سرطان مفصص
سرطان مفصص (بالإنجليزية: Lobular carcinoma) هو شكل من أشكال الورم الذي يؤثر في المقام الأول على فصيصات الغدة. يعتبر في بعض الأحيان ما يعادل "سرطان القناة الطرفية". [1] إذا لم يتم تحديد خلاف ذلك، فإنه يشير عموما إلى سرطان الثدي. الأمثلة تشمل:
- سرطان مفصص في الموقع
- سرطان مفصص الغازية
| سرطان مفصص | |
|---|---|
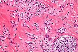
![]() صورة مجهرية من سرطان مفصص. H&E باستخدام صبغة. صورة مجهرية من سرطان مفصص. H&E باستخدام صبغة. | |
| معلومات عامة | |
| من أنواع | سرطانة |
وصلات خارجية
- بوابة طب
This article is issued from Wikipedia. The text is licensed under Creative Commons - Attribution - Sharealike. Additional terms may apply for the media files.
