سرطانة المبيض ذات الخلايا الصافية
سرطانة المبيض ذات الخلايا الصافية (بالإنجليزية: Clear-cell ovarian carcinoma) هو أحد أنواع سرطان المبيض التي تشمل النسيج الطلائي و الضام.
| سرطانة المبيض ذات الخلايا الصافية | |
|---|---|
| معلومات عامة | |
| من أنواع | سرطانة الخلايا الصافية |

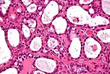
صورة مجهرية لسرطانة المبيض ذات الخلايا الصافية بصبغة الهيماتوكسيلين والأيوزين
الوصف
عبارة عن كيسات سرطانة بأجسام سليلانية تبرز بداخلها، مجهرياً تتكون من خلايا ذات سيتوبلازم صافٍ يحتوي على الجليكوجين، و خلايا مسمارية تفرز الجليكوجين، قد يكون ذا نمط غدي أو حليمي أو صلبا.
أمراض مصاحبة
قد تنشأ سرطانة المبيض ذات الخلايا الصافية في المصابات بالانتباذ البطاني الرحمي (25% من الحالات المصابة بسرطان المبيض)؛ قد يكون السبب طفرة في الجين ARID1A [الإنجليزية].
الدرجات
كتصنيف سرطان المبيض.[1]
التوقع
نادراً ما يكون حدياً أو حميداً، و في الغالب يكون خبيثاً، و توقع سيره أسوأ من السرطانات المصلية.[2]
و الاستجابة للعلاج الكيميائي في المراحل المتقدمة سيئة.[1]
روابط خارجية
انظر أيضاً
المراجع
- Clear cell ovarian carcinoma | Radiology Reference Article | Radiopaedia.org نسخة محفوظة 13 يوليو 2017 على موقع واي باك مشين.
- Chan JK, Teoh D, Hu JM, Shin JY, Osann K, Kapp DS (June 2008). "Do clear cell ovarian carcinomas have poorer prognosis compared to other epithelial cell types? A study of 1411 clear cell ovarian cancers". Gynecol. Oncol. 109 (3): 370–6. doi:10.1016/j.ygyno.2008.02.006. PMID 18395777. مؤرشف من الأصل في 08 ديسمبر 2019. الوسيط
|CitationClass=تم تجاهله (مساعدة)صيانة CS1: أسماء متعددة: قائمة المؤلفون (link)
- بوابة طب
- بوابة المرأة
في كومنز صور وملفات عن: سرطانة المبيض ذات الخلايا الصافية
This article is issued from Wikipedia. The text is licensed under Creative Commons - Attribution - Sharealike. Additional terms may apply for the media files.