سرطانة الرئة غير صغيرة الخلايا
سرطانة الرئة غير صغيرة الخلايا (NSCLC) هو أي نمط من سرطان الخلايا الرئوية الظهارية دون سرطانة الرئة صغيرة الخلايا (SCLC). يُسجّل (NSCLC) نسبة 85% من إجمالي حالات سرطان الرئة. كتصنيف، تكون سرطانة الرئة غير صغيرة الخلايا غير حساسة نسبيًا للعلاج الكيميائي مقارنةً بسرطانة الرئة صغيرة الخلايا.[1][2]
| Non-small-cell lung carcinoma | |
|---|---|
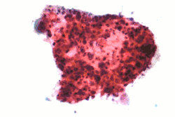
![]() صورة مجهرية لسرطانة حرشفية الخلايا، وهو نوع من سرطانة الرئة غير صغيرة الخلايا. خزعة بالإبرة. صبغة باب. صورة مجهرية لسرطانة حرشفية الخلايا، وهو نوع من سرطانة الرئة غير صغيرة الخلايا. خزعة بالإبرة. صبغة باب. | |
| معلومات عامة | |
| الاختصاص | علم الأورام |
| من أنواع | سرطان الرئة |
| الإدارة | |
| أدوية | فينورلبين ، ودوسيتاكسيل ، وتوبوتيكان ، وإرينوتيكان ، وهيدروكسي يوريا ، ودابرافينيب ، وسيسبلاتين ، وسيتوكسيماب ، وأليكتينيب ، ودينوسوماب ، وبمبروليزوماب ، وجيفيتينيب ، وكريزوتينيب ، ونيفولوماب ، وبيفاسيزوماب ، وجيمسيتابين ، وإرلوتينيب ، وأوزيميرتينيب ، وسيريتينيب ، وباكليتاكسيل ، وكاربوبلاتين ، وإيبيليموماب ، وبيميتريكسيد ، وإيكوتينيب ، وفينورلبين
|
عند الإمكان، يُعالج (NSCLC) جراحيًا بالتداخل الجراحي، بالرغم من تزايد استخدام العلاج الكيميائي قبل العمل الجراحي (العلاج الكيميائي المساعد الجديد) وبعد العمل الجراحي (العلاج الكيميائي المساعد).
أنماطه
الأنماط الأكثر شيوعًا لسرطانة الرئة غير صغيرة الخلايا هي السرطانة حرشفية الخلايا والسرطانة كبيرة الخلايا والسرطانة الغدية، إلا أن هناك العديد من الأنماط الأخرى التي قد تحدث بتواتر أقل. من الأنماط الأقل شيوعًا الورم السرطاني متعدّد الأشكال وسرطان الغدّة اللعابية والسرطان غير المصنف. يمكن أن تحدث جميع الأنماط في المتغايرات النسيجية غير العادية ومجموعات النمط الخلوي المختلط. تشغل أو تشكّل السرطانة غير حرشفية الخلايا تقريبًا نصف حالات (NSCLC). في تصنيف النسج، يشكل النمط المركزي ما يقارب تُسع الحالات.[3][4]
تُستخدم أحيانًا العبارة "إلا أنه غير محدّد" أو NOS عمومًا عندما لا يُمكن إيجاد تشخيص أكثر دقّة، وهو الحال في أغلب الأحيان عندما يفحص أخصائي علم الأمراض كمية صغيرة من الخلايا أو النسج الخبيثة من خلال عينة خلوية أو خزعة.
يُشخص سرطان الرئة عند الأفراد غير المدخنين إطلاقًا بسرطانة رئة غير صغيرة الخلايا في أغلب الحالات، وتكون تحديدًا أغلب الحالات سرطانة غدية.[5]
في حالات نادرة نسبيًا، عُثر على أورام رئوية خبيثة تتشكل من كل من (SCLC) و(NSCLC). في هذه الحالات، تُصنف الأورام كسرطانة رئة صغيرة الخلايا مشتركة (c-SCLC)،[6] وتُعالج عادة باعتبارها سرطانة رئة صغيرة الخلايا نقية.[7]
سرطانة الغدية الرئوية
تُعدّ السرطانة الغدية الرئوية حاليًا النمط الأكثر شيوعًا بين سرطان الرئة عند غير المدخنين على الإطلاق.[8] تُشكّل السرطانة الغدية للرئة تقريبًا 40% من حالات سرطان الرئة. تاريخيًا، شُوهدت السرطانة الغدية للرئة بشكل أكبر في المناطق المحيطية أو الظاهرية من الرئة، بتواتر أكبر من السرطانة صغيرة الخلايا والسرطانة حرشفية الخلايا، التي تميل إلى أن تتشكل في المركز.[9][10] من ناحية أخرى، تقترح الدراسات الحديثة أن نسبة التواتر أذيات السرطان المتشكل في المركز إلى المحيطي، قد تقترب من الاعتدال بين السرطانة الغدية والسرطانة حرشفية الخلايا.
سرطانة الرئة حرشفية الخلايا
تكون السرطانة حرشفية الخلايا أو (SCC) التي تصيب الرئة أكثر شيوعًا عند الرجال منه عند النساء. تتعلق بشكل قريب تاريخيًا مع تدخين التبغ، أكثر من الأنماط الأخرى لسرطان الرئة.[11] وفقًا لدراسة صحة التمريض، تشكل الخطر النسبي لـ (SCC) 5.5 في كل من الفئتين، المدخنين لمدّة سنة إلى عشرين سنة، والمدخين لمدّة 20 إلى 30 سنة، بالمقارنة مع غير المدخنين على الإطلاق. يتزايد الخطر النسبي إلى 16 مع فترة تدخين سابقة تتراوح بين 30 و40 سنة، وإلى 22 عند المدخنين لمدة تزيد عن الأربعين سنة.
سرطانة الرئة كبيرة الخلايا
سرطانة الرئة كبيرة الخلايا أو (LCLC) هي مجموعة متغايرة المنشأ من الأورام الخبيثة غير المتمايزة التي تنشأ من الخلايا الظهارية المتحولة في الرئة. شكّلت (LCLC) في السابق ما يقارب 10% من جميع أنماط سرطانة الرئة غير صغيرة الخلايا، بالرغم من إنقاص التقنيات التشخيصية الأحدث تواتر تشخيص السرطانة كبيرة الخلايا الكلاسيكية إلى صالح السرطانات الحرشفية الأقل تمايزًا والسرطانات الغدية.[12]
تُشخص سرطانة الرئة كبيرة الخلايا من حيث التأثير بالاستبعاد، في هذه الحالة تغيب الخصائص المجهرية الضوئية في الخلايا الورمية، الأمر الذي يُصنف الورم على أنه سرطانة صغيرة الخلايا أو سرطانة حرشفية الخلايا أو سرطانة غديّة أو غيرها من الأنماط النسيجية الأكثر تحديدًا من سرطان الرئة. تُميّز سرطانة الرئة كبيرة الخلايا عن سرطانة الرئة صغيرة الخلايا (SCLC) مبدئيًا بالحجم الكبير في الخلايا غير المتمايزة ونسبة أعلى من حجم السيتوبلاوما إلى حجم النواة وغياب كروماتين الأملاح والفلفل.
الأعراض
تكون العديد من أعراض (NSCLC) علامات لأمراض أخرى، إلا أن ظهور الأعراض بشكل مزمن أو متكرر قد يكون علامة على وجود هذا النمط من السرطان. تكون بعض الأعراض مؤشرات لحالات أقل تقدّمًا، فيما قد يشير أعرض أخرى إلى انتشار المرض. تتضمن بعض الأعراض لحالات السرطان الأقل تقدّمًا السعال المزمن والسعال المدمّى والألم الصدري والبحة وقصر النفس والأزيز وخسارة الوزن وفقدان الشهية. ترتبط أعراض أخرى للتقدّم المبكّر للمرض مع الإحساس بالضعف والوهن الشديد وصعوبة البلع وتورّم الوجه والعنق والعدوى المستمرة أو الناكسة مثل التهاب القصبات أو ذات الرئة.
تتضمن أعراض الحالات الأكثر تقدّمًا آلام في العظام وتبدّلات في الجهاز العصبي (الصداع والضعف والدوار واختلال التوازن والنوبات) واليرقان وتشكّل كتل بالقرب من سطح الجسم وخدر الأطراف المفسر بورم بانكوست والغثيان والإقياء والإمساك المحدث بفرط كالسيوم الدم.[13][14]
تتضمن الأعراض الأخرى التي تشير إلى تقدم أبعد في حالة السرطان قصر النفس ومتلازمة الوريد الأجوف العلوي وصعوبة في البلع وكميات كبيرة من القشع والضعف والوهن وبحة الصوت.[14]
السبب
التدخين هو إلى حد بعيد عامل الاختطار الرئيسي لسرطان الرئة. يحوي دخان السجائر ما يزيد عن 6000 مكون، تؤدي معظمها إلى أذية في الحمض النووي.[15]
تتضمن الأسباب الأخرى التعرض للرادون والتدخين السلبي والتعرض لمواد مثل الأسبست والكروم والنيكل والبيريليوم والسناخ والقطران، بالإضافة إلى التاريخ العائلي من سرطان الرئة وتلوث الهواء.[16]
عمومًا، يبدو أن تخرب أو الأذية في الدنا السبب الرئيسي للسرطان. وبالرغم من كون أغلب أذيات الدنا قابلة للإصلاح، تكون الأقسام المتبقية من الدنا التي لم تُصلّح سببًا لسرطانة الرئة غير صغيرة الخلايا.
يمكن لانتساخ الدنا السابق للأذية غير المُصلحة أن يُؤدي إلى ظهور طفرة بسبب التمثيل غير الدقيق لإصابات الدنا. إضافة إلى ذلك، خلال تصحيح تكسّرات الدنا ثنائي الطاق، أو تصحيح أذيات الدنا الأخرى، يمكن للمواقع غير المنقاة بشكل كامل من التصحيح أو تؤدّي إلى إسكات الجينات ذات التخلق المتوالي.[17][18]
العلاج
يُستخدم عادةّ أكثر من نمط علاج، حسب مرحلة تقدّم السرطان والحالة الصحية العامة للفرد والعمر والاستجابة للعلاج الكيميائي بالإضافة إلى عوامل أخرى مثل الآثار الجانبية المحتملة للعلاج.
بعد التخضير الكلي، يمكن أن يُصنّف المريض المصاب بسرطانة الرئة غير صغيرة الخلايا في واحد من ثلاثة تصنيفات متباينة:
- المرضى المصابون بالسرطان المبكّر غير المتفشّي (المرحلة 1 و2 وأورام معينة من المرحلة 3).
- المرضى المصابون بمرض متقدّم موضعي محصور في التجويف الصدري مثل الأورام الكبيرة. والأورام التي تنطوي على بنى صدرية حرجة أو المرضى ذوي العقد اللمفية المنصفية الإيجابية.
- المرضى المصابون بورم خبيث بعيد خارج التجويف الصدري.
المراجع
- Non-Small Cell Lung Cancer في موقع إي ميديسين
- "What Is Non-Small Cell Lung Cancer?". www.cancer.org. مؤرشف من الأصل في 17 يناير 2017. الوسيط
|CitationClass=تم تجاهله (مساعدة) - "Non-Small Cell Lung Cancer Treatment". National Cancer Institute (باللغة الإنجليزية). 1980-01-01. مؤرشف من الأصل في 31 أكتوبر 2019. اطلع عليه بتاريخ 04 ديسمبر 2017. الوسيط
|CitationClass=تم تجاهله (مساعدة) - "Non-small cell lung cancer treatment – National Cancer Institute". 1980-01-01. مؤرشف من الأصل في 8 مايو 2015. اطلع عليه بتاريخ 19 أكتوبر 2008. الوسيط
|CitationClass=تم تجاهله (مساعدة) - Hanna, Nasser (2007). "Lung Cancer in the Never Smoker Population". Hematology-Oncology. Medscape. مؤرشف من الأصل في 08 ديسمبر 2019. الوسيط
|CitationClass=تم تجاهله (مساعدة) - Travis, William D; Brambilla, Elisabeth; Muller-Hermelink, H Konrad; et al., المحررون (2004). Pathology and Genetics of Tumours of the Lung, Pleura, Thymus and Heart (PDF). Lyon: IARC Press. ISBN 978-92-832-2418-1. مؤرشف من الأصل (PDF) في 23 أغسطس 2009. اطلع عليه بتاريخ 27 مارس 2010. الوسيط
|CitationClass=تم تجاهله (مساعدة) - Simon GR, Turrisi A (September 2007). "Management of small cell lung cancer: ACCP evidence-based clinical practice guidelines (2nd edition)". Chest. 132 (3 Suppl): 324S–339S. doi:10.1378/chest.07-1385. PMID 17873178. مؤرشف من الأصل في 12 يناير 2013. اطلع عليه بتاريخ أغسطس 2020. الوسيط
|CitationClass=تم تجاهله (مساعدة); تحقق من التاريخ في:|تاريخ الوصول=(مساعدة) - Subramanian, J.; Govindan, R. (2007). "Lung Cancer in Never Smokers: A Review". Journal of Clinical Oncology. 25 (5): 561–70. doi:10.1200/JCO.2006.06.8015. PMID 17290066. الوسيط
|CitationClass=تم تجاهله (مساعدة) - Mitchell, Richard Sheppard; Kumar, Vinay; Abbas, Abul K.; Fausto, Nelson (2007). "morphology of adenocarcinoma". Robbins Basic Pathology (الطبعة 8th). Philadelphia: Saunders. ISBN 978-1-4160-2973-1. الوسيط
|CitationClass=تم تجاهله (مساعدة)[بحاجة لرقم الصفحة] - Travis, William D.; Travis, Lois B.; Devesa, Susan S. (1995). "Lung cancer". Cancer. 75 (1 Suppl): 191–202. doi:10.1002/1097-0142(19950101)75:1+<191::AID-CNCR2820751307>3.0.CO;2-Y. PMID 8000996. الوسيط
|CitationClass=تم تجاهله (مساعدة) - Kenfield, S. A.; Wei, E. K.; Stampfer, M. J.; Rosner, B. A.; Colditz, G. A. (2008). "Comparison of aspects of smoking among the four histological types of lung cancer". Tobacco Control. 17 (3): 198–204. doi:10.1136/tc.2007.022582. PMC 3044470. PMID 18390646. الوسيط
|CitationClass=تم تجاهله (مساعدة) - Popper, H. H. (2011). "Large cell carcinoma of the lung – a vanishing entity?". Memo - Magazine of European Medical Oncology. 4: 4–9. doi:10.1007/s12254-011-0245-8. الوسيط
|CitationClass=تم تجاهله (مساعدة) - "Non-Small Cell Lung Cancer Signs and Symptoms". www.cancer.org. مؤرشف من الأصل في 27 مارس 2019. اطلع عليه بتاريخ 04 ديسمبر 2017. الوسيط
|CitationClass=تم تجاهله (مساعدة) - "Non-small cell lung cancer". University of Maryland Medical Center (باللغة الإنجليزية). مؤرشف من الأصل في 20 ديسمبر 2017. اطلع عليه بتاريخ 04 ديسمبر 2017. الوسيط
|CitationClass=تم تجاهله (مساعدة) - Liu X, Conner H, Kobayashi T, Kim H, Wen F, Abe S, Fang Q, Wang X, Hashimoto M, Bitterman P, Rennard SI (2005). "Cigarette smoke extract induces DNA damage but not apoptosis in human bronchial epithelial cells". Am. J. Respir. Cell Mol. Biol. 33 (2): 121–9. doi:10.1165/rcmb.2003-0341OC. PMID 15845867. الوسيط
|CitationClass=تم تجاهله (مساعدة) - "Non-Small Cell Lung Cancer Risk Factors". www.cancer.org. مؤرشف من الأصل في 7 ديسمبر 2016. الوسيط
|CitationClass=تم تجاهله (مساعدة) - O'Hagan, Heather M.; Mohammad, Helai P.; Baylin, Stephen B. (2008). Lee, Jeannie T (المحرر). "Double Strand Breaks Can Initiate Gene Silencing and SIRT1-Dependent Onset of DNA Methylation in an Exogenous Promoter CpG Island". PLoS Genetics. 4 (8): e1000155. doi:10.1371/journal.pgen.1000155. PMC 2491723. PMID 18704159. الوسيط
|CitationClass=تم تجاهله (مساعدة) - Cuozzo, Concetta; Porcellini, Antonio; Angrisano, Tiziana; Morano, Annalisa; Lee, Bongyong; Di Pardo, Alba Di; Messina, Samantha; Iuliano, Rodolfo; Fusco, Alfredo; Santillo, Maria R.; Muller, Mark T.; Chiariotti, Lorenzo; Gottesman, Max E.; Avvedimento, Enrico V. (2007). "DNA Damage, Homology-Directed Repair, and DNA Methylation". PLoS Genetics. 3 (7): e110. doi:10.1371/journal.pgen.0030110. PMC 1913100. PMID 17616978. الوسيط
|CitationClass=تم تجاهله (مساعدة)
- بوابة طب
