سرطان المثانة
سرطان المثانة هو إصابة سرطانية لمنطقة المثانة. يبدأ سرطان المثانة في معظم الأحيان بإصابة الخلايا المبطنة للمثانة من الداخل. وعادة ما يصيب كبار السن، إلا أن هذا لا يعني استثناء أي سن من الإصابة.
| سرطان المثانة | |
|---|---|
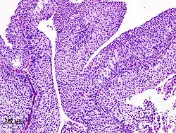
![]() التشريح المرضي النسيجي لسرطانة الخلايا الانتقالية في المثانة بخزعة عبر الإحليل وتلوين بالهيماتوكسيلين إيوسين. التشريح المرضي النسيجي لسرطانة الخلايا الانتقالية في المثانة بخزعة عبر الإحليل وتلوين بالهيماتوكسيلين إيوسين. | |
| معلومات عامة | |
| الاختصاص | طب الجهاز البولي |
| من أنواع | مرض المثانة |
| الموقع التشريحي | مثانة [1] |
| الإدارة | |
| أدوية | كاربوبلاتين ، وإيتوبوسيد ، وسيسبلاتين ، وثيوتيبا ، وميتوميسين ، ودوكسوروبيسين ، وبمبروليزوماب ، ونيفولوماب ، وبيفاسيزوماب ، وجيمسيتابين ، وسيسبلاتين
|
سرطان المثانة هو رابع أكثر أنواع السرطانات شيوعا بين الرجال والثامن الأكثر شيوعا لدى النساء حسب معهد السرطان الوطني الأمريكي[2]، ويشكل رابع أكثر أنواع السرطانات شيوعا بين الرجال في بريطانيا.[3] في عام 1996 أكثر من 300000 حالة جديدة تم تشخيصها في جميع أنحاء العالم.[4] يتم تشخيص الغالبية العظمى من سرطان المثانة في مراحله المبكرة، حيث يكون قابلا للعلاج بصورة جيدة جدا. ولكن، إصابة سرطان المثانة تتميز بالتكرر حتى لو تم العلاج ضمن مرحلة مبكرة، ولهذا السبب، يتوجب على الناجين من مرض سرطان المثانة أن يتابعوا الاختبارات ومراقبة حالتهم لعدة سنوات بعد العلاج. قدرت عدد الاصابات الجديدة بهذا المرض في الولايات المتحدة لعام 2008 بحوالي 68810 إصابة، كان عدد الوفيات ضمنها 14000 حالة.[5]
المسببات
لا يوجد سبب علمي واضح لتفسير تكون سرطان المثانة، إلا أنه تم التعرف على عدد من المواد المسرطنة التي يمكن اعتبارها ضمن قائمة الأسباب المحتملة، إهم هذه الأسباب هو دخان السجائر. يتركز البحث العلمي على فهم الظروف التي تؤدي إلى تغير التركيبة الوراثية للخلايا، مما يسبب تكاثر الخلايا غير الطبيعية. العوامل التالية تؤدي إلى زيادة مخاطر تطوير سرطان المثانة :
- التدخين :[6] التدخين هو أهم عامل في زيادة خطر سرطان المثانة.[7][8] المدخنون معرضون بما يفوق المرتين لخطر تطوير سرطان المثانة مقارنة مع غير المدخنين.
- التعرض لمواد كيميائية في مكان العمل : الأفراد الذين يتعاملون بانتظام مع بعض المواد الكيميائية أو في بعض الصناعات لديهم احتمال الإصابة بسرطان المثانة مرتفع مقارنة مع الاخرين. المواد الكيميائية العضوية الأمينات العطرية متبطة بصورة عالية مع سرطان المثانة.[9] هذه المواد الكيميائية مستخدمة وبكثرة ضمن صناعة الاصباغ. الصناعات الأخرى المرتبطة بسرطان المثانة تشمل على دباغة الجلود[10] والصناعات المطاطية[11]، والمنسوجات[12]، وأصباغ الشعر[13]، صناعة مواد الالوان[14]، ومواد الطباعة.[15] يتوجب إتخاذ إجراءات حماية صارمة ضمن مكان العمل للحد من لتعرض للمواد التي يعتقد أنها تسبب السرطان.
- أهم هذه المواد هي:
- أصباغ الأنيلين[16]، (بالإنجليزية: Aniline dyes)
- 2-نافثيلامين[17][18] K (بالإنجليزية: 2-Naphthylamine).
- 4-أمينوبايفينيل[19][20]، (بالإنجليزية: 4-Aminobiphenyl)
- البنزيدين,[21][22][23] (بالإنجليزية: Benzidine)
- النظام الغذائي : الافراد الذين يتناولون نظام غذائي يشمل كميات كبيرة من اللحوم المقلية والدهون الحيوانية هم أكثر عرضة لتعرض للسرطان المثانة.[24]
- عشبة زَراوَنْد[25][26] (بالإنجليزية: Aristolochia fangchi): عشبة تستخدم في ضمن بعض المكملات الغذائية والعلاجات العشبية الصينية. الافراد الذين تناولوا هذه العشبة ضمن برنامج لانقاص الوزن كان معدلا الإصابة بسرطان المثانة والفشل الكلوي أعلى من الذين لم يستعملوا هذه العشبة. الدراسات العلمية على هذه العشبة أظهرت أنه يحتوي على مواد كيميائية يمكن أن تؤدي إلى ظهور السرطان لدى الفئران.[27][28]
العوامل المساعدة على تكون سرطان المثانة
- علاج مرض سرطاني أخر.
- العلاج الاشعاعي للامراض السرطانية ضمن لمنطقة الحوض، مثل سرطان عنق الرحم[29]، وسرطان البروستاتا[30][31]، سرطان الكلى[32]، وسرطان قناة فالوب[33] وسرطان الخصية يزيد من خطر الإصابة بسرطان المثانة.
- العلاج الكيميائي بعقار سِيكْلُوفُسْفاميد[34][35][36] (بالإنجليزية: cyclophosphamide) يزيد من خطر سرطان المثانة.
- ويشكل العلاج بالزرنيخ عامل مخاطرة إضافي للإصابة بسرطان المثانة.[37] إلا أن علاقة الزرنيخ بسرطان المثانة ليست واضحة عندما يقل تركيز الزرنيخ عن 100 ميكرجرام/لتر[38]
الأعراض
كثيرا ما يتأخر ظهور أعراض سرطان المثانة حتى يصل إلى مرحلة متقدمة حيث يصبح علاجها أصعب. ولذلك، فمن المناسب أن يقوم الشخص المعرض للمسببات وتتوفر لديه العوامل المساعدة (حتى وإن لم يعانوا من أي أعراض) باختبار الفرز. وهو اختبار لفحص السرطان لدى الافراد الذين لم يسبق لهم أن أصيبوا بالمرض.
وأهم أعراض مرض سرطان المثانة تشمل ما يلي:[39][40]
- البيلة الدموِية (بالإنجليزية: hematuria) وهي وجود الدم في البول
- الأفراد الذين يمكنهم رؤية الدم في البول، خاصة كبار السن من الذكور الذين يدخنون، يجب أن يعتبروا أن لديهم احتمال إصابة عال جدا بسرطان المثانة حتى يثبت العكس.، فالدم في البول هو عادة أول علامة تحذير من سرطان المثانة. إلا أن الدم غالبا ما يكون غير مرئيا. وهذا ما يسمى البيلة الدموِية المجهرية، إلا أنه قابل للكشف بواسطة اختبار بول بسيط.
- وفي بعض الحالات، يوجد كمية من الدم ضمن البول ما يكفي لتغيير لون البول بشكل ملحوظ. فيصبح لون البول برتقاليا أو قرنفلي، أو قد يكون أحمر فاتحا مع أو بدون جلطات ظاهرة.
- إحساس بالحرق الحرق أو الألم أثناء التبول دون وجود أي مؤشر على عدوى أو التهاب ضمن المسالك البولية
- تغيير في عادات المثانة، مثل الاضطرار إلى التبول أكثر من المعتاد أو الشعور القوي بالحاجة إلى التبول دون خروج كمية بول كبيرة.
ظهور هذه الاعراض ليس دليلا على الإصابة بسرطان المثانة إلا أنه كافي لدفع الشخص لمراجعة الطبيب.
عند وصول السرطان إلى مرحلة متقدمة أكثر، تظهر أعراض إضافية:
الكشف
كمثل جميع أنواع إصابات السرطان، يمكن علاج سرطان المثانة بنسبة نجاح مرتفعة إذا تم رصده في وقت مبكر، وذلك عندما يكون ذا حجم صغير ولم ينتشر إلى الأنسجة المحيطة به.التدابير التالية يمكن أن ترفع من فرص العثور المبكر على إصابة سرطان المثانة:
إذا كان تتوافر عندك العوامل المساعدة على تكون سرطان المثانة، فعليك بإيلاء اهتمام خاص لأي تغير بلون البول أو أي تغييرات في العادات الخاصة بك عند التبول. إذا لاحظت وجود اعراض تستمر لمدة أكثر من بضعة أيام، فعليك بمراجعة طبيبك على الفور للتقييم.
أنواع سرطان المثانة
معظم حالات سرطان المثانة هي ظهارية المنشأ، وتشكل سرطانة الخلايا الانتقالية 90% منها والباقي يشكلها كل من السرطانة الغدية والسرطانة حرشفية الخلايا.[41][42] من الأنواع النادرة الأخرى السرطانة صغيرة الخلايا واللمفوما والغرن.
مراحل سرطان المثانة
يعتير تحديد السرطان في أي مرحلة جزءاً مهما في علاج السرطان السطحي أو سرطان في موقعه الأصلي، هذا يحدث فقط على سطح البطانة الداخلية للمثانة، وإيجاد السرطان في هذه المرحلة يمنح للمريض أمل أكبر في تلقي علاج ناجح.
- 1- السرطان في المرحلة الأولى يحدث في بطانة المثانة الداخلية.
- 2- المرحلة الثانية للسرطان يغزو السرطان حائط المثانة.
- 3- المرحلة الثالثة للسرطان. تنتشر خلايا السرطان عبر حائط المثانة إلى النسيج المحيط. وقد ينتشر أيضاً إلى البروستات في الرجال أو الرحم أو المهبل في النساء.
- 4- المرحلة الرابعة للسرطان وفي هذه المرحلة، تنتشر الخلايا السرطانية إلى العقد اللمفاوية والأعضاء الأخرى، مثل الرئتين أو العظام والكبد.
تصنيف مراحل سرطان المثانة
تصنيف الورم والنقائل والعقد
- الورم البدئي:
- TX: الورم البدئي لا يمكن تقديره
- T0: لا يوجد دليل على الورم البدئي
- Ta: سرطانة حليمية غير غازية
- Tis: سرطانة في الموضع (ورم مسطح)
- T1: الورم يغزو النسيج الضام تحت الظهاري
- T2: الورم يغزو النسيج العضلي
- pT2a: الورم يغزو العضلة السطحية (النصف الداخلي)
- pT2b: الورم يغزو العضلة العميقة (النصف الخارجي)
- T3: الورم يغزو النسيج حول المثانة
- pT3a: مجهريا
- pT3b: عيانيا (كتلة خارج مثانية)
- T4: الورم يغزو أي من التالي: الموثة، الرحم، المهبل، جدار الحوض، جدار البطن
- T4a: الورم يغزو الموثة، الرحم، المهبل
- T4b: الورم يغزو جدار الحوض، جدار البطن
- العقد اللمفية:
- NX: لا يمكن تقدير حالة العقد اللمفية
- N0: لا يوجد نقائل للعقد اللمفية المجاورة
- N1: وجود نقائل لعقدة لمفية واحدة بعدها الأكبر 2سم أو أقل
- N2: وجود نقائل لعقدة لمفية واحدة بعدها الأكبر بين 2سم و5سم أو نقائل لعدة عقد لمفية لا يتجاوز أي منها 5 سم.
- N3: نقائل لعقدة لمفية تتجاوز 5 سم في بعدها الأكبر.
- النقائل البعيدة:
- MX: لا يمكن تفدير النقائل البعيدة
- M0: لا يوجد نقائل بعيدة
- M1: يوجد نقائل بعيدة
مراحل سرطان المثانة
- المرحلة الأولى: T1, N0, M0
- المرحلة الثانية: T2, N0, M0
- المرحلة الثالثة: T3a, N0, M0 أو T3b, N0, M0 أو T4a, N0, M0
- المرحلة الرابعة: T4b, N0, M0 أو عند وجود أي من مراحل النقائل للعقد المجاورة (N1 أو N2 أو N3) أو عند وجود أي نقائل بعيدة (M1).[43]
الحماية
ان سرطان المثانة يحدث في الغالب لكبار السن لكن لابد لمن هم في سن الشباب الابتعاد عن التدخين وممارسة الرياضة وتناول الغذاء الصحي والمبادرة بالفحص المبكر عند الإحساس بأي من الاعراض التي ذكرت مسبقاً
عوامل مسببة
تلعب عوامل خارجية عدة كعوامل خطورة في حدوث سرطان المثانة. التدخين مثلاً يلعب دوراً هاماً وملحوظاً في حدوثه، وإن آلية التسرطن في سرطان المثانة يعتقد أنها تتطّور من تداخل عوامل بيئية مع استعداد وراثي.
العوامل البيئية
وجدت مركبات عديدة بشكل طبيعي في البيئة وهي تتواجد بشكل ثانوي من بقايا النفايات الصناعية وهذه المركبات تترافق مع حدوث سرطان المثانة فالـArsenic عنصر يتواجد بشكل واسع ومنتشر في الطبيعة وهو ينتقل بالبيئة من مكان لآخر عبر الماء.
ومحتوى المياه الجوفية من هذا المركب Arsenic متغاير جغرافياً من بلد لآخر وبشكل واسع. حتى أنه يتواجد بكميات ضئيلة في بعض البلدان.
العوامل عالية الخطورة
التدخين : يعتبر التدخين من أهم عوامل الخطورة خارجية المنشأ في حدوث سرطان المثانة.
ويعتقد أن المدخنين يصابون بسرطان المثانة بنسبة 2-3 أضعاف. كما أن 50% من سرطان المثانة يعزى إلى التدخين. هذا وإن آلية التدخين في إحداث سرطان مثانة غير معروفة جيداً. ويذكر أن أكثر من 60 عامل مسرطن موجود بالتبغ منها.
وتشير الدراسات إلى أن أورام المثانة لدى المدخنين تميل إلى أن تكون كبيرة وعديدة البؤر، كما أنها تبدي درجة ومرحلة نسيجية متقدّمة.
ويذكر أن إيقاف التدخين يترافق مع تراجع ملحوظ في خطورة حدوث سرطان المثانة، حيث تهبط نسبة الخطورة إلى 30-40% بعد سنة من إيقاف التدخين، أما المدخنين سابقاً فلديهم معدّلات خطورة لحدوث سرطان المثانة أكثر من الناس الذين لم يدخنوا خلال حياتهم، حتى بعد 25 سنة من الامتناع عن التدخين.
ان تناول البروكلي والسبانخ والشاي الأخضر يساعد على الوقاية من المرض.
مراجع
- معرف أنطولوجية المرض: http://www.disease-ontology.org/?id=DOID:11054 — تاريخ الاطلاع: 15 مايو 2019 — الرخصة: CC0
- News-Medical نسخة محفوظة 03 فبراير 2009 على موقع واي باك مشين.
- Cancer Research UK نسخة محفوظة 03 فبراير 2009 على موقع واي باك مشين.
- Steinmaus CM, Nunez S, Smith AH (2000) Diet and bladder cancer: a meta-analysis of six dietary variables. Am J Epidemiol 151:693-702 [وصلة مكسورة] نسخة محفوظة 03 فبراير 2009 على موقع واي باك مشين.
- National Cancer Institute نسخة محفوظة 08 أبريل 2015 على موقع واي باك مشين.
- Bladder cancer early smoking link نسخة محفوظة 26 يناير 2008 على موقع واي باك مشين.
- Quirk, Jeffrey; Li, Qiang; Natarajan, Nachimuthu; Mettlin, Curtis J; Cummings, K. Michael. Cigarette smoking and the risk of bladder cancer in men and women. Tobacco induced diseases;2(3):141-44, Sept. 2004. نسخة محفوظة 26 يناير 2020 على موقع واي باك مشين.
- Boffetta, Paolo1. Tobacco smoking and risk of bladder cancer. Scandinavian Journal of Urology and Nephrology, Volume 42, Supplement 218, September 2008، pp. 45-54 نسخة محفوظة 04 فبراير 2009 على موقع واي باك مشين.
- Radomski, J.L. and Brill, E., 1970. Bladder cancer induction by aromatic amines: Role of N-hydroxy metabolites. Science 167, pp. 992–993 نسخة محفوظة 04 فبراير 2009 على موقع واي باك مشين.
- Marrett, LD; Hartge, P; Meigs, JW. Bladder cancer and occupational exposure to leather. Br J Ind Med. 1986 Feb;43(2):96–100 نسخة محفوظة 20 مارس 2020 على موقع واي باك مشين.
- Bladder Cancer and the Rubber Industry : An Epidemiological Review نسخة محفوظة 20 يونيو 2016 على موقع واي باك مشين.
- Serra C, Bonfill X, Sunyer J, et al. Bladder cancer in the textile industry.Scand J Work Environ Health2000;26:476–81 نسخة محفوظة 03 فبراير 2009 على موقع واي باك مشين.
- Cancer Research UKنسخة محفوظة 06 سبتمبر 2009 على موقع واي باك مشين.
- Bio-Medicine نسخة محفوظة 03 فبراير 2009 على موقع واي باك مشين.
- Information and advice on the links between bladder cancer and printing نسخة محفوظة 03 فبراير 2009 على موقع واي باك مشين.
- "Aniline+dyes"+cancer&source=web&ots=7tU7qA2dxn&sig=r5Dm50lSLCimR0x2pKN8K3V6ok4 Pamela Ellsworth; Brett Carswell، "100 Questions & Answers about Bladder Cancer", Jones & Bartlett Publishers, January 2006 ISBN 978-0-7637-3253-0 نسخة محفوظة 20 مارس 2020 على موقع واي باك مشين.
- International Agency for Research on Cancer (IARC) نسخة محفوظة 12 يونيو 2017 على موقع واي باك مشين.
- R LOWY, F DECLOITRE "2-NAPHTHYLAMINE AND BLADDER CANCER", Food and cosmetics toxicology (Food Cosmet Toxicol) Vol. 2 Pg. 189-92 (Jul 1964) ISSN: 0015-6264 ENGLAND نسخة محفوظة 03 فبراير 2009 على موقع واي باك مشين.
- Zhaohui Feng, Wenwei Hu, William N Rom, Frederick A Beland, Moon-shong Tang, "4-aminobiphenyl is a major etiological agent of human bladder cancer: evidence from its DNA binding spectrum in human p53 gene.", Carcinogenesis, Oct 2002 (Vol. 23, Issue 10, Pages 1721-7) نسخة محفوظة 17 فبراير 2009 على موقع واي باك مشين.
- P. Vineis; L. Airoldi; F. Orsi; C. Magagnotti; R. Coda; D. Randone; G. Casetta; M. Peluso; A. Hautefeuille; C. Malaveille, "Determinants of 4-aminobiphenyl-DNA adducts in bladder cancer biopsies", Carcinogenesis, Volume 23, Number 5, May 2002، pp. 861-866(6) [وصلة مكسورة] نسخة محفوظة 20 مارس 2020 على موقع واي باك مشين.
- X Y You, J G Chen, and Y N Hu, "Studies on the relation between bladder cancer and benzidine or its derived dyes in Shanghai.", Br. J. Ind. Med. 47: 544-552, 1990 نسخة محفوظة 20 مارس 2020 على موقع واي باك مشين.
- Case, R.A.M., M.E. Hosker, D.B. McDonald, and J.T. Pearson. 1954. "Tumours of the urinary bladder in workmen engaged in the manufacture and use of certain dyestuff intermediates in the British chemical industry." Br. J. Ind. Med. 11: 75-104. نسخة محفوظة 04 فبراير 2009 على موقع واي باك مشين.
- Veys, CA. "Bladder tumours and occupation: a coroner's notification shceme." Br J Ind Med. 1974 Jan;31(1):65–71. نسخة محفوظة 20 مارس 2020 على موقع واي باك مشين.
- Michaud DS, Holick CN, Giovannucci E, Stampfer MJ (2006) Meat intake and bladder cancer risk in 2 prospective cohort studies. Am J Clin Nutr 84: 1177–1183 نسخة محفوظة 18 فبراير 2009 على موقع واي باك مشين.
- American Bladder Cancer Society نسخة محفوظة 24 أغسطس 2009 على موقع واي باك مشين.
- Bladder Cancer Webcafe نسخة محفوظة 31 أغسطس 2017 على موقع واي باك مشين.
- جريدة نيويورك تايمز نسخة محفوظة 04 فبراير 2009 على موقع واي باك مشين.
- Schmeiser et al., 1990 H.H. Schmeiser, J.W. Janssen, J. Lyons, H.R. Scherf, W. Pfau, A. Buchmann, C.R. Bartram and M. Wiessler, Aristolochic acid activates ras genes in rat tumors at deoxyadenosine residues, Cancer Res. 50 (1990), pp. 5464–5469. نسخة محفوظة 04 فبراير 2009 على موقع واي باك مشين.
- OmniMedical/Bladder Cancer نسخة محفوظة 19 يناير 2015 على موقع واي باك مشين.
- Boorjian S, Cowan JE, Konety BR, DuChane J, Tewari A, Carroll PR, Kane CJ; Cancer of the Prostate Strategic Urologic Research Endeavor Investigators. Bladder cancer incidence and risk factors in men with prostate cancer: results from Cancer of the Prostate Strategic Urologic Research Endeavor. J Urol. 2007 Mar;177(3):883-7; discussion 887-8. نسخة محفوظة 31 أغسطس 2017 على موقع واي باك مشين.
- BOSTROM PJ، Soloway MS, Manoharan M, Ayyathurai R, et al Bladder Cancer After Radiotherapy for Prostate Cancer: Detailed Analysis of Pathological Features and Outcome After Radical Cystectomy. J Urol. 2007. نسخة محفوظة 03 فبراير 2009 على موقع واي باك مشين.
- PersonalMD / Journal of Urology 1998;160:1255-1259. نسخة محفوظة 04 فبراير 2009 على موقع واي باك مشين.
- Bladder cancer risks and causes/CancerHelp UKنسخة محفوظة 04 فبراير 2009 على موقع واي باك مشين.
- Bladder-cancer risk in Wegener's granulomatosis linked to cyclophosphamide dose / Medscape Medical News 2004 نسخة محفوظة 17 أغسطس 2015 على موقع واي باك مشين.
- Talar-Williams, C; Hijazi, YM; Walther, MM; Linehan, WM; Hallahan, CW; Lubensky, I; Kerr, GS; Hoffman, GS; Fauci, AS; Sneller, MC. Cyclophosphamide-induced cystitis and bladder cancer in patients with Wegener granulomatosis. Ann Intern Med. 1996 Mar 1;124(5):477–484 نسخة محفوظة 04 فبراير 2009 على موقع واي باك مشين.
- Pedersen-Bjergaard, J; Ersbøll, J; Hansen, VL; Sørensen, BL; Christoffersen, K; Hou-Jensen, K; Nissen, NI; Knudsen, JB; Hansen, MM. Carcinoma of the urinary bladder after treatment with cyclophosphamide for non-Hodgkin's lymphoma. N Engl J Med. 1988 Apr 21;318(16):1028–1032. نسخة محفوظة 17 يونيو 2018 على موقع واي باك مشين.
- Raloff, Janet. Waterborne arsenic poses a cancer risk. (arsenic-contaminated water increases bladder cancer risk), Science News, February 24, 1996 نسخة محفوظة 01 يوليو 2017 على موقع واي باك مشين.
- D. S. Michaud, M. E. Wright, K. P. Cantor, P. R. Taylor, J. Virtamo, and D. Albanes. Arsenic Concentrations in Prediagnostic Toenails and the Risk of Bladder Cancer in a Cohort Study of Male Smokers. Am. J. Epidemiol., November 1, 2004; 160(9): 853 - 859. نسخة محفوظة 03 فبراير 2009 على موقع واي باك مشين.
- Hematuria and Weight Loss due to Bladder Cancerنسخة محفوظة 30 مايو 2008 على موقع واي باك مشين.
- Bladder Cancer And Pain During Urination نسخة محفوظة 04 فبراير 2009 على موقع واي باك مشين.
- Medscape: Medscape Access نسخة محفوظة 16 يونيو 2018 على موقع واي باك مشين.
- Bladder Cancer: Click for Symptoms and Survival Rates نسخة محفوظة 16 يونيو 2018 على موقع واي باك مشين.
- AJCC Cancer Staging Manual. 6th ed. New York, NY: Springer, 2002, pp 335-340
- بوابة طب
صور وملفات صوتية من كومنز
_pT1.JPG.webp)