ذات الرئة الفصي
ذات الرئة الفصي (بالإنجليزية: Lobar pneumonia) هو أحد أنواع ذات الرئة ويصيب جزء كبيرا من فص في الرئة.[1]
مقالة مفصلة: ذات الرئة
| ذات الرئة الفصي Lobar pneumonia | |
|---|---|
![]() مخطط يوضح موقع الرئة والمجاري التنفسية في الجسم. المخطط يوضح إصابة الفص الأسفل للرئة اليسرى بذات الرئة. الشكل (ب) يظهر الحويصلة الهوائية الطبيعية. الشكل (ج) يظهر الحويصلة الهوائية المصابة. مخطط يوضح موقع الرئة والمجاري التنفسية في الجسم. المخطط يوضح إصابة الفص الأسفل للرئة اليسرى بذات الرئة. الشكل (ب) يظهر الحويصلة الهوائية الطبيعية. الشكل (ج) يظهر الحويصلة الهوائية المصابة. | |
| معلومات عامة | |
| الاختصاص | طب الرئة |
| من أنواع | ذات الرئة |

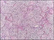
صورة مجهرية لإصابة بذات الرئة الفصي.

ذات الرئة الفصي في الفص الأوسط (لاحظ الحواف الحادة)
وهو أحد النوعين التصنيفييين التشريحيين لذات الرئة، النوع الثاني هو ذات الرئة القصبي.
مراحل المرض
- احتقان الرئة في الساعات الأربع والعشرين الأولى
- تكبد أحمر واندماج
- تكبد رمادي أو سنجابي
- شفاء
العوامل المسببة للمرض
من أبرز مسببات ذات الرئة الفصي:
المصادر
- Cotran, Ramzi S.; Kumar, Vinay; Fausto, Nelson; Nelso Fausto; Robbins, Stanley L.; Abbas, Abul K. (2005). Robbins and Cotran pathologic basis of disease. St. Louis, Mo: Elsevier Saunders. صفحة 749. ISBN 0-7216-0187-1. الوسيط
|CitationClass=تم تجاهله (مساعدة)صيانة CS1: أسماء متعددة: قائمة المؤلفون (link)
This article is issued from Wikipedia. The text is licensed under Creative Commons - Attribution - Sharealike. Additional terms may apply for the media files.
