkinson's Disease Association. 2010. مؤرشف من الأصل في 29 مايو 2019. اطلع عليه بتاريخ 09 أغسطس 2010. الوسيط
|CitationClass=تم تجاهله (مساعدة) - "Parkinson's – 'the shaking palsy'". GlaxoSmithKline. 1 April 2009. مؤرشف من الأصل في 14 مايو 2011. الوسيط
|CitationClass=تم تجاهله (مساعدة) - "American Parkinson Disease Association: Home". American Parkinson Disease Association. مؤرشف من الأصل في 10 مايو 2012. اطلع عليه بتاريخ 09 أغسطس 2010. الوسيط
|CitationClass=تم تجاهله (مساعدة) - "About PDF". Parkinson's Disease Foundation. مؤرشف من الأصل في 15 مايو 2011. اطلع عليه بتاريخ 24 يوليو 2016. الوسيط
|CitationClass=تم تجاهله (مساعدة) - "Education: Joy in Giving". Time. 18 January 1960. مؤرشف من الأصل في 21 يوليو 2013. اطلع عليه بتاريخ 02 أبريل 2011. الوسيط
|CitationClass=تم تجاهله (مساعدة) - "Michael J. Fox to be made honorary doctor at Karolinska Institutet". Karolinska Institutet. 5 March 2010. مؤرشف من الأصل في 30 سبتمبر 2011. اطلع عليه بتاريخ 02 أبريل 2011. الوسيط
|CitationClass=تم تجاهله (مساعدة) - Brockes E (11 April 2009). "'It's the gift that keeps on taking'". The Guardian. مؤرشف من الأصل في 20 مايو 2019. اطلع عليه بتاريخ 25 أكتوبر 2010. الوسيط
|CitationClass=تم تجاهله (مساعدة) - "Who We Are". Davis Phinney Foundation. مؤرشف من الأصل في 16 يوليو 2016. اطلع عليه بتاريخ 18 يناير 2012. الوسيط
|CitationClass=تم تجاهله (مساعدة) - Emanuel, W (19 October 2010). "Davis Phinney foundation launches exercise-focused tools to help people live well with Parkinson's" (PDF) (Press release). Davis Phinney foundation. مؤرشف من الأصل (PDF) في 24 مارس 2020. اطلع عليه بتاريخ 02 أبريل 2011. الوسيط
|CitationClass=تم تجاهله (مساعدة) - Matthews W (April 2006). "Ali's Fighting Spirit". Neurology Now. American Academy of Neurology. 2 (2): 10–23. doi:10.1097/01222928-200602020-00004. مؤرشف من الأصل في 20 أكتوبر 2017. اطلع عليه بتاريخ 02 أبريل 2011. الوسيط
|CitationClass=تم تجاهله (مساعدة) - Tauber P (17 July 1988). "Ali: Still Magic". New York Times. مؤرشف من الأصل في 20 مايو 2019. اطلع عليه بتاريخ 02 أبريل 2011. الوسيط
|CitationClass=تم تجاهله (مساعدة)
انظر أيضًا
صور وملفات صوتية من كومنز
وصلات خارجية
- مرض باركنسون على مشروع الدليل المفتوح
- مرض باركنسون: الأمل عبر الأبحاث (المعهد الوطني للاضطرابات العصبية والسكتة) (بالإنجليزية)
- PDGENE – قاعدة بيانات رابطة الدراسات الجينية لمرض باركنسون (بالإنجليزية)
- الرابطة العالمية لمرض باركنسون (بالإنجليزية)
- بوابة طب
- بوابة علوم عصبية
- بوابة علم النفس
