قائمة بالكائنات الحية حسب عدد الكروموسومات
تصف قائمة الكائنات الحية حسب عدد الكروموسوم الصيغة الصبغية أو أعداد الكروموسومات في خلايا النباتات والحيوانات والطلائعيات والكائنات الحية الأخرى المختلفة. يُعرف هذا العدد (عدد الكروموسومات في الخلية)، بالإضافة إلى المظهر البصري للكروموسوم، بالنمط النووي، [2][3][4] ويمكن العثور عليه بالنظر إلى الكروموسومات من خلال المجهر. يتم الانتباه إلى طولها، وموضع السنترومير، ونمط النطاق، وأي فروق بين الكروموسومات الجنسية وأي خصائص فيزيائية أخرى.[5] يعد إعداد ودراسة الأنماط النووية جزءاً من علم الوراثة الخلوية.
| الكائن الحي (الاسم العلمي) | عدد الكروموسومات | صورة | النمط النووي | ملاحظات | المصدر |
|---|---|---|---|---|---|
| النمل النطاط (Myrmecia pilosula) |
2/1 | ![]() | 2 بالنسبة للإناث، أما الذكور فهي أحادية الشكل وبالتالي لديها 1؛ وهو أصغر عدد ممكن من الكروموسومات. أنواع النمل الأخرى لديها المزيد من الكروموسومات.[6] | [6] | |
| ديزي الأسترالي (Brachyscome dichromosomatica) |
12 | ![]() | يمكن أن يحتوي هذا النوع على كروموسومات B أكثر من كروموسومات A في بعض الأحيان.
2n=6 |
[7] | |
| سوسيات عنكبوتية | 4–14 | ![]() | العناكب (عائلة سوسيات عنكبوتية). الذكور أحادية الصبغة، بينما الإناث ثنائية الصبغية | [8] | |
| بعوضة الحمى الصفراء (Aedes aegypti) |
6 | ![]() | ![]() |
يتم حفظ الرقم (2ن = 6) كروموسوم في جميع أفراد أسرة البعوضيات، باستثناء Chagasia bathana، التي لها (2ن = 8).[9] | [9] |
| الغزال الهندي مونتجاك (Muntiacus muntjak) |
6/7 | ![]() | ![]() |
(2ن = 6) للإناث و7 للذكور. أقل عدد كروموسومي ثنائي الصبغيات في الثدييات.[10] | [11] |
| حشيشة الغراب | 8 | ![]() | |||
| دروسفيلا (ذبابة فاكهة شائعة) |
8 | ![]() | ![]() |
6 جسمية، 2 جنسية | [12] |
| رشاد أذن الفأر | 10 | ![]() | ![]() |
||
| ولب المستنقعات (Wallabia bicolor) |
10/11 | ![]() | ![]() |
10 عند الذكور، 11 عند الإناث | [13] |
| ديدان أسطوانية (ربداء رشيقة) |
12/11 | ![]() |
12 للخنثى، 11 للذكور | ||
| سبانخ (Spinacia oleracea) |
12 | ![]() | ![]() |
[14] | |
| فول (Vicia faba) |
12 | ![]() | ![]() |
[15] | |
| ذبابة الروث الصفراء (Scathophaga stercoraria) |
12 | ![]() | ![]() |
10 جسمية و2 جنسية. الذكور لديهم كروموسومات الجنس XY والإناث لديهم كروموسومات الجنس XX. الكروموسومات الجنسية هي أكبر الكروموسومات وتشكل 30٪ من الطول الكلي للمجموعة الصبغية في الإناث وحوالي 25٪ عند الذكور.[16] | [16] |
| عفن غروي (Dictyostelium discoideum) |
12 | ![]() | [17] | ||
| خيار (Cucumis sativus) |
14 | ![]() | [18] | ||
| شيطان تسمانيا (Sarcophilus harrisii) |
14 | ![]() | ![]() |
||
| شيلم مزروع (Secale cereale) |
14 | ![]() | [19] | ||
| بازلاء (Pisum sativum) |
14 | ![]() | ![]() |
[19] | |
| شعير (Hordeum vulgare) |
14 | ![]() | ![]() |
[20] | |
| صبر حقيقي | 14 | ![]() | ![]() |
[21] | |
| كوالا (Phascolarctos cinereus) |
16 | ![]() | |||
| كنغر | 16 | ![]() | يشمل ذلك العديد من أعضاء جنس كنغر، لكن ليس الكنغرأحمر (M. rufus ، 20) | [22] | |
| بلهارسية منسونية | 16 | ![]() | ![]() |
[23] | |
| بصل ويلزي (Allium Fistulosum) |
16 | ![]() | ![]() |
[24] | |
| ثوم (Allium sativum) |
16 | ![]() | ![]() |
[24] | |
| قارمة جربية (Sarcoptes scabiei) |
17/18 | ![]() | ![]() |
وفقًا لملاحظة خلايا البويضات الجنينية، فإن عدد الكروموسوم في سوس الحكة هو 17 أو 18. في حين أن سبب تباين الأرقام غير معروف، فقد ينشأ بسبب وجود نظام لتحديد الجنس Xo، حيث الذكور (2n = 17) تفتقر إلى كروموسوم الجنس وبالتالي يكون كروموسوم واحد أقل من الإناث (2n = 18).[25] | [25] |
| فجل (Raphanus sativus) |
18 | ![]() | [19] | ||
| جزر (جزر شائع) |
18 | ![]() | ![]() |
جنس الجزر يضم حوالي 25 نوعا:
D. carota بها تسعة أزواج كروموسوم (2n = 2x = 18) كما أن D. capillifolius، وD. sahariensis وD. syrticus هم أنواع أخرى في هذا الجنس لديها 2n = 18 |
[26] |
| ملفوف (Brassica oleracea) |
18 | ![]() | ![]() |
قنبيط أخضر، كرنب، كرنب أجعد، كرنب ساقي، كرنب بروكسل، والقرنبيط كلها من نفس النواع ولها نفس عدد الكروموسومات.[19] | [19] |
| حمضيات (Citrus x) |
18 | ![]() | [27] | ||
| ماراكويا (Passiflora edulis) |
18 | [28] | |||
| ذيل الثعلب الأخضر (Setaria viridis) |
18 | ![]() | [29] | ||
| ذرة (Zea mays) |
20 | ![]() | [19] | ||
| قنب هندي (قنب مزروع) |
20 | ![]() | |||
| قيطم مداري (Xenopus tropicalis) |
20 | ![]() | ![]() |
[30] | |
| سيفالوتس (Cephalotus follicularis) |
20 | ![]() | [31] | ||
| كاكاو (Theobroma cacao) |
20 | ![]() | ![]() |
[32] | |
| أوكالبتوس (Eucalyptus) |
22 | ![]() | [33] | ||
| أبوسوم فيرجينيا (Didelphis virginiana) |
22 | ![]() | [34] | ||
| فاصولياء (.Phaseolus sp) |
22 | ![]() | ![]() |
[19] | |
| حلزون (حيوان) | 24 | ![]() | |||
| شمام (Cucumis melo) |
24 | ![]() | ![]() |
[35] | |
| أرز (Oryza sativa) |
24 | ![]() | ![]() |
[19] | |
| كستناء حلو (Castanea sativa) |
24 | ![]() | ![]() |
[36] | |
| طماطم (Solanum lycopersicum) |
24 | ![]() | ![]() |
[37] | |
| زان أوروبي (Fagus sylvatica) |
24 | ![]() | ![]() |
[38] | |
| ثلثان (Solanum dulcamara) |
24 | ![]() | [39][40] | ||
| سنديان فليني (Quercus suber) |
24 | ![]() | ![]() |
[41] | |
| ضفدع صالح الأكل (Pelophylax klepton esculentus) |
26 | ![]() | ![]() |
ضفدع صالح الأكل هو الهجين الخصب لضفدع البركة وضفدع الماء الأخضر. | [42] |
| عفريت الماء (Ambystoma mexicanum) |
28 | ![]() | ![]() |
[43] | |
| بق الفراش (Cimex lectularius) |
29–47 | ![]() | 26 اوتوسومز وعدد متفاوت من الكروموسومات الجنسية من ثلاثة (X1X2Y) إلى 21 (X1X2Y + 18 Xs إضافية). | [44] | |
| زرافة (Giraffa camelopardalis) |
30 | ![]() | ![]() |
[45] | |
| منك أمريكي (Neovison vison) |
30 | ![]() | |||
| فستق (Pistacia vera) |
30 | ![]() | [46] | ||
| خميرة (Saccharomyces cerivisiae) |
32 | ![]() | |||
| نحل العسل الغربي (Apis mellifera) |
32/16 | ![]() | ![]() |
32 للإناث (2n = 32) ، الذكور فردانية وبالتالي لديها 16 (1n = 16)..[47] | [47] |
| غرير أمريكي (Taxidea taxus) |
32 | ![]() | |||
| برسيم حجازي (Medicago sativa) |
32 | ![]() | ![]() |
البرسيم المزروع هو رباعي الصبغ، مع 2ن = 4x = 32.
الأقارب البرية لديهم 2 ن = 16: 165.[19]:165 |
[19] |
| ثعلب أحمر (Vulpes vulpes) |
34 | ![]() | بالإضافة إلى 3-5 ميكروسوم | [48] | |
| دوار الشمس (Helianthus annuus) |
34 | ![]() | ![]() |
[49] | |
| نيص (Erethizon dorsatum) |
34 | ![]() | [50] | ||
| خرشوف (Cynara cardunculus var. scolymus) |
34 | ![]() | ![]() |
[51] | |
| نمس أصفر (Cynictis penicillata) |
36 | ![]() | |||
| ثعلب التبت (Vulpes ferrilata) |
36 | ![]() | |||
| نجم البحر (Asteroidea) |
36 | ![]() | |||
| باندا أحمر (Ailurus fulgens) |
36 | ![]() | |||
| سرقاط (Suricata suricatta) |
36 | ![]() | |||
| بفرة (Manihot esculenta) |
36 | ![]() |
[52] | ||
| دودة الأرض (Lumbricus terrestris) |
36 | ![]() | |||
| قيطم أفريقي (Xenopus laevis) |
36 | ![]() | ![]() |
[30] | |
| نبتة الناعورة (Aldrovanda vesiculosa) |
38 | ![]() | [31] | ||
| ببر (Panthera tigris) |
38 | ![]() | ![]() |
||
| قضاعة بحرية (Enhydra lutris) |
38 | ![]() | |||
| سمور (Martes zibellina) |
38 | ||||
| راكون شائع (Procyon lotor) |
38 | ![]() | [53] | ||
| خز الصنوبر الأوروبي (Martes martes) |
38 | ![]() | |||
| خنزير (Sus) |
38 | ![]() | ![]() |
||
| قضاعة آسيوية صغيرة المخالب (Aonyx cinerea) |
38 | ![]() | |||
| أسد (Panthera leo) |
38 | ![]() | |||
| دلق | 38 | ![]() | نوع من الدلق (جنس) | ||
| منك أوروبي (Mustela lutreola) |
38 | ![]() | |||
| قوطي (حيوان)mundi | 38 | ![]() | |||
| قط (Felis silvestris catus) |
38 | ![]() | ![]() |
||
| خز الزان (Martes foina) |
38 | ![]() | |||
| خز أمريكي (Martes americana) |
38 | ![]() | |||
| فأر (Mus musculus) |
40 | ![]() | ![]() |
[54] | |
| منجا (فاكهة) (Mangifera indica) |
40 | ![]() | [19] | ||
| ضبع (Hyaenidae) |
40 | ![]() | |||
| ابن مقرض (Mustela putorius furo) |
40 | ![]() | |||
| ابن عرس أوروبي (Mustela putorius) |
40 | ![]() | |||
| قندس (American) (Castor canadensis) |
40 | ![]() | |||
| فول سوداني (Arachis hypogaea) |
40 | ![]() | ![]() |
[55] | |
| شره (Gulo gulo) |
42 | ![]() | |||
| قمح (Triticum aestivum) |
42 | ![]() | ![]() |
[19] | |
| مكاك ريسوسي (Macaca mulatta) |
42 | ![]() | ![]() |
[56] | |
| جرذ (Rattus norvegicus) |
42 | ![]() | ![]() |
[57] | |
| شوفان (Avena sativa) |
42 | ![]() | ![]() |
سداسي الصبغة (2ن = 6x = 42). توجد أيضاً أنواع مزروعة ثنائية الصبغة ورباعي الصبغة .[19] | [19] |
| باندا عملاقة (Ailuropoda melanoleuca) |
42 | ![]() | |||
| فوسا (حيوان) (Cryptoprocta ferox) |
42 | ![]() | |||
| أرنب أوروبي (Oryctolagus cuniculus) |
44 | ![]() | ![]() |
||
| غرير أوروبي (Meles meles) |
44 | ![]() | |||
| هلام البحر العادي (Aurelia aurita) |
44 | ![]() | [58] | ||
| دلفين (Delphinidae Delphi) |
44 | ![]() | |||
| بن عربي (Coffea arabica) |
44 | ![]() | ![]() |
من بين الأنواع 103 الموجودة في جنس بن، تعتبر قهوة أرابيكا هي النوع رباعي الصبغ الوحيد (2ن = 4x = 44) ، أما الأنواع المتبقية فهي ثنائية الصبغيات مع 2ن = 2x = 22.[59] | |
| ظبي سابل (Hippotragus niger) |
46 | ![]() | |||
| غُزلان ريفيز مونتجاك (Muntiacus reevesi) |
46 | ![]() | |||
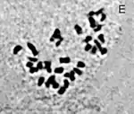
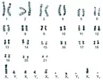
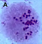
| إنسان (Homo sapiens) |
46 | ![]() | ![]() |
44 صبغي جسمي. and 2 صبغي جنسي (sex) | [60] |
| جاموس الماء (river type) (Bubalus bubalis) |
48 | ||||
| تبغ شائع (Nicotiana tabacum) |
48 | ![]() | ![]() |
[61] | |
| بطاطس (Solanum tuberosum) |
48 | ![]() | ![]() |
هذا هو للبطاطا Solanum tuberosum الشائعة (رباعية الصبغة، 2n = 4x = 48). أنواع البطاطا المزروعة الأخرى قد تكون ثنائية الصبغة (2n = 2x = 24) ، أو ثلاثية الصبغة (2n = 3x = 36) ، أو رباعي الصيغة الصبغية (2n = 4x = 48) ، أو خماسي الصيغة الصبغية (2n = 5x = 60). معظم الأقارب البرية 2n = 24. | [62] |
| إنسان الغاب (Pongo) |
48 | ![]() | ![]() |
||
| قواع (Lepus) |
48 | ![]() | [63][64] | ||
| غوريلا (Gorilla) |
48 | ![]() | |||
| فأر غزلاني (Peromyscus maniculatus) |
48 | ![]() | |||
| شيمبانزي شائع (Pan troglodytes) |
48 | ![]() | ![]() |
[65] | |
| قندس (Eurasian) (Castor fiber) |
48 | ![]() | |||
| دانيو مخطط (Danio rerio) |
50 | ![]() |
[66] | ||
| جاموس الماء (swamp type) (Bubalus bubalis) |
50 | ![]() | ![]() |
||
| ظربان مخطط (Mephitis mephitis) |
50 | ![]() | |||
| أناناس (أناناس) |
50 | ![]() | [19] | ||
| ثعلب قزم (Vulpes macrotis) |
50 | ![]() | |||
| دب أبو نظارة (Tremarctos ornatus) |
52 | ![]() | |||
| خلد الماء (Ornithorhynchus anatinus) |
52 | ![]() | ![]() |
عشرة كروموسومات جنسية. الذكور لديهم: X1Y1X2Y2X3Y3X4Y4X5Y5 والإناث لديها: X1X1X2X2X3X3X4X4X5X5. | [68] |
| قطن (Gossypium hirsutum) |
52 | ![]() | ![]() |
هذا للأنواع المزروعة G. hirsutum (تعدد الصيغ الصبغية، 2n = 4x = 52). هذه الأنواع تمثل 90 ٪ من إنتاج القطن في العالم. من بين 50 نوعًا من جنس جوسيبيوم، هناك 45 نوعًا ثنائي الصبغية (2n = 2x = 26) و5 أنواع allotetraploid (2n = 4x = 52). | [69] |
| خروف (Ovis orientalis aries) |
54 | ![]() | ![]() |
||
| وبريات (Hyracoidea) |
54 | ![]() | ![]() |
تعتبر الهيركسات أقرب الأقارب الأحياء للفيلة، [70] ولكن تم العثور على خيلانيات على صلة أوثق بالأفيال. | [71] |
| كلب الراكون (Nyctereutes procyonoides procyonoides) |
54 | ![]() | ![]() |
هذا الرقم مخصص لكلاب الراكون الصينية.[72][73] | [72] |
| كبوشاوات (Cebus x) |
54 | ![]() | [74] | ||
| دودة القز (Bombyx mori) |
56 | ![]() | ![]() |
هذا بالنسبة لأنواع دودة القز التوتية، دودة القز (2n = 56).[75] ربما أكثر من 99 ٪ من الحرير التجاري في العالم اليوم يأتي من هذا النوع. انواع العث الأخرى المنتجة للحرير، والتي تسمى دودة القز غير التوتية، لها أرقام كروموسوم مختلفة .[76] | [77] |
| فراولة (شليك) |
56 | ![]() | ![]() |
[78] | |
| غور (حيوان) (Bos gaurus) |
56 | ![]() | |||
| فيل (Elephantidae) |
56 | ![]() | |||
| ماموث صوفي (Mammuthus primigenius) |
58 | ![]() | مُنقَرِض؛ الأنسجة من الجثة المجمدة | ||
| قطاس أليف (Bos mutus) |
60 | ![]() | |||
| ماعز (Capra aegagrus hircus) |
60 | ![]() | ![]() |
||
| بقرة (Bos primigenius) |
60 | ![]() | ![]() |
||
| بيسون أمريكي (Bison bison) |
60 | ![]() | |||
| ثعلب البنغال (Vulpes bengalensis) |
60 | ![]() | |||
| Gypsy moth (Lymantria dispar dispar) |
62 | ![]() | |||
| حمار (Equus africanus asinus) |
62 | ![]() | |||
| مكاو قرمزي (مكاو قرمزي) |
62–64 | ![]() | ![]() |
[79] | |
| بغل | 63 | ![]() | semi-infertile (odd number of chromosomes – between donkey (62) and horse (64) makes انقسام منصف much more difficult) | ||
| كابياء خنزيرية (Cavia porcellus) |
64 | ![]() | ![]() |
||
| ظربان مرقط (Spilogale x) |
64 | ![]() | |||
| خيل (Equus ferus caballus) |
64 | ![]() | ![]() |
||
| فنك (Vulpes zerda) |
64 | ![]() | [48] | ||
| آكل النمل الشوكي | 63/64 | ![]() | 63 (X1Y1X2Y2X3Y3X4Y4X5, male) and 64 (X1X1X2X2X3X3X4X4X5X5, female)[80] | ||
| شنشيلة (Chinchilla lanigera) |
64 | ![]() | [50] | ||
| مدرع ثماني الحزم (Dasypus novemcinctus) |
64 | ![]() | ![]() |
[81] | |
| ثعلب رمادي (Urocyon cinereoargenteus) |
66 | ![]() | [48] | ||
| أيل أحمر (Cervus elaphus) |
68 | ![]() | |||
| الإلكة (Wapiti) (Cervus canadensis) |
68 | ![]() | |||
| صقر رودسايد (Rupornis magnirostris) |
68 | ![]() | [82] | ||
| أيل أبيض الذيل (Odocoileus virginianus) |
70 | ![]() | |||
| عنب الثعلب الأسود (مغد أسود) |
72 | ![]() | [83] | ||
| ثعلب خفاشي الأذنين (Otocyon megalotis) |
72 | ![]() | [48] | ||
| دب الشمس (Helarctos malayanus) |
74 | ![]() | |||
| الدب الكسلان (Melursus ursinus) |
74 | ![]() | |||
| دب قطبي (Ursus maritimus) |
74 | ![]() | |||
| دب بني (Ursus arctos) |
74 | ![]() | |||
| دب أسود آسيوي (Ursus thibetanus) |
74 | ![]() | |||
| دب أسود أمريكي (Ursus americanus) |
74 | ![]() | |||
| ذئب ذو العرف (Chrysocyon brachyurus) |
76 | ![]() | |||
| ذئب رمادي (Canis lupus) |
78 | ![]() | |||
| ابن آوى الذهبي (Canis aureus) |
78 | ![]() | [48] | ||
| حمامة "بالإنجليزية: Dove" (Columbidae) |
78 | ![]() | Based on African collared dove | [84] | |
| كلب (Canis lupus familiaris) |
78 | ![]() | ![]() |
Normal dog karyotype is composed of 38 pairs of قطعة مركزية صبغي جسميs and two قطعة مركزية صبغي جنسيs.[85][86] | [87] |
| كلب أسترالي (Canis lupus dingo) |
78 | ![]() | [48] | ||
| كلب الدول (Cuon alpinus) |
78 | ![]() | |||
| قيوط (Canis latrans) |
78 | ![]() | [48] | ||
| دجاج (Gallus gallus domesticus) |
78 | ![]() | |||
| كلب بري إفريقي (Lycaon pictus) |
78 | ![]() | [48] | ||
| نابنط (Nepenthes rafflesiana) |
78 | ![]() | [31] | ||
| دجاج رومي (Meleagris) |
80 | ![]() | [88] | ||
| قصب السكر (قصب السكر المخزني) |
80 | ![]() | ![]() |
هذا العدد لقصب السكر المخزني.[89] حوالي 70٪ من سكر العالم يأتي من هذا النوع.[90] الأنواع الأخرى في جنس قصب السكر، والمعروفة باسم قصب السكر، لها أعداد كروموسوم في النطاق 2n = 40-128.[91] | [89] |
| Pigeon (حماميات) |
80 | ![]() | [92] | ||
| القرش الابيض الكبير (Carcharodon carcharias) |
82 | ![]() | [93] | ||
| قنفذ من جنسErinaceus (قنفذ الغابات) | 88 | ![]() | |||
| قنفذ من جنس Atelerix (قنفذ أفريفي) | 90 | ![]() | |||
| سرخس العنب (Sceptridium) |
90 | ![]() | |||
| فأر السلطعون بيتير (Ichthyomys pittieri) |
92 | كان يُعتقد سابقًا أنه أعلى رقم في الثدييات، مرتبطًا بأنسوم Anotomys. | [94] | ||
| جمبري (ذلاف semisulcatus) |
86–92 | ![]() | [95] | ||
| الفئران المائية (Anotomys leander) |
92 | كان يُعتقد سابقًا أنه أعلى رقم في الثدييات، وهو مرتبط بـ Ichthyomys pittieri. | [94] | ||
| Kamraj (fern) (Helminthostachys zeylanica) |
94 | ![]() | |||
| سمك الشبوط (الشبوط) |
100 | ![]() | ![]() |
[96] | |
| الجرذ اللزج الأحمر (Tympanoctomys barrerae) |
102 | ![]() | ![]() |
أكبر عدد معروف في الثدييات، يُعتقد أنه رباعي الصبغيات أو allotetraploid.[97] | [98] |
| قرموط الكلاريس (Clarias batrachus) |
104 | ![]() | ![]() |
[99] | |
| السمكة ذات المجداف (Polyodon spathula) |
120 | ![]() | [100] | ||
| جلكيات مألوفة (Petromyzontinae) |
174 | ![]() | [101] | ||
| أفعى جرسية (أفعى مجلجلة) |
184 | ![]() | [102] | ||
| سلطعون الملك الأحمر (Paralithodes camtschaticus) |
208 | ![]() | |||
كنباث الحقول |
216 | ![]() | |||
| توت أسود | 308 | ![]() | 44-ploid | [103] | |
| أطلس أزرق (Polyommatus atlantica) |
448-452 | ![]() | ![]() |
2n = حوالي 448–452. Highest number of chromosomes in the non-تعدد الصيغ الصبغية حقيقيات النوى organisms.[104] | [104] |
| أفعى اللسان (Ophioglossum) |
1260 | ![]() | [105] | ||
| البروتوزوا الهدبي (Tetrahymena thermophila) |
10 (in micronucleus) | ![]() | 50x = 12,500 (in macronucleus, except minichromosomes) 10,000x = 10,000 (macronuclear minichromosomes)[107] |
||
| هدبيات (Oxytricha trifallax) |
15600 | ![]() | النواة الصبغية النانوية ؛ ampliploid. كروموسومات MAC × 1900 مستوى الصيغة الصبغية = 2.964 × 107 كروموسومات | [108][109][110] |

نمط نووي لإنسان، يبين 22 زوج من الكروموسومات الجسمية وكلاً من XX للأنثى، وXY للذكر، تمثل الاحتمالات بالنسبة لزوج الكروموسومات الجنسية

يترك انصهار الكروموسومات السلفية بقايا مميزة من التيلوميرات، وبقايا السنترومير. نظرًا لأن القردة العليا الأخرى غير البشرية تحتوي على 48 كروموسوم، يُعتقد أن الكروموسوم البشري 2 هو النتيجة النهائية لدمج كروموسومين اثنين.[1]
المراجع
- Avarello; et al. (1992). "Evidence for an ancestral alphoid domain on the long arm of human chromosome 2". Human Genetics. 89 (2): 247–9. doi:10.1007/BF00217134. PMID 1587535. الوسيط
|CitationClass=تم تجاهله (مساعدة) - Concise Oxford Dictionary
- White 1973
- Stebbins, G.L. (1950). "Chapter XII: The Karyotype". Variation and evolution in plants. Columbia University Press. الوسيط
|CitationClass=تم تجاهله (مساعدة)CS1 maint: ref=harv (link) - King, R.C.; Stansfield, W.D.; Mulligan, P.K. (2006). A dictionary of genetics (الطبعة 7th). Oxford University Press. صفحة 242. الوسيط
|CitationClass=تم تجاهله (مساعدة)CS1 maint: ref=harv (link) - Crosland, M.W.J., Crozier, R.H. (1986). "Myrmecia pilosula, an ant with only one pair of chromosomes". Science. 231 (4743): 1278. Bibcode:1986Sci...231.1278C. doi:10.1126/science.231.4743.1278. PMID 17839565. الوسيط
|CitationClass=تم تجاهله (مساعدة)صيانة CS1: أسماء متعددة: قائمة المؤلفون (link) - Leach; et al. (1995). "Organisation and origin of a B chromosome centromeric sequence from Brachycome dichromosomatica". Chromosoma. 103 (10): 708–714. doi:10.1007/BF00344232. PMID 7664618. الوسيط
|CitationClass=تم تجاهله (مساعدة) - Helle, W.; Bolland, H. R.; Gutierrez, J. (1972). "Minimal chromosome number in false spider mites (Tenuipalpidae)". Experientia. 28 (6): 707. doi:10.1007/BF01944992. الوسيط
|CitationClass=تم تجاهله (مساعدة) - Francesco Giannelli; Hall, Jeffrey C.; Dunlap, Jay C.; Friedmann, Theodore (1999). Advances in Genetics, Volume 41 (Advances in Genetics). Boston: Academic Press. صفحة 2. ISBN 978-0-12-017641-0. الوسيط
|CitationClass=تم تجاهله (مساعدة) - Wang W, Lan H (2000). "Rapid and parallel chromosomal number reductions in muntjac deer inferred from mitochondrial DNA phylogeny". Mol Biol Evol. 17 (9): 1326–33. doi:10.1093/oxfordjournals.molbev.a026416. PMID 10958849. الوسيط
|CitationClass=تم تجاهله (مساعدة) - Wurster, Doris H. & Kurt Benirschke (12 June 1970). "Indian Momtjac, Muntiacus muntiak: A Deer with a Low Diploid Chromosome Number". Science. 168 (3937): 1364–1366. Bibcode:1970Sci...168.1364W. doi:10.1126/science.168.3937.1364. PMID 5444269. الوسيط
|CitationClass=تم تجاهله (مساعدة) -
"Drosophila Genome Project". المركز الوطني لمعلومات التقانة الحيوية. مؤرشف من الأصل في 9 أبريل 2010. اطلع عليه بتاريخ 14 أبريل 2009. الوسيط
|CitationClass=تم تجاهله (مساعدة) -
Toder (Jun 1997). "Comparative chromosome painting between two marsupials: origins of an XX/XY1Y2 sex chromosome system". Mammalian Genome. 8 (6): 418–22. doi:10.1007/s003359900459. PMID 9166586. الوسيط
|CitationClass=تم تجاهله (مساعدة) - Fujito S, Takahata S, Suzuki R, Hoshino Y, Ohmido N, Onodera Y (2015). "Evidence for a Common Origin of Homomorphic and Heteromorphic Sex Chromosomes in Distinct Spinacia Species". G3 (Bethesda). 5 (8): 1663–73. doi:10.1534/g3.115.018671. PMC 4528323. PMID 26048564. الوسيط
|CitationClass=تم تجاهله (مساعدة) - Patlolla AK, Berry A, May L, Tchounwou PB (2012). "Genotoxicity of silver nanoparticles in Vicia faba: a pilot study on the environmental monitoring of nanoparticles". Int J Environ Res Public Health. 9 (5): 1649–62. doi:10.3390/ijerph9051649. PMC 3386578. PMID 22754463. الوسيط
|CitationClass=تم تجاهله (مساعدة) - Sbilordo SH, Martin OY, Ward PI (2010). "The karyotype of the yellow dung fly, Scathophaga stercoraria, a model organism in studies of sexual selection". J Insect Sci. 10 (118): 1–11. doi:10.1673/031.010.11801. PMC 3016996. PMID 20874599. الوسيط
|CitationClass=تم تجاهله (مساعدة) -
"First of six chromosomes sequenced in Dictyostelium discoideum". Genome News Network. مؤرشف من الأصل في 8 سبتمبر 2017. اطلع عليه بتاريخ 29 أبريل 2009. الوسيط
|CitationClass=تم تجاهله (مساعدة) - Zhang, Y; Cheng, C; Li, J; Yang, S; Wang, Y; Li, Z; Chen, J; Lou, Q (2015). "Chromosomal structures and repetitive sequences divergence in Cucumis species revealed by comparative cytogenetic mapping". BMC Genomics. 16 (1): 730. doi:10.1186/s12864-015-1877-6. PMC 4583154. PMID 26407707. الوسيط
|CitationClass=تم تجاهله (مساعدة) - Simmonds, NW (ed.) (1976). Evolution of crop plants. New York: Longman. ISBN 978-0-582-44496-6. الوسيط
|CitationClass=تم تجاهله (مساعدة)صيانة CS1: نص إضافي: قائمة المؤلفون (link)[بحاجة لرقم الصفحة] - Schubert, V; Ruban, A; Houben, A (2016). "Chromatin Ring Formation at Plant Centromeres". Front Plant Sci. 7: 28. doi:10.3389/fpls.2016.00028. PMC 4753331. PMID 26913037. الوسيط
|CitationClass=تم تجاهله (مساعدة) - Haque SM, Ghosh B (2013). "High frequency microcloning of Aloe vera and their true-to-type conformity by molecular cytogenetic assessment of two years old field growing regenerated plants". Bot Stud. 54 (1): 46. doi:10.1186/1999-3110-54-46. PMC 5430365. PMID 28510900. الوسيط
|CitationClass=تم تجاهله (مساعدة) - Rofe, R. H. (December 1978). "G-banded chromosomes and the evolution of macropodidae". Australian Mammalogy. 2: 50–63. ISSN 0310-0049. مؤرشف من الأصل في 8 أبريل 2019. الوسيط
|CitationClass=تم تجاهله (مساعدة) - Berriman M, Haas BJ, LoVerde PT, Wilson RA, Dillon GP, Cerqueira GC, et al. (2009). "The genome of the blood fluke Schistosoma mansoni". Nature. 460 (7253): 352–8. Bibcode:2009Natur.460..352B. doi:10.1038/nature08160. PMC 2756445. PMID 19606141. الوسيط
|CitationClass=تم تجاهله (مساعدة) - Nagaki K, Yamamoto M, Yamaji N, Mukai Y, Murata M (2012). "Chromosome dynamics visualized with an anti-centromeric histone H3 antibody in Allium". PLOS ONE. 7 (12): e51315. Bibcode:2012PLoSO...751315N. doi:10.1371/journal.pone.0051315. PMC 3517398. PMID 23236469. الوسيط
|CitationClass=تم تجاهله (مساعدة) - Mounsey KE, Willis C, Burgess ST, Holt DC, McCarthy J, Fischer K (2012). "Quantitative PCR-based genome size estimation of the astigmatid mites Sarcoptes scabiei, Psoroptes ovis and Dermatophagoides pteronyssinus". Parasit Vectors. 5: 3. doi:10.1186/1756-3305-5-3. PMC 3274472. PMID 22214472. الوسيط
|CitationClass=تم تجاهله (مساعدة) - Dunemann, F; Schrader, O; Budahn, H; Houben, A (2014). "Characterization of centromeric histone H3 (CENH3) variants in cultivated and wild carrots (Daucus sp.)". PLOS ONE. 9 (6): e98504. Bibcode:2014PLoSO...998504D. doi:10.1371/journal.pone.0098504. PMC 4041860. PMID 24887084. الوسيط
|CitationClass=تم تجاهله (مساعدة) - Hynniewta, M; Malik, SK; Rao, SR (2011). "Karyological studies in ten species of Citrus(Linnaeus, 1753) (Rutaceae) of North-East India". Comp Cytogenet. 5 (4): 277–87. doi:10.3897/CompCytogen.v5i4.1796. PMC 3833788. PMID 24260635. الوسيط
|CitationClass=تم تجاهله (مساعدة) - Souza, Margarete Magalhães, Telma N. Santana Pereira, and Maria Lúcia Carneiro Vieira. "Cytogenetic studies in some species of Passiflora L.(Passifloraceae): a review emphasizing Brazilian species." Brazilian Archives of Biology and Technology 51.2 (2008): 247–258. https://dx.doi.org/10.1590/S1516-89132008000200003 نسخة محفوظة 2020-08-18 على موقع واي باك مشين.
- Nani, TF; Cenzi, G; Pereira, DL; Davide, LC; Techio, VH (2015). "Ribosomal DNA in diploid and polyploid Setaria (Poaceae) species: number and distribution". Comp Cytogenet. 9 (4): 645–60. doi:10.3897/CompCytogen.v9i4.5456. PMC 4698577. PMID 26753080. الوسيط
|CitationClass=تم تجاهله (مساعدة) - Matsuda, Y; Uno, Y; Kondo, M; Gilchrist, MJ; Zorn, AM; Rokhsar, DS; Schmid, M; Taira, M (April 2015). "A New Nomenclature of Xenopus laevis Chromosomes Based on the Phylogenetic Relationship to Silurana/Xenopus tropicalis". Cytogenetic and Genome Research. 145 (3–4): 187–191. doi:10.1159/000381292. PMID 25871511. الوسيط
|CitationClass=تم تجاهله (مساعدة) - Kondo, Katsuhiko (May 1969). "Chromosome Numbers of Carnivorous Plants". Bulletin of the Torrey Botanical Club. 96 (3): 322–328. doi:10.2307/2483737. JSTOR 2483737. الوسيط
|CitationClass=تم تجاهله (مساعدة) - da Silva, RA; Souza, G; Lemos, LS; Lopes, UV; Patrocínio, NG; Alves, RM; Marcellino, LH; Clement, D; Micheli, F; Gramacho, KP (2017). "Genome size, cytogenetic data and transferability of EST-SSRs markers in wild and cultivated species of the genus Theobroma L. (Byttnerioideae, Malvaceae)". PLOS ONE. 12 (2): e0170799. Bibcode:2017PLoSO..1270799D. doi:10.1371/journal.pone.0170799. PMC 5302445. PMID 28187131. الوسيط
|CitationClass=تم تجاهله (مساعدة) - Balasaravanan, T; Chezhian, P; Kamalakannan, R; Ghosh, M; Yasodha, R; Varghese, M; Gurumurthi, K (2005). "Determination of inter- and intra-species genetic relationships among six Eucalyptus species based on inter-simple sequence repeats (ISSR)". Tree Physiol. 25 (10): 1295–302. doi:10.1093/treephys/25.10.1295. PMID 16076778. الوسيط
|CitationClass=تم تجاهله (مساعدة) - Biggers JD, Fritz HI, Hare WC, McFeely RA (June 1965). "Chromosomes of American Marsupials". Science. 148 (3677): 1602–3. Bibcode:1965Sci...148.1602B. doi:10.1126/science.148.3677.1602. PMID 14287602. الوسيط
|CitationClass=تم تجاهله (مساعدة) - Argyris, JM; Ruiz-Herrera, A; Madriz-Masis, P; Sanseverino, W; Morata, J; Pujol, M; Ramos-Onsins, SE; Garcia-Mas, J (2015). "Use of targeted SNP selection for an improved anchoring of the melon (Cucumis melo L.) scaffold genome assembly". BMC Genomics. 16: 4. doi:10.1186/s12864-014-1196-3. PMC 4316794. PMID 25612459. الوسيط
|CitationClass=تم تجاهله (مساعدة) - Ivanova, D.; Vladimirov, V. (2007). "Chromosome numbers of some woody species from the Bulgarian flora" (PDF). Phytologia Balcanica. 13 (2): 205–207. مؤرشف من الأصل (PDF) في 3 يناير 2020. الوسيط
|CitationClass=تم تجاهله (مساعدة) - Staginnus C, Gregor W, Mette MF, Teo CH, Borroto-Fernández EG, Machado ML, et al. (2007). "Endogenous pararetroviral sequences in tomato (Solanum lycopersicum) and related species". BMC Plant Biol. 7: 24. doi:10.1186/1471-2229-7-24. PMC 1899175. PMID 17517142. الوسيط
|CitationClass=تم تجاهله (مساعدة) - Packham, John R.; Thomas, Peter A.; Atkinson, Mark D.; Degen, Thomas (2012). "Biological Flora of the British Isles:Fagus sylvatica". Journal of Ecology. 100 (6): 1557–1608. doi:10.1111/j.1365-2745.2012.02017.x. الوسيط
|CitationClass=تم تجاهله (مساعدة) - Abrams, L. (1951). Illustrated Flora of the Pacific States. Volume 3. Stanford University Press. صفحة 866. الوسيط
|CitationClass=تم تجاهله (مساعدة) - Stace, C. (1997). New Flora of the British Isles. Second Edition. Cambridge, UK. صفحة 1130. الوسيط
|CitationClass=تم تجاهله (مساعدة) - Zaldoš V, Papeš D, Brown SC, Panaus O, Šiljak-Yakovlev S (1998) Genome size and base composition of seven Quercus species: inter- and intra-population variation. Genome, 41: 162–168. نسخة محفوظة 15 نوفمبر 2018 على موقع واي باك مشين.
- Zaleśna, A.; Choleva, L.; Ogielska, M.; Rábová, M.; Marec, F.; Ráb, P. (2011). "Evidence for Integrity of Parental Genomes in the Diploid Hybridogenetic Water Frog Pelophylax esculentus by Genomic in situ Hybridization". Cytogenetic and Genome Research. 134 (3): 206–212. doi:10.1159/000327716. ISSN 1424-859X. PMID 21555873. الوسيط
|CitationClass=تم تجاهله (مساعدة) - Keinath MC, Timoshevskiy VA, Timoshevskaya NY, Tsonis PA, Voss SR, Smith JJ (2015). "Initial characterization of the large genome of the salamander Ambystoma mexicanum using shotgun and laser capture chromosome sequencing". Sci Rep. 5: 16413. Bibcode:2015NatSR...516413K. doi:10.1038/srep16413. PMC 4639759. PMID 26553646. الوسيط
|CitationClass=تم تجاهله (مساعدة) - Sadílek, D; Angus, RB; Šťáhlavský, F; Vilímová, J (2016). "Comparison of different cytogenetic methods and tissue suitability for the study of chromosomes in Cimex lectularius (Heteroptera, Cimicidae)". Comp Cytogenet. 10 (4): 731–752. doi:10.3897/CompCytogen.v10i4.10681. PMC 5240521. PMID 28123691. الوسيط
|CitationClass=تم تجاهله (مساعدة) - Huang L, Nesterenko A, Nie W, Wang J, Su W, Graphodatsky AS, et al. (2008). "Karyotype evolution of giraffes (Giraffa camelopardalis) revealed by cross-species chromosome painting with Chinese muntjac (Muntiacus reevesi) and human (Homo sapiens) paints". Cytogenet Genome Res. 122 (2): 132–8. doi:10.1159/000163090. PMID 19096208. مؤرشف من الأصل في 14 مارس 2020. الوسيط
|CitationClass=تم تجاهله (مساعدة) - Sola-Campoy, PJ; Robles, F; Schwarzacher, T; Ruiz Rejón, C; de la Herrán, R; Navajas-Pérez, R (2015). "The Molecular Cytogenetic Characterization of Pistachio (Pistacia vera L.) Suggests the Arrest of Recombination in the Largest Heteropycnotic Pair HC1". PLOS ONE. 10 (12): e0143861. Bibcode:2015PLoSO..1043861S. doi:10.1371/journal.pone.0143861. PMC 4669136. PMID 26633808. الوسيط
|CitationClass=تم تجاهله (مساعدة) - Gempe T, Hasselmann M, Schiøtt M, Hause G, Otte M, Beye M (2009). "Sex determination in honeybees: two separate mechanisms induce and maintain the female pathway". PLoS Biol. 7 (10): e1000222. doi:10.1371/journal.pbio.1000222. PMC 2758576. PMID 19841734. الوسيط
|CitationClass=تم تجاهله (مساعدة) - Sillero-Zubiri, Claudio; Hoffmann, Michael J.; Dave Mech (2004). Canids: Foxes, Wolves, Jackals and Dogs: Status Survey and Conservation Action Plan. World Conservation Union. ISBN 978-2-8317-0786-0. الوسيط
|CitationClass=تم تجاهله (مساعدة)[بحاجة لرقم الصفحة] - Feng, J; Liu, Z; Cai, X; Jan, CC (2013). "Toward a molecular cytogenetic map for cultivated sunflower (Helianthus annuus L.) by landed BAC/BIBAC clones". G3 (Bethesda). 3 (1): 31–40. doi:10.1534/g3.112.004846. PMC 3538341. PMID 23316437. الوسيط
|CitationClass=تم تجاهله (مساعدة) - "Metapress – Discover More". 24 June 2016. مؤرشف من الأصل في 26 يوليو 2019. الوسيط
|CitationClass=تم تجاهله (مساعدة) - Giorgi, D; Pandozy, G; Farina, A; Grosso, V; Lucretti, S; Gennaro, A; Crinò, P; Saccardo, F (2016). "First detailed karyo-morphological analysis and molecular cytological study of leafy cardoon and globe artichoke, two multi-use Asteraceae crops". Comp Cytogenet. 10 (3): 447–463. doi:10.3897/CompCytogen.v10i3.9469. PMC 5088355. PMID 27830052. الوسيط
|CitationClass=تم تجاهله (مساعدة) - An F, Fan J, Li J, Li QX, Li K, Zhu W, et al. (2014). "Comparison of leaf proteomes of cassava (Manihot esculenta Crantz) cultivar NZ199 diploid and autotetraploid genotypes". PLOS ONE. 9 (4): e85991. Bibcode:2014PLoSO...985991A. doi:10.1371/journal.pone.0085991. PMC 3984080. PMID 24727655. الوسيط
|CitationClass=تم تجاهله (مساعدة) - Perelman PL, Graphodatsky AS, Dragoo JW, Serdyukova NA, Stone G, Cavagna P, Menotti A, Nie W, O'Brien PC, Wang J, Burkett S, Yuki K, Roelke ME, O'Brien SJ, Yang F, Stanyon R (2008). "Chromosome painting shows that skunks (Mephitidae, Carnivora) have highly rearranged karyotypes". Chromosome Res. 16 (8): 1215–31. doi:10.1007/s10577-008-1270-2. PMID 19051045. الوسيط
|CitationClass=تم تجاهله (مساعدة) - The Jackson Laboratory نسخة محفوظة 2013-01-25 على موقع واي باك مشين.: "Mice with chromosomal aberrations".
- Milla SR, Isleib TG, Stalker HT (2005). "Taxonomic relationships among Arachis sect. Arachis species as revealed by AFLP markers". Genome. 48 (1): 1–11. doi:10.1139/g04-089. PMID 15729391. الوسيط
|CitationClass=تم تجاهله (مساعدة) - Moore, CM; Dunn, BG; McMahan, CA; Lane, MA; Roth, GS; Ingram, DK; Mattison, JA (2007). "Effects of calorie restriction on chromosomal stability in rhesus monkeys (Macaca mulatta)". Age (Dordr). 29 (1): 15–28. doi:10.1007/s11357-006-9016-6. PMC 2267682. PMID 19424827. الوسيط
|CitationClass=تم تجاهله (مساعدة) - "Rnor_6.0 - Assembly - NCBI". www.ncbi.nlm.nih.gov. مؤرشف من الأصل في 9 أبريل 2019. الوسيط
|CitationClass=تم تجاهله (مساعدة) - Diupotex-Chong, Maria Esther; Ocaña-Luna, Alberto; Sánchez-Ramírez, Marina (July 2009). "Chromosome analysis of Linné, 1758 (Scyphozoa: Ulmaridae), southern Gulf of Mexico". Marine Biology Research. 5 (4): 399–403. doi:10.1080/17451000802534907. الوسيط
|CitationClass=تم تجاهله (مساعدة) - Geleta, M; Herrera, I; Monzón, A; Bryngelsson, T (2012). "Genetic diversity of arabica coffee (Coffea arabica L.) in Nicaragua as estimated by simple sequence repeat markers". ScientificWorldJournal. 2012: 939820. doi:10.1100/2012/939820. PMC 3373144. PMID 22701376. الوسيط
|CitationClass=تم تجاهله (مساعدة) - "Human Genome Project". المركز الوطني لمعلومات التقانة الحيوية. مؤرشف من الأصل في 9 أبريل 2010. اطلع عليه بتاريخ 29 أبريل 2009. الوسيط
|CitationClass=تم تجاهله (مساعدة) - Sierro N, Battey JN, Ouadi S, Bakaher N, Bovet L, Willig A, et al. (2014). "The tobacco genome sequence and its comparison with those of tomato and potato". Nat Commun. 5: 3833. Bibcode:2014NatCo...5.3833S. doi:10.1038/ncomms4833. PMC 4024737. PMID 24807620. الوسيط
|CitationClass=تم تجاهله (مساعدة) - Machida-Hirano R (2015). "Diversity of potato genetic resources". Breed Sci. 65 (1): 26–40. doi:10.1270/jsbbs.65.26. PMC 4374561. PMID 25931978. الوسيط
|CitationClass=تم تجاهله (مساعدة) - T.J. Robinson; F. Yang; W.R. Harrison (2002). "Chromosome painting refines the history of genome evolution in hares and rabbits (order Lagomorpha)". Cytogenetic and Genome Research. 96 (1–4): 223–227. doi:10.1159/000063034. PMID 12438803. الوسيط
|CitationClass=تم تجاهله (مساعدة) - "4.W4". Rabbits, Hares and Pikas. Status Survey and Conservation Action Plan. صفحات 61–94. مؤرشف من الأصل في 05 مايو 2011. الوسيط
|CitationClass=تم تجاهله (مساعدة) - Young WJ, Merz T, Ferguson-Smith MA, Johnston AW (June 1960). "Chromosome number of the chimpanzee, Pan troglodytes". Science. 131 (3414): 1672–3. Bibcode:1960Sci...131.1672Y. doi:10.1126/science.131.3414.1672. PMID 13846659. الوسيط
|CitationClass=تم تجاهله (مساعدة) - Postlethwait, John H.; Woods, Ian G.; Ngo-Hazelett, Phuong; Yan, Yi-Lin; Kelly, Peter D.; Chu, Felicia; Huang, Hui; Hill-Force, Alicia; Talbot, William S. (1 December 2000). "Zebrafish Comparative Genomics and the Origins of Vertebrate Chromosomes". Genome Research. 10 (12): 1890–1902. doi:10.1101/gr.164800. PMID 11116085. الوسيط
|CitationClass=تم تجاهله (مساعدة) - Brien, Stephen (2006). Atlas of mammalian chromosomes. Hoboken, NJ: Wiley-Liss. صفحة 2. ISBN 978-0-471-35015-6. مؤرشف من الأصل في 8 أبريل 2019. الوسيط
|CitationClass=تم تجاهله (مساعدة) - Warren; et al. (2008). "Genome analysis of the platypus reveals unique signatures of evolution". Nature. 453 (7192): 175–183. Bibcode:2008Natur.453..175W. doi:10.1038/nature06936. PMC 2803040. PMID 18464734. الوسيط
|CitationClass=تم تجاهله (مساعدة) - Chen H, Khan MK, Zhou Z, Wang X, Cai X, Ilyas MK, et al. (2015). "A high-density SSR genetic map constructed from a F2 population of Gossypium hirsutum and Gossypium darwinii". Gene. 574 (2): 273–86. doi:10.1016/j.gene.2015.08.022. PMID 26275937. مؤرشف من الأصل في 14 مارس 2020. الوسيط
|CitationClass=تم تجاهله (مساعدة) - "Hyrax: The Little Brother of the Elephant", Wildlife on One, BBC TV.
- O'Brien, Stephen J., Meninger, Joan C., Nash, William G. (2006). Atlas of Mammalian Chromosomes. John Wiley & sons. صفحة 78. ISBN 978-0-471-35015-6. الوسيط
|CitationClass=تم تجاهله (مساعدة)صيانة CS1: أسماء متعددة: قائمة المؤلفون (link) - Måkinen, Auli (1986). "A chromosome-banding study in the Finnish and the Japanese raccoon dog". Hereditas. 105 (1): 97–105. doi:10.1111/j.1601-5223.1986.tb00647.x. PMID 3793521. الوسيط
|CitationClass=تم تجاهله (مساعدة) - Elaine A. Ostrander (1 January 2012). Genetics of the Dog. CABI. صفحات 250–. ISBN 978-1-84593-941-0. مؤرشف من الأصل في 8 أبريل 2019. الوسيط
|CitationClass=تم تجاهله (مساعدة) - Barnabe, Renato Campanarut; Guimarães, Marcelo Alcindo de Barros Vaz; Oliveira, CláUdio Alvarenga de; Barnabe, Alexandre Hyppolito (2002). "Analysis of some normal parameters of the spermiogram of captive capuchin monkeys (Cebus apella Linnaeus, 1758)". Brazilian Journal of Veterinary Research and Animal Science. 39 (6). doi:10.1590/S1413-95962002000600010. الوسيط
|CitationClass=تم تجاهله (مساعدة) - Yoshido A, Yasukochi Y, Sahara K (2011). "Samia cynthia versus Bombyx mori: comparative gene mapping between a species with a low-number karyotype and the model species of Lepidoptera" (PDF). Insect Biochem Mol Biol. 41 (6): 370–7. doi:10.1016/j.ibmb.2011.02.005. hdl:2115/45607. PMID 21396446. مؤرشف من الأصل (PDF) في 8 أبريل 2019. الوسيط
|CitationClass=تم تجاهله (مساعدة) - Mahendran B, Ghosh SK, Kundu SC (2006). "Molecular phylogeny of silk-producing insects based on 16S ribosomal RNA and cytochrome oxidase subunit I genes". J Genet. 85 (1): 31–8. doi:10.1007/bf02728967. PMID 16809837. الوسيط
|CitationClass=تم تجاهله (مساعدة) - Yoshido A, Bando H, Yasukochi Y, Sahara K (2005). "The Bombyx mori karyotype and the assignment of linkage groups". Genetics. 170 (2): 675–85. doi:10.1534/genetics.104.040352. PMC 1450397. PMID 15802516. الوسيط
|CitationClass=تم تجاهله (مساعدة) - Liu, B; Davis, TM (2011). "Conservation and loss of ribosomal RNA gene sites in diploid and polyploid Fragaria (Rosaceae)". BMC Plant Biol. 11: 157. doi:10.1186/1471-2229-11-157. PMC 3261831. PMID 22074487. الوسيط
|CitationClass=تم تجاهله (مساعدة) - Seabury, CM; Dowd, SE; Seabury, PM; Raudsepp, T; Brightsmith, DJ; Liboriussen, P; Halley, Y; Fisher, CA; Owens, E; Viswanathan, G; Tizard, IR (2013). "A multi-platform draft de novo genome assembly and comparative analysis for the Scarlet Macaw (Ara macao)". PLoS ONE. 8 (5): e62415. Bibcode:2013PLoSO...862415S. doi:10.1371/journal.pone.0062415. PMC 3648530. PMID 23667475. الوسيط
|CitationClass=تم تجاهله (مساعدة) - Rens, W.; et al. (2007). "The multiple sex chromosomes of platypus and echidna are not completely identical and several share homology with the avian Z". Genome Biology. 8 (11): R243. doi:10.1186/gb-2007-8-11-r243. PMC 2258203. PMID 18021405. الوسيط
|CitationClass=تم تجاهله (مساعدة) - Svartman, M; Stone, G; Stanyon, R (2006). "The ancestral eutherian karyotype is present in Xenarthra". PLoS Genet. 2 (7): e109. doi:10.1371/journal.pgen.0020109. PMC 1513266. PMID 16848642. الوسيط
|CitationClass=تم تجاهله (مساعدة) - de Oliveira, EH; Tagliarini, MM; dos Santos, MS; O'Brien, PC; Ferguson-Smith, MA (2013). "Chromosome painting in three species of buteoninae: a cytogenetic signature reinforces the monophyly of South American species". PLOS ONE. 8 (7): e70071. Bibcode:2013PLoSO...870071D. doi:10.1371/journal.pone.0070071. PMC 3724671. PMID 23922908. الوسيط
|CitationClass=تم تجاهله (مساعدة) - Smith, Hugh (1927). "Chromosome counts in the varieties of Solanum tuberosum and allied wild species". Genetics. 12 (1): 84–92. PMC 1200928. PMID 17246516. الوسيط
|CitationClass=تم تجاهله (مساعدة) - Guttenbach M, Nanda I, Feichtinger W, Masabanda JS, Griffin DK, Schmid M (2003). "Comparative chromosome painting of chicken autosomal paints 1–9 in nine different bird species". Cytogenetic and Genome Research. 103 (1–2): 173–84. doi:10.1159/000076309. PMID 15004483. الوسيط
|CitationClass=تم تجاهله (مساعدة) - https://web.archive.org/web/20191115200443/https://www.ncbi.nlm.nih.gov/genome/guide/dog/. مؤرشف من الأصل في 15 نوفمبر 2019. الوسيط
|CitationClass=تم تجاهله (مساعدة); مفقود أو فارغ|title=(مساعدة) - Maeda, J; Yurkon, CR; Fujisawa, H; Kaneko, M; Genet, SC; Roybal, EJ; Rota, GW; Saffer, ER; Rose, BJ; Hanneman, WH; Thamm, DH; Kato, TA (2012). "Genomic instability and telomere fusion of canine osteosarcoma cells". PLOS ONE. 7 (8): e43355. Bibcode:2012PLoSO...743355M. doi:10.1371/journal.pone.0043355. PMC 3420908. PMID 22916246. الوسيط
|CitationClass=تم تجاهله (مساعدة) - Lindblad-Toh K, Wade CM, Mikkelsen TS, et al. (December 2005). "Genome sequence, comparative analysis and haplotype structure of the domestic dog". Nature. 438 (7069): 803–19. Bibcode:2005Natur.438..803L. doi:10.1038/nature04338. PMID 16341006. الوسيط
|CitationClass=تم تجاهله (مساعدة) - Muhammad L Aslam; John WM Bastiaansen; Richard PMA Crooijmans; Addie Vereijken; Hendrik-Jan Megens; Martien AM Groenen (2010). "A SNP based linkage map of the turkey genome reveals multiple intrachromosomal rearrangements between the Turkey and Chicken genomes" (PDF). BMC Genomics. 11: 647. doi:10.1186/1471-2164-11-647. PMC 3091770. PMID 21092123. مؤرشف من الأصل (PDF) في 24 سبتمبر 2015. الوسيط
|CitationClass=تم تجاهله (مساعدة) - Wang J, Roe B, Macmil S, Yu Q, Murray JE, Tang H, et al. (2010). "Microcollinearity between autopolyploid sugarcane and diploid sorghum genomes". BMC Genomics. 11: 261. doi:10.1186/1471-2164-11-261. PMC 2882929. PMID 20416060. الوسيط
|CitationClass=تم تجاهله (مساعدة) - "Saccharum officinarum L. | Plants of the World Online | Kew Science". مؤرشف من الأصل في 6 سبتمبر 2018. اطلع عليه بتاريخ 02 يوليو 2017. الوسيط
|CitationClass=تم تجاهله (مساعدة) - Robert J. Henry; Chittaranjan Kole (15 August 2010). Genetics, Genomics and Breeding of Sugarcane. CRC Press. صفحة 70. ISBN 978-1-4398-4860-9. مؤرشف من الأصل في 8 أبريل 2019. الوسيط
|CitationClass=تم تجاهله (مساعدة) - Susumu Ohno; Christina Stenius; L. C. Christian; Willy Beçak; Maria Luiza Beçak (1964). "Chromosomal uniformity in the avian subclass Carinatae". Chromosoma. 14 (3): 280–288. doi:10.1007/BF00321513. الوسيط
|CitationClass=تم تجاهله (مساعدة) - Gregory, T.R. (2015). Animal Genome Size Database. http://www.genomesize.com/result_species.php?id=1701 نسخة محفوظة 2019-04-08 على موقع واي باك مشين.
- Schmid, M.; Fernández-Badillo, A.; Feichtinger, W.; Steinlein, C.; Roman, J.I. (1988). "On the highest chromosome number in mammals". Cytogenetics and Cell Genetics. 49 (4): 305–8. doi:10.1159/000132683. PMID 3073914. الوسيط
|CitationClass=تم تجاهله (مساعدة) - Hosseini SJ, Elahi E, Raie RM (2004). "The Chromosome Number of the Persian Gulf Shrimp Penaeus semisulcatus". Iranian Int. J. Sci. 5 (1): 13–23. الوسيط
|CitationClass=تم تجاهله (مساعدة) - Spoz, A; Boron, A; Porycka, K; Karolewska, M; Ito, D; Abe, S; Kirtiklis, L; Juchno, D (2014). "Molecular cytogenetic analysis of the crucian carp, Carassius carassius (Linnaeus, 1758) (Teleostei, Cyprinidae), using chromosome staining and fluorescence in situ hybridisation with rDNA probes". Comp Cytogenet. 8 (3): 233–48. doi:10.3897/CompCytogen.v8i3.7718. PMC 4205492. PMID 25349674. الوسيط
|CitationClass=تم تجاهله (مساعدة) - Gallardo, M.H.; González, CA; Cebrián, I (2006), "Molecular cytogenetics and allotetraploidy in the red vizcacha rat, Tympanoctomys barrerae (Rodentia, Octodontidae)", Genomics (نشر August 2006), 88 (2), صفحات 214–221, doi:10.1016/j.ygeno.2006.02.010, PMID 16580173 الوسيط
|CitationClass=تم تجاهله (مساعدة); الوسيط|separator=تم تجاهله (مساعدة)CS1 maint: ref=harv (link) - Contreras LC, Torres-Mura JC, Spotorno AE (1990). "The largest known chromosome number for a mammal, in a South American desert rodent". Experientia. 46 (5): 506–508. doi:10.1007/BF01954248. PMID 2347403. الوسيط
|CitationClass=تم تجاهله (مساعدة) - Maneechot, N; Yano, CF; Bertollo, LA; Getlekha, N; Molina, WF; Ditcharoen, S; Tengjaroenkul, B; Supiwong, W; Tanomtong, A; de Bello Cioffi, M (2016). "Genomic organization of repetitive DNAs highlights chromosomal evolution in the genus Clarias (Clariidae, Siluriformes)". Mol Cytogenet. 9: 4. doi:10.1186/s13039-016-0215-2. PMC 4719708. PMID 26793275. الوسيط
|CitationClass=تم تجاهله (مساعدة) - Symonová, R; Havelka, M; Amemiya, CT; Howell, WM; Kořínková, T; Flajšhans, M; Gela, D; Ráb, P (2017). "Molecular cytogenetic differentiation of paralogs of Hox paralogs in duplicated and re-diploidized genome of the North American paddlefish (Polyodon spathula)". BMC Genet. 18 (1): 19. doi:10.1186/s12863-017-0484-8. PMC 5335500. PMID 28253860. الوسيط
|CitationClass=تم تجاهله (مساعدة) - William N. Eschmeyer. "Family Petromyzontidae – Northern lampreys". مؤرشف من الأصل في 5 أكتوبر 2018. الوسيط
|CitationClass=تم تجاهله (مساعدة) - Flora of North America Editorial Committee, eds (1993). Flora of North America. Missouri Botanical Garden, St. Louis. مؤرشف من الأصل في 24 يناير 2019. الوسيط
|CitationClass=تم تجاهله (مساعدة)صيانة CS1: نص إضافي: قائمة المؤلفون (link) - Zeng, Q; Chen, H (2015). "Definition of Eight Mulberry Species in the Genus Morus by Internal Transcribed Spacer-Based Phylogeny". PLoS ONE. 10 (8): e0135411. Bibcode:2015PLoSO..1035411Z. doi:10.1371/journal.pone.0135411. PMC 4534381. PMID 26266951. الوسيط
|CitationClass=تم تجاهله (مساعدة) - Lukhtanov, VA (2015). "The blue butterfly Polyommatus (Plebicula) atlanticus (Lepidoptera, Lycaenidae) holds the record of the highest number of chromosomes in the non-polyploid eukaryotic organisms". Comp Cytogenet. 9 (4): 683–90. doi:10.3897/CompCytogen.v9i4.5760. PMC 4698580. PMID 26753083. الوسيط
|CitationClass=تم تجاهله (مساعدة) - Lukhtanov, Vladimir (2015-07-10). "The blue butterfly Polyommatus (Plebicula) atlanticus (Lepidoptera, Lycaenidae) holds the record of the highest number of chromosomes in the non-polyploid eukaryotic organisms". Comparative Cytogenetics (باللغة الإنجليزية). 9 (4): 683–690. doi:10.3897/compcytogen.v9i4.5760. PMC 4698580. PMID 26753083. الوسيط
|CitationClass=تم تجاهله (مساعدة) - Sinha, B. M. B.; Srivastava, D. P.; Jha, Jayakar (1979). "Occurrence of Various Cytotypes of Ophioglossum ReticulatumL. In a Population from N. E. India". Caryologia. 32 (2): 135–146. doi:10.1080/00087114.1979.10796781. الوسيط
|CitationClass=تم تجاهله (مساعدة) - Mochizuki, K (2010). "DNA rearrangements directed by non-coding RNAs in ciliates". Wiley Interdiscip Rev RNA. 1 (3): 376–87. doi:10.1002/wrna.34. PMC 3746294. PMID 21956937. الوسيط
|CitationClass=تم تجاهله (مساعدة) - Kumar, Sushil; Kumarik Renu (June 2015). "Origin, structure and function of millions of chromosomes present in the macronucleus of unicellular eukaryotic ciliate, Oxytricha trifallax: a model organism for transgenerationally programmed genome rearrangements". Journal of Genetics. 94 (2): 173. doi:10.1007/s12041-015-0504-2. مؤرشف من الأصل في 8 أبريل 2019. اطلع عليه بتاريخ 14 مارس 2017. الوسيط
|CitationClass=تم تجاهله (مساعدة) - Estienne C. Swart; John R. Bracht; Vincent Magrini; Patrick Minx; Xiao Chen; Yi Zhou; Jaspreet S. Khurana; Aaron D. Goldman; Mariusz Nowacki; Klaas Schotanus; Seolkyoung Jung; Robert S. Fulton; Amy Ly; Sean McGrath; Kevin Haub; Jessica L. Wiggins; Donna Storton; John C. Matese; Lance Parsons; Wei-Jen Chang; Michael S. Bowen; Nicholas A. Stover; Thomas A. Jones; Sean R. Eddy; Glenn A. Herrick; Thomas G. Doak; Richard K. Wilson; Elaine R. Mardis; Laura F. Landweber (2013-01-29). "The Oxytricha trifallax Macronuclear Genome: A Complex Eukaryotic Genome with 16,000 Tiny Chromosomes". PLOS Biology. 11 (1): e1001473. doi:10.1371/journal.pbio.1001473. PMC 3558436. PMID 23382650. الوسيط
|CitationClass=تم تجاهله (مساعدة) - "You Have 46 Chromosomes. This Pond Creature Has 15,600", National Geographic, . نسخة محفوظة 11 يونيو 2018 على موقع واي باك مشين.
روابط خارجية
- قائمة الصفحات باللغة الإنجليزية من موقع البيونيت الروسي
- الكلب من خلال التطور
- المخلوقات المشتركة للكروموسوم البشري 17 loci في Canids
- أطلس لأعداد الكروموسوم في الحيوانات (1951) ؛ تنزيلات PDF لكل فصل
- بيل، ج. (1982). The Masterpiece of Nature: The Evolution and Genetics of Sexuality (University of California Press، Berkeley)، p. 450 ، (جدول يحتوي على مجموعة من عدد الصبغيات الفردية للعديد من الطحالب والبروتوزوا، في العمود "HAP").
- Nuismer, S.; Otto, S.P. (2004). "Host-parasite interactions and the evolution of ploidy". Proc. Natl. Acad. Sci. USA. 101 (30): 11036–11039. Bibcode:2004PNAS..10111036N. doi:10.1073/pnas.0403151101. PMID 15252199. الوسيط
|CitationClass=تم تجاهله (مساعدة) Nuismer, S.; Otto, S.P. (2004). "Host-parasite interactions and the evolution of ploidy". Proc. Natl. Acad. Sci. USA. 101 (30): 11036–11039. Bibcode:2004PNAS..10111036N. doi:10.1073/pnas.0403151101. PMID 15252199. الوسيط|CitationClass=تم تجاهله (مساعدة) Nuismer, S.; Otto, S.P. (2004). "Host-parasite interactions and the evolution of ploidy". Proc. Natl. Acad. Sci. USA. 101 (30): 11036–11039. Bibcode:2004PNAS..10111036N. doi:10.1073/pnas.0403151101. PMID 15252199. الوسيط|CitationClass=تم تجاهله (مساعدة) Nuismer, S.; Otto, S.P. (2004). "Host-parasite interactions and the evolution of ploidy". Proc. Natl. Acad. Sci. USA. 101 (30): 11036–11039. Bibcode:2004PNAS..10111036N. doi:10.1073/pnas.0403151101. PMID 15252199. الوسيط|CitationClass=تم تجاهله (مساعدة) Nuismer, S.; Otto, S.P. (2004). "Host-parasite interactions and the evolution of ploidy". Proc. Natl. Acad. Sci. USA. 101 (30): 11036–11039. Bibcode:2004PNAS..10111036N. doi:10.1073/pnas.0403151101. PMID 15252199. الوسيط|CitationClass=تم تجاهله (مساعدة) Nuismer, S.; Otto, S.P. (2004). "Host-parasite interactions and the evolution of ploidy". Proc. Natl. Acad. Sci. USA. 101 (30): 11036–11039. Bibcode:2004PNAS..10111036N. doi:10.1073/pnas.0403151101. PMID 15252199. الوسيط|CitationClass=تم تجاهله (مساعدة) Nuismer, S.; Otto, S.P. (2004). "Host-parasite interactions and the evolution of ploidy". Proc. Natl. Acad. Sci. USA. 101 (30): 11036–11039. Bibcode:2004PNAS..10111036N. doi:10.1073/pnas.0403151101. PMID 15252199. الوسيط|CitationClass=تم تجاهله (مساعدة) Nuismer, S.; Otto, S.P. (2004). "Host-parasite interactions and the evolution of ploidy". Proc. Natl. Acad. Sci. USA. 101 (30): 11036–11039. Bibcode:2004PNAS..10111036N. doi:10.1073/pnas.0403151101. PMID 15252199. الوسيط|CitationClass=تم تجاهله (مساعدة) Nuismer, S.; Otto, S.P. (2004). "Host-parasite interactions and the evolution of ploidy". Proc. Natl. Acad. Sci. USA. 101 (30): 11036–11039. Bibcode:2004PNAS..10111036N. doi:10.1073/pnas.0403151101. PMID 15252199. الوسيط|CitationClass=تم تجاهله (مساعدة) Nuismer, S.; Otto, S.P. (2004). "Host-parasite interactions and the evolution of ploidy". Proc. Natl. Acad. Sci. USA. 101 (30): 11036–11039. Bibcode:2004PNAS..10111036N. doi:10.1073/pnas.0403151101. PMID 15252199. الوسيط|CitationClass=تم تجاهله (مساعدة) (دعم مجموعة البيانات، مع معلومات عن مستوى ploidy وعدد كروموسومات العديد من المحتجين)
- بوابة علم الأحياء الخلوي والجزيئي
This article is issued from Wikipedia. The text is licensed under Creative Commons - Attribution - Sharealike. Additional terms may apply for the media files.




_chromosomes.png.webp)

.png.webp)

.jpg.webp)


.png.webp)

.png.webp)


.png.webp)

.png.webp)

.png.webp)



.png.webp)


.png.webp)

.png.webp)







_chromosomes.png.webp)

.png.webp)

_cell_-_17_chromosomes.png.webp)
.jpg.webp)

.png.webp)

.png.webp)

_P.Beauv.P9130041.JPG.webp)
.JPG.webp)


_tropicalis).png.webp)






.png.webp)


.png.webp)

.png.webp)

.png.webp)

.png.webp)

.png.webp)


.png.webp)

.png.webp)

.png.webp)


.png.webp)




.png.webp)


.png.webp)


.png.webp)








.png.webp)


.png.webp)




.jpg.webp)

.jpg.webp)







.png.webp)









.jpg.webp)
.png.webp)

_at_Alnarp_1.jpg.webp)
.png.webp)

.png.webp)



.png.webp)



.png.webp)





_adult_male.jpg.webp)



_in_a_field_in_Intercourse%252C_Pennsylvania..jpg.webp)
.png.webp)

.png.webp)

.png.webp)




.png.webp)

.png.webp)


_DSC_0030.jpg.webp)




.png.webp)

.png.webp)

.png.webp)

.png.webp)
.jpg.webp)
.png.webp)


.png.webp)

.png.webp)












_-Panama-8a.jpg.webp)
.png.webp)

.jpg.webp)
.png.webp)


.png.webp)









_grazing_-_20050809.jpg.webp)

.jpg.webp)



_running.jpg.webp)







.png.webp)




.jpg.webp)



.png.webp)


.jpg.webp)





.png.webp)

.jpg.webp)

.png.webp)







.png.webp)


