تصوير الصدر بالأشعة السينية
تصوير الصدر بالأشعة السينية أو ما يعرف باسم (CXR) اختصارا لـ (chest x-ray) هو تصوير إسقاطي للصدر يستخدم في تشخيص الأمراض الرئوية ، أمراض القلب والأوعية، الأمراض التي تصيب عظام القفص الصدري أو العمود الفقري، السرطانات المتولدة في المنطقة أو المهاجرة إليها بـالانبثاث من أعضاء أخرى في الجسم.[1][2][3]

يعتبر التصوير الإشعاعي الصدري أكثر أنواع التصوير الطبي طلبا من قبل الأطباء للتشخيص نظرا للنتائج التي تقدمها في كشف الأمراض الصدرية أو مضاعفات أمراض الجسم الأخرى .
دواعي الاستعمال


أعراض المرض الظاهرة على المريض
ألم في الصدر، سعال، إفرازات بلغمية أو دموية أو قيحية أثناء السعال، ضيق تنفس، انتفاخ أطراف الأصابع، ازرقاق الجلد، ...أو إثر إصابة أو حادث، يستعمل التصوير الإشعاعي الصدري في الكشف عن سبب هذه الأعراض والمتعلق بـ :
- حالة الرئة : سرطان، خراج، مرض السل، انتفاخ الرئة، تضرر النسيج إثر حادث، رئة مليئة بالهواء أو الماء، تليُّف...
- حالة المجاري الهوائية : توسع أو ضيق، مرض الربو، إفرازات، تضرر جدار المجاري، انسداد بِوَرم أو بجسم غريب...
- حالة القلب : حجم وشكل القلب، التهاب الجدار الخارجي للقلب، فشل القلب، مشاكل في صمامات القلب، ترسبات الكالسيوم...
- حالة الأوعية : أمراض وراثية وخلقية في شكل الأوعية، تمدد الشريان الأبهر، ترسبات الكالسيوم...
- حالة الأثداء.
- حالة الحجاب الحاجز: وجود هواء، بجع أسفل المرئ...
- حالة العظام : ظهور كسور في عظام القفص الصدري أو العمود الفقري أو عظم الترقوة بعد التعرّض لحادث، سرطان العظام، هشاشة العظم، التهاب...[4]
تعقب الأمراض
عند ظهور أمراض جديدة أو إجراء إحصاء عام لمرض معين أو الشك في وجود مرض عند المشخص له، يستعمل هذا الفحص لتعقب الأعراض والمشاكل في منطقة الصدر.
المتابعة
بعد الكشف عن مريض وإعطاء الأدوية اللازمة أو إجراء جراحة، يستعمل التصوير الإشعاعي الصدري في متابعة نتائج العلاج.
وضعيات التصوير
يمكن الحصول على وضعيات تصوير مختلفة (تُعرف أيضًا باسم الإسقاطات) للصدر عن طريق تغيير اتجاه الجسم واتجاه حزمة الأشعة السينية. وضعيات التصوير الأكثر شيوعًا هي الخلفية الأمامية والخلفية الأمامية والجانبية. في المنظر الخلفي الأمامي PA، يتم وضع مصدر الأشعة السينية بحيث يدخل شعاع الأشعة السينية من خلال الجانب الخلفي للصدر ويخرج من الجانب الأمامي، حيث يتم الكشف عن الحزمة. للحصول على هذا المنظر، يقف المريض في مواجهة سطح مستو يوجد خلفه كاشف الأشعة السينية. يتم وضع مصدر إشعاع خلف المريض على مسافة قياسية (غالبًا 6 أقدام أو 1.8 م) ، ويتم إطلاق شعاع الأشعة السينية تجاه المريض.

وضعيات التصوير الرئيسية، يمكن أن تختلف الإسقاطات المطلوبة حسب الدولة والمستشفى، على الرغم من أن الإسقاط المنتصب الخلفي الأمامي PA هو الأفضل عادةً. إذا لم يكن ذلك ممكنًا، فسيتم أخذ منظر خلفي خلفي.
يعتمد التصوير الإضافي على البروتوكولات المحلية التي تعتمد على بروتوكولات المستشفى، وتوافر طرائق التصوير الأخرى وتفضيل مترجم الصور. في المملكة المتحدة، بروتوكول تصوير الصدر بالأشعة السينية هو أخذ منظر خلفي منتصب للأمام فقط وعرض جانبي فقط بناءً على طلب اختصاصي الأشعة. في الولايات المتحدة، يتضمن التصوير الشعاعي للصدر الوضعية الخلفية-الأمامية والجانبية مع وقوف المريض أو جلوسه.
إسقاطات خاصة مثل الضعية الأمامية-الخلفية مطلوبة في الحالات التي يلزم فيها الحصول على صورة ثابتة ومع جهاز محمول، خاصةً عندما يتعذر وضع المريض في وضع مستقيم بأمان.
يمكن استخدام الاستلقاء الجانبي لتصوير مستويات السوائل أو الهواء في غشاء الرئة، إذا تعذر الحصول على صورة منتصبة.
الحدود
على الرغم من أن تصوير الصدر هي وسيلة رخيصة وآمنة نسبيا للكشف عن أمراض الصدر، إلا أنه يطلب في بعض الحالات الخطرة إرفاق الفحص الشعاعي بفحوصات أخرى أكثر دقة وحداثة، مثل التصوير بالرنين المغناطيسي MRI والتصوير بالموجات فوق الصوتية Echo.
معرض
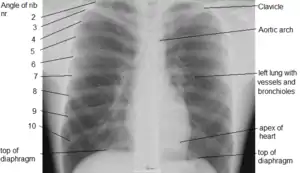
صورة أشعة صدرية ذات جودة عالية.
صورة إسقاطية ثلاثية الأبعاد للتصوير الإشعاعي الصدري، توضّح محتويات الصدر من الجوانب:الخلفي، الأمامي والجانبي.
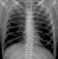
صورة إشعاع صدرية لالتهاب رئوي في الجهتين اليمنى واليسرى.
صورة أشعة صدرية تظهر جهاز تنظيم ضربات القلب بلون أبيض(عتامة) في الجزء العلوي من الصدر الأيسر.
مراجع
- Bush, A; Gray, H; Denison, DM (February 1988). "Diagnosis of pulmonary hypertension from radiographic estimates of pulmonary arterial size". Thorax. 43 (2): 127–31. doi:10.1136/thx.43.2.127. PMC 1020754. PMID 3353884. الوسيط
|CitationClass=تم تجاهله (مساعدة) - "Chest X-ray quality – Projection". Radiology Masterclass. مؤرشف من الأصل في 15 مارس 2016. اطلع عليه بتاريخ 27 يناير 2016. الوسيط
|CitationClass=تم تجاهله (مساعدة) - Using Digital Chest Images to Monitor the Health of Coal Miners and Other Workers. National Institute for Occupational Safety and Health. [وصلة مكسورة] نسخة محفوظة 28 يناير 2019 على موقع واي باك مشين.
- brooksidepress.org https://web.archive.org/web/20190405073633/http://www.brooksidepress.org/Products/OBGYN_101/MyDocuments4/Xray/Chest/ChestXray.htm. مؤرشف من الأصل في 5 أبريل 2019. اطلع عليه بتاريخ 11 يناير 2021. الوسيط
|CitationClass=تم تجاهله (مساعدة); مفقود أو فارغ|title=(مساعدة)
- بوابة طب