فقر الدم الناجم عن عوز الحديد
فقر دم نقص الحديد هو أشهر أنواع فقر الدم. وينتج هذا النوع من فقر الدم نتيجة لنقص الحديد في الجسم حيث تكمن أهمية الحديد في إنتاج خضاب الدم (هيموغلوبين). ونتيجة لنقص الخضاب تكون كريات الدم الحمراء أصغر من الحجم الطبيعي فيما يعرف بفقر الدم صغير الكريات ويكون تركيز الخضاب أقل من التركيز الطبيعي. وبشكل عام النساء أكثر عرضة من الرجال للإصابة بفقر الدم بعوز الحديد. والجدير بالذكر أن فقر الدم بعوز الحديد -كأي من أنواع فقر الدم- لا يعتبر مرضاً بحد ذاته ولكنه قد يكون أحد علامات مرض مخفي عادةً.
| فقر الدم الناجم عن عوز الحديد | |
|---|---|
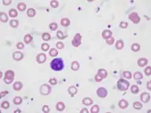
![]() كريات الدم الحمر كريات الدم الحمر | |
| معلومات عامة | |
| الاختصاص | علم الدم |
| من أنواع | فقر الدم الغذائي ، واضطراب سوء تغذية ، وعوز الحديد ، وفقر الدم الناقص الصباغ |
| الإدارة | |
| أدوية | |
يمكن الوقاية من فقر الدم الناجم عن عوز الحديد باتّباع نظام غذائي يحتوي على كميات كافية من الحديد أو مكملات الحديد[1]، فالأطعمة التي تحتوي كميات كبيرة من الحديد: اللحوم والمكسرات والسبانخ والأطعمة المصنوعة من الدقيق المعزز بالحديد[2]، وقد يشمل العلاج تغيير في النظام الغذائي ومعالجة الأسباب الأساسية مثل العلاج الطبي للطفيليات أو عمليات القرح[3]، كما يمكن التوصية بأخذ مكملات الحديد وفيتامين ج،[1] ويمكن معالجة الحالات الخطيرة خلال نقل الدم أو حقن الحديد. [3]
الأعراض والعلامات
يعاني مريض فقر الدم بعوز الحديد من الأعراض العامة المصاحبة لأي نوع من أنواع فقر الدم من مثل:
- الإرهاق والتعب العام.
- عدم القدرة على التركيز والصداع. أوضحت الدراسات أن نقص الحديد الغير مصحوب بفقر الدم يؤدى إلى ضعف الأداء المدرسي، وانخفاض معدل الذكاء في الفتيات في سن المراهقة.
- ضيق في النفس مصاحب للحركة البسيطة والإحساس بخفقان القلب.
و قد يعاني المريض بفقر الدم بعوز الحديد بشكل خاص بعدد من الأعراض والعلامات[4] من مثل:
- التهاب اللسان غير المؤلم.
- تشقق زاويتي الفم.
- تفعر الأظافر أو تسطحها وسرعة تكسرها.
- نادرا ما يكون عند المريض متلازمة الوحم وهو الإحساس باشتهاء غير مألوف كالرغبة في أكل الرمل والأوراق.
- أيضا نادرا ما يصاب المريض بعسر البلع التي يظهر بسبب مشاكل في حركة عضلات المرئ وتسمى هذه الظاهرة بمتلازمة plummer vinsom syndrome.
- وفي بعض المرضى هناك انخفاض في افرازات المعدة.
الأسباب
سبب هذا النوع من فقر الدم هو نقص الحديد اللازم لإنتاج خضاب الدم مهما كان سبب النقص. وهناك العديد من الأسباب التي قد تؤدي إلى نقص الحديد:
- نقص الحديد في النظام الغذائي المتبع.
- فقدان الدم وبشكل عام يكون في موقعين :
- مشاكل في جهاز الهضم: هناك عدة أسباب منها داء الأمعاء الالتهابي حيث يكون بسبب الجروح النازفة في القناة الهضمية أو التهاب المريء أو القرحة المعدية أو السبب الذي يخشاه الاطباء هو النزف المزمن بسبب سرطان القولون في الرجال والنساء في مرحلة ما بعد انقطاع الطمث.
- نزيف في الرحم عند النساء بسبب سرطان الرحم.
- سوء امتصاص الحديد كما يحدث في الداء البطني، انخفاض في حموضة المعدة، وجود بعض الطفيليات التي تعيق امتصاص الحديد، استئصال المعدة الجزئي
- زيادة حاجة الجسم للحديد مثل:
- زيادة استخدام الحديد كما في الحمل والإرضاع.
- عند الاطفال في طور النمو والأولاد في جيل المراهقة.
- السبب الرئيسي لفقر الدم بعوز الحديد في النساء البالغات هو الدم المفقود أثناء الحيض. في الولايات المتحدة، 20 ٪ من مجموع النساء في سن الإنجاب لديها نقص الحديد وفقر الدم، في مقابل 2 ٪ فقط من الرجال البالغين.
- العدوى ببعض أنواع الديدان كالدودة الشصية (بالإنجليزية: Hookworm).
- في جميع أنحاء العالم، السبب الأكثر شيوعا لنقص الحديد وفقر الدم هو الإصابة الطفيلية (دودة الانكليستوما، الاميبا، البلهارسيا والدودة السوطية).[5]

التشخيص
يتم تشخيص فقر الدم بعوز الحديد عن طريق:[6]
- العد الدموي الشامل:
- انخفاض عد الكريات الدم الحمراء.
- انخفاض مستوى هيموغلوبين ونسبة الهيماتوكريت.
- انخفاض في الحجم الكروي الوسطي- MCV<80fl.
- انخفاض هيموغلوبين الكرية الوسطي.
- تحاليل مخزون الحديد:
- انخفاض مستوى الحديد المصل (مستوى طبيعي: µg/dl 50-150).
- انخفاض فيريتين (مستوى طبيعي: رجال 50-150 µg/L والنساء 15-50 µg/L)
- زيادة في السعة الكلية للارتباط بالحديد وترانسفيرين.
- انخفاض في نسبة الإشباع المئوي للترانسفرين ومقدارها 33-50% تقريباً في حالة طبيعية.
- اللطاخة الدموية:
- تظهر كريات الدم الحمراء باللطاخة الدموية تحت المجهر كصغيرة الحجم ناقصة الصباغ ولذا يدعى أيضاً بفقر الدم صغير الكريات ناقص الصباغ.
- يظهر أيضا باللطاخة الدموية اختلاف في حجم الكريات الحمراء Anisocytosis وشكلها Poikilocytosis.
في حالة الظن ان المشكلة هي فقدان الدم في الجهاز الهضمي يجب اجراء اختبار وجود الدم الغير الظاهر قي البراز وتنظير داخلي لتحديد الجروح النازفة.
و لا ينتهي التشخيص هنا بل يجب البحث عن المسبب الأساسي لنقص الحديد. فيجب إجراء الفحوصات اللازمة لمعرفة سبب نقص الحديد تبعاً للشك الإكلينيكي أو عوال الاختطار الموجودة.
العلاج
يعالج هذا النوع من فقر الدم بتعويض الناقص من الحديد وذلك إما بأحد الطرق التالية:
- حبوب تحتوي على تركيز عالي للحديد تأخذ عن طريق الفم.
- حقن عضلية (وعادة يتم تجنب الحقن العضلية )إلا للحالات التالية:(( أ- عدم تحمل أو استجابة للحديد عن طريق الفم
ب- وجود نزف مزمن لا يمكن أرقاءه ج-أسباب تحول دون امتصاص الحديد عن طريق الجهاز الهضمي . د- الحالات التي تتطلب رفع مقدار الـ HB بسرعة ))
- علاجات أخرى : ( نقل الدم / زيادة كمية البروتينات بالغذاء / إعطاء كمية كبيرة من الفيتامينات )
وهناك العديد من المستحضرات التي تحوي الحديد أشهرها غلوكونات الحديد الثنائي وفومارات الحديد الثنائي وكبريتات الحديد الثنائي. يستخدم الحديد الثنائي لأن امتصاص الجسم له أسرع وأبسط من الحديد الثلاثي. وينصح المريض باتباع نظام غذائي يحتوي على كميات كبيرة من الحديد كالخضراوات الورقية واللحوم (تفضل اللحوم علي الخضراوات لاحتواء اللحوم على الحديد الثنائي) ويجب تجنب أخذ الحديد مع الحليب والشاي والأدوية التي تقلل من حموضة المعدة لقدرتهم على ترسيب الحديد. كما يجب علاج السبب الرئيسي لنقص الحديد.
تتبع العلاج
يتم إجراء عد دموي شامل لمعرفة مدى تحسن المريض مع تعويض الحديد. وفي العلاج الناجح يجب أن يرتفع تركيز الخضاب بمقدار 1مغ/دل إسبوعياً
مراجع
- "Lewthwaite, Sir David (Rainald), (26 March 1940–28 July 2004)". Who Was Who. Oxford University Press. 2007-12-01. مؤرشف من الأصل في 9 يناير 2020. الوسيط
|CitationClass=تم تجاهله (مساعدة) - Dietary Supplement Labeling Compliance Review. Oxford, UK: Blackwell Publishing Ltd. صفحات 203–203. ISBN 9780470384930. مؤرشف من الأصل في 10 ديسمبر 2019. الوسيط
|CitationClass=تم تجاهله (مساعدة) - Chung, Youn Wook; Lagranha, Claudia; Chen, Yong; Sun, Junhui; Tong, Guang; Hockman, Steven C.; Ahmad, Faiyaz; Esfahani, Shervin G.; Bae, Dahae H. (2015-04-15). "Targeted disruption of PDE3B, but not PDE3A, protects murine heart from ischemia/reperfusion injury". Proceedings of the National Academy of Sciences. 112 (17): E2253–E2262. doi:10.1073/pnas.1416230112. ISSN 0027-8424. مؤرشف من الأصل في 10 ديسمبر 2019. الوسيط
|CitationClass=تم تجاهله (مساعدة) - Essential Haematology, A.V. HOFFBR AND J.E. PETTIT, THIRD EDITION
- فقر الدم بسبب نقص الحديد : التقييم والوقاية منها، ومكافحتها : دليل لبرنامج المديرين نسخة محفوظة 06 مايو 2018 على موقع واي باك مشين.
- CURRENT Medical Diagnosis and Treatment 2011, Stephen J. McPhee, Maxine A. Papadakis, Eds.
- بوابة طب
