متسارعة
المتسارعة (بالإنجليزية: tachyzoite) هي حالة لاجنسية في دورة حياة عدد من الكائنات الحية.

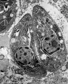
والمتسارعة في دورة حياة معقدات القمة، هي شكل يمتاز بنمو وانقسام سريعين. تعد المتسارعات الأشكال المتحركة في هذه الأكريات والتي تكون نسيج الكيسات، مثل المقوسة والمتكيسة العضلية.
تصيب المتسارعات عادة الفجوات الخلوية بالعدوى، وتنقسم إلى التبرعم الداخلي وتعدد الأسلاف الداخلي.
وتعد المتسارعة الحالة المعاكسة للمتباطئة.
طالع أيضا
المصادر
- بوابة علم الأحياء
- بوابة علم الأحياء الدقيقة
This article is issued from Wikipedia. The text is licensed under Creative Commons - Attribution - Sharealike. Additional terms may apply for the media files.