صدر مقعر
الصدر المقعر (بالإنجليزية: Pectus Excavatum)[1] هو أكثر العيوب الخلقية شيوعاً في الجهة الأمامية من الصدر، وهي حالة تنمو فيها عظمة القص وعدة ضلوع بشكل غير طبيعي. مما ينتج عن هذا التشوه شكل يشبه الكهف في الصدر.[2] من الممكن أن تظهر هذه الحالة عند الولادة أو لا تظهر إلا عند البلوغ.
| الصدر المقعر | |
|---|---|
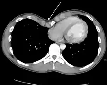
![]() مثال على حالة خطرة | |
| معلومات عامة | |
| الاختصاص | علم الوراثة الطبية |
| من أنواع | اضطراب جيني ، وعلامة سريرية |
يعتبر الصدر المقعر أحياناً مشكلة تجميلية فقط. أما إذا كان التقعر شديدا، من الممكن أن يؤثر على وظائف القلب والتنفس ويسبب آلاما في الصدر والظهر. الأشخاص الذين لديهم هذا التشوه الخَلقي قد يعانون من آثار نفسية واجتماعية سلبية، ويتجنبون الأنشطة التي يظهر فيها صدرهم.[3]
الصدر المقعر يطلق عليه أحياناً صدر كوبلر، الصدر الكهفي، ألإعوجاج الصدري، الصدر النفقي أو يصفها الناس "بوجود حفر في صدر الشخص".[4][5]
علاماته وأعراضه
السمة المميزة لهذا المرض هو المظهر المقعر لعظمة القص. أكثر الأشكال المشتركة للتشوه هو شكل كأس مقعر، ترتبط بأدنى حد لعظمة القص؛ من الممكن أيضاً أن يكون التقعر مرتبط بالغضاريف الأمامية.[6] قد تبرز الطبقات السفلى من الأضلاع ("flared ribs”). تشوه الصدر المقعر قد يكون متماثل أو غير متماثل من حيث الجهة.
في بعض الحالات من الممكن أن يتغير مكان القلب أو يستدار عن موضعه.[7] ومن الممكن أن ينسدل الصمام التاجي للقلب. قد تكون القدرة الجسدية محدودة بسبب قلة سعة الرئة.[8]
أسباب المرض
لم يتوصّل الباحثون إلى ماهيّة الأسباب الحقيقية لهذا التشوه، لكنّهم يظنون بأن هناك ارتباط جيني على الأقل في بعض الحالات، 37٪ تقريباً من المصابين بهذا المرض لديهم أقرباء من الدرجة الأولى مصابون بنفس المرض. كما أنّه تم اكتشاف عدد من الوصمات الجينية للصّدر المقعر. الأسباب الفيزيائية هي، زيادة الضغط في الرحم، كساح الأطفال و زيادة الاحتكاك على عظم القص بسبب كون الحجاب الحاجز غير طبيعي، قد افترضت وفق آليات محددة .
كما أن الصدر المقعر يعتبر نسبياً أحد أعراض متلازمة مارفن[9][9][9][9] و متلازمة لويس-ديتز وفي بعض الأحيان يظهر في أمراض اضطرابات النسيج الضام مثل متلازمة إهلرز-دانلوس .[10] كثير من الأطفال المصابون بضمور العضلات الشوكي يصابون بالصدر المقعر نتيجة للتنفس البطني المرتبط داء بطني بالمرض . الصدر المقعر يظهر كذلك في 1٪ تقريباً من المصابين بمرض السيلياك لأسباب غير معروفة.
الفزيولوجيا المرضيه
بما أن القلب يتمركز خلف عضمة القص، ولان بعض الأشخاص ذو الصدر المقعر يظهر قلبهم في الأشعة أو بعد عملية التشريح بانه يحمل بعض التشوهات، فقد تم الربط بأن هناك ضعف في وظيفة القلب والأوعية الدموية في الأشخاص الذين يعانون من هذا المرض. لذا أكدت الدراسات أثر وظيفة القلب والأوعية الدموية في المرضى. كما توصلت الفحوصات الفسيولوجية للقلب (تخطيط صدى القلب) على وجود أمراض متعلقة بالقلب والأوعية الدموية. بالمثل، لا يوجد أي دليل يثبت بان تشوهات القلب المتسببة من هذه الحالة على الإمكانية من التحسن جراحياََ.
التشخيص

بالبداية يتم الاشتباه بان الشخص مصاب بتشوه الصدر المقعر عن طريق الفحص السريري ويتم عن طريق النظر للصدر من الجهة الأمامية. كما أن الاستماع عن طريق السماعة الطبية للصدر يمكن أن يكشف ضربات قلبٍ متغيرة أو هبوط في صممات القلب. يمكن أن يكون هناك نَفْخَةٌ قَلْبِيَّة تحدث أثناء انقباض القلب الناجمة عن قرب عظمه القص.[11] أصوات الرئة عادةً تكون واضحة لكن قد تتضاءل بسبب قلة سعة الرئة.
تم تطوير العديد من المقاييس لتحديد درجة التشوه في جدار الصدر. العديد من هذه المقاييس تعتمد على مدى التغير في المسافة بين عظمة القص و العمود الفقري. أحد هذه المقاييس هو مقياس بيكر الذي يحدد مدى درجة شدّة التشوه بناءً على النسبة بين قطر الدائرة لجسم الفقرة الأقرب للناتئ الرهابي والمسافة بين التقاطع الرهابي وأقرب جسم فقرة.[12] مؤخراً تم استخدام مقياس هولر الذي يعتمد على استخدام قياسات الأشعة المقطعية. المقياس الذي يفوق 3.25 يعتبر شديد.[13] مقياس هولر هو النسبة بين المسافة المقطعية لداخل القفص الصدري، وهي أقصر مسافة بين الفقرات وعظمة القص.[14]

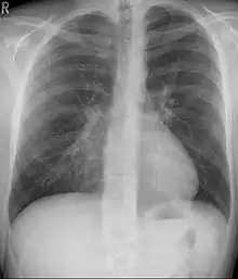
التصوير الشعاعي للصدر يساعد في تشخيص المرض بشكل كبير. كما ان التصوير الشعاعي في الصدر المقعر يُظهر بعض الغموض في بعض الأحيان في الرئة اليمنى لأنها أكثر تعرضاً لاستنشاق للأجسام الغريبة (مثلما يحدث في الاتهاب الرؤوي).[15] كما تشير بعض الدراسات على استخدام مؤشر هالر ويحسب بناءا على التصوير الشعاعي بدلاً من الفحص بالأشعة المقطعية للأشخاص الذين لديهم تعارضات مع الأشعة المقطعية.[16]
الصدر المقعر يميز عن الاختلالات الأخرى عن طريق سلسلة إزالة الأعراض والعلامات. يتم استبعاد الصدر الجؤجؤي من الملاحظة البسيطة لانهيار القص بدلا من بروزه. يتم استبعاد الجَنَفْ الحُدَابِيّ بواسطة التصوير التشخيصي للعمود الفقري. حيث الصدر المقعر يظهر العمود الفقري عادةً طبيعي في الهيكل.
العلاج
علاج الصدر المقعر من الممكن أن يتضمن علاج شديد التوغل أو علاج طفيف التوغل أو علاج يتضمنهم جميعاً. يجب عمل أكثر من نوع من الفحوصات قبل البدء بالعلاج. ومن هذه الفحوصات التصوير المقطعي، اختبارفحص وظائف الرئه، والفحوصات القلبيه ( مثل التسمع لنبضات القلب و جهاز تخطيط كهربائيه القلب). وبعد أخذ التصوير المقطعي للصدر يتم استخراج نتيجة وحسابات مؤشر هالر. و يتم احتساب مؤشر هالر المريض عن طريق الحصول على النسبة من القطر المستعرض (المسافة الأفقية من داخل القفص الصدري) والقطر الأمامي الخلفي (أقصر مسافة بين الفقرات والقص).[17] إذا كان مؤشر هالر أكثر من 3.25 تعتبر الحالة المرضية جداً خطيرة. مؤشر هالر الطبيعي هو 2.5 .[18][19] الفحوصات القلبية والرئوية جميعها تستخدم للتعرف على القدرة الرؤية وللفحص عن اي خلل موجود بالقلب عن طريق التسمع إلى أصوات القلب.
التمارين
التمارين الرياضية لا يرى بانها تعالج المرض وحدها، لكنها مهمه في رحلة العلاج لمرضى التقعر الصدري. وهذه التمارين تستخدم للحد من تطور التقعر لصدر المريض[20][21] وهي تعتبر كعلاج تكميلي لتعديل الوقفة والمظهر الخارجي للمريض، كما تمنع من تطور التقعر بشكل عام ولتمنع الفشل العلاجي بعد البدء بالعلاج الرئيسي.[22]
التمارين تهدف لتحسين الوضعية للعامود الفقري، كما تهدف إلى تقويه الظهر وعضلات الصدر، وتعزز القدرة للمريض على التمارين، كما أنها تزيد اتساع الصدر عند التنفس.[23] التمارين المتعلقة بالتقعر الصدري تتضمن تنفس عميق وتمارين كتم النفس. وتمارين القوة لتعزيز عضلات الصدر والظهر. بالإضافة التمارين الهوائية تطور وتحسن من الوظيفة القلبية والرئوية.
( استثناءً لهذا النهج العام، للمرضى الذين تم زراعة مقوي صدري جراحيا لهم عن طريق عملية نوس يجب عليهم الامتناع عن بعض التمارين لمده تتراوح من اسابيع إلى شهور بعد التدخل الجراحي لتجنب ان يتغير مكان المقوي الذي تم زراعته )
جراحة الصدر
التدخل الجراحي يستخدم لتحسين أي أعراض وظيفيه تظهر على المريض، وللحد من تطور المرض إلى حالات اشد خطورة. مثل المشاكل المتعلقة بالجهاز النفسي والأصوات التي تصدر من القلب والتي تسمع عن طريق السماعة الطبية. التدخل الجراحي لمرضى التقعر الصدري اظهر الكثير من التحسن في وظائف القلب ;[24] ولم يظهر أي دليل على إنها تحسن وظيفة الجهاز التنفسي.[25] عملية نوس هي واحدة من أكثر العمليات شيوعاً في هذا اليوم ولها اقل نسبة خطورة.[26]
تقنية رافيتش
هي عملية تحمل بعض الخطورة واعلن عنها في عام 1949[27] وطورت في الخمسينيات من القرن الحادي والعشرون لعلاج هذا المرض. تتم هذه العملية عن طريق شق الصدر ويزال الغضروف من عظمها لقص ويتم فصله. يوضع مقوي تحت عظمه القص ثم يقام أعادة وضع عظمه القص في مكانها ليتم تثبيتها. يضل المقوي في الجسم إلى ان يتم نمو الغضروف الذي تم إزالته، تقريبا بعد 6 شهور، ومن ثم يتم إزلة المقوي بشكل بسيط من الجسم.
تقنيه رافيتش لا تستخدم في وقتنا الحالي لأنها من الممكن أن تحتوي على نسبه خطورة. تستخدم عادة في المرضى الكبار السن، عندما يتكلس الغضروف، وعندما يكون التشوه ليس متماثلاً بالجهة، أو عندما يكون اقل خطورة من عملية نوس أو اثبت إنها غير مناسبة للمريض.[28] عملية رافيتش تتم عن طريق خطوتين (عمليتين، كل واحدة في شهر مختلف)
عملية نوس


الدكتور دونالد نوس، في مستشفى كنجز دوتر للاطفال في نورفولك، فيرجينيا، قام بأول عملية جراحية لمعالجه الصدر المقعر في عام 1987[29] وصرح بهذه العملية في مؤتمر عام 1997.[30][31] وتم تسميتها بعمليه نوس، وهي تتم عن طريق زراعة قمع صلب كهفي الشكل اسفل عظمه القص. وهذا القمع يتم دفع العظم إلى الخارج مما يؤدي إلى تخفيف التشوه. يظل هذا القمع في جسم المريض سنتين تقريبا. وبعض الجراحين يميلون إلى أبقاءها في الجسم إلى خمسة سنوات إلى أن يثبت العظم في محله. ثم يتم إزلته عن طريق عمليه في العيادات الخارجية.
في البداية كانت عمليه نوس تستخدم للأطفال الأقل من عشر سنوات لان عظمه القص والغضاريف أكثر مرونه. كما ان نسبه نجاح العملية في صغار السن أكثر بكثير من كبار السن. تتم عن طريق عمليتين منفصلتين.
تقنية روبيكسك
الدكتور فرانسيس، في مستشفى كارولينا الواقعة في شارلوت، شمال كارولينا، طور عملية روبيكسك عام 1965. عند تنفيذ هذه العملية، يتم تخطيطها على حدة وفقاً لإمتداد ومكان التشوه في المريض. العملية تبدأ بالجراحة لا تتجاوز 4-6 سم، إلى عظمة القص. العضلة الصدرية الكبرى تفصل عن عظمه القص. ويستخدم الحد الأعلى من انحناء عظمة القص كدليلٍ في الجراحة، ويتم ازالة الغضاريف المشوهة واحدًا تلو الأخر عن استخدام أداة حادة. تتبع العملية بشد الطرف السفلي من عظمة القص وتمسك عن طريق اداة مختصه، ثم يزال التصاق عظمة القص من الغشاء الواقع حول القلب وغشاء الجنب. من ثم تحرك عظمة القص بقوة لتحريكها لمكانها الصحيح.(عملية واحدة فقط)
لجعل عظمة القص ثابته، توضع قطعة تحت عظمة القص المتحركة وتخيّط بشد خفيف من الجهتين إلى المستوى الاسفل من الأضلاع. بعد إتمام عملية تخثّر الدم، عضله الصدر الكبرى سوف تتحد أمام عظمة القص والجرح سوف يبرى من غير سحب السوائل. في هذه المرحلة يُحظر لبس الملابس الضيقة التي تشد على الصدر.[32] الميزة في هذه العملية انها أقل خطورة من تقنية رافيتش، لكن الناقدين يعتقدون أنها اخطر من عملية رافيتش لأنها تحمل درجة انتكاسه أعلى. إلى الآن يوجد جدال حول أفضل عملية للصدر المقعر لكن منهج الجراح في الاختيار من بين العمليات تعتمد على حالة المريض، ولكل مريض خصائص تختلف عن غيرة ولو كانوا مصابين بنفس التشوه الخلقي.[33]
العلاج التحفظي
الجدار الصدري مرن في بداية العمر، ومع زيادة عمر الشخص تقل درجه مرونته تدريجياً[34] العلاجات الغير جراحية تستخدم لهدف تخفيف زيادة تقعّر الصدر، وذلك باستغلال مرونه الصدر، كما يتضمن الأَرْبِطَةُ المَخْصُوصَةُ لغَضَارِيْفِ الأَضْلاعِ، وهذا يتم في الأعمار الصغيرة.
العملية المغناطيسية الداخلية المصغرة
هي عملية تستخدم لتصحيح تقعّر الصدر بواسطة استخدام مغناطيسان لكي يعاد ترتيب عظمة القص مع الصدر والأضلاع.[35] إحدى المغناطيسان يتم إدخاله بعمق 1 سم في جسم المريض. ويوضع في نهاية عظمه القص، والأخر يتم وضعه بالخارج حسب الطلب، والهدف من العملية. المغناطيسان يولدا 0.04 تيسلا (وحدة قياس) بهدف تقليل سرعة تحرك عظمه القص في السنين القادمة. أكبر مجال مغناطيسي يمكن استخدامه في جسم الإنسان هي 4 تيسلا. الفائدة الرئيسة من هذه العملية إنها أكثر فعاليةً من العمليات الجراحية الأخرى كعمليه نوس، وهي اقل ألماً للمريض.
فائدتها محدودة لصغار السن إلى منتصف البلوغ لان كبار السن لديهم صدر اقل مرونه مقارنةً بصغار السن.[36] أحد التداخلات السلبية المحتملة الحدوث هي التداخل مع الأجهزة الطبية الأخرى مثل جهاز تنظيم ضربات القلب الاصطناعي إذا كان موجوداً في المريض الذي سوف تتم له العملية.
فاكيوم بيل

نسبياً يوجد علاج بديل للجراحة وهو الفاكييوم بيل، وهو يشبه الجهاز المستخدم بالحجامة. وهو يتكون من جهاز يشبه الوعاء يوضع في مكان التقعر في الصدر، ومن ثم يتم التخلص من الهواء الزائد في الوعاء عن طريق السحب اليدوي.[37] والفاكيوم الموضوع يقوم برفع عظمة القص للاعلى، مما يقلل من زيادة تشوه الصدر.[38] كما انه يستخدم كبديل للجراحة في بعض الحلات قليله الخطورة. وعندما يختفي التشوه بالنظر إلى الصدر، وهذه العملية يجب تكرارها لسنتين متتاليتين للتأكد بان التشوه يختفي بشكلٍ دائم.[39][40] يتم دمج الفاكيوم بيل مع التمارين الفيزيائية العلاجية، وهو علاج " واعد ومفيد وبديل " للجراحة يجعل الصدر أكثر مرونه. مدة العلاج والخطورة وتكرار العلاج تتناسب طرديا مع العمر كل ما زاد العمر زادت الفترة العلاجية. لكن النتائج لا تزال مبهمه.
والفاكيوم بيل من الممكن أن يستخدم لتحضير المريض للجراحة.
الأنسجة الحرة المزدرعة المصنوعة حسب الطلب
الأنسجة الحرة المزدرعة تجعل الصدر المقعر يتعالج كلياً من الناحية الشكلية. في هذه الأيام تستخدم هذه الأنسجة كإجراء قياسي سهل، يعتمد عليه، وبدون اي خطر اصابه أو مضاعفات لهذه العملية.[43] على أي حال هذه العملية لا يعتقد إنها تحسن وظيفه القلب أو الجهاز التنفسي الناتج عن هذا التشوه. للنساء الذين لديهم تقعر بالصدر يعانون من عدم تماثل الصدر ومن الممكن تصحيحه جزئياً أو كلياً بهذه العملية.[44]
في هذه العملية يتم صنع شكل جبسي، مباشرةً على صدر المريض خارجياً. أدى التطور في التصوير الطبي والمساعدة في التصميم بواسطة الحاسب[45] لتعديل التصميم عن طريق تقنيه ثلاثية الأبعاد لتصمم بشكل مباشر على صدر المريض، وأيضاً تكون أكثر دقةً، وأسهل لوضعها تحت الصدر.[46] هذه الأنسجة مصنوعه من سيليكون مطاطي مقاوم للعمر (لا يتاثر مع كبر العمر) وغير قابل للكسر (مختلف عن السيليكون المستخدم في زراعة الصدر). سوف تستمر لحياة المريض ( بعيده عن الأعراض الجانبية) وليست واضحة على صدر المريض من النظر بالخارج.
العملية تتم تحت التخدير الكامل وتأخذ ساعة ( عملية واحدة منفصلة، ولا تزال المواد). الجرّاح يعمل جرح 7 سم تقريباً، ويفسح المسافة المناسبة بالصدر، ويدخل النسيج الحر المزدرع عميقاً تحت العضلات، من ثم يتم أغلاق الجرح عن طريق ثلاث خطوات من دون سحب السوائل، ينوم المريض في المستشفى ثلاث أيام بالكثير.
الفترة بعد الجراحة لا تحتوي على الم شديد ويعطى المريض مزيل الم خفيف. العناية بعد العملية ليست معقده أو صعبه: يجب ان يلبّس المريض ستره ضاغطه لمدة شهر بعد العملية. ويتم إعطاء المريض موعد للفحص من بعد ثمانية أيام للعملية. نسبيا يمكن للمريض استئناف الأنشطة اليومية بسرعة - ويمكن العودة إلى العمل بعد 15 يوما، والمشاركة في أي أنشطة رياضية بعد ثلاثة أشهر.
حقن الدهون
وتتم عن طريق امتصاص الدهون من المريض بواسطة حقنه كبيرة الحجم (عادةً من البطن أو الفخذ)، وبعد عملية الطرد المركزي بالجهاز للدهون ( جهاز يفصل مكونات السائل)، الخلايا الدهنية يتم حقنها بالمريض بالمكان المراد.
احتمالية الحدوث (علم الوراثة)
يحدث هذا ألتشوه تقريبا في مولود واحد لكل 150 إلى 1000 وليداً ( احتمالية حدوثه في الذكور أكثر من الإناث بنسبه 1:3). تم تقرير إن حدوث المرض في عائلة معينه يزيد بنسبه 35% إلى 45% من الحالات.[47][48]
التاريخ
ليوناردو دافينشي[49][49][49][49][49] و جوسيب دي ريبرا[50] قاموا بالإشارة إلى الصدر المقعر برسوماتهم.
في الحيوانات
هذه الحالة تحدث أيضاً في بعض الحيوانات. مثل سلاله مونتشكين من القطط.[51] بعض العمليات التي تستخدم لعلاج الحيوانات لا تستخدم في الإنسان، مثل استخدام مثبت، مع خيوط ملفوفة حول عظمة القص للحيوان واستخدام الجبائر الداخلية والخارجية.[52][53] تستخدم هذه التقنيات للحيوانات الغير كامله النمو لان عظامهم وغضاريفهم أكثر مرونه.[54]
مراجع
- chief lexicographer: Douglas M. Anderson (2003). "Pectus Excavatum". Dorland's Medicla Dictionary (الطبعة 28). Philadelphia, Penns.: Saunders. ISBN 0-7216-0146-4. مؤرشف من الأصل في 21 يناير 2009. الوسيط
|CitationClass=تم تجاهله (مساعدة) - Shamberger RC (1996). "Congenital chest wall deformities". Current Problems in Surgery (Review). 33 (6): 469–542. doi:10.1016/S0011-3840(96)80005-0. PMID 8641129. الوسيط
|CitationClass=تم تجاهله (مساعدة) - "Pectus excavatum". MedLine Plus Medical Encyclopedia. المكتبة الوطنية لعلم الطب and the معاهد الصحة الوطنية الأمريكية. 2007-11-12. مؤرشف من الأصل في 5 يوليو 2016. الوسيط
|CitationClass=تم تجاهله (مساعدة) - Spence, Roy A. J.; Patrick J. Morrison (2005). Genetics for Surgeons. Remedica Publishing. ISBN 1-901346-69-2. مؤرشف من الأصل في 3 مارس 2020. الوسيط
|CitationClass=تم تجاهله (مساعدة)صيانة CS1: أسماء متعددة: قائمة المؤلفون (link) - "Pectus Excavatum". مؤرشف من الأصل في 22 فبراير 2018. الوسيط
|CitationClass=تم تجاهله (مساعدة) - Blanco FC, Elliott ST, Sandler AD (2011). "Management of congenital chest wall deformities". Seminars in Plastic Surgery (Review). 25 (1): 107–16. doi:10.1055/s-0031-1275177. PMC 3140238. PMID 22294949. الوسيط
|CitationClass=تم تجاهله (مساعدة) - Fokin AA, Steuerwald NM, Ahrens WA, Allen KE (2009). "Anatomical, histologic, and genetic characteristics of congenital chest wall deformities". Seminars in Thoracic and Cardiovascular Surgery (Review). 21 (1): 44–57. doi:10.1053/j.semtcvs.2009.03.001. PMID 19632563. الوسيط
|CitationClass=تم تجاهله (مساعدة) - Cardiopulmonary Manifestations of Pectus Excavatum نسخة محفوظة 18 أبريل 2017 على موقع واي باك مشين.
- "eMedicine — Marfan Syndrome". Harold Chen. مؤرشف من الأصل في 1 مايو 2019. الوسيط
|CitationClass=تم تجاهله (مساعدة) - Creswick HA1, Stacey MW, Kelly RE Jr, Gustin T, Nuss D, Harvey H, Goretsky MJ, Vasser E, Welch JC, Mitchell K, Proud VK (October 2006). "Family study of the inheritance of pectus excavatum". Journal of Pediatric Surgery. 41 (10): 1699–703. doi:10.1016/j.jpedsurg.2006.05.071. PMID 17011272. مؤرشف من الأصل في 30 نوفمبر 2018. الوسيط
|CitationClass=تم تجاهله (مساعدة)صيانة CS1: أسماء متعددة: قائمة المؤلفون (link) - Guller B, Hable K (1974). "Cardiac findings in pectus excavatum in children: review and differential diagnosis". Chest. 66 (2): 165–71. doi:10.1378/chest.66.2.165. PMID 4850886. مؤرشف من الأصل في 08 ديسمبر 2008. اطلع عليه بتاريخ أغسطس 2020. الوسيط
|CitationClass=تم تجاهله (مساعدة); تحقق من التاريخ في:|تاريخ الوصول=(مساعدة) - BACKER OG, BRUNNER S, LARSEN V (1961). "The surgical treatment of funnel chest. Initial and follow-up results". Acta chirurgica Scandinavica. 121: 253–61. PMID 13685690. الوسيط
|CitationClass=تم تجاهله (مساعدة)صيانة CS1: أسماء متعددة: قائمة المؤلفون (link) - Jeannette Diana-Zerpa; Nancy Thacz Browne; Laura M. Flanigan; Carmel A. McComiskey; Pam Pieper (2006). Nursing Care of the Pediatric Surgical Patient (Browne, Nursing Care of the Pediatric Surgical Patient). Sudbury, Mass: Jones & Bartlett Publishers. صفحة 253. ISBN 0-7637-4052-7. الوسيط
|CitationClass=تم تجاهله (مساعدة)صيانة CS1: أسماء متعددة: قائمة المؤلفون (link) - Haller JA, Kramer SS, Lietman SA (1987). "Use of CT scans in selection of patients for pectus excavatum surgery: a preliminary report". Journal of Pediatric Surgery. 22 (10): 904–6. doi:10.1016/S0022-3468(87)80585-7. PMID 3681619. مؤرشف من الأصل في 21 أكتوبر 2018. الوسيط
|CitationClass=تم تجاهله (مساعدة)صيانة CS1: أسماء متعددة: قائمة المؤلفون (link) - Hoeffel JC, Winants D, Marcon F, Worms AM (1990). "Radioopacity of the right paracardiac lung field due to pectus excavatum (funnel chest)". Rontgenblatter. 43 (7): 298–300. PMID 2392647. الوسيط
|CitationClass=تم تجاهله (مساعدة)صيانة CS1: أسماء متعددة: قائمة المؤلفون (link) - Mueller C, Saint-Vil D, Bouchard S (2008). "Chest x-ray as a primary modality for preoperative imaging of pectus excavatum". Journal of Pediatric Surgery. 43 (1): 71–3. doi:10.1016/j.jpedsurg.2007.09.023. PMID 18206458. الوسيط
|CitationClass=تم تجاهله (مساعدة)صيانة CS1: أسماء متعددة: قائمة المؤلفون (link) - "How the Haller is measured. Departament of Cardiology and Pulmonology of the Hospital das Clínicas da Faculdade de Medicina da Universidade de São Paulo – Thoracic Surgery Sector" (PDF). مؤرشف من الأصل (PDF) في 24 سبتمبر 2015. الوسيط
|CitationClass=تم تجاهله (مساعدة) - "Pectus Excavatum overview" (PDF). سقنا. مؤرشف من الأصل (PDF) في 12 فبراير 2012. الوسيط
|CitationClass=تم تجاهله (مساعدة) - "The Nuss procedure for pectus excavatum correction | AORN Journal". Barbara Swoveland, Clare Medrick, Marilyn Kirsh, Kevin G. Thompson, Nussm Donald. 2001. مؤرشف من الأصل في 23 مايو 2012. الوسيط
|CitationClass=تم تجاهله (مساعدة) - Anton H. Schwabegger (15 September 2011). Congenital Thoracic Wall Deformities: Diagnosis, Therapy and Current Developments. Springer Science & Business Media. صفحة 118. ISBN 978-3-211-99138-1. مؤرشف من الأصل في 02 مارس 2020. الوسيط
|CitationClass=تم تجاهله (مساعدة) - Peter Mattei (15 February 2011). Fundamentals of Pediatric Surgery. Springer Science & Business Media. صفحة 315. ISBN 978-1-4419-6643-8. مؤرشف من الأصل في 02 مارس 2020. الوسيط
|CitationClass=تم تجاهله (مساعدة) - George W. Holcomb III; Jerry D Murphy; Daniel J Ostlie (31 January 2014). Ashcraft's Pediatric Surgery. Elsevier Health Sciences. صفحة 270. ISBN 978-0-323-18736-7. مؤرشف من الأصل في 02 مارس 2020. الوسيط
|CitationClass=تم تجاهله (مساعدة) - Lewis Spitz; Arnold Coran (21 May 2013). Operative Pediatric Surgery, Seventh Edition. CRC Press. صفحة 251. ISBN 978-1-4441-1715-8. مؤرشف من الأصل في 02 مارس 2020. الوسيط
|CitationClass=تم تجاهله (مساعدة) - Malek MH, Berger DE, Housh TJ, Marelich WD, Coburn JW, Beck TW (2006). "Cardiovascular function following surgical repair of pectus excavatum: a metaanalysis". Chest (Meta-Analysis). 130 (2): 506–16. doi:10.1378/chest.130.2.506. PMID 16899852. الوسيط
|CitationClass=تم تجاهله (مساعدة) - Malek MH, Berger DE, Marelich WD, Coburn JW, Beck TW, Housh TJ (2006). "Pulmonary function following surgical repair of pectus excavatum: a meta-analysis". European Journal of Cardio-thoracic Surgery : Official Journal of the European Association for Cardio-thoracic Surgery (Meta-Analysis). 30 (4): 637–43. doi:10.1016/j.ejcts.2006.07.004. PMID 16901712. الوسيط
|CitationClass=تم تجاهله (مساعدة) - Hebra A (2009). "Minimally invasive repair of pectus excavatum". Semin Thorac Cardiovasc Surg (Review). 21 (1): 76–84. doi:10.1053/j.semtcvs.2009.04.005. PMID 19632566. الوسيط
|CitationClass=تم تجاهله (مساعدة) - Ravitch MM (April 1949). "The Operative Treatment of Pectus Excavatum". Ann Surg. 129 (4): 429–44. doi:10.1097/00000658-194904000-00002. PMC 1514034. PMID 17859324. الوسيط
|CitationClass=تم تجاهله (مساعدة) - Theresa D. Luu MD (November 2009). "Surgery for Recurrent Pectus Deformities". The Annals of Thoracic Surgery. 88 (5): 1627–1631. doi:10.1016/j.athoracsur.2009.06.008. PMID 19853122. الوسيط
|CitationClass=تم تجاهله (مساعدة) - Adam J. Białas, Bogumiła Kempińska-Mirosławska (2013). "Minimally invasive repair of pectus excavatum (the Nuss procedure) in Poland and worldwide – a summary of 25 years of history" (PDF). Kardiochirurgia i Torakochirurgia Polska 2013. صفحات 42–47. doi:10.5114/kitp.2013.34304. مؤرشف من الأصل (PDF) في 13 أكتوبر 2016. اطلع عليه بتاريخ 13 أبريل 2016. الوسيط
|CitationClass=تم تجاهله (مساعدة) - Pilegaard, HK; Licht PB (February 2008). "Early results following the Nuss operation for pectus excavatum—a single-institution experience of 383 patients". Interactive Cardiovascular and Thoracic Surgery. Oxford University Press. 7 (1): 54–57. doi:10.1510/icvts.2007.160937. PMID 17951271. مؤرشف من الأصل في 25 يوليو 2011. اطلع عليه بتاريخ 18 أبريل 2008. الوسيط
|CitationClass=تم تجاهله (مساعدة) - Nuss D, Kelly RE Jr, Croitoru DP, Katz ME (April 1998). "A 10-year review of a minimally invasive technique for the correction of pectus excavatum". J Pediatr Surg. 33 (4): 545–52. doi:10.1016/S0022-3468(98)90314-1. PMID 9574749. الوسيط
|CitationClass=تم تجاهله (مساعدة)صيانة CS1: أسماء متعددة: قائمة المؤلفون (link) - Robiscek, Francis. "Marlex Mesh Support For The Correction Of Very Severe And Recurrent Pectus Excavatum". 26 (1): 80–83. الوسيط
|CitationClass=تم تجاهله (مساعدة); Cite journal requires|journal=(مساعدة) - Robicsek, Hebra (2009). "To Nuss or not to Nuss? Two opposing views". 21 (1): 85–88. doi:10.1053/j.semtcvs.2009.03.007. PMID 19632567. الوسيط
|CitationClass=تم تجاهله (مساعدة); Cite journal requires|journal=(مساعدة) - "Lung elasticity, thorax and age". مؤرشف من الأصل في 12 أغسطس 2017. اطلع عليه بتاريخ 14 أبريل 2016. الوسيط
|CitationClass=تم تجاهله (مساعدة) - Harrison MR, Estefan-Ventura D, et al. (January 2007). "Magnetic Mini-Mover Procedure for pectus excavatum: I. Development, design, and simulations for feasibility and safety" (PDF). Journal of Pediatric Surgery. 42 (1): 81–85. doi:10.1016/j.jpedsurg.2006.09.042. PMID 17208545. مؤرشف من الأصل (PDF) في 04 مارس 2016. اطلع عليه بتاريخ 23 أبريل 2008. الوسيط
|CitationClass=تم تجاهله (مساعدة) - Harrison, MR; Michael R. Harrison; Kelly D. Gonzales; Barbara J. Bratton; Darrell Christensen; Patrick F. Curran; Richard Fechter; Shinjiro Hirose (January 2012). "Magnetic mini-mover procedure for pectus excavatum III: safety and efficacy in a Food and Drug Administration-sponsored clinical trial". Journal of Pediatric Surgery. 47 (1): 154–9. doi:10.1016/j.jpedsurg.2011.10.039. PMID 22244409. مؤرشف من الأصل في 24 سبتمبر 2015. اطلع عليه بتاريخ 20 أغسطس 2014. الوسيط
|CitationClass=تم تجاهله (مساعدة) - chkd, Children's Hospital of the King's Daughters, مؤرشف من الأصل في 04 ديسمبر 2013 الوسيط
|CitationClass=تم تجاهله (مساعدة); الوسيط|separator=تم تجاهله (مساعدة)CS1 maint: ref=harv (link) - Haecker, FM; Mayr J (April 2006). "The vacuum bell for treatment of pectus excavatum: an alternative to surgical correction?". European Journal of Cardiothoracic Surgery. 29 (4): 557–561. doi:10.1016/j.ejcts.2006.01.025. PMID 16473516. الوسيط
|CitationClass=تم تجاهله (مساعدة) - Raver-Lampman (November 2012), First patients in US receive non-surgical device of sunken chest syndrome, AAAS, مؤرشف من الأصل في 23 أبريل 2019 الوسيط
|CitationClass=تم تجاهله (مساعدة); الوسيط|separator=تم تجاهله (مساعدة)CS1 maint: ref=harv (link) - Non-surgical sunken chest treatment device may eliminate surgery, Mass Device, November 2012, مؤرشف من الأصل في 18 فبراير 2015 الوسيط
|CitationClass=تم تجاهله (مساعدة); الوسيط|separator=تم تجاهله (مساعدة)CS1 maint: ref=harv (link) - "Orthopectus". Dr. Sydney A. Haje, Ortopedista. مؤرشف من الأصل في 24 يونيو 2018. الوسيط
|CitationClass=تم تجاهله (مساعدة) - "LaceIT PE Brace". Advanced Orthotic Designs, Inc. مؤرشف من الأصل في 2 نوفمبر 2018. الوسيط
|CitationClass=تم تجاهله (مساعدة) - André, M. Dahan, E. Bozonnet, I. Garrido, J.-L. Grolleau, J.-P. Chavoin; Pectus excavatum : correction par la technique de comblement avec mise en place d’une prothèse en silicone sur mesure en position rétromusculaire profonde; Encycl Méd Chir, Elsevier Masson SAS - Techniques chirurgicales - Chirurgie plastique reconstructrice et esthétique, 45-671, Techniques chirurgicales - Thorax, 42-480, 2010. "نسخة مؤرشفة". Archived from the original on 13 مارس 2016. اطلع عليه بتاريخ 20 أبريل 2016. الوسيط
|CitationClass=تم تجاهله (مساعدة)صيانة CS1: BOT: original-url status unknown (link) - Ho Quoc Ch, Chaput B, Garrido I, André A, Grolleau JL, Chavoin JP; Management of breast asymmetry associated with primary funnel chest; Ann Chir Plast Esthet. نسخة محفوظة 02 أغسطس 2017 على موقع واي باك مشين.
- AnatomikModeling | نسخة محفوظة 18 ديسمبر 2017 على موقع واي باك مشين.
- J-P. Chavoin, A.André, E.Bozonnet, A.Teisseyre, J..
- "Pectus Excavatum: Frequently Asked Questions: Surgery: UI Health Topics". Harold M. Burkhart and Joan Ricks-McGillin. مؤرشف من الأصل في 1 مايو 2012. الوسيط
|CitationClass=تم تجاهله (مساعدة) - "eMedicine — Pectus Excavatum". Andre Hebra. مؤرشف من الأصل في 2 أبريل 2019. الوسيط
|CitationClass=تم تجاهله (مساعدة) - Ashrafian, Hutan (2013). "Leonardo da Vinci and the first portrayal of pectus excavatum". Thorax. doi:10.1136/thoraxjnl-2013-203224. مؤرشف من الأصل في 08 مارس 2016. الوسيط
|CitationClass=تم تجاهله (مساعدة) - Davide Lazzeri, Fabio Nicoli (22 February 2016). "Pectus Excavatum in paintings by Jusepe de Ribera (1591–1652)". Thorax. doi:10.1136/thoraxjnl-2015-208236. مؤرشف من الأصل في 10 نوفمبر 2016. الوسيط
|CitationClass=تم تجاهله (مساعدة) - "Genetic Anomalies of Cats". مؤرشف من الأصل في 14 أغسطس 2018. الوسيط
|CitationClass=تم تجاهله (مساعدة) - Risselada M, de Rooster H, Liuti T, Polis I, van Bree H (2006). "Use of internal splinting to realign a noncompliant sternum in a cat with pectus excavatum". Journal of the American Veterinary Medical Association. 228 (7): 1047–52. doi:10.2460/javma.228.7.1047. PMID 16579783. مؤرشف من الأصل في 02 مارس 2020. الوسيط
|CitationClass=تم تجاهله (مساعدة)صيانة CS1: أسماء متعددة: قائمة المؤلفون (link) - Fossum, TW; Boudrieau RJ; Hobson HP; Rudy RL (1989). "Surgical correction of pectus excavatum, using external splintage in two dogs and a cat". Journal of the American Veterinary Medical Association. 195 (1): 91–7. PMID 2759902. الوسيط
|CitationClass=تم تجاهله (مساعدة) - McAnulty JF, Harvey CE (1989). "Repair of pectus excavatum by percutaneous suturing and temporary external coaptation in a kitten". Journal of the American Veterinary Medical Association. 194 (8): 1065–7. PMID 2651373. الوسيط
|CitationClass=تم تجاهله (مساعدة)
- بوابة طب
