سيلان (مرض)
السيلان (باللاتينية: Gonorrhea) وهو المرض الذي يُشار إليه أحياناً باسم 'قرقعة' [5] وهو عدوى شائعة تنتقل جنسيا وتسببها بكتيريا النيسرية البنية (وتسمى أيضا البكتريا المكورة، التي غالبا ما تختصر باسم "GC" من قبل الأطباء). في الولايات المتحدة، يأتي حدوثه في المركز الثاني [6] بالنسبة للكلاميديا بين الأمراض الجرثومية المنقولة جنسيا.[7] في كل من الرجل والمرأة إذا ترك مرض السيلان دون علاج، فإنه قد ينتشر في جميع أنحاء الجسم، مما يؤثر على المفاصل وصمامات القلب.
| السيلان | |
|---|---|
![]() سيلان (مرض) | |
| معلومات عامة | |
| الاختصاص | طب الجلد |
| من أنواع | مرض بكتيري معدي أولي ، وأمراض معدية بالمكورات البنية ، ومرض رحمي ، وأمراض العين ، وأمراض قناة فالوب ، ومرض شرجي ، ومرض منقول جنسيا |
| الموقع التشريحي | إحليل [1]، ورحم [1]، وحلق [1]، وقناة فالوب [1] |
| الأسباب | |
| الأسباب | نيسرية بنية [2][3] |
| طريقة انتقال العامل المسبب للمرض | مرض منقول جنسيا |
| المظهر السريري | |
| الأعراض | الإخراج ، والألم |
| الإدارة | |
| أدوية | سيفترياكسون ، وموكسيفلوكساسين ، وترولياندوميسين ، وبروبينسيد ، وسيبروفلوكساسين ، وسيفيكزيم ، وباكامبيسيلين ، وسيفيوروكزيم ، واينوكساسين ، وسبكتينومايسن ، وسيفوتاكسيم ، وسيفتيزوكسيم ، وإريثروميسين ، وتيتراسايكلن ، وغاتيفلوكساسين ، وديميكلوسيكلين ، وأوفلوكساسين ، ونورفلوكساسين ، وتروفافلوكساسين ، وأمبيسيلين ، وبنزيل بنسيلين ، واينوكساسين ، وسيفبودوكسيم ، ونورفلوكساسين ، وأموكسيسيلين ، وسيفترياكسون ، وسيفيكزيم
|
| الوبائيات | |
| أعباء المرض | 545146 معدل السنة الحياتية للإعاقة (2012)[4] |
| التاريخ | |
| وصفها المصدر | الموسوعة السوفيتية الأرمينية ، وقاموس بروكهاوس وإفرون الموسوعي ، وقاموس بروكهاوس وإفرون الموسوعي الصغير |
يمكن لمرض السيلان أن ينتشر عن طريق استعمال المراحيض والحمامات.[8]
العلامات والأعراض
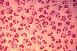
بكتيريا النيسرية البنية هي التي تسبب مرض السيلان. وينتقل المرض من شخص إلى آخر عن طريق المهبل، الفم والشرج أو العلاقات الجنسية. ونادرا ما ينتقل بالممارسات الجنسية الآمنة التي تستخدم الواقي الذكري مع التزليق. فترة حضانة المرض هي بين يومين و30 [9] يوما مع حدوث معظم الأعراض في الفترة بين 4-6 أيام بعد الإصابة. عدد قليل من الناس قد يمرضون دون أعراض لمدى الحياة. بين 30 ٪ و 60 ٪ من الناس المصابة بمرض السيلان لايظهرون أعراض المرض أو بدون اعراض مرضية ظاهرة. [10]
عند الذكور:الأعراض تشمل افرازات صفراء من القضيب، مع الم وتكرار في بعض الأحيان في التبول. يمكن أن تتطور الاعراض في خلال يومين إلى 30 يوما بعد الإصابة. وهناك نسبة ضئيلة من الرجال المصابين بالمرض قد لا تظهر لديهم أعراض. ويجوز للعدوى الانتقال إلى البروستات والحويصلات المنوية والبربخ، مما تسبب الألم والحمى. واهمال معالجة السيلان يمكن أن يؤدى ذلك إلى العقم. وقد يشكوا الرجال من ألم في التبول وافرازات صديدية سميكة في مجرى البول، (المعروف أيضا باسم وَرْىْ وهو المرض الأكثر شيوعا. قد يُظهر الفحص احمرارا في فتحة مجرى البول الخارجية. وقد تتصاعد العدوى لتصل البربخ والخصيتين، أو غدة البروستاتا، مما يسبب أعراض مثل ألم أو تورم كيس الصفن.
عند النساء: لا تظهر أي أعراض لمرض السيلان عند أكثر من نصف النساء المصابات أو تكون الأعراض خفيفة بما يكفي ليمكن تجاهلها. ويمكن ان تشكو النساء من الإفرازات المهبلية، وصعوبة التبول، التبول القذيفى، أو نزف دم غير نزف الدورة الشهرية،أو نزف بعد الجماع. وقد يظهر اثاره في عنق الرحم عند مراحل الإصابة من العادي إلى التهاب صديدى. قد تتضمن الأعراض المبكرة إفرازات من المهبل، وعدم الراحة في أسفل البطن، وتهيج من الأعضاء التناسلية، ألم أو حرقة أثناء التبول ونزيف غير طبيعي. وهناك أعراض أقل تقدما، مما قد يدل على التطور إلى مرض التهاب الحوض)، وتشمل التشنجات والألم، والنزيف بين فترات الطمث، والقيءأو الحمى. النساء اللاتى يتركن هذه الاعراض دون علاج قد تحدث مضاعفات خطيرة. وسوف تنتشر العدوى عادة إلى الرحم وقناتي فالوب، والمبايض، مما يسبب مرض التهاب الحوض (PID).
إمكانية زيادة إنتاج الهرمونات الذكرية شائعة. عدوى في مجرى البول (الإحليل) يسبب عسر قليلا أو قيح (تكون الصديد). تواجد كل من التهاب الإحليل وعنق الرحم يؤيد بقوة تشخيص السيلان، ويصاب المرضى غالبا في كلا الموقعين بالسيلان. عدوى السيلان يمكن أيضا أن تكون كعدوى التهاب المفاصل المتقيحة (تنتج صديدا أو متعفنة). عدم وضوح الرؤية بعين واحدة قد تحدث في بعض حالات البالغين.
الرجال لديهم مخاطر 20 ٪ من الحصول على العدوى من الجماع المهبلي مرة واحدة مع امرأة مصابة بمرض السيلان. المرأة لديها 60-80 ٪ خطر من الحصول على العدوى من الجماع المهبلي مرة واحدة مع رجل مصاب بمرض السيلان.[11] الأم المصابة قد تعدي وليدها أثناء الولادة، وهي حالة تعرف باسم الرمد الوليدي.[12]
المُعالَجَة

المضادات الحيوية التي يمكن أن تستخدم لعلاج مرض السيلان ما يلي :
- أموكسيسيلين 2 جم + 1 جم البروبينيسيد عن طريق الفم.
- أمبيسيلين 2-3 جم + البروبينيسيد 1 جم عن طريق الفم.
- أزيثروميسين 2 غرام عن طريق الفم.
- سيفيكسيم 400 ملغ عن طريق الفم.[13]
- السيفوتاكسيم 500 مغ عن طريق الحقن العضلي
- 2 غرام سيفوكسيتين عن طريق الحقن العضلي، بالإضافة الالبروبينيسيد 1 جم عن طريق الفم.
- الضمادات المستخدمة (فانتين) 400 ملغ عن طريق الفم.
- سيفترياكسون (روسفين) 125-250 مغ عن طريق الحقن العضلي.
- سيبروفلوكساسين 500 ملغ عن طريق الفم.
- ليفوفلوكساسين 250 ملغ عن طريق الفم.
- أوفلوكساسين 400 ملغ عن طريق الفم.
- سبيكتينومايسين 2 غرام عن طريق الحقن العضلي.
مستوى مقاومة التتراسيكلين في النيسرية البنية الآن عالي جدا وذلك جعلها غير فعالة تماما في معظم أنحاء العالم.
لا يمكن استخدام الفلوروكينولون (سيبروفلوكساسين، أوفلوكساسين، ليفوفلوكساسين) في فترة الحمل. ومن المهم أن نشير إلى ان لابد ان يلجأ كل شريك جنسي للكشف عن مرض السيلان لمنع انتشار المرض ومنع الإصابة مرة أخرى بمرض السيلان. وينبغي أيضا أن يتعرض المرضى للكشف عن الأمراض الأخرى التي تنتقل عن طريق الاتصال الجنسي. في المناطق التي ظهرت فيها الاصابتين معا بمرض الكلاميديا والسيلان قد يصف الأطباء مزيج من المضادات الحيوية، مثل سيفترياكسون مع الدوكسيسايكلين أو أزيثروميسين، لعلاج كلا المرضين.
البنسلين غير فعال في علاج مرض السيلان في المستقيم إذ أن البكتيريا الأخرى المتواجدة داخل المستقيم تنتج بيتا لاكتاميز الذي يدمر البنسلين. جميع العلاجات الحالية هي أقل فعالية في علاج مرض السيلان الذي يصيب الحنجرة، لذلك يجب إعادة فحص مسحة الحلق للمريض 72 ساعة أو أكثر بعد إعطاء العلاج، وعلاجه ثانية إذا كان لا يزال مسحة الحلق إيجابيا.
على الرغم من السيلان عادة لا يتطلب المتابعة (باستثناء مرض المستقيم أو البلعوم)، ينصح عادة المرضى إلى طلب النتائج 5-7 أيام بعد التشخيص للتأكد من أن المضادات الحيوية التي تلقوها فعالة. وينصح المرضى على الامتناع عن ممارسة الجنس خلال هذه الفترة.
وقد تم اكتشاف ومعرفة سلالات مقاومة للعقاقير.
الولايات المتحدة
الولايات المتحدة ليس لديها نظام اتحادي لعيادات الصحة الجنسية، وغالبية الإصابات تُعالج في عيادات الأسرة. وهناك جيل ثالث من المضادات الحيوية السيفالوسبورين مثل سيفترياكسون اوصى بها للاستخدام في معظم المناطق.
منذ عام 1993، استخدم الفلوروكينولون (أي سيبروفلوكساسين، أوفلوكساسين، أو ليفوفلوكساسين) في كثير من الأحيان في علاج مرض السيلان بسبب كفاءتها العالية، وتوافرها وتواجدها كجرعة واحدة عن طريق الفم. ابتداء من عام 2000، لم تعد الفليوروكينولونات موصى بها لعلاج مرض السيلان في الأشخاص الذين اكتسبوا العدوى في آسيا أو جزر المحيط الهادئ (بما في ذلك هاواي) في عام 2002، تم تمديد هذه التوصية إلى ولاية كاليفورنيا. في عام 2004، مركز السيطرة على الأمراض (CDC)، أوصى بأن الفليوروكينولونات لا يمكن استخدامها في الولايات المتحدة لعلاج مرض السيلان عند الرجال الذين يمارسون الجنس مع الرجال). على أساس من الأدلة الأخيرة المكتشفة حديثا لم يعد المركز يوصي باستخدام الفليوروكينولونات لعلاج العدوى الناجمة عن المكورات البنية وما يرتبط بها من أمراض مثل مرض التهاب الحوض).[14] وبالتالي، فإن السيفالوسبورينات الآن الفئة فقط من الأدوية لا تزال متاحة في الولايات المتحدة قبل مركز السيطرة على الأمراض لعلاج مرض السيلان الغير معقد.[15]
يمكن للمضادات الحيوية علاج السيلان بنجاح عند المراهقين والبالغين. ومع ذلك، فإن السلالات المقاومة للعقاقير من مرض السيلان آخذة في التزايد في مناطق كثيرة من العالم، بما في ذلك الولايات المتحدة، والعلاج الفعال لمرض السيلان أصبح أكثر صعوبة. لان الكثير من الناس مصابين بالسيلان والكلاميديا (مرض اخر ينقل جنسيا) أيضا فهناك المضادات الحيوية لكلا الالتهابين وعادة ما يتم وصفها معا. وينبغي اختبار الأشخاص ذوي السيلان عن الأمراض الأخرى المنقولة جنسيا. من المهم أن تتخذ كل الادوية الموصوفة لعلاج مرض السيلان. على الرغم من أن الدواء سيوقف العدوى، فإنه لن يصلح أي ضرر دائم تسبب فيه المرض. الناس الذين لديهم مرض السيلان وتمت معالجة هذا المرض يمكن أن يصابوا به مرة أخرى إذا كان لديهم اتصال جنسي مع الأشخاص المصابين بمرض السيلان. إذا استمرت أعراض المرض حتى بعد تلقي العلاج، يجب علي المريض أن يعود إلى طبيب ليعيد تقييم الحالة المرضية.
المملكة المتحدة
في المملكة المتحدة، غالبية المرضى الذين يعانون من مرض السيلان يتم علاجهم في عيادات الصحة الجنسية. وفي الوقت الراهن يوصى باستخدام سيفترياكسون أو سيفيكسيم كوسيلة العلاج الأولى، لم تكتشف هناك مقاومة للعقار حتى الآن في المملكة المتحدة. مستويات المقاومة ل سيكتينومايسن في المملكة المتحدة هي أقل من 1 ٪، وهو ما يجعله خيارا جيدا من الناحية النظرية، ولكن الحقن العضلي ل سيكتينومايسن أمر مؤلم للغاية.
وقد أٌوصى بأزيثروميسين (يعطى كجرعة واحدة 2 جم) إذا كان هناك عدوى متزامنة بالكلاميديا.
وقد جمع برنامج مراقبة مقاومة مضادات الميكروبات (غراسب)، منذ عام 2000، البيانات عن السلالات المقاومة للدوا والمسببة لمرض السيلان في المملكة المتحدة وفي عام 2005، كان 2.2 ٪ من الحالات مقاومة لأزيثروميسين وامتد في بعض مناطق المملكة المتحدة إلى 5 ٪ من الحالات. الدعامة الأساسية للعلاج الآن السيفالوسبورين مع أزيثروميسين (لتغطية الكلاميديا). جرعة واحدة من سيبروفلوكساسين عن طريق الفم 500 ملغ فعالة إذا كان معروفا ان الكائن المسبب للمرض حساسا للدواء، لكن تمت إزالة الفليوروكينولونات من المملكة المتحدة من التوصيات لعلاج تجريبي في عام 2003 بسبب زيادة معدلات المقاومة. عام 2005، بالنسبة لمعدلات مقاومة سيبروفلوكساسين كانت 22 ٪ لمجمل المملكة المتحدة (42 ٪ في لندن، و 10 ٪ بالنسبة لبقية المملكة المتحدة).[16]
علاج الشريك الجنسى للمريض
وهناك خيار لعلاج الشركاء للمرضى (أي الشريك الذي مارس الجنس مع المريض) والذين تم تشخيصهم بالكلاميديا أو السيلان وهو ان يوصف نفس العلاج للشريك أيضا" (PDPT)، والذي بدوره يتضمن معالجة الشركاء الجنسين للمريض بوصف العلاج لهمم بدون الرعاية الصحية المجهزة لفحص الشريك اولا.[17]
المشاكل

عند الرجال: قد ينتج التهاب البربخ (التهاب البربخ)؛ والتهاب غدة البروستاتا (البروستات) والتهاب هيكل مجرى البول (الإحليل) عن عدم معالجة السيلان.[12]
عند النساء: أكثر الأخطار الناتجة عن عدم علاج مرض السيلان هو مرض التهاب الحوض، وهو عدوى خطيرة قد تصيب الرحم وتؤدي إلى العقم. المضاعفات الأخرى قد تتضمن التهاب ما حول الكبد، [12] ومن المضاعفات المرتبطة نادرا، متلازمة هيو، كورتيس فيتس ؛ التهاب المفاصل في الأصابع والمعصمين والقدمين والكاحلين، الإجهاض المتقيح ؛ التهاب الاغشية المشيمية والجنينية أثناء فترة الحمل، أو عمى الكبار أو حديثي الولادة من الرمد (التهاب الملتحمة)، والعقم. عند حديثي الولادة: الذين يتم ولادتهم من خلال قناة الولادة يتم وصف مرهم إريثروميسين (يستخدم للعين) للوقاية من العمى نتيجة العدوى.
ينبغي أن يعالج مرض السيلان، وإذا حدث ذلك عادة ما تكون درجة تحسن المريض جيدة.
علم الأوبئة

"السيلان من الأمراض المعدية الشائعة جدا. وتشير تقديرات مركز السيطرة على الأمراض أن أكثر من 700,000 شخص حديث في الولايات المتحدة يصابوا بعدوى السيلان في كل عام. ما يقرب من نصف هذه الإصابات فقط تم رصدها بواسطة مركز السيطرة على الأمراض. وفي عام 2004 تم الإبلاغ عن 330,132 حالة من حالات مرض السيلان وصلت إلى المركز. وبعد تنفيذ البرنامج الوطني لمكافحة مرض السيلان في منتصف 1970 انخفض معدل السيلان في الفترة من 1975-1997. بعد زيادة طفيفة في عام 1998 ،انخفض معدل السيلان قليلا منذ عام 1999. وفي عام 2004، فإن معدل الإصابات التي ذُكرت بمرض السيلان كان 113.5 لكل 100,000 شخص. "
تاريخها

لقد اُقترح استخدام الزئبق كعلاج لمرض السيلان. تم اكتشاف أدوات طبية \جراحية على متن سفينة الاسترداد الحربية الإنجليزية روز ماري تضمنت حقنة كانت تستخدم لحقن الزئبق عبر الفتحة البولية عند اصابة أي فرد من طاقمها بمرض السيلان. وقد تم ذكر "التصفيق" في الإشارة للمرض وتم تسجيله في وقت مبكر في القرن السادس عشر.[19]
نترات الفضة كان واحدا من العقاقير المستخدمة على نطاق واسع في القرن 19، لكنها استبدلت بال بروتارجول. أيكنجرون آرثر اخترع هذا النوع من الفضة الغروية، التي تم تسويقها من قبل شركة باير من 1897. المعالجة بالفضة كانت تستخدم حتى بداية استخدام المضادات الحيوية الأولى 1940.[20][21]
لا يمكن أن يتم تحديد وقت لظهور مرض السيلان كما أو حدوثه كوباء بدقة من السجل التاريخي. من التدوينات الأولى الموثقة في أعمال (البرلمان الإنجليزي)، وفي 1161 أصدرت هذه الهيئة الإنجليزية قانون للحد من انتشار "... العجز الخطير للحريق." [22] العوارض المذكورة تتسق مع، ولكن ليست من الاعراض التشخيصية للسيلان. وصدر قرار مماثل من قبل لويس التاسع في فرنسا عام 1256، ليحل محل التنظيم مع النفي.[23] ولوحظت أعراض مماثلة في حصار عكا من قبل الصليبيين.
بمحض الصدفة أو بُناء على ظهور وباء مرض السيلان، فقد حدثت عدة تغييرات على المجتمع الأوروبي في العصور الوسطى. استأجرت المدن أطباء الصحة العامة لمعالجة المرضى المصابين دون حق الرفض. ألغى البابا بونيفاس شرط أن يكمل الأطباء دراسات لانخفاض الاوامر من الكهانة الكاثوليكية.
وقد استخدم اطباء الصحة في العصور الوسطى في مدنهم "الحرق" في علاج المصابين الموصومين (العاهرين)، بالإضافة إلى مرضى الجذام وضحايا الاوبئة الآخرى.[24] بعد أن علمن البابا بونيفاس تماما ممارسة الطب، أصبح الأطباء أكثر استعدادا لعلاج الأمراض المنقولة بالاتصال الجنسي.
المراجع
- معرف أنطولوجية المرض: http://www.disease-ontology.org/?id=DOID:7551 — تاريخ الاطلاع: 15 مايو 2019 — الرخصة: CC0
- معرف أنطولوجية المرض: http://www.disease-ontology.org/?id=DOID:7551
- النص الكامل متوفر في: http://purl.obolibrary.org/obo/doid.owl — الرخصة: CC0
- http://www.who.int/healthinfo/global_burden_disease/estimates/en/index2.html — تاريخ الاطلاع: 30 يوليو 2016 — الناشر: منظمة الصحة العالمية
- [5] ^ قاموس أوكسفورد الإنكليزي
- "CDC – STD Surveillance – Gonorrhea". مؤرشف من الأصل في 04 أبريل 2010. اطلع عليه بتاريخ 21 أغسطس 2008. الوسيط
|CitationClass=تم تجاهله (مساعدة); تحقق من التاريخ في:|تاريخ أرشيف=(مساعدة) - "CDC Fact Sheet – Chlamydia". مؤرشف من الأصل في 14 مايو 2019. اطلع عليه بتاريخ 21 أغسطس 2008. الوسيط
|CitationClass=تم تجاهله (مساعدة) - "webmd – What Can You Catch in Restrooms? -". مؤرشف من الأصل في 28 أبريل 2019. الوسيط
|CitationClass=تم تجاهله (مساعدة) - "Gonorrhea Symptoms and Treatment". مؤرشف من الأصل في 18 أبريل 2012. الوسيط
|CitationClass=تم تجاهله (مساعدة) -
YT van Duynhoven (1999). "The epidemiology of Neisseria gonorrheae in Europe". Microbes and Infection. 1 (6): 455–464. doi:10.1016/S1286-4579(99)80049-5. PMID 10602678. الوسيط
|CitationClass=تم تجاهله (مساعدة) - [15] ^ ^ المعهد القومى للحساسية والأمراض المعدية والمعاهد القومية للصحة، وزارة الصحة والخدمات البشرية (2001/7/20). ملخص "ورشة عمل : الدليل العلمي على مدى فاعلية الواقي الذكري لمنع لامراض المنقولة جنسيا) ". حياة مطار دالاس، هيرندون بولاية فرجينيا. pp14
- كومار، عباس، أبو كاف ؛ فاوستو، نيلسون، وميتشل، ريتشارد ن.)2007). روبنز علم الأمراض الأساسية (الطبعة 8). سوندرز السيفير. ص 705-706 ردمك 978-1-4160-2973-1
- CDC Issues New Treatment Recommendations for Gonorrhea نسخة محفوظة 21 نوفمبر 2010 على موقع واي باك مشين.
- "CDC Update to Sexually Transmitted Treatment Guidelines". مؤرشف من الأصل في 08 أبريل 2019. اطلع عليه بتاريخ 21 أغسطس 2008. الوسيط
|CitationClass=تم تجاهله (مساعدة); تحقق من التاريخ في:|تاريخ أرشيف=(مساعدة) - "CDC STD Treatment Regimens". مؤرشف من الأصل في 25 يونيو 2018. اطلع عليه بتاريخ 21 أغسطس 2008. الوسيط
|CitationClass=تم تجاهله (مساعدة) - Health Protection Agency. "The gonococcal resistance to antimicrobials surveillance programme: Annual report 2005" (PDF). مؤرشف من الأصل (PDF) في 26 ديسمبر 2011. اطلع عليه بتاريخ 28 أكتوبر 2006. الوسيط
|CitationClass=تم تجاهله (مساعدة) - [25] ^ العلاج المستعجل للشركاء في لأمراض المنقولة جنسيا (2 فبراير 2006) وزارة الصحة والخدمات البشرية إدارة الصحة العامة. مراكز السيطرة على الأمراض والوقاية منها المركز الوطني لفيروس نقص المناعة البشرية، الأمراض المنقولة بالاتصال الجنسي، والوقاية من السل نسخة محفوظة 26 نوفمبر 2017 على موقع واي باك مشين.
- [26]
- [44] ^ قاموس أوكسفورد الإنكليزي
- Max Bender (1898). "Ueber neuere Antigonorrhoica (insbes. Argonin und Protargol)". Archives of Dermatological Research. 43 (1): 31–36. doi:10.1007/BF01986890. الوسيط
|CitationClass=تم تجاهله (مساعدة) - "MedlinePlus – Neonatal Conjunctivitis". مؤرشف من الأصل في 05 يوليو 2016. اطلع عليه بتاريخ 28 أغسطس 2008. الوسيط
|CitationClass=تم تجاهله (مساعدة); تحقق من التاريخ في:|تاريخ أرشيف=(مساعدة) - سانجر دبليو. تاريخ البغاء. نيويورك، هاربر، 1910.
- ب. لاكروا. التاريخ من المجلد الدعارة. 2. نيويورك، ماكميلان، 1931.
- نحن Leiky. تاريخ الأخلاق الأوروبية. نيويورك، ماكميلان، 1926.
- بوابة طب
