سرطانة
السرطانة (بالإنجليزية: Carcinoma) هو مصطلح طبي يشير إلى ورم خبيث وغازي والتي تتكون من الخلايا الظهارية متحولة.[2][3][4] بدلا من ذلك، فإنه يشير إلى وجود ورم خبيث يتألف من خلايا تتحول من تكون الأنسجة غير معروف، ولكن تمتلك خصائص محددة جزيئية أو نسيجية ترتبط مع الخلايا الظهارية، مثل إنتاج كيراتينات خلوية أو الجسور بين الخلايا.
| سرطانة | |
|---|---|
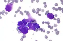
![]() صورة مجهرية لسرطانة أولية صغيرة الخلايا وهو نوع من السرطانة. تتكون الخلايا السرطانية المتجمعة بشكل أساسي من نواة (باللون البنفسجي); ولها حافة ضئيلة من السيتوبلازم. الخلايا المحيطة الباهتة الانصباغ والقرصية الشكل هي خلايا دم حمراء. عينة خلوية مرضية. صبغة فيلد. صورة مجهرية لسرطانة أولية صغيرة الخلايا وهو نوع من السرطانة. تتكون الخلايا السرطانية المتجمعة بشكل أساسي من نواة (باللون البنفسجي); ولها حافة ضئيلة من السيتوبلازم. الخلايا المحيطة الباهتة الانصباغ والقرصية الشكل هي خلايا دم حمراء. عينة خلوية مرضية. صبغة فيلد. | |
| معلومات عامة | |
| الاختصاص | علم الأورام |
| من أنواع | سرطان خلوي ، وسرطان |
| الأسباب | |
| عوامل الخطر | تدخين [1] |
| الإدارة | |
| أدوية | كاربازيتاكسيل ، وباكليتاكسيل ، وأولاباريب ، ونيلوتاميد ، وترازتوزوماب ، وأناستروزول ، وليدوكائين ، وإفروليموس ، وثنائي إيثيل ستيلبوستيرول ، وسيروليموس ، وبيفاسيزوماب ، وإيبيليموماب ، وأكسيتينيب ، وريجورافينب
|
السرطانة في الموقع تشير إلى سرطانة متمركزة وصغيرة والتي لم يتم تحولها بعد إلى غزو من خلال الغشاء القاعدي طلائي أن يفصل الخلايا السرطانية من النسيج الطبيعي المجاورة. ومن المهم أن نتذكر أن سرطانة في الموقع هو سرطان ما قبل الغزو، وليس بكيان "ما قبل الخباثة". في معظم الحالات، سوف تتقدم حالة سرطانة في الموقع إلى سرطان غازي ما لم تتم إزالته بالكامل عن طريق استئصال جراحي، العلاج بالتبريد، أو طريقة علاجية أخرى. وفي بعض الحالات، ومع ذلك، يمكن سرطانة في الموقع التراجع حتى تختفي، وهي ظاهرة غالبا ما تكون مرتبطة بازالة المحفز ألمسرطن الأصلي (أي التوقف عن التدخين مثلا، أو ألتخلص من فيروس الورم الحليمي البشري).
مراجع
- https://pubmed.ncbi.nlm.nih.gov/28459936
- "Carcinoma". Academic Press Dictionary of Science and Technology. الوسيط
|CitationClass=تم تجاهله (مساعدة); Cite journal requires|journal=(مساعدة) - Halford S, Rowan A, Sawyer E, Talbot I, Tomlinson I (June 2005). "O(6)-methylguanine methyltransferase in colorectal cancers: detection of mutations, loss of expression, and weak association with G:C>A:T transitions". Gut. 54 (6): 797–802. doi:10.1136/gut.2004.059535. PMC 1774551. PMID 15888787. الوسيط
|CitationClass=تم تجاهله (مساعدة) - s.v. نسخة محفوظة 24 سبتمبر 2015 على موقع واي باك مشين.
- بوابة طب
- بوابة علم الأحياء
