مقوسة غوندية
التوكسوبلازما أو المقوسة الغوندية هي طفيلي إجباري داخل خلوي ومضيفه الأساسي هو القطة و ينتشر بوساطة برازها ولكنه يستطيع إصابة أنواع الفقاريات والثدييات والطيور أيضاً, ويوجد في مصورة دم ثلث أفراد العالم البالغين أضداد لهذا الطفيلي وهذا دليل على شيوعه العالي وقدرة إصابته .
اضغط هنا للاطلاع على كيفية قراءة التصنيف مقوسة غوندية | |
|---|---|
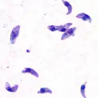
![]() صورة لمتسارعة لمقوسة غوندية مصبوغة بصبغة جيمزا ومكبرة 1000 مرة | |
| المرتبة التصنيفية | نوع |
| التصنيف العلمي | |
| النطاق: | حقيقيات النوى |
| غير مصنف: | سار |
| الشعبة العليا: | طلائعيات سناخية |
| الشعبة: | معقدات القمة |
| الطائفة: | مخروطانيات |
| الرتبة: | أكريات حقيقية |
| الفصيلة: | متكيسات عضلية |
| الأسرة: | مقوسات |
| الجنس: | مقوسة Nicolle & Manceaux, 1909 |
| الاسم العلمي | |
| Toxoplasma gondii (Nicolle & Manceaux, 1908) Nicolle & Manceaux, 1909[1][2] | |
أشكال المقوسة الغوندية
المتسارعة
نوع من المقوسة الغوندية يوجد في الخلايا ذات الأنوية في جسم الفقاريات ويتكاثر عن طريق التبرعم داخل خلايا المضيف.
كيسة كاذبة
يطلق على الخلية ذات النواة حاوية التاكي زوئيت(المتسارعة) . وفي هذه الحالة يطلق على الطفيليات داخلها اسم الاندوزوئيت. و في هذه الحالة يتواجد حوالي 40 تاكي زوئيت(متسارعة) داخل خلية واحدة. الكيسة الكاذبة تتشكل في المراحل الحادة من المرض ولا تتشكل بصورة مستمرة بل تتشكل بشكل مؤقت أو موضعي.
الكيسة النسيجية
إذا تفعل النظام المناعي للمضيف في أطراف التاكي زوئيتات داخل الخلايا ذات الأنوية فإن غشاءاً مقاوماً يتشكل حتى يستطيع الطفيلي مقاومة النظام المناعي وفي هذه الحالة يسمى كيسة نسيجية وهي تتشكل في المرحلة المزمنة من المرض . في هذه الحالة يطلق على التاكي زوئيتات داخل الكيسة النسيجية برادي زوئيت وذلك لأنها تتكاثر ببطء.
دورة حياة المقوسة الغوندية


هو طفيلي وحيد المضيف اختيارياً أي أنه يستطيع إكمال دورة حياته داخل مضيف واحد أو أيضاً داخل مضيفين ولكن مضيفه النهائي هو حتماً القطة .
في دورة حياته له مرحلتان:
- المرحلة خارج المعوية (المرحلة التوكسوبلاسمية)
- المرحلة داخل المعوية (المرحلة الايزوسبورية)
المرحلة خارج المعوية
يمكن أن تتم في الخلايا ذات النواة عند القطط أو في مضيف الوسيط .
المضيفون الوسيطون مثل الإنسان يمكن أن يصابو بالمرض جراء تناول الكيسات النسيجية التي تحتوي البرادي زوئيتات(المتباطئات) أو بيض التوكسوبلازما التي تحتوي على الاسبروزوئيتات(الحيوانات البويغية) . في المرحلة خارج المعوية تدخل البرادي زوئيتات(المتباطئات) و الاسبروزوئيتات(الحيوانات البويغية) إلى الخلايا ذات النواة وتتحول هناك إلى تاكي زوئيتات(متسارعات) , وتتكاثر عن طريق التبرعم ومن ثم تمزق الخلية المضيفة وتنتقل عن طريق الدم واللمف إلى الأعضاء المختلفة وتتكاثر هناك وتشكل مراكز متنكرزة وفي هذه الحالة قد يؤدي عدم تناول الفرد المصاب دواء مناسباً وعدم تكامل نظامه المناعي إلى الموت . أما بعد تناول الدواء وتكامل النظام المناعي حول الطفيلي المتواجد داخل الخلايا ذات النواة يتشكل غشاء مقاوم موجداً كيسة نسيجية تستقر بصورة حرة في نسيج المضيف عندما تكبر تماماً وتنتقل إلى الأعضاء المختلفة .
المرحلة داخل المعوية
تتم فقط في أمعاء القطة. و في هذه المرحلة يتم كلا التكاثرية اللاجنسي (شيزوغوني/التكاثر الانشطاري) و الجنسي (غامتوغوني/التوالد التعرسي) .
يمكن للطفيلي أن يدخل جسم القطة على شكل بيض التوكسوبلازما أو تاكي زوئيت أو برادي زوئيت وأكثراًعن طريق تناول الفئران المصابة . يدخل الطفيلي إلى الخلايا الجدارية المبطنة في الأمعاء الدقيقة للقطة وهناك يتبدل إلى تروفوزوئيت(أتروفات) . التروفوزوئيتات(الأتروفات) تقوم بتكاثر لاجنسي (شيزوغوني/التكاثر الانشطاري) و من ثم تخرج المروزوئيتات(الأقسومات) وتدخل مجدداً الخلايا الجدارية المبطنة للأمعاء وتكرر التكاثر اللا جنسي عدداً من المرات . بعض المروزوئيتات(الأقسومات) التي تدخل الخلايا الجدارية المبطنة للأمعاء تتحول إلى ميكرو/ماكرو غامتوسيت (عرسيات) و من كل ميكروغامتوسيت ينتج من 10-12 ميكروغامت مسوطة(أمشاج مسوطة). من امتزاج الميكروغامت والماكروغامت تنتج الزيغوت (اللاقحة) والتي تتبدل إلى بيض التوكسوبلازما والذي يدخل لمعة أمعاء القطة ويخرج عن طريق برازها ويكرر دورة الحياة.
الإصابة بالمقوسة الغوندية
تتم الإصابة بالطفيلي بعدة طرق :
- الاكتساب
- من الأم للجنين ( داء المقوسات الخلقي )
- العين
- الأفراد ذوي النقص المناعي
الاكتساب
في أكثر الحالات بدون علامة تذكر ولكن إذا تصاحب بالعلامات يمكن أن يكون بشكل لمفاوي أو طفحي(إكزانتوماتوز) أو دماغي نخاعي (Cerebrospinal ).
طالع أيضا
المصادر
- C. Nicolle, L. Manceaux, « Sur une infection à corps de Leishman (ou organismes voisins) du gundi », Comptes Rendus de l'Académie des Sciences, vol. 147, 1908, p. 763–766, . نسخة محفوظة 18 أكتوبر 2016 على موقع واي باك مشين.
- C. Nicolle, L. Manceaux, « Sur un Protozoaire nouveau du Gondi », Comptes Rendus de l'Académie des Sciences, vol. 148, 1909, p. 369-372, . نسخة محفوظة 18 أكتوبر 2016 على موقع واي باك مشين.
- بوابة علم الأحياء الخلوي والجزيئي
- بوابة طب
صور وملفات صوتية من كومنز
أنواع من ويكي أنواع.
