سرطانة الخلايا الانتقالية
سرطانة الخلايا الانتقالية (بالإنجليزية: Transitional cell carcinoma)، هي إحدى أنواع الأورام الخبيثة التي تصيب السبيل البولي عادةً، وهذا النوع هو أشيع سرطانات المثانة والحالب والإحليل، وثاني أشيع سرطانات الكلية مع أنَّه لا يُشكِّل سوى 5 - 10% من الأورام الخبيثة البدئية في الكلية، تنشأ هذه السرطانة على حساب الخلايا الظهاريَّة الانتقاليَّة وهي النسيج الذي يُبطِّن أعضاء السبيل البولي المُجوَّفة[1]، عادةً عندما يُستخدم مصطلح السرطانة البولية urothelial فإنَّه يُشير تحديداً إلى سرطانة الخلايا الانتقاليَّة في السبيل البولي.
| سرطانة الخلايا الانتقالية | |
|---|---|
| معلومات عامة | |
| الاختصاص | علم الأورام |
| من أنواع | سرطانة |
| الإدارة | |
| أدوية | |
يعتبر سرطان المثانة هو أشيع سرطانات الخلايا الانتقاليَّة وأبرز مثال عليها، سرطان المثانة هو ثاني أشيع سرطانات السبيل البولي التناسلي بعد سرطان البروستات، ويُشكَّل تقريباً 7% من سرطانات الذكور و2% من السرطانات عند الإناث، معدَّل الإصابة أعلى عند البيض منه عند الأفارقة والآسيويِّين، ويبلغ متوسط العمر عند التشخيص 65 سنة بحسب الجمعيَّة الأمريكية للسرطان، ولحسن الحظ تكون 85% من سرطانات المثانة في مراحل مُبكِّرة عند التشخيص.
العلامات والأعراض
تختلف علامات وأعراض سرطانة الخلايا الانتقاليَّة بحسب العضو المصاب ومرحلة الورم، وتعتبر البيلة الدموية هي العرض الرئيسي عند 90% من المرضى المُصابين بسرطان المثانة وقد تكون عيانيَّة أو مجهريَّة، وتترافق البيلة الدموية مع أعراض تهيُّج المثانة كتعدُّد البيلات والإلحاح البولي والأعراض التخريشيَّة الأخرى، أمَّا في حال كان الورم مُنتشراً فتظهر أعراض مختلفة كالألم العظمي الناجم عن النقائل العظميَّة أو ألم الخاصرة الناجم عن النقائل للأعضاء خلف البريتوان.
الأسباب
يعتبر سرطان الخلايا البولية أبرز مثال عن الأورام الخبيثة التي تنجم عن تأثيرات المُسرطِنات البيئية، ويبدو أنَّ التدخين هو العامل المؤهِّب الأكثر أهميَّة في هذا السياق فهو مسؤول بمفرده عن نصف الحالات تقريباً، ومن العوامل المؤهِّبة أيضاً التعرُّض للمواد الكيميائيِّة المُسرطنة مثل تلك التي يتعامل معها العاملون في الصناعات النفطيَّة ومواد الطلاء والأصبغة "أهمَّها الأنيلين" والمواد الكيميائيَّة الزراعيَّة وغيرها، ويمكن التقليل من خطر هذه المواد عن طريق زيادة استهلاك السوائل يومياً بحيث يزداد إنتاج البول ويقلُّ وقت التماس بين هذه المواد المُسرطنة والنسيج الظهاري المُبطِّن للسبيل البولي، وعلى العكس تماماً يزداد خطر الإصابة عند سائقي الشاحنات أو الذين يسافرون لمسافات طويلة أو العمَّال الذين يعملون لفترات طويلة دون أن يتمكَّنوا من التبويل المُتكرِّر.
يرتبط التخريش المزمن أيضاً بزيادة خطر حدوث سرطانة الخلايا الانتقاليَّة، وهكذا نلاحظ أنَّ هذه الأورام الخبيثة أشيع عند مرضى الحصيَّات البولية المزمنة أو القثاطر البوليَّة التي توضع لفترات طويلة "عند مرضى الشلل النصفي أو التصلُّب المُتعدَّد" أو في حال الالتهابات المزمنة، بالإضافة لذلك ترتبط العديد من الأدوية مثل سيكلوفوسفاميد وفيناسيتين بخطورة عالية لحدوث سرطانة الخلايا الانتقاليَّة ولا سيَّما في السبيل البولي العلوي [2]، يعتبر التعرُّض المزمن للإشعاع أيضاً أحد العوامل الهامَّة المؤهِّبة لهذا النوع من الأورام الخبيثة، أمَّا فيما يتعلَّق بالعوامل الجينيَّة فقد أكَّدت الدراسات وجود ارتباط بين سرطانة الخلايا الانتقاليَّة وبعض الشذوذات الصبغيَّة أهمُّها وجود حذف في الصبغيَّات التالية: 9q – 9p – 11p – 17p – 13q – 14q.
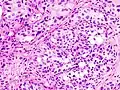
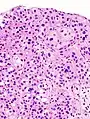
التشريح المرضي
تتألف الظهارة البولية الطبيعيَّة من 3 – 7 طبقات من الخلايا الظهاريَّة الانتقاليَّة التي تتوضَّع فوق غشاء قاعدي يتكوَّن من الكولاجين والغليكوز أمينو غليكان والغليكوبروتين، تختلف الخلايا الظهارية في منظرها فالخلايا القاعديَّة تتوضَّع مباشرةً فوق الغشاء القاعدي وتكون خلايا نشيطة انقساميَّاً، بينما تكون الخلايا اللمعيَّة على شكل مظلَّة كبيرة ترتبط مع بعضها بواسطة اتصالات مُحكمة وربَّما تكون هذه هي الصفة المُميِّزة لظهارة المثانة الطبيعيَّة، تحت الغشاء القاعدي توجد طبقة رقيقة من النسيج الضام وتحتها تتوضَّع ألياف عضليَّة ملساء تُدعى الصفيحة الخاصَّة lamina propria، هذه الألياف العضليَّة يجب تفريقها عن الألياف العضلية الأعمق التي تُشكِّل الطبقة العضلية الحقيقيَّة للمثانة، وتتألف عضليَّة المثانة من ثلاث طبقات داخلية وخارجية طولانيَّة، ومتوسطة دائرية.
تكون سرطانات الخلايا الانتقاليَّة مُتعدِّدة البؤر غالباً، ويلاحظ وجود أكثر من ورم واحد عند التشخيص في 30 – 40% من الحالات، أمَّا من الناحية الشكليَّة فقد تكون الأورام الانتقاليَّة حُليميَّة "90% من الحالات" أو لاطئة أو سرطانة موضَّعة.
في حال حدوث انتشار للورم خارج الحوض تكون العظام هي المكان الأكثر شيوعاً مع نسبة (35%) خصوصاً في العمود الفقري.[3]
التشخيص
يعتمد التشخيص على القصة المرضيَّة المُفصَّلة والفحص السريري الدقيق، بالإضافة لعدد من الاستقصاءات المخبريَّة والشعاعيَّة، أشيع الموجودات المخبريَّة هي البيلة الدمويَّة وقد تترافق مع بيلة قيحيَّة بسبب الإنتان البولي المرافق للورم، ويمكن كشف الخلايا السرطانيَّة الشاذة في البول أحياناً، وعلى الرغم من أنَّ سرطان المثانة يمكن تحرِّيه بواسطة طرق التصوير الشعاعيَّة المختلفة كالإيكو والطبقي المحوري وتصوير المثانة الظليل بالطريق الراجع ولكنَّ التشخيص المؤكَّد يتم بواسطة تنظير المثانة وأخذ الخزع ودراستها تحت المجهر.
لا يزال التصوير الظليل للجهاز البولي هو الاستقصاء المُفضَّل لتحرِّي سبب البيلة الدموية، ويمكن أن يتظاهر سرطان المثانة في الصورة الظليلة على شكل نقص امتلاء مُتبارز ضمن جوف المثانة، ويستخدم التصوير الطبقي المحوري والرنين المغناطيسي لتحديد الغزو الموضعي ضمن جدار المثانة وكشف العقد اللمفاوية المُتضخِّمة في الحوض، وعادةً ما تُشير العقد اللمفاوية الأكبر من 1 سم بشكلٍ كبير لاحتمال الخباثة، ولأنَّ السرطانات المُتقدِّمة يمكن أن تُعطي نقائل إلى الرئتين أو العظام فإنَّ تحري واستقصاء هذه النقائل يتطلَّب إجراء صورة صدر بسيطة وومضان عظام.
يمكن إجراء تنظير المثانة إمَّا بواسطة المنظار الصلب أو المنظار المرن، في كلا الحالتين لا بدَّ من حقن مخدِّر موضعي ضمن الإحليل، ومتى ما شوهد الورم أو حدث شك بوجوده فيجب إجراء فحص للمريض تحت التخدير العام ومحاولة استئصال المنطقة المشبوهة أو أخذ خزعات منها، وعندها فقط يمكن تأكيد التشخيص ومعرفة مقدار اختراق الورم لجدار المثانة.
التصنيف
توجد العديد من طرق التصنيف المُتَّبعة لتصنيف أورام الخلايا الانتقاليَّة، أشهرها تصنيف منظمة الصحة العالميَّة الذي تمَّ وضعه عام 1973 ويتألف من أربع درجات:
- 0: ورم حليمي
- 1: G1
- 2: G2
- 3: G3
مازال هذا التصنيف هو الأكثر استخداماً حتى يومنا هذا على الرغم من ظهور طرق تصنيف أحدث [4]، ولكن تحديد مرحلة الورم يعتمد على نظام TNM الموحَّد الذي يتألف من ثلاثة نقاط رئيسيَّة:
- حجم الورم وامتداده الموضعي T
- وجود نقائل للعقد اللمفاويَّة N
- وجود نقائل لأعضاء أخرى M.
العلاج
يختلف علاج سرطانة الخلايا الانتقاليَّة من مريضٍ لآخر وقد يكون صعباً للغاية في بعض الحالات، إنَّ علاج الحالات الموضعيَّة والمراحل الأولى هو الاستئصال الجراحي للورم، ومع ذلك فالنكس شائع جداً حتى في هذه المراحل المُبكِّرة، ولذلك يتمُّ حقن بعض الأدوية ضمن المثانة مثل ميتوميسين إمَّا كجرعة وحيدة خلال أول 24 ساعة بعد العمل الجراحي أو بعد عدة أسابيع على شكل 6 جرعات متتالية بفواصل زمنيَّة مدروسة.
من طرق العلاج الخاصَّة بسرطانة الخلايا الانتقاليَّة الموضَّعة حقن لقاح السل BCG ضمن المثانة، ويتمُّ إعطاء هذه المادة على شكل جرعة أسبوعيَّة واحدة ولمدِّة 6 أسابيع متتالية، مع الإشارة لوجود احتمال لحدوث تأثيرات جانبيَّة لهذا العلاج مثل إصابة المريض بالسل، أو انكماش المثانة وصغر حجمها نتيجة الالتهاب التخريشي، أو حدوث البيلة الدموية أو أعراض أخرى مشابهة.
في بعض الحالات يكون الورم قد أصاب الجدار العضلي للمثانة عند التشخيص، ويكون العلاج الأفضل في هذه الحالة هو الجراحة الاستئصاليَّة الجذريَّة، حيث يتمُّ استئصال المثانة والأنسجة المحيطة بها بشكلٍ كامل وتصنيع مثانة جديدة من الأمعاء، أمَّا الأورام المُتقدِّمة المُمتدَّة خارج المثانة أو المُنتقلة لأعضاء أخرى فيكون العلاج الكيميائي هو المُفضَّل، ومن أشهر البروتوكولات المُتَّبعة مزيج من ميتوتركسات وفينبلاستين وأدريامايسين وسيسبلاستين [5] ، وأحياناً يستخدم فينفلونين كخطٍ ثانٍ خصوصاً في الحالات المُعنِّدة على الأدوية التي تحتوي بلاتين [6]، ويستخدم العلاج المناعي أحياناً مثل "بيمبرولزوماب" لتدبير سرطان المثانة المنتقل إلى الرئة وخصوصاً إذا كان مُعنِّداً على البروتوكولات السابقة [7]، في عام 2016 وافقت الهيئة الأمريكيَّة للغذاء والدواء FDA على الترخيص لدواء جديد "أتيزوليزوماب" لعلاج حالات سرطان المثانة المنتقل إلى الكولون في حال فشل العلاج الكيميائي المعتمد على السيسبلاتين.[8]
سرطانة الخلايا الانتقالية في الحالب والكلية
سرطانات الحالب وحويضة الكلية نادرة الحدوث، وتقَّدر نسبة حدوث سرطانات المثانة إلى سرطانات الحالب بخمسين ضعف تقريباً، وكما هو الحال في سرطان المثانة يعتبر التدخين والمُسرطنات الكيميائية أهم العوامل المؤهِّبة لسرطان الحالب، كما أنَّ هذه الأورام تحدث بتواتر أعلى عند المرضى الذين لديهم قصة تناول مسكنات لفترات طويلة، ويعتمد تحديد المرحلة في كلٍّ من سرطان الحالب والحويضة على تقييمٍ دقيق لدرجة ارتشاح الورم وامتداده وهو يشبه بشكلٍ كبير نظام التصنيف المُتَّبع في أورام المثانة.
توجد البيلة الدموية العيانيَّة عند 70 – 90% من مرضى سرطان الحالب، وتترافق 50% من الحالات مع ألم خاصرة، ولكنَّ الأعراض العامة غير شائعة عموماً إلَّا في حال حدوث انتقالات، وعادةً ما يتمُّ اختيار نوع العلاج المناسب للحالة اعتماداً على درجة الورم ومرحلته مع تقييمٍ دقيق للوظيفة الكلويَّة وتشريح السبيل البولي وغالباً ما يكون العلاج الأمثل هو استئصال الكلية والحالب وأحياناً جزء من المثانة، وأمَّا العلاج الشعاعي والكيميائي فدورهما محدود نسبيَّاً.
معرض صور
المراجع
- "transitional cell carcinoma" في معجم دورلاند الطبي
- Colin P, Koenig P, Ouzzane A, Berthon N, Villers A, Biserte J, Roupret M (November 2009). "Environmental factors involved in carcinogenesis of urothelial cell carcinomas of the upper urinary tract". BJU International. 104 (10): 1436–40. doi:10.1111/j.1464-410X.2009.08838.x. PMID 19689473. الوسيط
|CitationClass=تم تجاهله (مساعدة) - Punyavoravut V, Nelson SD (August 1999). "Diffuse bony metastasis from transitional cell carcinoma of urinary bladder: a case report and review of literature". Journal of the Medical Association of Thailand. 82 (8): 839–43. PMID 10511795. الوسيط
|CitationClass=تم تجاهله (مساعدة) - Sauter G, Algaba F, Amin MB, Busch C, Cheville J, Gasser T, Grignon D, Hofstaedter F, Lopez-Beltran A, Epstein JI. Noninvasive urothelial neoplasias: WHO classification of noninvasive papillary urothelial tumors. In منظمة الصحة العالمية classification of tumors. Pathology and genetics of tumors of the urinary system and male genital organs. Eble JN, Epstein JI, Sesterhenn I (eds): Lyon, IARCC Press, p. 110, 2004
- von der Maase, H; Hansen, SW; Roberts, JT; Dogliotti, L; Oliver, T; Moore, MJ; Bodrogi, I; Albers, P; Knuth, A; Lippert, CM; Kerbrat, P; Sanchez Rovira, P; Wersall, P; Cleall, SP; Roychowdhury, DF; Tomlin, I; Visseren-Grul, CM; Conte, PF (September 2000). "Gemcitabine and cisplatin versus methotrexate, vinblastine, doxorubicin, and cisplatin in advanced or metastatic bladder cancer: results of a large, randomized, multinational, multicenter, phase III study". Journal of Clinical Oncology. 18 (17): 3068–77. doi:10.1200/jco.2000.18.17.3068. PMID 11001674. الوسيط
|CitationClass=تم تجاهله (مساعدة) - Immunotherapy Proceeds to Change Bladder Cancer Treatment 2017 نسخة محفوظة 01 ديسمبر 2017 على موقع واي باك مشين.
- Syn, Nicholas L; Teng, Michele W L; Mok, Tony S K; Soo, Ross A. "De-novo and acquired resistance to immune checkpoint targeting". The Lancet Oncology (باللغة الإنجليزية). 18 (12): e731–e741. doi:10.1016/s1470-2045(17)30607-1. مؤرشف من الأصل في 14 مايو 2019. الوسيط
|CitationClass=تم تجاهله (مساعدة) - Failed confirmatory trial raises questions about atezolizumab for advanced urothelial cancer. June 2017 نسخة محفوظة 25 سبتمبر 2018 على موقع واي باك مشين.
- بوابة طب
_at_trigone.jpg.webp)
_at_trigone.jpg.webp)
_at_trigone.jpg.webp)