كسر الكاحل
كسر الكاحل هو كسر عظم أو عظام مفصل الكاحل، يتم تشخيصه بالأشعة السينية.[1][2][3]

العلامات والأعراض

يمكن أن تكون أعراض كسر الكاحل مماثلة لأعراض التواء الكاحل (ألم)، إلاّ أنها غالباً ما تكون أكثر شدة. ومن النادر جدا أن ينخلع مفصل الكاحل في وجود إصابة رباطية وحدها. يمكن أن يشتكي المصاب من كدمة، أو قد يكون هناك وقفة غير طبيعية وتحرك غير طبيعي أو أن تنعدم حركة مفصل الكاحل.
التشخيص
التقييم
من المهم، أثناء الفحص السريري، تقييم موقع الألم بتدقيق ومدى الحركة وحالة الأعصاب والأوعية. من المهم أيضاً جسّ الشظية لإمكانية وجود كسر دانٍ لهذا العظم (وهي ما يعرف بكسر ميزونوف)، وجس باطن القدم للبحث عن كسر جونز في قاعدة العظم المشطي الخامس (كسر قلعي).
ويتم تقييم إصابات الكاحل للكسر باعتماد ضوابط أوتاوا للكاحل، وهي مجموعة من الضوابط (القواعد) التي وضعت للحد من الاستعمال غير الضروري للأشعة السينية. وهناك ثلاث وجهات عرض سينية في سلسلة الكاحل الكاملة: وهي العرض الأمامي الخلفي، والعرض الجانبي، والعرض المائل.

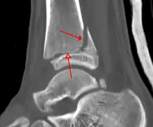
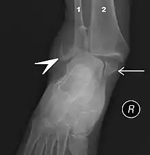
التصوير بالأشعة السينية
يمكن أن يظهر الكسر على الصورة السينية في الكعب الإنسي أو في الكعب الوحشي أو في الحافّة الأمامية أو الخلفية للجزء القاصي من الظنبوب. إذا تم كسر كل من الكعبين الوحشي والإنسي، يسمى ذلك بكسر الكعبين. إذا كُسر الكعب الخلفي أيضاً، يسمى ذلك بالكسر الكعبي الثلاثي.
التصنيف

هناك العديد من التصنيفات لكسور الكاحل:
- تصنيف لوج هانسن، وهو يصنف كسور على أساس آلية الإصابة من حيث صلتها بموقف القدم والقوة المشوّهة.
- تصنيف دانيس فيبر، وهو يصنف كسور الكاحل نسبة لمستوى كسر الشظية مقارنة بالمرتبط الظنبوبي الشظوي (نوع أ: تحت المرتبط، نوع ب: على مستوى المرتبط، نوع ج: فوق المرتبط).
- تصنيف هرسكوفيسي، وهو يصنف كسور الكعب الإنسي على أساس مستوى الكسر.
العلاج

يرتكز علاج كسور الكاحل الكعبين على تقييم مدى استقرار مفصل الكاحل. حيث يمكن علاج الكسور المستقرة مثل التواء الكاحل. في حين تتطلب جميع أنواع الكسور الأخرى عملية جراحية، مع إمكانية زرع طعم عظمي فلزي. كما يتلقى المصاب جبيرة بعد العملية الجراحية.
مراجع
- "Wheeless Online". مؤرشف من الأصل في 31 ديسمبر 2017. اطلع عليه بتاريخ 30 أكتوبر 2014. الوسيط
|CitationClass=تم تجاهله (مساعدة) - Tim B Hunter; Leonard F Peltier; Pamela J Lund (2000). "Musculoskeletal Eponyms: Who Are Those Guys?" (PDF). RadioGraphics. 20: 829. doi:10.1148/radiographics.20.3.g00ma20819. PMID 10835130. مؤرشف من الأصل في 26 يناير 2020. اطلع عليه بتاريخ 13 نوفمبر 2009. الوسيط
|CitationClass=تم تجاهله (مساعدة) - Yeung, DE; Jia, X; Miller, CA; Barker, SL (1 April 2016). "Interventions for treating ankle fractures in children". The Cochrane database of systematic reviews. 4: CD010836. doi:10.1002/14651858.CD010836.pub2. PMID 27033333. الوسيط
|CitationClass=تم تجاهله (مساعدة)
- بوابة طب
صور وملفات صوتية من كومنز