سرطان الغدة النخامية
سرطان الغدة النخامية هو ورم دماغي نادر ينمو من الغدة النخامية في قاعدة الدماغ، ويعتقد أن هذا الورم يمكن أن يظهر من الخلايا المتنية من الفص الخلفي من الغدة النخامية، والمعروفة بالغدد النخامية والتي يعتقد بعض الباحثين أنها تنشأ من خلايا الأجراب النجمية في الفص الأمامي من الغدة النخامية.[1][2][3] على هذا النحو، تعتبر خلايا دبقية بدرجة منخفضة.
| سرطان الغدة النخامية | |
|---|---|
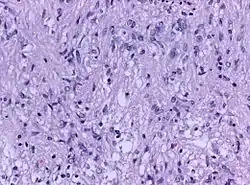
![]() خزعة من ورم الغدة النخامية مأخوذة من الغدة النخامية الخلفية (صبغة الهيماتوكسيلين واليوزين, x200 magnification) خزعة من ورم الغدة النخامية مأخوذة من الغدة النخامية الخلفية (صبغة الهيماتوكسيلين واليوزين, x200 magnification) | |
| معلومات عامة | |
| الاختصاص | علم الأورام |
| من أنواع | ورم نجمي |
الأعراض
يصيب البالغين وتشمل أعراضه على اضطراب البصر وضعف الغدد الصماء، وغالبا ما يتم تشخيصه بشكل خاطيء على أنه أحد أورام الغدة النخامية الأخرى التي لها أعراض مماثلة وتحدث في نفس الموقع.
العلاج
يتكون العلاج من الإستئصال الجراحي، ويعتبر علاجاً ناجحاً (شافي) في معظم الحالات.
مراجع
- "معلومات عن سرطان الغدة النخامية على موقع codes.iarc.fr". codes.iarc.fr. مؤرشف من الأصل في 08 ديسمبر 2019. الوسيط
|CitationClass=تم تجاهله (مساعدة) - "معلومات عن سرطان الغدة النخامية على موقع apps.who.int". apps.who.int. مؤرشف من الأصل في 18 يوليو 2018. الوسيط
|CitationClass=تم تجاهله (مساعدة) - "معلومات عن سرطان الغدة النخامية على موقع ncim-stage.nci.nih.gov". ncim-stage.nci.nih.gov. مؤرشف من Metathesaurus&code=C2986550 الأصل تحقق من قيمة
|مسار=(مساعدة) في 08 ديسمبر 2019. الوسيط|CitationClass=تم تجاهله (مساعدة)
- بوابة طب
This article is issued from Wikipedia. The text is licensed under Creative Commons - Attribution - Sharealike. Additional terms may apply for the media files.
