ورم نجمي
الورم النجمي (بالإنجليزية:Astrocytomas) هو نوع من سرطان الدماغ. ويأتي في نوع معين من الخلايا الدبقية، وخلايا الدماغ، على شكل "نجمة" في المخ.[2] هذا النوع من الأورام لا ينتشر عادة خارج المخ أو الحبل الشوكي بل غالبا يكون الانتشار داخليا، وأيضا لا تؤثر عادة هذه الأورام على الأجهزة الأخرى. الورم النجمي يمكن أن يحدث في معظم أجزاء الدماغ وليس في جزء واحد، وأحيانا في الحبل الشوكي.
| ورم نجمي | |
|---|---|
| معلومات عامة | |
| الاختصاص | علم الأورام |
| من أنواع | ورم دبقي ، وسرطان الجهاز العصبي المركزي |
| الموقع التشريحي | جهاز عصبي مركزي [1] |
يمكن ان تكون العدوة بالورم النجمي في أي سن .وفي كثير من الأحيان يتم العثور على نوع منخفض التخصيب عند الأطفال أو الشباب، بينما نوع عالي الجودة أكثر انتشارا عند البالغين.
الفيزيولوجيا المرضية
يتسبب الورم النجمي في آثار إقليمية بضغط وتدمير حمة الدماغ، ونقص شرياني ووريدي، ظهور المنتجات النهائية الأيضية (مثل: الجذور الحرة، الشوارد المتغيرة، العصبية). وقد يكون أيضا سببا لارتفاع الضغط داخل الجمجمة [3] ويمكن أن تؤدي إلى تأثير شامل مباشر أو على مستوى حجم الدم الزائد، وزيادة حجم السائل الدماغي النخاعي.[4]
تشخيص المرض
الأشعة السينية المقطعية أو التصوير بالرنين المغناطيسي فحص ضروري لوصف مدى هذه الأورام (الحجم، الموقع، والاتساق).عادة ما تُظهر الأشعة المقطعية تشويه البطينين الثالث والأفقي مع تشريد شرايين المخ الأمامي والأوسط. وأيضا تحليل النسجية ضروري لمعرفة درجات التشخيص.
في المرحلة الأولى من تشخيص الطبيب يقوم الطبيب بإجراء امتحان العصبية الأساسية، بما في ذلك فحص العين، اختبارات الرؤية، التوازن، التنسيق وحالة الشخص العقلية. ثم سيطلب الطبيب فحص التصوير المقطعي المحوسب والتصوير بالرنين المغناطيسي لدماغ المريض. خلال هذه العملية، تؤخذ الأشعة السينية لدماغ المريض من اتجاهات مختلفة كثيرة. ثم يتم دمج هذه الإشارات باستخدام كمبيوتر، ومن ثم تنتج صورة مقطعية للدماغ. للتصوير بالرنين المغناطيسي، يدخل المريض في صك مثل النفق بينما يتعرض الدماغ للتغيرات في المجال المغناطيسي. ويتم إنتاج صورة استناداً إلى سلوك جزيئات الماء في الدماغ، وذلك استجابةً للحقول المغناطيسية. وقد يتم حقن صبغة خاصة في الوريد قبل عملية المسح وذلك لتوفير التباين وتسهيل التعرف على الأورام.
إذا تم العثور على ورم، سيكون ضروريا إجراء خزعة على الأعصاب. ويشمل هذا ببساطة إزالة كمية صغيرة من أنسجة الورم، التي يتم إرسالها إلى علماء فيزيولجيا المرض للامتحانات ومعرفة الدرجات. قد تجري الخزعة قبل الاستئصال الجراحي للورم أو قد تؤخذ العينة أثناء الجراحة. درجات عينة الورم هو أسلوب تصنيفي يساعد الطبيب تحديد شدة الورم النجمي، واتخاذ قرار بشأن الخيارات الأفضل للعلاج .
علماء فيزيولجيا يقولون أن الورم النجمي يأتي من خلايا غير نمطية، ونمو أوعية دموية جديدة، ويبحث عن مؤشرات لانقسام الخلية، تسمى بالأرقام الانقسامية.
و هذه بعض التصويرات بالرنين المغناطيسي التي تكشف عن بعض الحالات الشائعة من الورم النجمي :

ورم نجمي ذو درجة منخفضة (السهم يشير إلى الورم)
عينة مرضية من الورم النجمي .
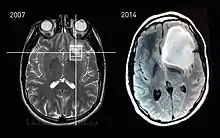
تصوير بالرنين المغناطيسي، يبين تطور الورم النجمي على مدى سبع سنوات.
انظر أيضاً
مراجع
- معرف أنطولوجية المرض: http://www.disease-ontology.org/?id=DOID:3069 — تاريخ الاطلاع: 15 مايو 2019 — الرخصة: CC0
- Astrocytoma , باللغة الإنجليزية
- (ICP) ,رنامج المقارنات الدولية
- (CSF) , عقابيل السريرية الثانوية
- بوابة طب