كسر القضيب
كسر القضيب (بالإنجليزية: Penile fracture) هو تَمَزُّق في واحدةٍ من الغلالات البيضاء أَو كِليهِمَا، الأغطية الليفية التي تُغَلف الجِسم الكهفي للقضيب. يَحدُثُ عِند مُمارَسة ضَغَط قَوِي بشَكل غَير عَادِي عَلى القَضِيب الْمُنْتَصِب، عَادَةً أَثناءَ الجماع المهبلي، أَو أَثناءَ الاستمناء أو ما يُعْرَف بالعادة السرية.[1] في بَعضِ الأحيان يَتَضَمن أيضًا تَمَزُّق جُزئِي أَو كَامِل للإحليل أَو إصابة الأَعصَاب الظهرانية، الأوردة وَالشَّرَايِين.[2] ومِن المُهِمِّ التَّعامُل معها على أنها حَالَة طِبية طَارِئَة.
| كسر القضيب | |
|---|---|
![]() كسر القضيب | |
| معلومات عامة | |
| الاختصاص | جراحة المسالك البولية |
| الأسباب | |
| الأسباب | رَضْح حاد لقضيب منتصب |
| عوامل الخطر | الجماع والعادة السرية |
| المظهر السريري | |
| الأعراض | ألم وتورم في القضيب، وفقدان الانتصاب السريع، وتغير لون جذع القضيب |
| المضاعفات | الغرغرينا، ضعف الانتصاب، مرض بيروني |
| الإدارة | |
| التشخيص | تعتمد على الأعراض، الموجات فوق الصوتية |
| العلاج | جراحة الطوارئ |
| حالات مشابهة | انفتال الخصية |
| الوبائيات | |
| أعباء المرض | حوالي 10-50% من الناس يصابون بضعف الانتصاب أو مرض بيروني |
| انتشار المرض | 1 لكل 175000 رجل في السنة |
العلامات والأعراض
عادةً ما يرتبط بصَوت طَقْطَقَة أَو كسر، انتفاخ في القضيب ويتغير لونه إلى الأرجواني بحيث يشبه الباذنجان إلى حد ما، ألم شديد، تَوَرم، صُعُوبَة شديدة في التبول، فُقدَان فَورِي للانتصاب مما يؤدي إلى الارتخاء (تدلي القضيب)، وَوَرم دَمَوِيّ جلدي بأحجام مُختَلفة.[1][3]
الأَسْباب

يُعتَبَر كسر القَضِيب حالة سريرية غير شائعة نسبيًا.[4] الجِماع المهبلي وَالعادة السرية هُمَا أَكثَر الأَسبَاب شيوعًا.[1] أَظهَرَت دِرَاسَة أُجْرِيَت عام 2014 لسجلات الحَوادث والطوارئ في ثَلاثةِ مستشفيات فِي كامبيناس، البرازيل، أَن وَضعِيَّة المَرأَة لِلأَعلَى تَسَبَّبَتْ في أَكبَر خَطر مع كَوْن الوَضْع التبشيري هُوَ الأكثر أمانًا. فُسِّرَت الدِّراسة على أَنه عِندَما يَكونُ الشَّرِيكُ المُتَلَقِّي في القمة، فإِنَّه عَادة ما يَتحكم في الحركة وَلَا يُمكِنُهُ مقاطعِة الحَرَكَة عندما يُعَانِي القَضِيب من مُحاذاةٍ غير صحيحة. على العكس مِن ذلك، عِندَمَا يتحكَّم الشَّرِيك المخترق فِي الحَرَكَة، يَكُون لديهم فُرَصة أَكبر لِلتَّوَقف استجابةً لِلأَلم النَّاتِج عَن المُحَاذَاةِ غير الصحيحة، مِمَّا يُقلِّل من الضرر.
مُمَارَسة التقندان (طق القضيب) وهي ممارسة ثقافية يُثنى فيها قمة القضيب المنتصب بقوة لتهدئة الانتصاب. تُعَرض الرِّجَال لِخَطَر الإِصَابَة بكسر القَضِيب. تقندان، مُشتَقَّة مِنْ كَلمة كردية تَعنِي "نقر"، تتضمَّن ثَني الْجُزء العُلْوِيّ مِن القَضِيب المُنتَصِب مَع تَثبِيت الجُزء السُّفلي مِن القَضِيب في مَكَانِه، حَتى يَسمَع نَقرَة وَيَشعر بِهَا. يُقَال إنَّ التقندان غَير مُؤلِم وَقَد قُورِنَّ بطقطقة مَفَاصِلِ الأَصَابِع، لَكِن مُمَارَسَة التقندان أَدَّت إلى زِيَادَةِ انتِشَار كسور القضِيب في غَرب إِيران.[5] التقندان قَد تُجْرَى لِتَحقِيق الِانتِفاخ،[6] وهُي حَالَة يَكُون فِيهَا النسيج مُتَوَرِّم أَو مُنتَفِخ وهو عَلامَة عَلَى الإِثَارَة الجِنسِيَّة.
وَهُنَاك العَديد مِنَ العَوامِل التي يُمكِنُهَا أَنْ تُسبب الإصابَة بكسر القَضِيب وَمِن بينها: التعرض لحوادث السيارَات، الإِصَابَة بالحروق البَالِغَة، وَالتعَرض لإطْلاَقِ الرَّصَاص في منطقة الحَوض.
التشخيص
دِراسات التَّصْوِير
الفَحْص بالموجات فَوق الصَّوتِيَّة قادِر عَلَى تَصوِير تَمَزُّق الغلالة البَيضَاء فِي مُعظَمِ الحَالَات (كانقطاع ناقِص الصدَى فِي الغلالة ذات الصدى الطبيعي). في دِرَاسة أُجرِيَت على 25 مريضًا. اسْتُنْتِج أَن المَوجَات فَوق الصَّوتِيَّة غير قَادِرَة عَلَى العُثور على التمزق عندما يكُون مَوجُودَ في قاعِدَةِ القَضِيب. في دراستهم، باستخدام التَّصوِير بِالرنِين المَغْناطِيسِي (MRI) شُخِصت جَمِيع التمزقات بدقة (على أنه انْقِطَاع في الغلالة ذات الاِشارة المنخفضة عادةً في كُل مِن التسلسل الموزون T1 وT2) استنتجوا أَن المَوجَات فَوق الصوتية يَجِب اعْتِبَارُهَا طَرِيقَة التَّصْوِير الْأَولِيَّة، وَيُمكِن أَن يَكُون التَّصْوِير بِالرَّنِين المَغْناطِيسِي مفيدًا في الحَالَاتِ التي لَا تُصوِّر فِيهَا الْمَوجَات فَوق الصَّوْتِيَّة أَي تَمَزق وَلَكِن الشكُوك السريرية للكسر لَا تَزَالُ مُرتَفِعَة. في نَفْسِ الدِّرَاسَة، قَام المُؤَلفون بِالتَّحْقِيق في دقة الْمَوْجَات فَوق الصَّوْتِيَّة وَالتَّصوِير بِالرَّنِين المَغْناطِيسِي لِتَحدِيد مَوْقِع التمزق من أَجلِ إجرَاء إصلَاح جِرَاحِي مُخَصِّص. كَان التَّصوِير بِالرَّنِين المَغْناطِيسِي أَكثر دقة مِن المَوجَات فَوق الصَّوتِيَّة لِهَذَا الغَرَض، لَكِن رَسم الخَرائِط بالموجات فَوق الصَّوتِيَّة كانت مرتبطًة بِشَكل جَيِّد بِنَتَائِج الجِرَاحَة في الحالات التِي تَم فِيهَا تَصْوِير التمزق بِوُضُوح فِي فَحَص الْمَوْجَات فَوْق الصَّوْتِيَّة.[7] ميزة المَوْجَات فَوق الصَّوْتِيَّة في تَشخِيص كسر القَضِيب لا مَثِيلَ لَهَا عِندَما تَكُونُ غَيرَ جِرَاحِيَّة، رَخِيصَة، وطَبيعَتِهَا غَير مؤينة.[8]
رَضْحُ القضيب يُمكِن أَن يَنتج عن إصابة حادَّة، ونادرًا ما يَتِمُّ فحصه بِوَاسِطَة طُرُق التَّصوِير، وَالتي تَتَطَلَّب دائمًا استكشافًا جراحيًا فوريًا. في القَضِيب المُنتصب، ينتج الرَضْحُ عن تَمدد وَتضيق الغلالة البيضاء، وَالتي يُمكِن أن تَخضع لتمزق لِأَحَد أو كلا الجِسْمَين الكهفيين، مِمَّا يُشْكل كسرًا فِي القَضِيب.[9]
خِلال الفَحص بالموجات فَوْق الصَّوْتِيَّة، تَظهر آفَةُ الغلالة البَيْضاء على أَنها انْقِطاع في (فقدان استمرارية) خَط الصَّدى الَّذِي يُمَثلها (الشكل 4). التورمات الدَّمَوِيَّة صَغيرة، مُتَوَسطَة، أو واسعة تُحَدد مَدَى هذا الِانْقِطَاع. يُمكِن مُلاحظة التورمات الدَّمَوِيَّة داخل الكَهف، في بَعْضِ الأَحيان بِدُون وُجود كسر في الغلالة البَيضاء، عِندَما يَكون هُنَاكَ آفة في العضلاتِ المَلساء في الترابيق المُحِيطَة بالمساحات الجيبية.[9]
في 10-15% مِن إِصابات القَضِيب، يُمْكن أن يُصاحبها آفة الاحليل. عِندما يَتِم مُلاحظة الدم في صماخ الإِحْلِيل، يَكُون التقييم المعزز بالتَّبايُن للإحليل ضروريًا. في الحالات التي تَكون فيها نَتَائِج المَوجات فَوق الصَّوتِيَّة غَير حَاسِمَة، يُمكن اسْتِخْدام التَّصوير بالرَّنين المَغناطِيسِي لتسهيل التشخيص حيث يُوصِي بِه العَديد مِنَ المُؤَلفِين.[9]
الشَّكْل 4 أ: الْمَوْجَات فَوْق الصَّوْتِيَّة للقضيب، المسقط الجانبي الأَيْمَن. مَقْطَع طُولِي يُظهر تَمَزُّق الغلالة البَيضاء مع وَرَم دَمَوِيّ مُجاور يَبْلُغ 1.92 سم، بِسَبَب الرَضْح.[9]
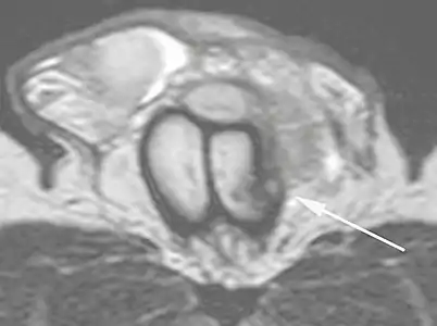
ب: فَحص التَّصْوِير بِالرَّنِين المَغناطِيسِيّ بالصدى التوربيني المحوري ذُو الوَزن المحوري T2 وَاَلَّذِي يُظهر انْقِطاع الجانب الأَيْسَر من الغلالة البَيضاء (السهم)، ثانَوي لِلْكَسْر.[9]
العِلاج
كسر القَضِيب هُوَ حالة طِبيَّة طارئة، والإِصلاح الجراحِي الطَّارِئ هُو العِلَاج المُعتاد. يَزيد التَّأْخير في طَلَبِ العلاج مِن مُعْدل المُضاعفات. تُؤدي الأساليب غَير الجِرَاحيَّة إلى مُعدل مُضاعفات بنِسبة 10-50% بِمَا في ذَلِكَ ضَعف الانتصاب، تَقَوس القَضِيب الدَّائِم، وَتَلف الإِحليل وَالأَلم أَثنَاء الجماع، بَينما يُعَانِي المَرضَى المُعالجون جراحيًا مِن مُعدل مُضاعفات بِنِسْبة 11%.[1][10]
في بَعْضِ الحالات، يُمْكِن إجراء مُخَطَّط الإِحْلِيل الرَّجْعِي وَهُوَ إجراء إِشْعاعِي رُوتِينِي (في الغالب عِنْدَ الذكور) يُسْتَخْدَم لِتَصوير سَلامة الإِحْلِيل.[10]
الوقاية
يَجِبُ على المريض بعد الجراحة الِامتِناعُ عن الجماع لمدة سِتة أسابيع على الأقل وإعادة تقييمه بعد ثلاثة أشهر. يمكن استخدام الأدوية مثل: البنزوديازيبينات أو مضادات الأندروجين كثنائي إيثيل ستيلبيسترول، أَثْنَاء فَتْرَة النَّقاهَة لِمَنع الِانْتِصَاب.
قَضَايا قانُونِيَّة
في الوِلاياتِ المُتَّحِدَة، قَضِيَّة (Doe v. Moe, 63 Mass. App. Ct. 516, 827 N.E.2d 240 2005)، قَضِيَّة عَنْ الإِصَابَة بكسر في القَضِيب حَدَثَ أَثْنَاء الجماع. اشْتَكَى المُدَّعِي في هَذِهِ القَضِيَّة، وَهُوَ رجل أُصيبَ بكسرٍ في القَضِيب، مِنْ أَنَّ الْمُدَّعَى عَلَيْهِ، صديقته السابِقَة، تَسَبَّبَتْ فِي إصَابَتِهِ أَثْنَاء تواجدها فوقه أَثْنَاء الجِماع. وَحَكَّمَت المَحْكَمَة لصالحها، وَقررت أَن سُلوكها لَمْ يَكُنْ طائشًا وَلَا متهورًا مِنَ النَّاحِيَةِ القانونيَّة.
المراجع
- Greenberg's Text-Atlas of Emergency Medicine. Lippincott Williams & Wilkins. 22 November 2004. صفحة 318. ISBN 978-0-7817-4586-4. مؤرشف من الأصل في 20 يوليو 2020. اطلع عليه بتاريخ 15 أكتوبر 2012. الوسيط
|CitationClass=تم تجاهله (مساعدة) - Haas CA, Brown SL, Spirnak JP (April 1999). "Penile fracture and testicular rupture". World J Urol. 17 (2): 101–6. doi:10.1007/s003450050114. PMID 10367369. الوسيط
|CitationClass=تم تجاهله (مساعدة) - Stein DM, Santucci RA (July 2015). "An update on urotrauma". Current Opinion in Urology. 25 (4): 323–30. doi:10.1097/MOU.0000000000000184. PMID 26049876. الوسيط
|CitationClass=تم تجاهله (مساعدة) - Reis, Leonardo O.; Cartapatti, Marcelo; Marmiroli, Rafael; Oliveira Júnior, Eduardo Jeronimo de; Saade, Ricardo Destro; Fregonesi, Adriano (2014). "Mechanisms Predisposing Penile Fracture and Long-Term Outcomes on Erectile and Voiding Functions". Advances in Urology. 2014: 1–4. doi:10.1155/2014/768158. PMC 4005103. PMID 24822062. الوسيط
|CitationClass=تم تجاهله (مساعدة) - Nuzzo, Regina (9 February 2009). "Preventing penile fractures and Peyronie's disease - latimes.com". Los Angeles Times. مؤرشف من الأصل في 5 مايو 2014. الوسيط
|CitationClass=تم تجاهله (مساعدة) - Zargooshi J (August 2000). "Penile fracture in Kermanshah, Iran: report of 172 cases". J. Urol. 164 (2): 364–6. doi:10.1016/s0022-5347(05)67361-2. PMID 10893586. الوسيط
|CitationClass=تم تجاهله (مساعدة) - Zare Mehrjardi, Mohammad; Darabi, Mohsen; Bagheri, Seyed Morteza; Kamali, Koosha; Bijan, Bijan (June 2017). "The role of ultrasound (US) and magnetic resonance imaging (MRI) in penile fracture mapping for modified surgical repair". International Urology and Nephrology. 49 (6): 937–945. doi:10.1007/s11255-017-1550-x. ISSN 1573-2584. PMID 28258528. الوسيط
|CitationClass=تم تجاهله (مساعدة) - Napier, Donna (2018). "The role of ultrasound in the diagnosis of penile fracture". Sonography (باللغة الإنجليزية). 0: 15–23. doi:10.1002/sono.12167. ISSN 2054-6750. الوسيط
|CitationClass=تم تجاهله (مساعدة) - Originally copied from:
Fernandes, Maitê Aline Vieira; Souza, Luis Ronan Marquez Ferreira de; Cartafina, Luciano Pousa (2018). "Ultrasound evaluation of the penis". Radiologia Brasileira. 51 (4): 257–261. doi:10.1590/0100-3984.2016.0152. ISSN 1678-7099. PMC 6124582. PMID 30202130. الوسيط|CitationClass=تم تجاهله (مساعدة)
المشاع الإبداعي license - Andrew B. Peitzman; Michael Rhodes; C. William Schwab; Donald M Yealy; Timothy C Fabian (1 September 2007). The trauma manual: trauma and acute care surgery. Lippincott Williams & Wilkins. صفحات 305–. ISBN 978-0-7817-6275-5. مؤرشف من الأصل في 1 فبراير 2020. اطلع عليه بتاريخ 18 أبريل 2010. الوسيط
|CitationClass=تم تجاهله (مساعدة)
- بوابة طب
صور وملفات صوتية من كومنز
