تغبر الرئة
تغبُّر الرئة أو تَتَرُّب الرئة أو الغُباريّة هو دار رئويّ ينشأ عن فَرط استنشاق دقائق الغبار و المعادن. تغبر الرئة هو مرض رئوي مهني و مرض رئوي مقيد يحدث بسبب استنشاق الغبار، غالبا في المناجم. قدرت الوفيات الناتجة عنها عالميا بنحو 260000 في عام 2013 وهو أعلى من 251000 وفاة التي حدثت في عام 1990.[1] ومن هذه الوفيات توفي46000 نتيجة السحار السليسيsilicosis، بالإضافة إلى 24000 من داء الاسبست asbestosis، وأيضا 25000 بسبب السحار الفحمي.[1]
| Pneumoconiosis | |
|---|---|
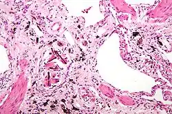
![]() صورة مكبرة عن السحار الاسبست( مع وجود أجسام حديدية)، وهو نوع من تغبر الرئة. صبغة H&E. صورة مكبرة عن السحار الاسبست( مع وجود أجسام حديدية)، وهو نوع من تغبر الرئة. صبغة H&E. | |
| معلومات عامة | |
| الاختصاص | طب الرئة |
| من أنواع | مرض مهني ، ومرض رئوي خلالي |
| التاريخ | |
| وصفها المصدر | الموسوعة السوفيتية الأرمينية ، وقاموس بروكهاوس وإفرون الموسوعي |
الأنواع
اعتمادا على نوع الغبار المستنشق نسميهم كالآتي :
- السحار الفحمي أو سحار عمال الفحم أو مرض الرئة السوداءCoalworker's pneumoconiosis.
- داء الاسبست ومسببه معدن الاسبست Asbestosis
- سحار سيلسي ومسببه السيلكاSilicosis
- سحار بوكسيتي ومسببه خام البوكسيت Bauxite fibrosis
- سحار ألومينيومي، ومسببه الألومنيوم.
- التسمم بالبريليوم أو سحار البريليوم Berylliosis
- السحار الناتج عن فرط الحديد في الجسم أو سحار الحديد ومسببه الحديدSiderosis
- سحار الحلاجين أو السحار القطني ومسببه القطن Byssinosis
- سحار حديدي سيليسي، وسببه كلا من الحديد والسيليكا Silicosiderosis
- سحار أو تغبر الرئة يصيب عمال المناجم في منطقة البرادو في كندا، ومسببه استنشاق الحديد والسيليكا والانثوفيليت، والمركب الأخير نوع من أنواع الاسبستLabrador lung
- السحار القصديري ومسببه أكسيد القصديرStannosis
- التغير الناشئ من رماد البركان
التشخيص
المريض الذي يأتي بالعرضين أو العلامتين التاليتين هو مؤشر قوي على حدوث تغبر الرئة أو السحار:
- ضيق التنفسSOB
- تحت الأشعة السينية، تظهر الرئتين مصابة بالعديد من الرشائح أو البقع infiltrate المتقطعة تحت الجنبةsubpleural في قاعدة كلا الرئتين أو على شكل أكياس cystic صغيرة مشعة تدعي الخلية العسليةhoneycomb ( نسبة إلى شكلها).
السحار المرتبط أو المرافق للعديد من العقيدات الروماتيديةrheumatoid nodules المرافقة للنقرس الروماتيزمي rheumatoid arthritis يسمى بمتلازمة كابلان Caplan's syndrome.[2]
إحصائيات وبائية
في 2013 تسبب السحار بموت 260000 شخص حول العالم مقارنة ب 251000 في 1990.[1] ومن هذه الوفيات توفي46000 نتيجة السحار السليسيsilicosis، بالإضافة إلى 24000 من داء الاسبست asbestosis، وأيضا 25000 بسبب السحار الفحمي.[1]
الثقافة الشعبية
في الفيلم البريطاني الكلاسيكي لقاء مختصر (1945)، و المستمدة من مسرحية نويلكوارد، ربة منزل لورا (سيليا جونسون) و الطبيب أليك (تريفور هوارد) يبدأ علاقة غرامية. وقالت إنها فتنت أمس في صالة محطة القطار من حبه لpneumoconioses.
مراجع
- GBD 2013 Mortality and Causes of Death, Collaborators (17 December 2014). "Global, regional, and national age-sex specific all-cause and cause-specific mortality for 240 causes of death, 1990-2013: a systematic analysis for the Global Burden of Disease Study 2013". Lancet. 385: 117–71. doi:10.1016/S0140-6736(14)61682-2. PMC 4340604. PMID 25530442. الوسيط
|CitationClass=تم تجاهله (مساعدة) - Andreoli, Thomas, ed. CECIL Essentials of Medicine. Saunders: Pennsylvania, 2004. p. 737.
المصادر
- الغُباريّة؛ تغبُّر الرئة؛ تَتَرُّب الرئة - موسوعة المورد، منير البعلبكي، 1991
- بوابة طب
