وذمة الرئة
استسقاء الرئة هو تراكم السوائل في الرئة [1] و التي تؤدي إلى ضعف في تبادل الغازات ويمكن أن تسبب فشلا تنفسيا. تحدث إما بسبب فشل القلب لإزالة السائل من الدورة الدموية في الرئة ("استسقاء رئوي قلبي") أو بسبب ضرر مباشر في لحمة الرئة ("الاستسقاء الرئوي غير القلبي").[2] العلاج يعتمد على السبب، لكنه يركز على تعزيز وظيفة الجهاز التنفسي، وإزالة السبب.
| استسقاء الرئة | |
|---|---|
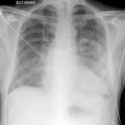
![]() صورة شعاعية لاستسقاء الرئة الحاد. صورة شعاعية لاستسقاء الرئة الحاد. | |
| معلومات عامة | |
| الاختصاص | طب الرئة |
| من أنواع | فشل تنفسي |
| الإدارة | |
| أدوية | |
علامات وأعراض
أعراض الوذمة الرئوية تشمل ضيق النفس، سعال مدمى، التعرق الشديد ،القلق، والبشرة الشاحبه. والعلامة الكلاسيكية لاستسقاء الرئة هي إنتاج بلغم مزبد وردي. إذا تركت دون علاج، يمكن أن تؤدي إلى الغيبوبة وحتى الوفاة، بصفة عامة، نظرا للتعقيد الرئيسي لنقص الأكسجة. إذا نمت الوذمة الرئوية تدريجيا، أعراض الحمل الزائد من السوائل قد تظهر. وتشمل نوكتيوريا (كثرة التبول في الليل)، وذمة (استسقاء) الكاحل (هي تورم في الساقين، يعود الجلد إلى وضعه الطبيعي بعد الضغط عليه ببطئ جدا)، اورثوبينا (عدم القدرة على الاستلقاء على الأرض بشكل مسطح بسبب ضيق التنفس)، والربو القلبي (نوبات من ضيق التنفس الحاد المفاجئ في الليل).
تشخيص
بصفة عامة، استسقاء الرئة يشتبه فيه بسبب ما يوجد في التاريخ الطبي، مثل أمراض القلب والأوعية الدموية السابقة، والفحص البدني ,خشخشة نهاية التنفس (أصوات تسمع في نهاية النفس العميق) عند التسمع (الاستماع إلى التنفس من خلال سماعة الطبيب) لهم سمات مميزة للاستسقاء في الرئة. وجود صوت ثالث للقلب هو تنبؤ للوذمة الرئوية القلبية.[2]
بوجه عام، يتم إجراء اختبارات شوارد الدم للالكتروليت (الصوديوم والبوتاسيوم)، وعلامات على وظيفة الكلى(الكرياتينين، واليوريا). انزيمات الكبد، علامات للالتهابات (عادة بروتين ج التفأعلى)، تعداد الدم الكامل وكذلك دراسات التخثر (PT، aPTT) عادة ما تطلب. الببتيد الناتريوتريك نوع ب (BNP) متوفر في العديد من المستشفيات، وخاصة في الولايات المتحدة، وأحيانا حتى باعتباره كاختبار زيادة رعاية. مستويات منخفضة من BNP (أقل من pg/ml 100) تجعل من المستبعد جدا ان يكون السبب قلبي.[2]
التشخيص يتأكيد بالأشعة السينية للرئتين، التي تظهر زيادة السوائل في الجدران السنخية (الحويصلات). خطوط كيرلى باء ، زيادة ملء الأوعية الدموية، الانصباب الجنبي، تسريب الفص العلوي (زيادة تدفق الدم إلى الأجزاء العليا من الرئة) قد تكون مؤشرا على وذمة رئوية قلبية، في حين سنخية غير منتظمه متجانسة مع برونكوجرام الهواء هي أكثر دلالة على وذمة غير قلبيه[2]
انخفاض التشبع بالأوكسجين واضطراب قراءات غاز الدم في الشرايين قد تعزز التشخيص وتوفر الأسس لأشكال مختلفة من العلاج. إذا توفر تخطيط صدى القلب عاجل، هذا قد يعزز التشخيص، وكذلك التعرف على أمراض صمامات القلب. في حالات نادرة، قد يتطلب ادخال قسطرة سوان - غانز للتمييز بين الشكلين الرئيسين للوذمه الرئوية.[2]
أسباب
الوذمة الرئوية هي إما بسبب الاضرار المباشرة للأنسجة أو نتيجة لعدم كفاية أداء القلب أو الدورة الدموية.
عندما تحدث بسبب زيادة ضغط الدم الرئوي مباشرة أو غير مباشرة، الوذمة رئوية قد تظهر عندما يزيد هذا عن الضغط العادي 15 مم زئبق [3] لأكثر من 25 مم زئبق.[4]
قلبية
- قصور القلب الاحتقاني
- أزمه قلبية شديده مع فشل البطين الأيسر
- عدم انتظام ضربات القلب شديد (عدم انتظام دقات القلب / سرعة ضربات القلب، أو بطء / بطء ضربات القلب)
- أزمة ارتفاع ضغط الدم
- راقة بيريكارديال مع تامبودين
- السائل الزائد، على سبيل المثال، من الفشل الكلوي أو الحقن الوريدي
غير قلبية
قد تحدث بعد انسداد مجرى الهواء العلوي، السوائل الزائده في الوريد، الأسباب العصبية (الصدمة الدماغيه، الخنق والصعق بالكهرباء). ويمكن أيضا ملاحظة مع متلازمة الضائقة التنفسية الحادة :
اسبابه
- استنشاق الغازات السامة
- كدمة رئوية، أي صدمة عالية الطاقة
- الرشف، على سبيل المثال، السوائل في المعدة أو في حالة الغرق
- أعادة التمدد، أي بعد ازالة الرئة أو thoracentesis الأحجام الكبيرة
- إصابة إعادة إشباع الخلايا، أي thromboendartectomy بعد رئويه أو زرع الرئة
- الوذمة الرئوية الغمريه[5][6]
- نقل الدم المتعدد
- العدوى الشديدة
أخرى / غير معروف
- الصدمات المتعددة، على سبيل المثال، حادث سيارة شديد
- عصبية، على سبيل المثال، نزيف تحت العنكبوتية
- أنواع معينة من الأدوية، استعمال الأدوية الغير مشروع
- انسداد مجرى الهواء العلوي، أي وذمة الضغط السلبي الرئوية [7][8]
- التشوهات الشريانية الوريدية.
- متلازمة فيروس هانتا الرئويه
- الصعود إلى ارتفاع عال أحيانا يؤدي وذمة الارتفاع العالى الرئوية [9][10]
علاج
ينصب التركيز في البداية على الحفاظ على نسبة الأوكسجين الكافي. قد يحدث ذلك عن طريق أكسجين مرتفع التدفق، التهوية الموسعه (إما ضغط ممر الهواء الايجابي المستمر) أو ضغط ممر الهواء الايجابي المتغير ([11][12] أو التهوية الميكانيكية في الحالات القصوى.
عندما تكون الأسباب في الدورة الدموية أدت إلى الوذمة الرئوية، العلاج عن طريق الحقن في الوريد بالنترات (جليسريل ثلاثى النيترات)، ومدر للبول حلقي، مثل فوروسيميد أو بوميتانيد، هو الركيزة الأساسية للعلاج. هذه تحسن قبل التحميل وبعد التحميل، وتساعد في تحسين وظائف القلب.
المراجع
- hl dorlands split.jsp?pg=/ppdocs/us/common/dorlands/dorland/three/000033856.htmنسخة محفوظة 09 سبتمبر 2004 على موقع واي باك مشين.
- [3] ^ وير LB، Matthay MA. الاستسقاء الرئوي الحاد. ن ي ميد 2005 ؛ 353:2788-96. بميد 16382065.
- ما هو ارتفاع ضغط الدم الرئوي؟ من مؤشر الأمراض والأعلااض. المعهد القومي للقلب والرئة والدمآخر تحديث سبتمبر 2008. استرجاع 6 نيسان / أبريل 2009. نسخة محفوظة 27 أبريل 2012 على موقع واي باك مشين.
- 41، في الصفحة 210 : علم أمراض القلب أسرار بقلم أوليفيا Vynn أدير الطبعة : 2، يتضح التي نشرتها Elsevier العلوم الصحية، 2001 ردمك 1560534206، 9781560534204 نسخة محفوظة 18 أبريل 2020 على موقع واي باك مشين.
- Hampson NB, Dunford RG (1997). "Pulmonary edema of scuba divers". Undersea Hyperb Med. 24 (1): 29–33. PMID 9068153. مؤرشف من الأصل في 17 يونيو 2010. اطلع عليه بتاريخ 04 سبتمبر 2008. الوسيط
|CitationClass=تم تجاهله (مساعدة) - Cochard G, Arvieux J, Lacour JM, Madouas G, Mongredien H, Arvieux CC (2005). "Pulmonary edema in scuba divers: recurrence and fatal outcome". Undersea Hyperb Med. 32 (1): 39–44. PMID 15796313. مؤرشف من الأصل في 17 يناير 2011. اطلع عليه بتاريخ 04 سبتمبر 2008. الوسيط
|CitationClass=تم تجاهله (مساعدة)صيانة CS1: أسماء متعددة: قائمة المؤلفون (link) - Fremont RD, Kallet RH, Matthay MA, Ware LB (2007). "Postobstructive pulmonary edema: a case for hydrostatic mechanisms". Chest. 131 (6): 1742–6. doi:10.1378/chest.06-2934. PMID 17413051. مؤرشف من الأصل في 28 أبريل 2020. اطلع عليه بتاريخ 04 سبتمبر 2008. الوسيط
|CitationClass=تم تجاهله (مساعدة)صيانة CS1: أسماء متعددة: قائمة المؤلفون (link) - Chuang YC, Wang CH, Lin YS (2007). "Negative pressure pulmonary edema: report of three cases and review of the literature". Eur Arch Otorhinolaryngol. 264 (9): 1113–6. doi:10.1007/s00405-007-0379-9. PMID 17598119. الوسيط
|CitationClass=تم تجاهله (مساعدة);|access-date=بحاجة لـ|url=(مساعدة)صيانة CS1: أسماء متعددة: قائمة المؤلفون (link) - Luks AM (2008). "Do we have a "best practice" for treating high altitude pulmonary edema?". High Alt. Med. Biol. 9 (2): 111–4. doi:10.1089/ham.2008.1017. PMID 18578641. الوسيط
|CitationClass=تم تجاهله (مساعدة);|access-date=بحاجة لـ|url=(مساعدة) - Bates, M (2007). "High altitude pulmonary edema". Altitude Physiology Expeditions. مؤرشف من الأصل في 8 فبراير 2009. اطلع عليه بتاريخ 04 سبتمبر 2008. الوسيط
|CitationClass=تم تجاهله (مساعدة) - Masip J, Roque M, Sánchez B, Fernández R, Subirana M, Expósito JA (2005). "Noninvasive ventilation in acute cardiogenic pulmonary edema: systematic review and meta-analysis". JAMA. 294 (24): 3124–30. doi:10.1001/jama.294.24.3124. PMID 16380593. مؤرشف من الأصل في 12 يناير 2010. الوسيط
|CitationClass=تم تجاهله (مساعدة)صيانة CS1: أسماء متعددة: قائمة المؤلفون (link) - Peter JV, Moran JL, Phillips-Hughes J, Graham P, Bersten AD (2006). "Effect of non-invasive positive pressure ventilation (NIPPV) on mortality in patients with acute cardiogenic pulmonary oedema: a meta-analysis". Lancet. 367 (9517): 1155–63. doi:10.1016/S0140-6736(06)68506-1. PMID 16616558. الوسيط
|CitationClass=تم تجاهله (مساعدة)صيانة CS1: أسماء متعددة: قائمة المؤلفون (link)
وصلات خارجية
- HeartFailureMatters.org الرسوم المتحركة تظهر كيف فشل القلب يسبب تراكم السوائل—صنعت من قبل جمعية فشل القلب الأوروبية
- بوابة طب
