سرطانة الخلايا العنيبية للبنكرياس
سرطانة الخلايا العنيبية للبنكرياس هي ورم خبيث نادر خارجي الإفراز بالبنكرياس، وهي تُمثِّل 5% من أورام البنكرياس خارجية الإفراز مما يجعلها ثاني أكثر أنواع سرطان البنكرياس شيوعًا.[1]
| سرطانة الخلايا العنيبية للبنكرياس | |
|---|---|
| Acinar cell carcinoma of the pancreas | |
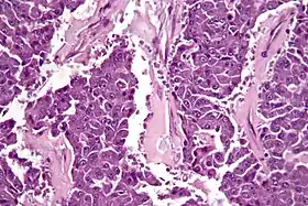
![]() صورة مجهرية لسرطانة الخلايا العنيبية للبنكرياس بصبغة الهيماتوكسيلين واليوزين. صورة مجهرية لسرطانة الخلايا العنيبية للبنكرياس بصبغة الهيماتوكسيلين واليوزين. | |
| معلومات عامة | |
| الاختصاص | علم الأورام |

العلامات والأعراض
تُعد سرطانة الخلايا العنيبية للبنكرياس أكثر شيوعًا بين الرجال عنها بين النساء ويبلغ متوسط عمر من يشخَّص بهذا المرض 60 عامًا،[2] تكون الأعراض غالبًا غير محددة وتشمل فقدان الوزن، وهناك أعراض تتجلى عند 15% من الحالات: عقيدات تحت الجلد (نتيجة لـ النخر الدهني) وألم مفصلي (نتيجة لـ إطلاق الليباز).[2]
علم الأمراض
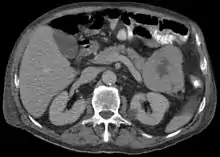
ترتبط سرطانة الخلايا العنيبية بزيادة الليباز في مصل الدم ويتجلى في الشكل الكلاسيكي مثل ثالوث شميد (نخر دهني تحت الجلد، التهاب المفاصل، فرط الحمضات)،[3] تكون سرطانة الخلايا العنيبية كبيرة قد تصل إلى 10 سم ولينة مقارنة بسرطانة البنكرياس الغدية لأنها تفتقر السدى الكثيف، ويُمكن أن تنشأ في أي جزء من البنكرياس.[2]
من ناحية علم الشكل النسيجي فإنه يُشبه ورم الخلايا العنيبية للبنكرياس وعادة ما يكون لديه كمية معتدلة من السيتوبلازم الحبيبي الذي يصبغ مع كل من ملون حمض شيف الدوري ودياستاز ملون حمض شيف الدوري.[4]
التشخيص
عادةً ما يظهر الفحص المجهري الضوئي لخزعة سرطان الخلايا العنيبية مظهرًا حبيبيًا، وعادة ما تكون الكيمياء النسيجية المناعية إيجابية بالنسبة للتربسين والكيموتريبسين والليباز. في الاختبارات الجينية يُعثر على الجينات/البروتينات المعدلة لـ بي53 وSMAD4 وبروتين داء السلائل القولوني الورمي الغدي وARID1A وGNAS.[5]
انظر أيضًا
المراجع
- Tobias Jeffrey S., Hochhauser, Daniel, Cancer and its Management, p. 276, 2010 (6th edn), (ردمك 1118713257), 9781118713259
- Von Hoff": Daniel D. Von Hoff, Douglas Brian Evans, Ralph H. Hruban, eds. Pancreatic Cancer, 2005, Jones & Bartlett Learning, (ردمك 0763721786), 9780763721787
- Jang, SH.; Choi, SY.; Min, JH.; Kim, TW.; Lee, JA.; Byun, SJ.; Lee, JW. (فبراير 2010). "[A case of acinar cell carcinoma of pancreas, manifested by subcutaneous nodule as initial clinical symptom]". Korean J Gastroenterol. 55 (2): 139–43. doi:10.4166/kjg.2010.55.2.139. PMID 20168061. الوسيط
|CitationClass=تم تجاهله (مساعدة) - Klimstra, DS.; Heffess, CS.; Oertel, JE.; Rosai, J. (سبتمبر 1992). "Acinar cell carcinoma of the pancreas. A clinicopathologic study of 28 cases". Am J Surg Pathol. 16 (9): 815–37. doi:10.1097/00000478-199209000-00001. PMID 1384374. الوسيط
|CitationClass=تم تجاهله (مساعدة) - Pishvaian MJ, Brody JR (2017). "Therapeutic Implications of Molecular Subtyping for Pancreatic Cancer". Oncology (Williston Park). 31 (3): 159–66, 168. PMID 28299752. مؤرشف من الأصل في 29 سبتمبر 2020. الوسيط
|CitationClass=تم تجاهله (مساعدة)
صور وملفات صوتية من كومنز
- بوابة طب
