عدوى منتقلة عموديا
العدوى المنتقلة عموديا (بالإنجليزية: Vertically transmitted infection) هي عدوى تسببها عوامل ممرضة (مثل البكتيريا والفيروسات)، تنتقل من الأم مباشرةً إلى المضغة أو الجنين أو الطفل أثناء الحمل أو الولادة. تنتقل العدوى عندما تكون الأم مصابة بمرض موجود مسبقًا أو تصاب به لأول مرّة أثناء الحمل. تفاقِم الأعواز الغذائية مخاطر الإصابة بالعدوى في فترة ما حول الولادة.
| العدوى المنتقلة عموديا Vertically transmitted infection | |
|---|---|
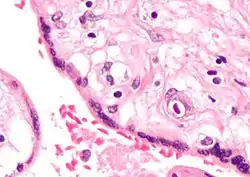
![]() صورة مجهرية لعدوى فيروس مضخم للخلايا للمشيمة (التهاب المشيمة)، العدوى منقولة عموديا: يمكن رؤية نواة الخلية المصابة بعدوى الفيروس قرب الوسط في أسفل يمين الصورة. صورة مجهرية لعدوى فيروس مضخم للخلايا للمشيمة (التهاب المشيمة)، العدوى منقولة عموديا: يمكن رؤية نواة الخلية المصابة بعدوى الفيروس قرب الوسط في أسفل يمين الصورة. | |
| معلومات عامة | |
| الاختصاص | طب الأطفال |
| من أنواع | عدوى الأطفال حديثي الولادة ، وعيب خلقي |
| الأسباب | |
| الأسباب | انتقال عمودي |
أنواع العدوى
يمكن أن تنتقل البكتيريا والفيروسات والكائنات الأخرى من الأم إلى الطفل. «تورش- ToRCH» هو اختصار يجمع الأحرف الأولى من الأمراض المنتقلة عموديًا وهي:
- داء المقوّسات الذي تسبّبه المقوّسات الغوندية.
- إنتانات أخرى
- الحصبة الألمانية
- الفيروس المضخّم للخلايا
- فيروس الهربس البسيط والهربس البسيط الوليدي
تشمل الإنتانات الأخرى ما يلي:
- باروفيروس ب 19
- فيروس كوكساكي
- جدري الماء (يسبّبه فيروس جدري الماء النطاقي)
- داء المتدثّرات أو الكلاميديا[1]
- فيروس عوز المناعة البشري[1][2]
- فيروس تي اللمفاوي البشري[3]
- مرض الزهري[4]
- حمّى زيكا (التي يسببها فيروس زيكا): يمكن أن تسبّب صغر رأس وعيوب دماغية أخرى لدى الطفل.[5]
يُصنَّف التهاب الكبد بي على أنه عدوى منقولة عموديًا. فيروس التهاب الكبد كبير الحجم، ولا يعبر المشيمة، ولا يمكن أن يصيب الجنين إلا عند وجود عيوب في الحواجز التي تفصل دوران الأم والجنين، ما يمكن أن يحدث عند النزيف أثناء الولادة أو بزل السلى.[6]
عندما ظهر اختصار تورش، كان يتكوّن في الأصل من أربعة أمراض فقط، ويعود الحرفان الأوّلان من الرمز إلى داء المقوّسات، على أي حال لا يزال هذا الاختصار مستخدمًا في العديد من المراجع الحديثة،[7] وقد ذُكر اختصار «تورشز TORCHES-» الذي يشمل داء المقوّسات، والحصبة الألمانية، والفيروس المضخّم للخلايا، والهربس البسيط، والزهري.[8]
اقترح توسيع إضافي لهذا الاختصار تشيبتوشز-CHEAPTORCHES من قبل فورد جونز وكيلنر في عام 1995
- جدري الماء والهربس النطاقس
- التهاب الكبد[9]
- الفيروسات المعوية
- الإيدز أو فيروس نقص المناعة البشري المكتسب
- باروفيروس
- داء المقوّسات
- الحصبة الألمانية
- الفيروس المضخّم للخلايا
- الهربس البسيط
- أي مرض آخر ينتقل عن طريق الاتّصال الجنسي (السيلان، وداء المتدثّرات، وفيروس الورم الحليمي البشري، والميورة الحالة لليوريا).
العلامات والأعراض
تختلف الأعراض والعلامات بحسب العامل الممرض، قد تكون الأعراض خفيفة جدًا عند الأم مثل أعراض شبيهة بالإنفلونزا أو لا تظهر أعراض على الإطلاق، وفي هذه الحالة لا تلاحظ آثار المرض حتّى الولادة.
قد تشمل أعراض العدوى المنتقلة عموديًا الحمى والأعراض الشبيهة بالإنفلونزا. غالبًا ما يكون الوليد صغيرًا بالنسبة لسن الحمل. قد يظهر طفح حبري على الجلد، مع بقع حمراء أو أرجوانية صغيرة بسبب النزيف من الشعيرات الدموية تحت الجلد. تضخم الكبد والطحال علامة شائعة، وكذلك اليرقان، لكنّ اليرقان أقل شيوعًا في التهاب الكبد البائي لأن جهاز المناعة لدى الأطفال حديثي الولادة غير متطوّر بشكل جيد بما يكفي لتوجيه استجابة ضد الخلايا الكبدية، كما هو الحال عند الأطفال الأكبر سنًا أو البالغين. يمكن أن تسبّب الإنتانات المنتقلة عموديًا ضعف سمع، ومشاكل بصرية، وتخلف عقلي، وتوحد، وقد تسبّب الموت أحيانًا.[10][11]
الأسباب
الطرق الرئيسية لانتقال العدوى المنتقلة عموديًا هي إما عبر المشيمة، أو الجهاز التناسلي للأنثى أثناء الولادة. الانتقال ممكن أيضًا عن طريق عيوب الحاجز الذي يفصل بين دوران الأم والجنين، ما يمكن أن يحدث أثناء بزل السلى أو بعد رضّ خطير.
عبر المشيمة
الوظيفة المناعية للمضغة أو الجنين ضعيفة جدًّا أو معدومة، والاعتماد الأكبر على الوظيفة المناعية للأم. تستطيع العديد من العوامل الممرضة اجتياز المشيمة والمرور إلى الجنين مسبّبةً عدوى ما حول الولادة. في كثير من الأحيان تكون الكائنات الحية الدقيقة التي تسبب مرضًا بسيطًا في الأم خطيرة للغاية على نمو المضغة أو الجنين، وتسبّب مضاعفات خطيرة مثل الإجهاض العفوي، أو الاضطرابات النمائية الرئيسية. يكون الطفل أكثر عرضة لخطر الإصابة في مراحل معينة من الحمل. أحيانًا لا تكون المشاكل المتعلقة بالعدوى في فترة ما حول الولادة ملحوظة بشكل مباشر.
أثناء الولادة
يمكن أن تنتقل العدوى من الأم إلى الجنين أثناء الولادة. قد تنتقل بعض العوامل الممرضة إلى المضغة أو الجنين في الرحم أثناء المرور عبر قناة الولادة، أو حتى بعد فترة وجيزة من الولادة. التمييز مهم لأن التداخل الطبي قد يفيد في منع إصابة الرضيع عندما يكون الانتقال الأوّلي أثناء أو بعد الولادة.
يتعرض الأطفال أثناء الولادة لدم الأم، وسوائل جسمها، وجهازها التناسلي دون تدخل حاجز المشيمة. فإن الكائنات الحية الدقيقة المنتقلة بالدم (التهاب الكبد ب، وفيروس نقص المناعة البشري المكتسب)، والكائنات الحية المرتبطة بالأمراض المنتقلة جنسياً (مثل النيسرية البنية، والمتدثّرة الحثرية)، والكائنات التي تشكّل النبيت الطبيعي للجهاز التناسلي الأنثوي (مثل المبيضات البيضاء) هي من بين المسبّبات الشائعة لعدوى حديثي الولادة.
المعالجة والتدبير
يمكن علاج بعض الأمراض المنتقلة عموديًا، مثل داء المقوسات والزهري بشكل فعال بالمضادات الحيوية إذا شُخَّص المرض عند الأم في وقت مبكر من حملها. لا يوجد علاج فعال للعديد من الالتهابات الفيروسية المنتقلة عموديًّا، ولكن يمكن منع بعضها لا سيما الحصبة الألمانية والحماق النطاقي، عن طريق تطعيم الأم قبل الحمل.
تعتبر النساء الحوامل اللاتي يعشن في المناطق الموبوءة بالملاريا مرشحات للوقاية من الملاريا، ما يحسن سريريًا فقر الدم، وتطفلن الدم لدى النساء الحوامل (وجود الطفيلي في الدم)، ووزن الولادة عند أطفالهن.[12]
إذا كانت الأم مصابة بالهربس البسيط وخلال الطور الفعّال، فإن الولادة عن طريق الولادة القيصرية يمكن أن تقي من الإصابة بالفيروس.
قد يلعب الجسم المضاد إيج-جي 2 دورًا حاسمًا في الوقاية من العدوى داخل الرحم، وتجري أبحاث مكثفة لتطوير عقّارت معتمدة على إيج جي- 2 للعلاج والتلقيح.[13]
الإنذار
لكل نوع من أنواع العدوى المنتقلة عموديًا إنذار مختلف. يمكن أن تؤثّر مرحلة الحمل وقت الإصابة على شدّة المرض عند الوليد.
المصادر
- Yu, Jialin; Wu, Shixiao; Li, Fang; Hu, Linyan (2009). "Vertical Transmission of Chlamydia trachomatis in Chongqing China". Current Microbiology. 58 (4): 315–320. doi:10.1007/s00284-008-9331-5. ISSN 0343-8651. PMID 19123031. S2CID 2758055. الوسيط
|CitationClass=تم تجاهله (مساعدة) - Ugen, K E; Goedert, J J; Boyer, J; et al. (June 1992). "Vertical transmission of human immunodeficiency virus (HIV) infection. Reactivity of maternal sera with glycoprotein 120 and 41 peptides from HIV type 1". Journal of Clinical Investigation. 89 (6): 1923–1930. doi:10.1172/JCI115798. ISSN 0021-9738. PMC 295892. PMID 1601999. الوسيط
|CitationClass=تم تجاهله (مساعدة) - "CDC Concludes Zika Causes Microcephaly and Other Birth Defects". CDC Newsroom Releases. Centers for Disease Control and Prevention. 13 April 2016. مؤرشف من الأصل في 12 يونيو 2020. الوسيط
|CitationClass=تم تجاهله (مساعدة) - Hisada, Michie; Maloney, Elizabeth M.; Sawada, Takashi; et al. (2002). "Virus Markers Associated with Vertical Transmission of Human T Lymphotropic Virus Type 1 in Jamaica". Clinical Infectious Diseases. 34 (12): 1551–1557. doi:10.1086/340537. ISSN 1058-4838. PMID 12032888. الوسيط
|CitationClass=تم تجاهله (مساعدة) - Lee, M.-J.; Hallmark, R.J.; Frenkel, L.M.; Del Priore, G. (1998). "Maternal syphilis and vertical perinatal transmission of human immunodeficiency virus type-1 infection". International Journal of Gynecology & Obstetrics. 63 (3): 247–252. doi:10.1016/S0020-7292(98)00165-9. ISSN 0020-7292. PMID 9989893. الوسيط
|CitationClass=تم تجاهله (مساعدة) - "Hepatitis B". Emergencies preparedness, response. World Health Organization. مؤرشف من الأصل في 12 يوليو 2020. اطلع عليه بتاريخ 29 أبريل 2016. الوسيط
|CitationClass=تم تجاهله (مساعدة) - Abdel-Fattah, Sherif A.; Bhat, Abha; Illanes, Sebastian; et al. (November 2005). "TORCH test for fetal medicine indications: only CMV is necessary in the United Kingdom". Prenatal Diagnosis. 25 (11): 1028–1031. doi:10.1002/pd.1242. ISSN 0197-3851. PMID 16231309. الوسيط
|CitationClass=تم تجاهله (مساعدة) - Li, Ding; Yang, Hao; Zhang, Wen-Hong; et al. (2006). "A Simple Parallel Analytical Method of Prenatal Screening". Gynecologic and Obstetric Investigation. 62 (4): 220–225. doi:10.1159/000094092. ISSN 1423-002X. PMID 16791006. S2CID 41493830. مؤرشف من الأصل في 22 نوفمبر 2011. الوسيط
|CitationClass=تم تجاهله (مساعدة) - Tosone, G.; Maraolo, A.E.; Mascolo, S.; et al. (2014). "Vertical hepatitis C virus transmission: Main questions and answers". World Journal of Hepatology. 6 (8): 538–548. doi:10.4254/wjh.v6.i8.538. PMC 4163737. PMID 25232447. الوسيط
|CitationClass=تم تجاهله (مساعدة) - Knoblauch, Hans; Tennstedt, Cornelia; Brueck, Wolfgang; Hammer, Hannes; Vulliamy, Tom; Dokal, Inderjeet; Lehmann, Rüdiger; Hanefeld, Folker; Tinschert, Sigrid (2003). "Two brothers with findings resembling congenital intrauterine infection-like syndrome (pseudo-TORCH syndrome)". American Journal of Medical Genetics. 120A (2): 261–265. doi:10.1002/ajmg.a.20138. ISSN 0148-7299. PMID 12833411. الوسيط
|CitationClass=تم تجاهله (مساعدة) - Vivarelli, Rossella; Grosso, Salvatore; Cioni, Maddalena; Galluzzi, Paolo; Monti, Lucia; Morgese, Guido; Balestri, Paolo (March 2001). "Pseudo-TORCH syndrome or Baraitser–Reardon syndrome: diagnostic criteria". Brain and Development. 23 (1): 18–23. doi:10.1016/S0387-7604(00)00188-1. ISSN 0387-7604. PMID 11226724. S2CID 21209676. الوسيط
|CitationClass=تم تجاهله (مساعدة) - Radeva-Petrova, D; Kayentao, K; ter Kuile, FO; Sinclair, D; Garner, P (10 October 2014). "Drugs for preventing malaria in pregnant women in endemic areas: any drug regimen versus placebo or no treatment". The Cochrane Database of Systematic Reviews (10): CD000169. doi:10.1002/14651858.CD000169.pub3. PMC 4498495. PMID 25300703. الوسيط
|CitationClass=تم تجاهله (مساعدة) - Syal K and Karande AA. IgG2 Subclass Isotype Antibody and Intrauterine Infections. Current Science Vol. 102, No. 11, 10 June 2012.
- بوابة طب
