زراعة الأسنان
إن زراعة الأسنان (بالإنجليزية: Dental implant) و التي تعرف باسم الغرسة هي عبارة عن مكون جراحي يتفاعل مع عظم الفك لدعم التعويضات السنية مثل التاج أو الجسر أو طقم الأسنان أو تعويضات الوجه أو للعمل كنقطة ارتكاز لتقويم الأسنان . تعد زراعة الأسنان حالياً التطور الأكبر لطب الأسنان إذ أنها تعالج فقدان الأسنان دون الحاجة إلى توريط أي من الأسنان محل الفقد.[1][2][3] و هي عملية بيولوجية تعتمد علي التحام العظم، و يتم ذلك عن طريق الربط بين التيتانيوم و العظم. يتم وضع الغرسة للإتحام بالعظم أولا، ثم يضاف تركيبة صناعية للأسنان. يلزم مقدار من الوقت ليتيح ضمان التحام وثبات الغرسة قبل إرفاق الطرف الاصطناعي للأسنان (سواء كان تاج أو جسر أو طقم أسنان) أو وضع دعامة التي تحمل الطرف الاصطناعي للأسنان / التاج.


يعتمد نجاح أو فشل الغرسات على صحة الشخص الذي يتلقى الغرسات، والأدوية المتناولة التي يمكن تؤثر على فرص التئام العظام، وصحة الأنسجة في الفم. يتم أيضًا تقييم مقدار الضغط الذي سيوضع على الغرسة والتثبيت أثناء الوظيفة العادية. يعد تخطيط موضع وعدد الغرسات أمرًا أساسيًا لصحة الطرف الاصطناعي على المدى الطويل نظرًا لأن القوى الميكانيكية الحيوية التي تم إنشاؤها أثناء المضغ تعتبر مؤثرة.
يتم تحديد موضع الغرسات من خلال موضع وزاوية الأسنان المجاورة، أو عن طريق قوالب الأسنان المصبوبة بالمعمل أو باستخدام التصوير المقطعي المحوسب مع تقنية الكاد كام لعمل الدعامات حتي يتم توجيه الغرسة في الإتجاه المناسب. الشروط المسبقة لنجاح الألتحام على المدى الطويل لزرع الأسنان هي صحة عظم الفك واللثة. نظرًا لأن كلاهما يمكن أن يحدث له ضمورًا بعد خلع الأسنان، فإن إجراءات مثل رفع الجيوب الأنفية أو ترقيع اللثة تكون مطلوبة في بعض الأحيان لإعادة تكوين عظم وسماكة لثة مثاليين قبل البدأ بوضع التيجان أو الجسور أو الأطقم.
يمكن تثبيت الطرف الاصطناعي النهائي، حيث لا يستطيع الشخص إزالة طقم الأسنان أو الأسنان من فمه، أو يمكن إزالته. في كل حالة، يتم إرفاق دعامة بالغرسة. عندما يتم تثبيت الطرف الاصطناعي، يتم تثبيت التاج أو الجسر أو طقم الأسنان في الدعامة إما بمسامير أو بإسمنت لازق للأسنان. عندما يكون الطرف الاصطناعي قابلاً للإزالة، يتم وضع محول مطابق في الطرف الاصطناعي بحيث يمكن تثبيت القطعتين معًا.
تنقسم المخاطر والمضاعفات المتعلقة بالزرع إلى تلك التي تحدث أثناء الجراحة (مثل النزيف المفرط أو إصابة الأعصاب) ، أو تلك التي تحدث في الأشهر الستة الأولى (مثل العدوى والفشل في الالتحام في العظم) وتلك التي تحدث على المدى الطويل مثل التهاب محيط بالزرع والفشل الميكانيكي. في وجود أنسجة صحية، وفي تعرض الغرسة لأحمال ميكانيكية مناسبة، وجد أن معدلات نجاح وبقاء الغرسة تبدأ من 93 إلى 98 % بعد 5 سنين,[4][5][6] و قد تمتد هذه المدة الي 10-15 عامًا للأسنان الاصطناعية. أيضاٌ تظهر الدراسات طويلة المدى نجاحًا لغرسات يتراوح من 16 إلى 20 عامًا (غرسات تعيش بدون مضاعفات أو مراجعات) بين 52% و 76% [7]، مع حدوث مضاعفات تصل إلى 48% من الوقت.[8]
الاستخدام الطبي

الاستخدام الأساسي لغرسات الأسنان هو دعم الأطراف الصناعية بالعظم اعتمادا علي عملية بيولوجية لالتحام العظام بمواد معينة مثل التيتانيوم أو نوع من أنواع السيراميك وتحتمل الغرسات الأحمال لفترات طويلة بدون فشل. تُستخدم الغرسات لاستبدال الأسنان الفردية المفقودة، أو الأسنان المتعددة، أو لاستعادة أقواس الأسنان السنية (بعمل جسور ثابتة أو طقم مثبت بغرسات) و تستخدم زراعة الأسنان أيضًا في تقويم الأسنان لتوفير نقطة ارتكاز. هناك أيضا استخدام متطور للغرسات للاحتفاظ بالأطراف الصناعية القابلة للإزالة المستخدمة لملء الاتصال بين تجاويف الفم والفكين أو الأنف).[9] يمكن استخدام الأطراف الصناعية في الوجه، والتي تُستخدم لتصحيح تشوهات الوجه (على سبيل المثال من علاج السرطان أو الإصابات)[10] ، في التوصيل بالزرعات الموضوعة في عظام الوجه. اعتمادًا على الحالة، لذلك يمكن الاحتفاظ بأطراف اصطناعية ثابتة أو قابلة للإزالة تحل محل جزء من الوجه ولكن حسب كل حالة .[11]
- غرسة لتعويض وحدة مفردة
- غرسات لتعويض عدة أسنان بجسر
- غرسات لتعويض عدة أسنان بطقم
- غرسات صغيرة لارتكاز التقويم
إعتبارات عامة


المرشحون للجراحة
لكي يكون المريض مرشحا لهذه العملية يجب أن تكون اللثة وعظام الفك في حالة جيدة من حيث الشكل والحجم وموقع عظام الفكين والأسنان المجاورة والمقابلة.
الذين يعانون من سوء نظافة الفم ، والمدخنين الشرهيين، ومرضى السكري جميعهم معرضون لأنواع مختلفة من أمراض اللثة و التي تؤثر على الغرسات وتسبب بما يسمى بالتهاب أنسجة المحيط بالغرسات، مما يزيد من فرص الفشل على المدى الطويل. تناول الستيرويد لفترات طويلة المدي وهشاشة العظام [12] والأمراض الأخرى التي تؤثر على العظام تشكل أيضاٌ خطر الفشل المبكر للغرسات.
بالنسبة لمرض السكري وجدت الدراسات أن نسبة نجاح الغرسات في مرضي السكري المتحكمين به جيدًا / جيدًا جيدًا تقارن بمعدل النجاح في الأشخاص العادية.[13][14] وقد اقترحت بعض الدراسات أن العلاج الإشعاعي يمكن أن يؤثر سلبًا على نجاح ومعدل بقاء الغرسات.[15] ومع ذلك، وجدت دراسة منهجية نشرت في عام 2016 أن زراعة الأسنان في المنطقة المشعة في الفم قد يكون لها معدل بقاء مرتفع، بشرط أن يحافظ المريض على نظافة الفم و يتابع بشكل منتظم مع الطبيب المعالج لمنع المضاعفات.[16]
أدوية البيسفوسفونات
تتطلب الحالات التي تستخدام عقاقير بناء العظام مثل البيسفوسفونات والأدوية المضادة لـ RANKL اهتمامًا خاصًا، لأنها مرتبطة باضطراب يسمى تنخر العظم الفكي المرتبط بالأدوية. تغير الأدوية حالة دوران العظام، الذي يُعتقد أنه يعرض الأشخاص لخطر موت العظام عند إجراء جراحة فموية بسيطة. في الجرعات الروتينية (على سبيل المثال، تلك المستخدمة لعلاج هشاشة العظام الروتينية) آثار الأدوية تستمر لشهور أو سنوات ولكن يبدو أن الخطر منخفض للغاية. بسبب هذه الازدواجية، يوجد عدم يقين في مجتمع أطباء الأسنان حول أفضل طريقة لإدارة خطر النخر العظمي عند وضع الغرسات. أجريت دراسة في عام 2009 من قبل الجمعية الأمريكية لجراحي الفم والوجه والفكين أن يمكن أن يكون خطر النخر من جرعة منخفضة من العلاج بالأقراص (أو الحقن البطيء) بين 0.01 و 0.06 في المائة لأي إجراء يتم إجراؤه على الفكين (الزرع، الخلع، إلخ. .). و يكون معدل الخطر أعلى مع علاج البيسفوسفونات عن طريق الوريد، والعمليات أو الإجراءات في الفك السفلي، وفي الأشخاص الذين يعانون من مشاكل طبية أخرى، والأشخاص الذين يتناولون الستيرويد، والأشخاص الذين تناولوا البيسفوسفونات بشكل قوي أو تناولوا الدواء لأكثر من ثلاث سنوات. توصي هذه الدراسة بعدم وضع الغرسات في الأشخاص الذين يتناولون جرعة عالية أو علاجًا وريديًا لعلاج السرطان. خلاف ذلك، تنصح الدراسة بوضع الغرسات بشكل عام وربما أن استخدام البايفوسفونيت لا يؤثر على بقاء الغرسة.[17][18]
المؤثرات الحيوية الميكانيكية
يتم تحديد نجاح الغرسات على المدى الطويل، جزئيًا، من خلال القوى التي يجب أن تدعمها. بما أن الغرسات ليس لها رباط حول اللثة، فلا يوجد إحساس بالضغط عند العض لذا تكون القوى التي تم إنشاؤها أعلى. لتعويض ذلك، يجب أن يوزع موقع الغرسات بالتساوي عبر التعويضات الصناعية التي يدعمونها.[19] يمكن أن تؤدي القوى المركزة إلى كسر الجسر، أو مكونات الغرسة، أو فقدان العظم المحيط للغرسة.[20] يعتمد الموقع النهائي للغرسات على عوامل بيولوجية مثل نوع العظام، الهياكل الحيوية، الصحة وعوامل ميكانيكية. إن عمليات الزرع الموضوعة في عظم سميك ولقوي مثل تلك الموجودة في الجزء الأمامي من الفك السفلي والجزء الخلفي من الفك العلوي والتي لها معدلات فشل أقل من الغرسات الموضوعة في عظم منخفض الكثافة. الأشخاص الذين يعانون من صرير أسنانهم يؤثرون بشكل سلبي علي قوة احتمال الغرسات ويزيدون من احتمالية فشلها.[21]
تكوين الغرسة

تتكون الغرسة التقليدية النموذجية من برغي من التيتانيوم (يشبه جذر السن) بسطح خشن أو أملس. معظم غرسات الأسنان مصنوعة من التيتانيوم النقي تجاريًا، والذي يتوفر في أربع درجات اعتمادًا على كمية الكربون والنيتروجين والأكسجين والحديد المتضمن. يعتبر التيتانيوم البارد CP4 (بحد أقصى للشوائب %N.05% ، C.10% ، H. 015% ، Fe.50 ، و% O.40) وهو التيتانيوم الأكثر استخدامًا في عمليات الزرع. التيتانيوم من الدرجة الخامسة، التيتانيوم 6AL-4V (يشير إلى سبائك التيتانيوم التي تحتوي على %6 من الألمنيوم و %4 من سبائك الفاناديوم) هوأكثر صلابة من CP4 ويستخدم في الصناعة في الغالب لمسامير الدعامات.[22][23]

تحتوي معظم غرسات الأسنان الحديثة أيضًا على سطح متلاحم (من خلال النقش أو الأكسدة الأنودية أو السفع بالوسائط المختلفة) لزيادة مساحة السطح وإمكانية الاندماج العظمي للزرع. إذا كان التيتانيوم ال C.P أو سبائك التيتانيوم تحتوي على أكثر من 85 ٪ من محتوى التيتانيوم، ستشكل طبقة سطحية من أكسيد التيتانيوم المتوافق حيويًا أو قشرة تحيط بالمعادن الأخرى، مما يمنعها من الاتصال بالعظم.[24] توجد غرسات خزفية / سيراميك (تعتمد على الزركونيا) في قطعة واحدة (تجمع بين البرغي والدعامة) أو أنظمة أخري من قطعتين - الدعامة إما مثبتة بمواد لازقة أو مربوطة كالبرغي - تري بعض الدراسات إنها قد تقلل من خطر الإصابة بأمراض المحيطة بالغرسة، ولكن البيانات طويلة المدى على معدلات النجاح غير واضحة.[25][26]
توقيت الغرس بعد خلع الأسنان

هناك طرق مختلفة لوضع الغرسات بعد خلع الأسنان وهي:
1. وضع الغرسة بعد الخلع مباشرة : و هي وضع الغرسة في موقع خلع حديث وأصبحت هذه الإستراتيجية شائعة للحفاظ على العظام وتقليل أوقات العلاج. من ناحية، يقصر وقت العلاج ويمكن أن يحسن الجماليات لأنه يتم الحفاظ على غلاف الأنسجة الرخوة. أما من ناحية أخرى، قد يكون معدل الفشل في المرحلة الأولي للغرسات أعلى قليلاً . من الصعب استخلاص النتائج حول هذا الموضوع، لأن القليل من الدراسات قارنت الغرسات الفورية والمتأخرة بطريقة صارمة علمياً.[27]
2. وضع الغرسة المتأخر مباشرة - بعد الخلع بإسبوعين إلى ثلاثة أشهر
3. وضع الغرسة المتأخر (ثلاثة أشهر أو أكثر بعد خلع السن).
هناك أيضًا خيارات مختلفة لتوقيت ربط الأسنان التعويضية بغرسات الأسنان وهي :
1. التحميل الفوري
2. التحميل المبكر (أسبوع إلى اثني عشر أسبوعًا)
3. التحميل المتأخر (أكثر من ثلاثة أشهر)
الخطوات الجراحية الأساسية
وضع الغرسة





تحتوي معظم أنظمة الزرع على خمس خطوات أساسية لوضع كل غرسة: [28]
1. انعكاس الأنسجة الرخوة: يتم إجراء شق على قمة العظم، ويتم دفع حواف الأنسجة لامكانية إظهار العظم لوضع الغرسة. مع ذلك هناك تقنية بديلة، حيث تتم إزالة جزء صغير من الأنسجة (قطر الغرسة) لوضع الغرسة بدلاً من رفع حواف الأنسجة.
2. الحفر بسرعة عالية: بعد عكس الأنسجة الرخوة، واستخدام دليل جراحي أو دعامة حسب الضرورة، يتم وضع ثقوب تجريبية بإستخدام أداة دقيقة تعمل بسرعة منظمة مع خاصية تبريد ذاتية لمنع حرق أو نخر العظام.
3. الحفر بسرعة منخفضة: يتم توسيع الفتحة الأولية التجريبية باستخدام أدوات حفر أعرض تدريجيًا (عادةً ما بين ثلاث وسبع خطوات حفر متتالية، اعتمادًا على عرض الزرعة وطولها ونظام عملها المحدد من الشركة المنتجة لها). يتم الحرص على عدم إتلاف خلايا العظام من خلال ارتفاع درجة الحرارة لذلك يلحق الأداة بمحلول تبريد أو رذاذ ماء.
4. وضع الغرسة: يتم وضع برغي الزرع ويمكن أن يكون من النوع الذي يتم دورانه واحتواءه في العظم ذاتيًا . ثم يتم تثبيته في مكانه باستخدام مفتاح تحكم ينتج دوران بعزم دقيق حتى لا تتأثر العظام المحيطة (حيث أن يمكن أن يسبب تنخر العظم، والتي قد تؤدي إلى فشل الغرسة في الالتحام الكامل أو الترابط مع عظم الفك).
5. تكيف الأنسجة: يتم وضع وتكيف اللثة حول الغرسة بأكملها لتوفير شريط من الأنسجة السليمة حول الدعامة المربوطة بالغرسة. على النقيض من ذلك، يمكن "دفن" الغرسة، حيث يتم إغلاق الجزء العلوي من الغرسة بمسمار كغطاء ويتم إغلاق الأنسجة لتغطيتها بالكامل. في هذه الحالة، يلزم إجراء ثانٍ للكشف عن الغرسة في زيارة لاحقة للطبيب.
الخطوات الجراحية الإضافية
يجب أن تكون الغرسة محاطة بكمية مناسبة من العظام من أجل الألتحام والبقاء على المدى الطويل، بالإضافة إلي وجود غلاف سميك من الأنسجة الرخوة الصحية (اللثة) حوله. من الشائع أن تكون العظام أو الأنسجة الرخوة ناقصة جدًا بحيث يحتاج الجراح إلى إعادة بنائها إما قبل أو أثناء وضع الغرسة.[29]

إعادة بناء العظام
انظر أيضا: تطعيم عظمي ، رفع قاع الجيب الفكي
تطعيم (ترقيع) العظام ضروري عندما يكون هناك نقص في العظام كما أنه يساعد على استقرار الغرسة في مكانها علي المدي الطويل وتقليل فقدان مستوى العظام في الهوامش. لتحقيق عرض وارتفاع كافيين للعظم، تم تطوير العديد من تقنيات تطعيم العظام. فترقيع العظام يتم بملء العيب إما بالعظام الطبيعية المحصودة أو بديل عظمي صناعي، مغطى بغشاء شبه نفاذ ويسمح له بالالتئام. و خلال مرحلة الشفاء، يستبدل العظم الطبيعي العظم المستخدم في الترقيع ليشكل قاعدة جديدة للغرسة.[30] في حين أن هناك دائمًا أنواع جديدة من الغرسات، مثل الغرسات القصيرة (ذات القطر المنخفض)، وتقنيات للسماح بحلول وسط لوضع غرسات، فإن هدف العلاج العام هو أن يكون الحد الأدنى لارتفاع العظم 10 مم، وعرض 6 مم.[31]
هناك ثلاثة إجراءات شائعة للبناء وهي:[32]
- رفع الجيوب الأنفية
- تكبير(ترقيع) جانبي (زيادة العرض)
- تكبير(ترقيع) رأسي (زيادة الارتفاع)
توجد أيضًا إجراءات أخرى أكثر توغلًا لعيوب العظام الأكبرذلك يتضمن تحريك العصب السنخي السفلي للسماح بوضع الغرسات، هنا يتم ترقيع العظم باستخدام العظم الحرقفي أو مصدر كبير آخر للعظم مثل عظم الذقن مع عظم الأوعية الدموية الدقيقة حيث يتم إمداد الدم للعظم ويتم زرعها مع عظم المصدر وإعادة توصيلها إلى إمدادات الدم الموجودة .[33] في المجمل يعتمد القرار النهائي بشأن أفضل طريقة لتطعيم العظام بتقييم درجة فقدان العظم الموجود رأسيا وأفقيا، والتي يتم تصنيف إلي درجات وهي إما خفيفة (فقدن العظم 2-3 ملم) ، معتدلة (4-6 ملم) أو شديدة (خسارة أكبر من 6 ملم).[34]
إعادة بناء الأنسجة الرخوة

تحتوي اللثة المحيطة بالسن على شريط حوالي2-3 مم من اللون الوردي الزاهي، وغشاء مخاطي قوي متصل بقوة، ثم منطقة أغمق وأكبر من الغشاء المخاطي غير المرتبط الذي يتم طيه في الخدين. عند استبدال السن بغرسة، هناك حاجة إلى شريط من اللثة القوية للحفاظ على صحة الزرع على المدى الطويل. هذا مهم بشكل خاص لإستمرارية تدفق الدم لللثة والتي تكون أكثرعرضة للإصابة من الناحية النظرية بسبب ارتباطها أطول بالزرع أكثر من السن.[35] عند غياب شريط ملائم من الأنسجة المرفقة، يمكن إعادة إنشائه عن طريق تطعيم الأنسجة الرخوة. هناك أربع طرق يمكن استخدامها لزرع الأنسجة الرخوة. يمكن أخذ لفافة من الأنسجة المجاورة للزرع (يشار إليها بلفة حنكية) و وضعها باتجاه الشفة ، ويمكن زرع اللثة من نسيج الحنك ، ويمكن زرع نسيج ضام عميق من الحنك، وعندما يتم زرع قطعة أكبر من الحنك هناك حاجة إلى الأنسجة الأكبر، ويمكن إعادة وضع إصبع من الأنسجة بالأوعية الدموية المحيطة في الحنك.[36]
بالإضافة إلى ذلك، لكي تبدو الغرسة جمالية، هناك حاجة إلى شريط من اللثة الممتلئة لملء الفراغ على جانبي الغرسة. يُعرف أكثر مضاعفات الأنسجة الرخوة شيوعًا بالمثلث الأسود، حيث تتقلص الحليمة (وهي قطعة نسيجية مثلثة صغيرة بين سنين) إلى الخلف وتترك فراغًا ثلاثيًا بين الغرسة والأسنان المجاورة. يمكن أن يتوقع أطباء الأسنان فقط 2-4 ملم من ارتفاع الحليمة على العظم الأساسي. يمكن توقع المثلث الأسود إذا كانت المسافة بين المكان الذي تلمس فيه الأسنان والعظم أكبرمن ذلك.[37]
التعافي
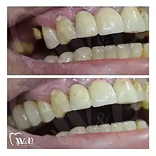
تبدأ خطوات تركيب التعويضات على الغرسات بمجرد التحام الغرسة جيدًا (أو عند وجود ضمان معقول بأنها ستندمج) والدعامة في وضعها لإخراجها عبر الغشاء المخاطي. حتى في حالة التحميل المبكر (أقل من 3 أشهر)، فإن العديد من الأطباء يضعون أسنانًا مؤقتة حتى يتم التأكد من التحام الغرسة بالعظم. تتطلب المرحلة التعويضية قدرًا من الخبرة التقنية بسبب الاعتبارات الميكانيكية الحيوية، خاصة عندما يتم استعاضة عدد كبير من الأسنان. سيعمل طبيب الأسنان على استعادة المسافة الرأسية، وجماليات الابتسامة، والهيكل السني لتوزيع قوى الغرسات بالتساوي .[38]
المحافظة علي الغرسات

بعد الوضع، يجب تنظيف الغرسات (مثل الأسنان الطبيعية) باستخدام مقشر لثوي (أدوات أسنان) لإزالة أي لويحات أو ترسبات جيرية. تفقد الغرسات العظم بمعدل مماثل للأسنان الطبيعية في الفم (على سبيل المثال، إذا كان شخص ما يعاني من أمراض اللثة، يمكن أن تتأثر الغرسة باضطراب مماثل) ولكنها ستستمر بخلاف ذلك. من المتوقع أن يتغير لون الخزف الموجود على التيجان أو يتكسر أو يتطلب إصلاحًا كل عشر سنوات تقريبًا، على الرغم من وجود اختلاف كبير في عمر خدمة تيجان الأسنان استنادًا إلى الموضع في الفم، والقوى المطبقة من الأسنان المقابلة ومواد الترميم . عندما يتم استخدام الغرسات للحفاظ على طقم أسنان كامل، اعتمادًا على نوع الربط، يجب تغيير الروابط أو تحديثها كل عام إلى عامين. قد يكون جهاز ري الفم مفيدًا للتنظيف حول الغرسات.
المخاطر ومضاعفات
مخاطر خلال الجراحة
تعتبر عملية زراعة الأسنان إجراءً جراحيًا ويحمل المخاطر الطبيعية للجراحة بما في ذلك العدوى والنزيف المفرط ونخر العظم أو تلف الأنسجة حول الغرسة. يمكن أيضًا أن تصاب الأوعية أو الأعصاب القريبة، مثل العصب السنخي السفلي ، و الجيب الأنفي والأوعية الدموية ، عند الحفر في العظم أو وضع الغرسة. حتى عندما تكون بطانة الجيوب الفكية مثقوبة بواسطة غرسة، فإن التهاب الجيوب الأنفية على المدى الطويل نادر. عدم القدرة على وضع الغرسة في العظام لتوفير ثبات الغرسة (يشار إليه بالثبات الأساسي للزرع) يزيد من خطر الفشل في الالتحام بالعظم.
مخاطر فورية بعد الجراحة
- العدوى (المضادات الحيوية قبل العملية تقلل من خطر فشل الغرس بنسبة % 33 ولكنها لا تؤثر على خطر الإصابة بالعدوى).
- النزيف المفرط
- انهيار الأنسجة الرخوة المنعكسة (أقل من %5 )
مخاطرالأشهر الستة الأولى
استقرار الغرسة الأولي
يشير ثبات الغرسة الأولي إلى ثبات غرسة الأسنان مباشرة بعد الزرع. يمكن تقييم ثبات عملية زرع برغي التيتانيوم (الغرسة) في العظام بعد جراحة المريض باستخدام اختبار تردد الرنين. قد يسمح الثبات الأولي الكافي بالتحميل الفوري مع بناء الأطراف الاصطناعية، على الرغم من أن التحميل المبكر يشكل خطرًا أعلى لفشل الزرع من التحميل المتأخر.[39]
فشل الالتحام
يتم اختبار الغرسة بين 8 و 24 أسبوعًا لتحديد ما إذا كانت متكاملة. هناك اختلاف كبير في المعايير المستخدمة لتحديد نجاح الزرع، والمعايير الأكثر شيوعًا على مستوى الغرسة هي عدم وجود ألم أو حركة أو عدوى أو نزيف في اللثة أو التهاب واضح في الأشعة السينية أو فقدان أكثر من 1.5 مم من العظم حول الغرسة. يرتبط نجاح زراعة الأسنان بشكل كبيرعلي مهارة الطبيب، ونوع وكمية العظم المتواجد في المنطقة، ونظافة الفم للمريض، والعامل الأكثر أهمية هو استقرار الغرسة الأولي.[40] في حين أن هناك اختلافًا كبيرًا في معدل فشل الغرسات في الاندماج (بسبب عوامل المخاطر الفردية)، فإن القيم التقريبية تتراوح من 1 إلى 6 %.[41]
مخاطر علي المدي الطويل
ترتبط المضاعفات طويلة المدى بعوامل لدى المريض وأخري بالتكنولوجيا. هناك مخاطر مرتبطة بالمظهر بما في ذلك شكل الابتسامة، وسوء جودة اللثة كتراجعها أوً فقدانها، وصعوبة في مطابقة شكل الأسنان الطبيعية واحيانا اخري قد تلامس الاسنان الصناعية نقاط غير متساوية عند إطباقها مع الاسنان المقابلة أو يمكن أن يكون لها شكل غير متناسق، أو يحدث ضمور في العظام أو عدم القيام بغسيل الاسنان والذي ينتج عنه سوء نظافة الفم مما يؤثر علي نجاح الغرسات.[42]
يمكن أن ترتبط المخاطر بعوامل الميكانيكا الحيوية، حيث هندسة غرسات الأسنان مختلفة عن الأسنان الطبيعية من حيث الدعم، مثل عندما يكون هناك تمديدات للتركيبات لا تتمركز علي قاعدة من احدي الجهات، أو عندما تكون الغرسات أقل من عدد الجذور أو الأسنان التي تستبدلها (أو عندما تكون نسبة سطح التاج الي الجذر قليلة). وبالمثل، فإن صرير الأسنان، ونقص العظام أو غرسات القطر المنخفض يزيد من مخاطر الميكانيكا الحيوية. أخيرًا، هناك مخاطر تكنولوجية، حيث يمكن أن تفشل الغرسات نفسها بسبب الكسر أو فقدان التماسك بالأسنان المراد دعمها.[42]
نسب النجاح
تاج واحد بعد 5 سنوات:
- بقاء الغرسة % 96.8 [43]
- بقاء التاج: في حالة المعدن سيراميك: %95.4؛ جميع أنواع السيراميك: %91.2 ؛ المعدل التراكمي لكسر قشرة السيراميك أو الأكريليك: %4.5 [43]تعويضات تستقر علي غرسات
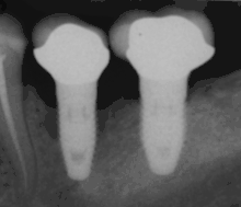
أشعة توضع استقرار الغرسات بالدعامات
طقم به اربع أماكن لتتماسك مع الغرسات
4 غرسات مستقرة في الفك السفلي - التهاب محيط بالغرسة: %9.7 [43] حتى% 40 [44]
- التهاب الغشاء المخاطي حول زرع: %50 [44]
- كسر الغرسة: %0.14 [43]
- تخلخل البرغي أو الدعامة: %12.7 [43]
- كسر البرغي أو الدعامة: %0.35 [43]
أطقم الأسنان الكاملة الثابتة (الجسور)
- فقدان العظام الرأسي التدريجي ولكنه لا يزال يقوم بالوظيفة (التهاب مزمن حول الغرسة): %8.5 [45]
- الفشل بعد السنة الأولى %5 في خمس سنوات، %7 في عشر سنوات [45]
- الإصابة بكسر في القشرة في:
- 5 سنوات: %13.5 [3] إلى %30.6،[45]
- 10 سنوات: %51.9 (%32.3 إلى %75.5 مجال ثقة %95 )[46]
- 15 عامًا: %66.6 (44.3 إلى %86.4 مع مجال ثقة %95 )[46]
- معدل حدوث كسر الإطار خلال 10 سنوات : %6 (2.6 إلى 9.3 % مع مجال ثقة %95)[46]
- معدل النقص الجمالي لمدة 10 سنوات: 6.1 (2.4 إلى %9.7 مع مجال ثقة %95)[46]
- فك الدعامة التعويضية: %5 على مدى خمس سنوات [45] إلى %15 على مدى عشر سنوات.[46]
أطقم الأسنان القابلة للإزالة (المتحركة)
- تخلخل طقم الأسنان المتحرك: %33 [47]
- أطقم تحتاج إلى إعادة التبطين أو وجود كسر في مشبك: 16 إلى %19.[47]
تاريخ الغرس
يقدم علم الآثار دليلًا على أن البشر حاولوا تعويض الأسنان المفقودة عبر زرعات سنية بشكل الجذر لآلاف السنين. نُحتت الزرعات الأثرية من الصين القديمة (التي يرجع تاريخها إلى 4000 عام) على شكل أوتاد من الخيزران، وأُدخلت في العظم لتحل مكان الأسنان المفقودة، تتشابه البقايا التي تعود إلى 2000 عام من مصر القديمة مع هذه الأوتاد بالشكل، وقد صُنعت من المعادن الثمينة. عُثر على بعض المومياوات المصرية التي زُرعت لها أسنان بشرية، وفي حالات أخرى، أسنان من النحاس.[48] وجد ويلسون بوبينو وزوجته في عام 1931، في موقع من هندوراس يرجع تاريخه إلى عام 600 ميلادي، الفك السفلي لامرأة من شعب المايا، إذ استُبدلت ثلاثة قواطع مفقودة فيه بأصداف بحرية، التي نُحتت لتأخذ شكل الأسنان.[49] يشير النمو العظمي حول اثنتين من الزرعات، بالإضافة إلى تشكل القلح، إلى أنها كانت وظيفية فضلًا عن كونها جمالية. تشكل هذه القطعة حاليًا جزءًا من المجموعة الخاصة بعلم العظام في متحف بيبودي لعلم الآثار وعلم الأجناس الواقع في جامعة هارفارد.[50]
في الأزمنة الحديثة، أُبلغ عن وجود زرعات مطابقة للأسنان في وقت مبكر من عام 1969، لكن أحاطت نسج رخوة متشكلة بنظير السن المصنوع من البولي ميثاكريلات عوضًا عن حدوث اندماج عظمي.
شهد الجزء الأول من القرن العشرين عددًا من الزرعات المصنوعة من مواد متنوعة. كان نظام غرينفيلد للزرع في عام 1913 واحدًا من أوائل عمليات الزرع الناجحة (يُعرف أيضًا بسلة أو سرير غرينفيلد). أظهرت غرسة غرينفيلد، وهي غرسة مصنوعة من الإيريديوم والبلاتينيوم ملتصقة بتاج ذهبي، دليلًا على الاندماج العظمي واستمرت لعدة سنوات. كان أول من استخدم التيتانيوم كمواد صنع للزرعات هم بوث وبيتون ودافنبورت في عام 1940، الذين لاحظوا مدى اندخال النمو العظمي في براغي التيتانيوم، والصعوبة التي واجهوها في قلعها. كان بوث وغيره أول من يصف العملية التي سُميت لاحقًا باسم الاندماج العظمي (وهو اسم سوقه لاحقًا بير انغفار برينمارك). في عام 1951، أجرى غوتليب ليفينثال زرعات تيتانيوم في الأرانب. قادته نتائجه الإيجابية للاعتقاد أن التيتانيوم يمثل مادة الجراحة المثالية.
في خمسينيات القرن الماضي، أُقيمت أبحاث في جامعة كامبردج في إنكلترا حول تدفق الدم في الكائنات الحية. إذ ابتكروا وسيلة لإنشاء حجيرة تيتانيوم ومن ثم غرسها داخل نسيج طري في آذان الأرانب. في عام 1952، اهتم جراح العظام السويدي، بير انغفار برينمارك، في دراسة شفاء العظام وتجددها. خلال فترة بحوثه في جامعة لوند، تبنى «حجيرة أذن الأرانب» التي صُممت في كامبردج واستخدمها في عظم فخذ الأرنب. بعد الدراسة، حاول استرداد هذه الحجيرات باهظة الثمن من الأرانب واكتشف أنه غير قادر على إزالتها. لاحظ بيرنمارك وجود نمو عظمي قريب جدًا من التيتانيوم، إذ التصق العظم فعليًا بالمعدن. أقام برينمارك مزيدًا من الدراسات حول هذه الظاهرة على عينات من البشر والحيوانات، وأكدت جميعها هذه الخاصية الفريدة للتيتانيوم. اعتُبر ليونارد لينكو، في خمسينيات القرن الماضي، أول من أدخل غرسات التيتانيوم والمعادن الأخرى على عظام الفكين. أُرفقت أسنان صنعية بعد ذلك مع هذه القطع المعدنية. في عام 1965، أجرى برينمارك أول زرعة سنية مصنوعة من التيتانيوم على أحد المتطوعين.بدأ عمله في الفم، نظرًا إلى كونه المنطقة الأسهل للملاحظة المستمرة، بالإضافة إلى وجود نسبة عالية من الأسنان المفقودة لدى السكان، بالتالي توفر عينات أكثر لدراسة واسعة النطاق. أطلق على ارتباط العظم الملاحظ سريريًا مع التيتانيوم مصطلح «الاندماج العظمي».
تطورت الزرعات منذ ذلك الحين إلى ثلاثة أنواع رئيسية:
- زرعات سنية بشكل الجذر؛ النوع الأكثر شيوعًا لجميع الاستخدامات. يوجد ما يقارب 18 شكلًا مختلفًا لهذا النوع من الزرعات، تُصنع جميعها من التيتانيوم لكنها تختلف في الشكل وقوام السطح. تظهر أدلة محدودة أن نسبة تعرض الزرعات الملساء نسبيًا لحدوث التهاب حول الزرعة أقل من تلك ذات السطوح الأخشن، ولا يوجد دليل يشير إلى نجاح أكبر على المدى الطويل لنوع معين من الزرعات السنية.
- الزرعات الوجنية؛ زرعات طويلة يمكن أن تستند إلى العظم الوجني عبر تمريرها من خلال الجيب الفكي العلوي، من أجل تثبيت الجهاز السني العلوي الكامل عند وجود غياب عظمي. تقدم الزرعات الوجنية نهجًا مبتكرًا لفقدان العظم الشديد في الفك العلوي، إلا أنها لم تظهر أي ميزات تتعلق بالتطعيم العظمي وظيفيًا، رغم أنها قد توفر خيارًا غير باضع نسبيًا، اعتمادًا على حجم الاستبناء المطلوب.
- الغرسات صغيرة القطر هي غرسات تتميز بقطر صغير وتتكون من قطعة واحدة (زرعة ودعامة)، إذ تُستخدم أحيانًا في تثبيت الأجهزة السنية أو في التثبيت الجراحي التقويمي.
صدرت الزرعات الخزفية المصنوعة من الألومينا بين ستينيات وسبعينيات القرن الماضي، لكنها سُحبت من الأسواق في بداية التسعينيات بسبب إظهارها لمشاكل ميكانيكية حيوية (مثل مقاومة الكسر المنخفضة)، واستُبدلت بزرعات الزركونيا.
تطورت الجراحة السنية الروبوتية في العقد الأول من القرن الواحد والعشرين، وقد شمل هذا الزرعات السنية.
انظر أيضًا
المراجع
- Lee, SL (2007). Applications of orthodontic mini implants. Hanover Park, IL: Quintessence Publishing Co, Inc. صفحات 1–11. ISBN 9780867154658. الوسيط
|CitationClass=تم تجاهله (مساعدة) - Lee, J. Y.; Kim, H. Y.; Shin, S. W.; Bryant, S. R. (2012). "Number of implants for mandibular implant overdentures: A systematic review". The Journal of Advanced Prosthodontics. 4 (4): 204–9. doi:10.4047/jap.2012.4.4.204. PMC 3517958. PMID 23236572. الوسيط
|CitationClass=تم تجاهله (مساعدة) - Greenstein G, Cavallaro J, Romanos G, Tarnow D (Aug 2008). "Clinical recommendations for avoiding and managing surgical complications associated with implant dentistry: a review". J Periodontol. 79 (8): 1317–29. doi:10.1902/jop.2008.070067. الوسيط
|CitationClass=تم تجاهله (مساعدة) - "Implant and Prosthodontic Survival Rates With Implant Fixed Complete Dental Prostheses in the Edentulous Mandible After at Least 5 Years: A Systematic Review" en (باللغة الإنجليزية). مؤرشف من الأصل في 12 مارس 2020. اطلع عليه بتاريخ 12 مارس 2020. الوسيط
|CitationClass=تم تجاهله (مساعدة); Invalid|script-title=: missing prefix (مساعدة) - "A Systematic Review of the Incidence of Biological and Technical Complications in Implant Dentistry Reported in Prospective Longitudinal Studies of at Least 5 Years" en (باللغة الإنجليزية). مؤرشف من الأصل في 12 مارس 2020. اطلع عليه بتاريخ 12 مارس 2020. الوسيط
|CitationClass=تم تجاهله (مساعدة); Invalid|script-title=: missing prefix (مساعدة) - "A Systematic Review of the Survival and Complication Rates of Implant-Supported Fixed Dental Prostheses (FDPs) After a Mean Observation Period of at Least 5 Years" en (باللغة الإنجليزية). مؤرشف من الأصل في 12 مارس 2020. اطلع عليه بتاريخ 12 مارس 2020. الوسيط
|CitationClass=تم تجاهله (مساعدة); Invalid|script-title=: missing prefix (مساعدة) - "A Meta-Analysis of Prosthodontic Complication Rates of Implant-Supported Fixed Dental Prostheses in Edentulous Patients After an Observation Period of at Least 5 Years" en (باللغة الإنجليزية). مؤرشف من الأصل في 12 مارس 2020. اطلع عليه بتاريخ 12 مارس 2020. الوسيط
|CitationClass=تم تجاهله (مساعدة); Invalid|script-title=: missing prefix (مساعدة) - "Long-term Outcomes of Dental Implants With a Titanium Plasma-Sprayed Surface: A 20-year Prospective Case Series Study in Partially Edentulous Patients" en (باللغة الإنجليزية). مؤرشف من الأصل في 12 مارس 2020. اطلع عليه بتاريخ 12 مارس 2020. الوسيط
|CitationClass=تم تجاهله (مساعدة); Invalid|script-title=: missing prefix (مساعدة) - Palmer, R ((2008)). A clinical guide to implants in dentistry. الوسيط
|CitationClass=تم تجاهله (مساعدة); تحقق من التاريخ في:|تاريخ=(مساعدة) - Sinn, Douglas P.; Bedrossian, Edmond; Vest, Allison K. (2011-05-01). "Craniofacial Implant Surgery". Oral and Maxillofacial Surgery Clinics of North America. (باللغة الإنجليزية). 23 (2): 321–335. doi:10.1016/j.coms.2011.01.005. ISSN 1042-3699. مؤرشف من الأصل في 05 أبريل 2020. الوسيط
|CitationClass=تم تجاهله (مساعدة) - Mr, Arcuri (1995-04). "Titanium Implants in Maxillofacial Reconstruction". Otolaryngologic clinics of North America (باللغة الإنجليزية). PMID 7596615. مؤرشف من الأصل في 05 أبريل 2020. اطلع عليه بتاريخ 02 أبريل 2020. الوسيط
|CitationClass=تم تجاهله (مساعدة); تحقق من التاريخ في:|تاريخ=(مساعدة) - Evidence-based Implant Treatment Planning and Clinical Protocols. Steven J. Sadowsky. الوسيط
|CitationClass=تم تجاهله (مساعدة) - "Dental implant survival in diabetic patients; review and recommendations" en. مؤرشف من الأصل في 12 مارس 2020. اطلع عليه بتاريخ 12 مارس 2020. الوسيط
|CitationClass=تم تجاهله (مساعدة); Invalid|script-title=: missing prefix (مساعدة) - "Dental implants and diabetes mellitus—a systematic review" en. مؤرشف من الأصل في 12 مارس 2020. اطلع عليه بتاريخ 12 مارس 2020. الوسيط
|CitationClass=تم تجاهله (مساعدة); Invalid|script-title=: missing prefix (مساعدة) - Shugaa-Addin, Bassam; Al-Shamiri, Hashem-Motahir; Al-Maweri, Sadeq; Tarakji, Bassel (2016-04-01). "The effect of radiotherapy on survival of dental implants in head and neck cancer patients". Journal of Clinical and Experimental Dentistry. 8 (2): e194–e200. doi:10.4317/jced.52346. ISSN 1989-5488. PMID 27034761. مؤرشف من الأصل في 5 فبراير 2020. الوسيط
|CitationClass=تم تجاهله (مساعدة); line feed character في|عنوان=على وضع 50 (مساعدة) - Irradiated patients and survival rate of dental implants: A systematic review and meta-analysis - Journal of Prosthetic Dentistry نسخة محفوظة 12 مارس 2020 على موقع واي باك مشين.
- "American Association of Oral and Maxillofacial Surgeons Position Paper on Bisphosphonate-Related Osteonecrosis of the jaws-2009 Update" en (باللغة الإنجليزية). مؤرشف من الأصل في 12 مارس 2020. اطلع عليه بتاريخ 12 مارس 2020. الوسيط
|CitationClass=تم تجاهله (مساعدة); Invalid|script-title=: missing prefix (مساعدة) - "Survival of Dental Implants in Bisphosphonate Users Versus Non-Users: A Systematic Review" en (باللغة الإنجليزية). مؤرشف من الأصل في 12 مارس 2020. اطلع عليه بتاريخ 12 مارس 2020. الوسيط
|CitationClass=تم تجاهله (مساعدة); Invalid|script-title=: missing prefix (مساعدة) - Branemark PI, Worthington P, eds. (1992). Advanced osseointegration surgery: applications in the maxillofacial region (in english). Carol Stream, Illinois: Quintessence Books. ISBN 978-0867152425. الوسيط
|CitationClass=تم تجاهله (مساعدة) - Pallaci P (1995). Optimal implant positioning and soft tissue management for the Branemark system (in english). Germany: Quintessence Books. pp. 21–33. ISBN 978-0867153088. الوسيط
|CitationClass=تم تجاهله (مساعدة) - Branemark P, Zarb G (1989). Tissue-integrated prostheses (in English). Berlin, German: Quintessence Books. ISBN 978-0867151299. الوسيط
|CitationClass=تم تجاهله (مساعدة) - Arturo N. Natali (ed.) (2003). "Dental Biomechanics". Taylor & Francis, London / New York, 273 pp., ISBN 978-0-415-30666-9, pp. 69-87. ^
- – عبر Ferracane JL (2001). Materials in Dentistry: Principles and Applications (in English). Lippincott Williams & Wilkins. ISBN 9780781727334. الوسيط
|CitationClass=تم تجاهله (مساعدة); مفقود أو فارغ|title=(مساعدة) - Nanomaterials and nanosystems for biomedical applications. Dordrecht, the Netherlands: Springer. 2007. ISBN 978-1-4020-6289-6. OCLC 213090522. مؤرشف من الأصل في 18 مارس 2020. الوسيط
|CitationClass=تم تجاهله (مساعدة) - Effects of surface charges on dental implants: past, present, and future. - Abstract - Europe PMC نسخة محفوظة 1 مايو 2020 على موقع واي باك مشين.
- "Zirconia dental implants: where are we now, and where are we heading?" en. مؤرشف من الأصل في 18 مارس 2020. اطلع عليه بتاريخ 18 مارس 2020. الوسيط
|CitationClass=تم تجاهله (مساعدة); Invalid|script-title=: missing prefix (مساعدة) - "Management of the extraction socket and timing of implant placement: Consensus report and clinical recommendations of group 3 of the XV European Workshop in Periodontology". مؤرشف من الأصل في 23 مارس 2020. الوسيط
|CitationClass=تم تجاهله (مساعدة) - "The Mental Foramen and Nerve: Clinical and Anatomical Factors Related to Dental Implant Placement: A Literature Review" en (باللغة الإنجليزية). مؤرشف من الأصل في 17 مارس 2020. اطلع عليه بتاريخ 17 مارس 2020. الوسيط
|CitationClass=تم تجاهله (مساعدة); Invalid|script-title=: missing prefix (مساعدة) - Lindhe J, Lang NP, Karring T, eds., المحرر ((2008)). Clinical Periodontology and Implant Dentistry 5th edition (in English). Oxford, UK: Blackwell Munksgaard – عبر ISBN 9781405160995. الوسيط
|CitationClass=تم تجاهله (مساعدة); تحقق من التاريخ في:|تاريخ=(مساعدة)صيانة CS1: أسماء متعددة: قائمة المحررون (link) صيانة CS1: نص إضافي: قائمة المحررون (link) - "Dental Implant Outcomes in Grafted Sockets: a Systematic Review and Meta-Analysis". مؤرشف من الأصل في 23 مارس 2020. الوسيط
|CitationClass=تم تجاهله (مساعدة) - Guided bone regeneration in implant dentistry (in english). Hong Kong: Quintessence Books. ISBN 978-0867152494. Buser D, Schenk RK. 1994. الوسيط
|CitationClass=تم تجاهله (مساعدة) - Buser D, Schenk RK (1994). Guided bone regeneration in implant dentistry – عبر Hong Kong: Quintessence Books. ISBN 978-0867152494. الوسيط
|CitationClass=تم تجاهله (مساعدة) - Branemark PI, Worthington P, eds. (1992). Advanced osseointegration surgery: applications in the maxillofacial region (in english). Carol Stream, Illinois: Quintessence Books. ISBN 978-0867152425. الوسيط
|CitationClass=تم تجاهله (مساعدة)صيانة CS1: أسماء متعددة: قائمة المؤلفون (link) صيانة CS1: نص إضافي: قائمة المؤلفون (link) - Laskin D (2007). Decision making in oral and maxillofacial surgery. Chicago, IL: Quintessence Pub. Co. ISBN 9780867154634. الوسيط
|CitationClass=تم تجاهله (مساعدة) - Newman M, Takei H, Klokkevold P, eds. (2012). Carranza's Clinical Periodontology. Elsevier Saunders – عبر ISBN 9781437704167. الوسيط
|CitationClass=تم تجاهله (مساعدة)صيانة CS1: أسماء متعددة: قائمة المؤلفون (link) صيانة CS1: نص إضافي: قائمة المؤلفون (link) - Sclar A ((2003)). Soft tissue and esthetic considerations in implant dentistry (in english) – عبر Quintessence Books. ISBN 978-0867153545. الوسيط
|CitationClass=تم تجاهله (مساعدة); تحقق من التاريخ في:|تاريخ=(مساعدة) - Lindhe J, Lang NP, Karring T, eds (2008). Clinical Periodontology and Implant Dentistry 5th edition (in English) – عبر Oxford, UK: Blackwell Munksgaard. ISBN 9781405160995. الوسيط
|CitationClass=تم تجاهله (مساعدة)صيانة CS1: أسماء متعددة: قائمة المؤلفون (link) صيانة CS1: نص إضافي: قائمة المؤلفون (link) - Branemark P, Zarb G (1989). Tissue-integrated prostheses (in English). Berlin, German: Quintessence Books. ISBN 978-0867151299. الوسيط
|CitationClass=تم تجاهله (مساعدة) - "Clinical_efficacy_of_early_loading_versus_conventional_loading_of_dental_implants". مؤرشف من الأصل في 23 مارس 2020. الوسيط
|CitationClass=تم تجاهله (مساعدة) - https://www.researchgate.net/publication/301610097_Mechanical_behaviour_of_dental_implants
نسخة محفوظة 2020-08-20 على موقع واي باك مشين. - "ORAL_interventions-for-replacing-missing-teeth-different-times-for-loading-dental-implants". مؤرشف من الأصل في 10 يوليو 2018. الوسيط
|CitationClass=تم تجاهله (مساعدة) - . Risk Factors in Implant Dentistry: Simplified Clinical Analysis for Predictable Treatment. Renouard F. 1999 – عبر Paris, France: Quintessence International. ISBN 978-0867153552. الوسيط
|CitationClass=تم تجاهله (مساعدة) - "A systematic review of the 5-year survival and complication rates of implant-supported single crowns" (PDF). مؤرشف من الأصل (PDF) في 25 سبتمبر 2017. اطلع عليه بتاريخ أغسطس 2020. الوسيط
|CitationClass=تم تجاهله (مساعدة); line feed character في|عنوان=على وضع 60 (مساعدة); تحقق من التاريخ في:|تاريخ الوصول=(مساعدة) - "Peri-implantdiseases:Consensus Report of the Sixth European Workshop on Periodontology" (PDF). مؤرشف من الأصل (PDF) في 22 سبتمبر 2017. الوسيط
|CitationClass=تم تجاهله (مساعدة); line feed character في|عنوان=على وضع 31 (مساعدة) - Pjetursson, Bjarni E.; Thoma, Daniel; Jung, Ronald; Zwahlen, Marcel; Zembic, Anja (2012-10). "A systematic review of the survival and complication rates of implant-supported fixed dental prostheses (FDPs) after a mean observation period of at least 5 years". Clinical Oral Implants Research. 23 Suppl 6: 22–38. doi:10.1111/j.1600-0501.2012.02546.x. ISSN 1600-0501. PMID 23062125. مؤرشف من الأصل في 02 أبريل 2020. الوسيط
|CitationClass=تم تجاهله (مساعدة); تحقق من التاريخ في:|تاريخ=(مساعدة) - National Center for Biotechnology; Pike, U. S. National Library of Medicine 8600 Rockville; MD, Bethesda; Usa, 20894 (2011). A meta-analysis of prosthodontic complication rates of implant-supported fixed dental prostheses in edentulous patients after an observation period of at least 5 years (باللغة الإنجليزية). Centre for Reviews and Dissemination (UK). PMID 21483883. مؤرشف من الأصل في 02 أبريل 2020. الوسيط
|CitationClass=تم تجاهله (مساعدة)CS1 maint: numeric names: قائمة المؤلفون (link) - Goodacre, Charles J.; Bernal, Guillermo; Rungcharassaeng, Kitichai; Kan, Joseph Y. K. (2003-08-01). "Clinical complications with implants and implant prostheses". Journal of Prosthetic Dentistry (باللغة الإنجليزية). 90 (2): 121–132. doi:10.1016/S0022-3913(03)00212-9. ISSN 0022-3913. PMID 12886205. مؤرشف من الأصل في 02 أبريل 2020. الوسيط
|CitationClass=تم تجاهله (مساعدة) - Misch CE . St. Louis, Missouri: Mosby Elsevier ((2007)). Contemporary Implant Dentistry. الوسيط
|CitationClass=تم تجاهله (مساعدة); تحقق من التاريخ في:|تاريخ=(مساعدة) - Misch, Carl E (2015). Mosby. pp. 26–45. ISBN 9780323078450. "Chapter 2: Generic Root Form Component Terminology". Dental Implant Prosthetics 2nd ed. الوسيط
|CitationClass=تم تجاهله (مساعدة) - New Delhi: Elsevier India. pp. 301–302. ISBN 9788131203002. Balaji, S. M. (2007). Textbook of Oral and Maxillofacial Surgery. الوسيط
|CitationClass=تم تجاهله (مساعدة)
صور وملفات صوتية من كومنز
- بوابة طب