سحار سيليسي
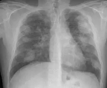
السحار السيليسي (بالإنجليزية: Silicosis) (سيليكوسيس) شكل من أشكال أمراض الرئة المهنية الناجمة عن استنشاق غبار السيليكا البلورية. يتميز بالتهاب وتندب يأخذ شكل آفات عقيدية في الفصوص العليا للرئتين. وهو أحد أشكال تغبر الرئة.[1] يتميز السحار السيليسي (خاصة الشكل الحاد) بضيق في التنفس وسعال وحمى وزرقة (جلد مزرق). غالبًا ما يُشخص بشكل خاطئ على أنه وذمة رئوية (سائل في الرئتين) أو ذات رئة أو مرض السل.
| سحار سيليسي | |
|---|---|
![]() سحار سيليسي | |
| معلومات عامة | |
| الاختصاص | طب الرئة |
| من أنواع | تغبر الرئة |
| التاريخ | |
| وصفها المصدر | الموسوعة السوفيتية الأرمينية |

بلغت وفيات السحار السيليسي 46000 حالة على مستوى العالم في عام 2013، انخفاضًا عن 55000 حالة وفاة في عام 1990.[2]
استُخدم مصطلح السحار السيليسي في الأصل عام 1870 من قبل أكيل فيسكونتي (1836–1911)، محضر التشريح في مستشفى ماجوري في ميلانو.[3] يرجع اكتشاف مشاكل الجهاز التنفسي الناجمة عن استنشاق الغبار إلى الإغريق والرومان القدماء. كتب أغريكولا، في منتصف القرن السادس عشر، عن مشاكل الرئة الناجمة عن استنشاق الغبار لدى عمال المناجم.[4] في عام 1713، لاحظ برناردينو راماتسيني أعراض الربو ووجود مواد شبيهة بالرمل في رئتي قاطعي الأحجار. مع تطور الصناعة، على عكس زمن استخدام الأدوات اليدوية، زاد إنتاج الغبار. أُدخلت المطرقة الثاقبة في عام 1897 وأُدخل السفع الساحج نحو عام 1904،[5] إذ ساهم كلاهما بشكل كبير في زيادة انتشار السحار السيليسي.
العلامات والأعراض
نظرًا لبطء تطور السحار السيليسي المزمن، قد لا تظهر العلامات والأعراض إلا بعد سنوات من التعرض.[6] تشمل العلامات والأعراض ما يلي:
- زلة تنفسية (ضيق في التنفس) يتفاقم عند الإجهاد
- سعال، غالبًا ما يكون مستمرًا وشديدًا أحيانًا
- إعياء
- تسرع التنفس الذي غالبًا ما يكون مجهدًا،
- فقدان الشهية وفقدان الوزن
- ألم صدر
- حمى
- سواد تدريجي في الجلد (ازرقاق جلد)
- تصدعات سطحية داكنة تدريجية في الأظافر تؤدي في النهاية إلى تشققات إذ تتمزق ألياف البروتين داخل بطانة الظفر.
في الحالات المتقدمة، قد يحدث ما يلي أيضًا:
- زرقة، شحوب على طول الجزء العلوي من الجسم (ازرقاق جلد)
- مرض القلب الرئوي (مرض البطين الأيمن)
- قصور الجهاز التنفسي
يكون مرضى السحار السيليسي عرضة بشكل خاص لعدوى السل (المعروفة باسم السل السيليسي). لا يعد سبب زيادة المخاطر واضحًا (زيادة بنسبة 3 أضعاف). يُعتقد أن السيليكا تدمر البلاعم الرئوية، ما يعيق قدرتها على قتل المتفطرات. حتى العمال الذين تعرضوا للسيليكا لفترة طويلة، دون الإصابة بالسحار السيليسي، يكونون معرضين للإصابة بالسل السيليسي بنفس المقدار. [7]
العلاج
يعد السحار السيليسي مرضًا مزمنًا لا علاج له.[8] تركز خيارات العلاج المتوفرة حاليًا على تخفيف الأعراض ومنع أي تفاقم إضافي للحالة. وتشمل:
- وقف التعرض للسيليكا المحمولة في الهواء وغبار السليكا ومهيجات الرئة الأخرى، بما في ذلك تدخين التبغ.
- مضادات السعال.
- الصادات الحيوية لعلاج عدوى الرئة البكتيرية.
- الوقاية من مرض السل في حال إيجابية اختبار التوبركولين أو اختبار تحرر الإنترفيرون غاما الدموي.
- الأدوية المضادة للسل (نظام متعدد الأدوية) لمن يعانون من مرض السل النشط.
- العلاج الفيزيائي للصدر للمساعدة على تصريف المخاط.
- إعطاء الأكسجين لعلاج نقص التأكسج، إن وُجد.
- موسعات قصبية لتسهيل عملية التنفس.
- يعد زرع الرئة لاستبدال الأنسجة الرئوية التالفة العلاج الأكثر فعالية، لكنه مرتبط بمخاطر شديدة خاصة بجراحة زرع الرئة بالإضافة إلى عواقب التثبيط المناعي على المدى الطويل (على سبيل المثال، العدوى الانتهازية).
- بالنسبة للسحار السيليسي الحاد، قد يخفف غسل القصبات والأسناخ من الأعراض، لكنه لا يقلل من الوفيات الإجمالية.
معرض صور
انظر أيضا
مصادر ومراجع
- Derived from Gr. πνεῦμα pneúm|a (lung) + buffer vowel -o- + κόνις kóni|s (dust) + Eng. scient. suff. -osis (like in asbest"osis" and silic"osis", see ref. 10).
- GBD 2013 Mortality and Causes of Death, Collaborators (17 December 2014). "Global, regional, and national age-sex specific all-cause and cause-specific mortality for 240 causes of death, 1990–2013: a systematic analysis for the Global Burden of Disease Study 2013". Lancet. 385 (9963): 117–71. doi:10.1016/S0140-6736(14)61682-2. PMC 4340604. PMID 25530442. الوسيط
|CitationClass=تم تجاهله (مساعدة) - United States Bureau of Mines, "Bulletin: Volumes 476–478", U.S. G.P.O., (1995), p 63.
- Rosen G: The History of Miners' Diseases: A Medical and Social Interpretation. New York, Schuman, 1943, pp.459–476.
- "Diseases associated with exposure to silica and nonfibrous silicate minerals. Silicosis and Silicate Disease Committee". Arch. Pathol. Lab. Med. 112 (7): 673–720. July 1988. PMID 2838005. الوسيط
|CitationClass=تم تجاهله (مساعدة) - "Silicosis Fact Sheet". منظمة الصحة العالمية. May 2000. مؤرشف من الأصل في 10 مايو 2007. اطلع عليه بتاريخ 29 مايو 2007. الوسيط
|CitationClass=تم تجاهله (مساعدة) - Cowie RL (November 1994). "The epidemiology of tuberculosis in gold miners with silicosis". Am. J. Respir. Crit. Care Med. 150 (5 Pt 1): 1460–2. doi:10.1164/ajrccm.150.5.7952577. PMID 7952577. الوسيط
|CitationClass=تم تجاهله (مساعدة) - Wagner, GR (May 1997). "Asbestosis and silicosis". Lancet. 349 (9061): 1311–1315. doi:10.1016/S0140-6736(96)07336-9. PMID 9142077. مؤرشف من الأصل في 5 يونيو 2020. الوسيط
|CitationClass=تم تجاهله (مساعدة)
- بوابة طب


.png.webp)
