تتابع التصوير بالرنين المغناطيسي
تتابع التصوير بالرنين المغناطيسي هو إعداد خاص أثناء التصوير بالرنين المغناطيسي يتم فيه التحكم في تتابع النبضات وتدرج المجال النبضي، مما يؤدي إلى ظهور صورة رنينية بخصائص معينة.[1]

نظرة عامة
نظرة عامة على أشهر تتابعات الرنين المغناطيسي
| المجموعة | التتابع | الاختصار | المبدأ الفيزيائي | المميزات السريرية | أمثلة |
|---|---|---|---|---|---|
| صدي المغزل | التوقيت الرأسي | T1 | قياس الاسترخاء الطولي باستخدام وقت التكرار ووقت الصدى القصيرين. |
كما يُمثل الأساس والمقارنة للتتابعات الأخرى. |
![]() |
| التوقيت الأفقي | T2 | قياس الاسترخاء المستعرض باستخدام وقت التكرار ووقت الصدى الطويلين. |
كما يُمثل الأساس والمقارنة للتتابعات الأخرى. |
![]() | |
| كثافة البروتون | PD | وقت التكرار الطويل ووقت الصدى القصير.[4] | جرح واعتلال المفاصل.[5]
|
![]() | |
| صدى التدرج | تصوير المدوارة الحرة لحالة الاضطراد | SSFP | الحفاظ على حالة المغنطة المضطردة على مدار الدورات المتتالية.[7] | إجراء تصوير فيديو للقلب بالرنين المغناطيسي[7] | ![]() |
| التوقيت الأفقي الفعال | T2* | صدى التدرج المُركز التالي للاستثارة ذو زاوية الانقلاب الصغيرة.[8] | اشارة منخفضة لترسبات الهيموسيدرين والنزيف.[8] | ![]() | |
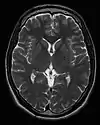
| استعادة الانعكاس | استعادة الانعكاس قصير التاو | STIR | لإيقاف إشارة الدهون بإعداد وقت الإنعكاس الذي تكون فيه إشارة الدهون تساوي صفر.[9] | إشارة عالية في الوذمة، كما هو الحال في الكسور الإجهادية [10] | ![]() |
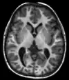
| استعادة الإنعكاس ضعيف السوائل | FLAIR | إيقاف إشارة السوائل بإعداد وقت الإنعكاس الذي يُصعف إشارتها | إشارة عالية في السكتات الدماغية الجوبية، والتصلب المتعدد، والنزيف تحت العنكبوتية، والتهاب الأغشية السحائية.[11] | ![]() | |
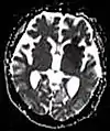
| استعادة الإنعكاس المزدوج | DIR | الإيقاف المتزامن لكل من إشارة السائل الدماغي الشوكي والمادة البيضاء.[12] | إشارة عالية في التصلب المتعدد.[12] | ![]() | |
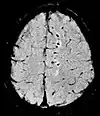
| صورة الانتشار | المعتاد | DWI | قياس الحركة البراونية لجزيئات الماء.[13] | إشارة عالية خلال دقائق من احتشاء الدماغ.[14] | ![]() |
| معامل الانتشار الظاهري | ADC | تقليل الوقت الأفقي من خلال التقاط صور انتشار معتاد بأوزان مختلفة، وأيضا من خلال التغير المقابل للانتشار.[15] | إشارة منخفضة خلال دقائق من احتشاء الدماغ.[16] | ![]() | |
| موتر الانتشار | DTI | رسم المسارات العصبية من خلال الحركة البراونية العامة لجزيئات الماء في اتجاه الألياف العصبية.[17] | ![]() | ||
| صورة التروية | صبعة ديناميكية قابلة للتمغنط | DSC | بحقن صبغة الجادولينيوم لتقوم الصور المتكررة والسريعة بتقييم فقد الإشارة المستحث بقابلية التمغنط.[19] | في احتشاء الدماغ يتُظهر منطقة وسط الاحتشاء والظل الناقص نقص بالتروية.[20] | ![]() |
| معزز بصبفة ديناميكية | DCE | قياس النقص في الاسترخاء الطولي والذي يتسبب فيه صبغة الجادولينيوم[21] | |||
| وسم المعزل الشرياني | ASL | تمييز الدم الشرياني أسفل اللوح المغناطيسي، ولا يحتاج إلى ضبغة.[22] | |||
| الرنين الوظيفي | تصوير معتمد على مستوي الأكسجين-الدم | BOLD | يعكس التغير في قابلية تمغنط الهيموجلبين المعتمدة على التشبع الأكسجين مدى نشاط الأنسجة.[23] | تحديد الأماكن عالية النشاط في الدماغ قبل الجراحات، وكذلك في الأبحاث حول الإدارك.[24] | ![]() |
| تصوير الأوعية | وقت الهروب | TOF | الدم الداخل في المنطقة التي يتم تصويرها لا يكون مشبع تماما، مما يجعله يعطي إشارة أعلى عند استخدام وقت الصدى القصير وتعويض الانسياب. | اكتشاف أم الدم والتضيق، والتسلخ[25] | ![]() |
| تصوير بالرنين المغناطيسي متباين الطور | PC-MRA | تدرجان متساويان في الشدة ومتضادات في الإتجاه يُستخدمان في ترميز تغير الطور، والذي يتناسب بتناسب مع سرعة المغزل [26] | اكتشاف أم الدم والتضيق، والتسلخ[25] | ![]() (VIPR) | |
| قابلية التمغنط | SWI | حساس تجاه الدم والكالسيوم من خلال تعويض الانسياب الكامل والصدى الطويل لاستغلال الفرق في قابلية التمغنط بين الأنسجة. | اكتشاف وجود نزيف صغير كما في الإصابات المحورية المنتشرة.[27] | ![]() | |
صدى المغزل


التوقيت الرأسي والأفقي
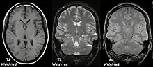
يرجع كل نسيج إلى حالته الطبيعية من التوازن بعد إثارته بعمليات الاسترخاء المستقلة لكل من التوقيت الرأسي (الاسترخاء الطولي؛ ويتمثل في المغنطة الطوليه -في نفس- لاتجاه المجال المغناطيسي الثابت)، والتوقيت الأفقي (الاسترخاء المستعرض؛ المغنطة المستعرضة لاتجاه المجال المغناطيسي الثابت). وللحصول على صورة موزونة بالتوقيت الرأسي فإنه يُسمح باستعادة المغناطيسية قبل قياس إشارة الرنين المغناطيسي عن طريق تغيير وقت التكرار، ويُعتبر هذا الوزن مفيدًا لتقييم القشرة الدماغية، وتحديد الأنسجة الدهنية، وتوصيف آفات الكبد البؤرية، أو بعبارة عامة يُعتبر هذا الوزن مفيدا عند الرغبة في الحصول على معلومات شكلية حول النسيج وكذلك عند التصوير التالي للصبغة. أما في حالة الرغبة في الحصول على صورة موزونة بالتوقيت الأفقي، فإنه يُسمح بتحلل المغنطة قبل قياس إشارة الرنين المغناطيسي عن طريق تغيير وقت الصدى، ويُعد هذا الوزن مفيدًا في الكشف عن الوذمات والالتهابات، وكشف آفات المادة البيضاء، وتقييم التشريح البؤري للبروستاتا والرحم.
يتمثل العرض القياسي لصور التصوير بالرنين المغناطيسي في تمثيل خصائص السوائل في الصور بالأبيض والأسود، حيث تظهر الأنسجة المختلفة على النحو التالي:
| الإشارة | وزن التوقيت الرأسي | وزن التوقيت الأفقي |
|---|---|---|
| عالية |
|
|
| متوسطة | المادة الرمادية أغمق من المادة البيضاء [29] | المادة البيضاء أغمق من المادة الرمادية |
| منخفضة |
|
كثافة البروتون

تُجمع الصور الموزونة بكثافة البروتون من خلال وقت التكرار الطويل ووقت الصدى القصير،[31] وهذا الوزن يُعطي تمييز أكثر وضوحًا بين المادة الرمادية (الساطعة) والمادة البيضاء (الرمادي الداكن) في صور الدماغ، ولكن مع تباين ضئيل بين الدماغ و السائل الدماغي الشوكي. ويُعتبر هذا الوزن مفيد جدًا في الكشف عن أمراض المفاصل وإصاباتها.[32]
الصدى المتدرج

يُمثل تتابع صدى التدرج أساس العديد من التتابعات المشتقة المهمة مثل التصوير المستوي بالصدى وتصوير المدوارة الحرة لحالة الاضطراد، حيث يُسمح فيه بوقت تكرار قصير جدًا، وبالتالي الحصول على صور في وقت قصير.
يتميز تتابع صدى التدرج بإستثارة واحدة متبوعة بتدرج على طول محور القراءة يسمى التدرج متغير الطور، يعدل هذا التدرج من الحركة المغزلية بطريقة معتمدة على المكان، بحيث يتم إلغاء الإشارة تمامًا في نهاية التدرج نظرا لانتهاء التماسك بين الحركات المغزلية.
وعند هذه النقطة يتم إعمال تدرج قراءة للقطبية المعاكسة، وذلك للتعويض عن تأثير تدرج التباين، وعندما تكون مساحة تدرج القراءة مساوية لتلك الخاصة بالتدرج غير المتطابق، فإن الحركة المغزلية تدخل في مرحلة جديدة متماسكة (باستثناء تأثيرات استرخاءالتوقيت الأفقي الفعال *T2)، وبالتالي يمكن اكتشاف الإشارة مرة أخرى. تأخذ هذه الإشارة اسم الصدى أو إشارة الصدى المتدرجة، لأنها تنتج من إعادة الطور بسبب التدرج (على عكس إشارة صدى الدوران التي يرجع إعادة تشكيلها إلى نبضة ترددات الراديو).
إفساد
في نهاية القراءة يمكن إبقاء المغنطة المستعرضة المتبقية، أو إنهائها من خلال تطبيق التدرجات المناسبة والإثارة من خلال نبضات ذات تردد راديوي متغير في الطور.
تصوير المدوارة الحرة لحالة الاضطراد
يُمثل تتابع تصوير المدوارة الحرة لحالة الاضطراد تقنية تصوير في الرنين المغناطيسي تَستخدم حالة الاضطراد المغناطيسي، وبشكل عام فإن هذا التتابع يعتمد تتابع صدى التدرج (بزاوية انقلاب صغيرة) مع وقت تكرار قصير.
استعادة الانعكاس
استعادة الإنعكاس ضعيف السوائل
يُمثل استعادة الإنعكاس ضعيف السوائل[34] تتابع نبضات استعادة الانعكاس، يُستخدم لإضعاف إشارة السوائل، ويُمكن استخدامه في تصوير الدماغ للإضعاف السائل الدماغي الشوكي لإخراج الآفات المحيطة بالبطينات، مثل لويحات التصلب المتعدد، كما يمكن قمع إشارة أي نسيج معين، من خلال الاختيار الدقيق لوقت الانعكاس (الوقت بين نبضات الانعكاس ونبضات الإثارة).
شدة استعادة الانعكاس التروبيني
يقيس شدة استعادة الانعكاس التوربيني حجم صدى المغزل التوربيني بعد نبضة انعكاس سابقة، وبالتالي فهو غير حساس للطور.[35]
يتفوق شدة استعادة الانعكاس التوربيني في تقييم اشتباه التهاب العظم والنقي وسرطان الرأس والعنق،.[36][37] حيث يظهر التهاب العظم والنقي كمناطق عالية الكثافة، [38] أما سرطانات الرأس والعنق فتعطي إشارة عالية.
الانتشار

تقيس صورة الانتشار في الرنين المغناطيسي انتشار جزيئات الماء في الأنسجة الحيوية،[39] ويُعد هذا النوع من التصوير مفيدًا في تشخيص حالات السكتة الدماغية والتصلب المتعدد، كما يساعد على فهم اتصال محاور المادة البيضاء في الجهاز العصبي المركزي بشكل أفضل.[40] وقد وُجد أن جزيئات الماء في الوسط المتوحد الخواص (ككوب من الماء على سبيل المثال) تتحرك بشكل عشوائي طبقا للجريان المضطرب والحركة البراونية، أما في الأنسجة البيولوجية، التي يكون فيها عدد رينولدز منخفضًا بدرجة كافية لحدوث جريان صفيحي، فإن الانتشاريكون متباين الخواص، فجزيء الماء داخل المحورالعصبي (على سبيل المثال) يضغف احتمال عبوره لغشاء المايلين، ولذلك يتحرك الجزيء بشكل أساسي على طول المحور، وبناءا على أنه من المعروف أن الجزيئات الموجودة في فوكسل معين تنتشر بشكل أساسي في اتجاه واحد، فعليه يمكن افتراض أن غالبية الألياف في هذه المنطقة موازية لهذا الاتجاه.
سمح التطور الأخير لصورة الانتشار[41] قياس الانتشار في اتجاهات متعددة ، وحساب تباين الخواص الجزئي في كل اتجاه لكل فوكسل، ما مكن الباحثين من عمل خرائط دماغية لاتجاهات الألياف بهدف فحص اتصال مناطق مختلفة في الدماغ (باستخدام رسم المسارات العصبية)، وكذلك فحص مناطق التنكس العصبي وزوال الميالين في أمراض مثل التصلب المتعدد.
كما يُعد التصوير بالرنين المعناطيسي الموزون بالانتشار أحد تطبيقات صورة الانتشار في الرنين المغناطيسي، والذي يكون شديد الحساسية للتغيرات الحادثة بعد السكتة الدماغية،[42] حيث يُنظر إلى الزيادة في حجم التقييد (الحواجز) أمام انتشار الماء ( نتيجة للوذمة الخلوية السامة) على أنها المسؤولة عن ارتفاع الإشارة أثناء التصوير، ويظهر ذلك في غضون من 5-10 دقائق من وقت ظهور أعراض السكتة الدماغية ويبقى لمدة تصل إلى أسبوعين (مقارنة بالتصوير المقطعي المحوسب والذي لا يكتشف تغيرات الاحتشاء الحاد غالبا إلا بعد مدة تصل إلى 4-6 ساعات،. وبالاقتران مع تصوير التروية الدماغية فإنه يُمكن للباحثين تسليط الضوء على مناطق "عدم تطابق التروية / الانتشار" التي قد تشير إلى المناطق التي يُمكن إنقاذها عن طريق العلاج بإعادة التروية (استئصال أو انحلال الخثار).
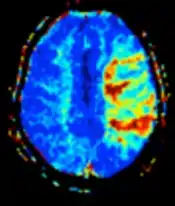
التروية

يتم إجراء التصوير الموزون بالتروية من خلال 3 تقنيات رئيسية:
- الصبعة الديناميكية القابلة للتمغنط: حيث يتم حقن صبغة الجادولينيوم، ويحدد التصوير المتكرر والسريع فقدان الإشارة الناجم عن قابلية التمغنط.[43]
- المعزز بصبفة ديناميكية: ويقيس النقص في الاسترخاء الطولي الناجم عن صبغة الجادولينيوم.[44]
- وسم المعزل الشرياني: التمميز المغناطيسي للدم الشرياني أسفل لوح التصوير، دون الحاجة إلى صبغة الجادولينيوم.[45]
تُعالج بعد ذلك البيانات الناتجة للحصول على خرائط التروية بقياسات مختلفة ، مثل حجم الدم وتدفق الدم ومتوسط وقت العبور ووقت الوصول للذروة.
تنخفض التروية في منطقة الظل الناقص أثناء احتشاء الدماغ،[20] ويقوم تتابع التصوير بالرنين المغناطيسي الموزون بالانتشاربتقدير كمية الأنسجة الميتة بالفعل، وبالتالي يمكن استخدام مزيج من هذه التتابعات لتقدير كمية أنسجة المخ التي يمكن إنقاذها عن طريق استئصال أو انحلال الخثار.
التصوير بالرنين المغناطيسي الوظيفي

يقيس التصوير بالرنين المغناطيسي الوظيفي تغيرات الإشارات في الدماغ والناتجة عن تغير النشاط العصبي، ويُستخدم هذا التصوير لفهم كيفية استجابة الأجزاء المختلفة من الدماغ للمنبهات الخارجية أو النشاط السلبي في حالة الراحة، وله العديد من التطبيقات في البحث السلوكي والمعرفي، وفي التخطيط لجراحات الأعصاب في بعض مناطق الدماغ،[46][47] ويستخدم الباحثون طرقًا إحصائية لإنشاء خريطة قياسية ثلاثية الأبعاد للدماغ تشير إلى مناطق القشرة المخية التي تُظهر تغيرًا كبيرًا في النشاط كاستجابة للمهمات المختلفة، حيث يتم مسح الدماغ بدقة مكانية منخفضة ولكن بدقة زمنية مرتفعة (عادةً مرة كل 2-3 ثوانٍ)، حيث تؤدي الزيادات في النشاط العصبي إلى تغييرات في إشارة الرنين المغناطيسي عبر التغييرات في الوقت الأفقي الفعال؛[48] ويشار إلى هذه الآلية باسم التصوير المعتمد على مستوي الأكسجين-الدم، حيث تؤدي زيادة النشاط العصبي إلى طلب المزيد من الأكسجين، وتستجيب الأوعية الدموية لهذا الأمر، مما يزيد من كمية الهيموغلوبين المؤكسج (الذي يرفع من إشارة الرنين المغناطيسي) على حساب الهيموغلوبين غير المؤكسج (الذي يخفض من إشارة الرنين المغناطيسي).، كما يسمح التصوير المعتمد على مستوي الأكسجين-الدم بتوليد خرائط ثلاثية الأبعاد عالية الدقة للأوعية الدموية الوريدية داخل الأنسجة العصبية.
تصوير الأوعية بالرنين المغناطيسي

يُشير تصوير الأوعية بالرنين المغناطيسي إلى مجموعة من التقنيات القائمة على تصوير الأوعية الدموية، ويُستخدم هذا التصوير في توليد صور للشرايين (أو الأوردة) من أجل تقييمها من حيث وجود تضيق أو انسداد أو تمدد أو أي تشوهات أخرى، وغالبًا ما يستخدم هذا التصوير لتقييم شرايين العنق والدماغ، والشريان الأورطي البطني والصدري، والشرايين الكلوية.
تباين الطور
يُستخدم التصوير بالرنين المغناطيسي متباين الطور لقياس سرعات التدفق في الجسم، وبشكل أساسي لقياس تدفق الدم في القلب وجميع أنحاء الجسم، ويُمكن اعتباره أحد طرق قياس السرعة بالرنين المغناطيسي، ويُشار إليه عادة باسم التصوير باعي الأبعاد (الأبعاد الفراغية الثلاثة بالإضافة إلى بُعد الوقت).[49]
قابلية التمغنط
تُمثل صورة الرنين المغناطيسي الموزنة بقابلية التمغنط نوع جديد من التباين في التصوير بالرنين المغناطيسي مختلف عن كثافة المغزل، والتوقيت الأفقي والتوقيت الرأسي، حيث يستغل هذه التصوير اختلافات الحساسية بين الأنسجة، ويستخدم مسحًا ثلاثي الأبعاد من صدى التدرج، ما ينتج عنه بيانات خاصة وصور معالجة ذات حجم تباين محسّن تكون حساسة جدًا للدم الوريدي والنزيف وتخزين الحديد، ويُستخدم هذا التصوير لتعزيز اكتشاف وتشخيص الأورام وأمراض الأوعية الدموية العصبية (النزيف) والتصلب المتعدد [50] ومرض الزهايمر، كما يكتشف إصابات الدماغ الرضية التي قد لا يُمكن تشخيصها باستخدام الطرق الأخرى.
نقل المغنطة
نقل المغنطة هي تقنية لتحسين تباين الصور في تطبيقات معينة من التصوير بالرنين المغناطيسي.
ترتبط البروتونات المقترنة مع البروتينات، وبالنظر إلى قصر تحلل التوقيت الأفقي لكل منهما فإنهما لا يشاركان عادة في تباين الصورة، ولأن هذه البروتونات تمتلك ذروة رنين ممتدة فإنه يمكن اثارتها بنبضة تردد راديوي ليس لها أي تأثير على البروتونات الحرة، حيث تؤدي هذه الاستثارة لزيادة تباين الصورة عن طريق نقل المغزل المُشبع مغناطيسيا من المساحة المقترنة إلى المساحة الحرة، مما يقلل من إشارة الماء الحر، ويزود هذا النقل المغناطيسي المتجانس النوي طريقة غير مباشرة لقياس الجزيئات الضخمة في الأنسجة، كما يتضمن هذا النقل المغناطيسي المتجانس النوي اختيار إزاحة التردد المناسب وشكل النبضة لتشبع المغزل المقترن بقدر كاف، ضمن حدود السلامةلمعدل الامتصاص المحدد للتصوير بالرنين المغناطيسي.[51]
المراجع
- "MRI sequences (overview)". Radiopaedia. مؤرشف من الأصل في 4 أغسطس 2020. اطلع عليه بتاريخ 15 أكتوبر 2017. الوسيط
|CitationClass=تم تجاهله (مساعدة) - "Magnetic Resonance Imaging". جامعة ويسكونسن-ماديسون. Archived from the original on 2017-05-10. Retrieved 2016-03-14.
- Johnson KA. "Basic proton MR imaging. Tissue Signal Characteristics". مدرسة طب هارفارد. Archived from the original on 2016-03-05. Retrieved 2016-03-14.
- Graham D, Cloke P, Vosper M (2011-05-31). Principles and Applications of Radiological Physics E-Book (6 ed.). Elsevier Health Sciences. p. 292. ISBN 978-0-7020-4614-8.}
- du Plessis V, Jones J. "MRI sequences (overview)". Radiopaedia. Retrieved 2017-01-13. نسخة محفوظة 3 ديسمبر 2020 على موقع واي باك مشين.
- Lefevre N, Naouri JF, Herman S, Gerometta A, Klouche S, Bohu Y (2016). "A Current Review of the Meniscus Imaging: Proposition of a Useful Tool for Its Radiologic Analysis". Radiology Research and Practice. 2016: 8329296. doi:10.1155/2016/8329296. PMC 4766355. PMID 27057352.
- Luijkx T, Weerakkody Y. "Steady-state free precession MRI". Radiopaedia. Retrieved 2017-10-13. نسخة محفوظة 3 ديسمبر 2020 على موقع واي باك مشين.
- Chavhan GB, Babyn PS, Thomas B, Shroff MM, Haacke EM (2009). "Principles, techniques, and applications of T2*-based MR imaging and its special applications". Radiographics. 29 (5): 1433–49. doi:10.1148/rg.295095034. PMC 2799958. PMID 19755604.
- Sharma R, Taghi Niknejad M. "Short tau inversion recovery". Radiopaedia. Retrieved 2017-10-13. نسخة محفوظة 3 ديسمبر 2020 على موقع واي باك مشين.
- Berger F, de Jonge M, Smithuis R, Maas M. "Stress fractures". Radiology Assistant. Radiology Society of the Netherlands. Retrieved 2017-10-13. نسخة محفوظة 29 سبتمبر 2019 على موقع واي باك مشين.
- Hacking C, Taghi Niknejad M, et al. "Fluid attenuation inversion recoveryg". radiopaedia.org. Retrieved 2015-12-03. نسخة محفوظة 19 أبريل 2020 على موقع واي باك مشين.
- Di Muzio B, Abd Rabou A. "Double inversion recovery sequence". Radiopaedia. Retrieved 2017-10-13. نسخة محفوظة 3 ديسمبر 2020 على موقع واي باك مشين.
- Lee M, Bashir U. "Diffusion weighted imaging". Radiopaedia. Retrieved 2017-10-13. نسخة محفوظة 19 أبريل 2020 على موقع واي باك مشين.
- Weerakkody Y, Gaillard F. "Ischaemic stroke". Radiopaedia. Retrieved 2017-10-15. نسخة محفوظة 3 ديسمبر 2020 على موقع واي باك مشين.
- Hammer M. "MRI Physics: Diffusion-Weighted Imaging". XRayPhysics. Retrieved 2017-10-15. نسخة محفوظة 28 أبريل 2020 على موقع واي باك مشين.
- An H, Ford AL, Vo K, Powers WJ, Lee JM, Lin W (May 2011). "Signal evolution and infarction risk for apparent diffusion coefficient lesions in acute ischemic stroke are both time- and perfusion-dependent". Stroke. 42 (5): 1276–81. doi:10.1161/STROKEAHA.110.610501. PMC 3384724. PMID 21454821.
- Smith D, Bashir U. "Diffusion tensor imaging". Radiopaedia. Retrieved 2017-10-13. نسخة محفوظة 2 يوليو 2019 على موقع واي باك مشين.
- Chua TC, Wen W, Slavin MJ, Sachdev PS (February 2008). "Diffusion tensor imaging in mild cognitive impairment and Alzheimer's disease: a review". Current Opinion in Neurology. 21 (1): 83–92. doi:10.1097/WCO.0b013e3282f4594b. PMID 18180656. نسخة محفوظة 29 أغسطس 2020 على موقع واي باك مشين.
- Gaillard F. "Dynamic susceptibility contrast (DSC) MR perfusion". Radiopaedia. Retrieved 2017-10-14. نسخة محفوظة 3 ديسمبر 2020 على موقع واي باك مشين.
- Chen F, Ni YC (March 2012). "Magnetic resonance diffusion-perfusion mismatch in acute ischemic stroke: An update". World Journal of Radiology. 4 (3): 63–74. doi:10.4329/wjr.v4.i3.63. PMC 3314930. PMID 22468186. نسخة محفوظة 3 ديسمبر 2019 على موقع واي باك مشين.
- Gaillard F. "Dynamic contrast enhanced (DCE) MR perfusion". Radiopaedia. Retrieved 2017-10-15. نسخة محفوظة 3 ديسمبر 2020 على موقع واي باك مشين.
- Gaillard F. "Arterial spin labelling (ASL) MR perfusion". Radiopaedia. Retrieved 2017-10-15. نسخة محفوظة 15 أكتوبر 2017 على موقع واي باك مشين.
- Chou I. "Milestone 19: (1990) Functional MRI". Nature. Retrieved 9 August 2013. نسخة محفوظة 2 ديسمبر 2019 على موقع واي باك مشين.
- Luijkx T, Gaillard F. "Functional MRI". Radiopaedia. Retrieved 2017-10-16. نسخة محفوظة 11 نوفمبر 2020 على موقع واي باك مشين.
- "Magnetic Resonance Angiography (MRA)". مستشفى جونز هوبكنز. Retrieved 2017-10-15. نسخة محفوظة 7 أكتوبر 2017 على موقع واي باك مشين.
- Keshavamurthy J, Ballinger R et al. "Phase contrast imaging". Radiopaedia. Retrieved 2017-10-15. نسخة محفوظة 4 أغسطس 2020 على موقع واي باك مشين.
- Di Muzio B, Gaillard F. "Susceptibility weighted imaging". Retrieved 2017-10-15. نسخة محفوظة 4 أغسطس 2020 على موقع واي باك مشين.
- Johnson, Keith A. "Basic proton MR imaging. Tissue Signal Characteristics". مدرسة طب هارفارد. مؤرشف من الأصل في 05 مارس 2016. اطلع عليه بتاريخ 14 مارس 2016. الوسيط
|CitationClass=تم تجاهله (مساعدة) - Patil, Tushar (2013-01-18). "MRI sequences". مؤرشف من الأصل في 2 ديسمبر 2019. اطلع عليه بتاريخ 14 مارس 2016. الوسيط
|CitationClass=تم تجاهله (مساعدة) - "Magnetic Resonance Imaging". جامعة ويسكونسن-ماديسون. مؤرشف من الأصل في 10 مايو 2017. اطلع عليه بتاريخ 14 مارس 2016. الوسيط
|CitationClass=تم تجاهله (مساعدة) - "Structural MRI Imaging". مدرسة طب سان دييغو. مؤرشف من الأصل في 12 نوفمبر 2020. اطلع عليه بتاريخ 01 يناير 2017. الوسيط
|CitationClass=تم تجاهله (مساعدة) - "MRI sequences (overview)". Radiopaedia. مؤرشف من الأصل في 4 أغسطس 2020. اطلع عليه بتاريخ 13 يناير 2017. الوسيط
|CitationClass=تم تجاهله (مساعدة) - "How we perform myocardial perfusion with cardiovascular magnetic resonance". Journal of Cardiovascular Magnetic Resonance. 9 (3): 539–47. 2007. doi:10.1080/10976640600897286. PMID 17365233. الوسيط
|CitationClass=تم تجاهله (مساعدة) - "MR of the brain using fluid-attenuated inversion recovery (FLAIR) pulse sequences". AJNR. American Journal of Neuroradiology. 13 (6): 1555–64. 1992. PMID 1332459. الوسيط
|CitationClass=تم تجاهله (مساعدة) - "Chapter 2.4: Image Contrasts and Imaging Sequences". Magnetic Resonance Tomography. Springer Science & Business Media. 2007. صفحة 59. ISBN 978-3-540-29355-2. الوسيط
|CitationClass=تم تجاهله (مساعدة) - "Turbo inversion recovery magnitude". Radiopaedia. مؤرشف من الأصل في 13 نوفمبر 2020. اطلع عليه بتاريخ 21 أكتوبر 2017. الوسيط
|CitationClass=تم تجاهله (مساعدة) - "Comparison of turbo inversion recovery magnitude (TIRM) with T2-weighted turbo spin-echo and T1-weighted spin-echo MR imaging in the early diagnosis of acute osteomyelitis in children". Pediatric Radiology. 28 (11): 846–50. November 1998. doi:10.1007/s002470050479. PMID 9799315. الوسيط
|CitationClass=تم تجاهله (مساعدة) - Ai, Tao. "Chronic osteomyelitis of the left femur". Clinical-MRI. مؤرشف من الأصل في 3 ديسمبر 2020. اطلع عليه بتاريخ 21 أكتوبر 2017. الوسيط
|CitationClass=تم تجاهله (مساعدة) - "MR imaging of intravoxel incoherent motions: application to diffusion and perfusion in neurologic disorders". Radiology. 161 (2): 401–07. November 1986. doi:10.1148/radiology.161.2.3763909. PMID 3763909. مؤرشف من الأصل في 7 ديسمبر 2020. الوسيط
|CitationClass=تم تجاهله (مساعدة) - "Diffusion Inaging". Stanford University. مؤرشف من الأصل في 24 ديسمبر 2011. اطلع عليه بتاريخ 28 أبريل 2012. الوسيط
|CitationClass=تم تجاهله (مساعدة) - "The History, Development and Impact of Computed Imaging in Neurological Diagnosis and Neurosurgery: CT, MRI, and DTI". Nature Precedings. 2009. doi:10.1038/npre.2009.3267.5. الوسيط
|CitationClass=تم تجاهله (مساعدة) -
"Early detection of regional cerebral ischemia in cats: comparison of diffusion- and T2-weighted MRI and spectroscopy". Magnetic Resonance in Medicine. 14 (2): 330–46. May 1990. doi:10.1002/mrm.1910140218. PMID 2345513. الوسيط
|CitationClass=تم تجاهله (مساعدة) - Gaillard, Frank. "Dynamic susceptibility contrast (DSC) MR perfusion". Radiopaedia. مؤرشف من الأصل في 5 أغسطس 2020. اطلع عليه بتاريخ 14 أكتوبر 2017. الوسيط
|CitationClass=تم تجاهله (مساعدة) - Frank Gaillard; et al. "Dynamic contrast enhanced (DCE) MR perfusion". Radiopaedia. مؤرشف من الأصل في 3 ديسمبر 2020. اطلع عليه بتاريخ 15 أكتوبر 2017. الوسيط
|CitationClass=تم تجاهله (مساعدة) - Gaillard, Frank. "Arterial spin labelling (ASL) MR perfusion". Radiopaedia. مؤرشف من الأصل في 3 نوفمبر 2020. اطلع عليه بتاريخ 15 أكتوبر 2017. الوسيط
|CitationClass=تم تجاهله (مساعدة) - "What does fMRI tell us about neuronal activity?". Nature Reviews. Neuroscience. 3 (2): 142–51. February 2002. doi:10.1038/nrn730. PMID 11836522. الوسيط
|CitationClass=تم تجاهله (مساعدة) - "Is preoperative functional magnetic resonance imaging reliable for language areas mapping in brain tumor surgery? Review of language functional magnetic resonance imaging and direct cortical stimulation correlation studies". Neurosurgery. 66 (1): 113–20. January 2010. doi:10.1227/01.NEU.0000360392.15450.C9. PMID 19935438. الوسيط
|CitationClass=تم تجاهله (مساعدة) - "Oxygenation dependence of the transverse relaxation time of water protons in whole blood at high field". Biochimica et Biophysica Acta (BBA) - General Subjects. 714 (2): 265–70. February 1982. doi:10.1016/0304-4165(82)90333-6. PMID 6275909. الوسيط
|CitationClass=تم تجاهله (مساعدة) - "4D flow imaging with MRI". Cardiovascular Diagnosis and Therapy. 4 (2): 173–92. April 2014. doi:10.3978/j.issn.2223-3652.2014.01.02. PMID 24834414. الوسيط
|CitationClass=تم تجاهله (مساعدة) - "Magnetic resonance frequency shifts during acute MS lesion formation". Neurology. 81 (3): 211–118. July 2013. doi:10.1212/WNL.0b013e31829bfd63. PMID 23761621. الوسيط
|CitationClass=تم تجاهله (مساعدة) - McRobbie, Donald W. (2007). MRI from picture to proton. Cambridge, UK ; New York: Cambridge University Press. ISBN 978-0-521-68384-5. الوسيط
|CitationClass=تم تجاهله (مساعدة)
- بوابة تقانة
- بوابة طب
- بوابة الفيزياء





.jpg.webp)






_Phase_Contrast_(PC)_sequence_MRI_of_arterial_dissections.jpg.webp)
_in_diffuse_axonal_injury.jpg.webp)