متلازمة شوغرن
مرض متلازمة شوغرن (بالإنجليزية: Sjögren's syndrome) هو مرض روماتزمي مزمن يؤثر على أجهزة الجسم المختلفة فيصيب الغدد اللعابية والدمعية والمخاطية في الجسم فيسبّب جفاف في الفم والعيون.[1][2][3] أيضًا يمكن أن يؤثّر على الأجزاء الأخرى من الجسم متضمّنًا المفاصل العضلات، الأعصاب والرئة، الكلى، الكبد، البنكرياس, المعدة والمخ. نتيجة هذه الاضطرابات التي تحدث في الجسم يشعر المريض بجفاف في الفم نتيجة تأثر الغدد اللعابية وحرقانا واحمرار في العين نتيجة تأثر الغدد الدمعية وهكذا في باقي أجزاء الجسم الأخرى حسب المكان المتأثر من المرض. يُسَمَّى المرض بهذا الاسم نسبة إلى طبيب العيون السّويديّ، الدّكتور هنريك شوغرن الذي يعتبر أوّل من وصف هذه الحالة في عام 1933 عندما كان يعالج مجموعة من النّساء اللاتي كُن يشتكين من آلام في المفاصل مصحوبة بجفاف بالعيون والفم.
| متلازمة شوغرن | |
|---|---|
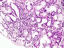
![]() صورة نسيجية مرضية لارتشاح لمفاوي بؤري في غدة لعابية صغيرة مصحوبا بمتلازمة شوغرن، خزعة للشفة، صبغة H & E صورة نسيجية مرضية لارتشاح لمفاوي بؤري في غدة لعابية صغيرة مصحوبا بمتلازمة شوغرن، خزعة للشفة، صبغة H & E | |
| معلومات عامة | |
| الاختصاص | طب الرثية |
| من أنواع | مرض مناعي ذاتي |
| الأسباب | |
| الأسباب | مناعة ذاتية |
| المظهر السريري | |
| الأعراض | جفاف الحلق |
| الإدارة | |
| أدوية | |
يوجد نوعان من هذا المرض: 1) مرض جوغرن الأولي : في هذا النوع يشتكي المريض من جفاف في العين والفم بدون وجود أمراض روماتزمية أخرى مصاحبة له. 2) مرض جوغرن الثانوي : ويتميز هذا النوع بوجود أمراض روماتزمية أخرى مصاحبة له حيث أن كثير من الأمراض الروماتزمية يمكنها أن تتسبب في ظهور هذا المرض، مثل مرض الذئبة، التّصلّب الجلديّ أو البوليميوسيتيس (التهاب العضلات المتعدد الروماتزمي) أو الأمراض الروماتزمية الأخرى.
يؤثّر مرض متلازمة جوغرن الأولي على واحد في الألف من الناس أي ما يقارب نفس النسبة لمرض الذئبة. قد يكون المرض أكثر انتشارا بين الناس ولكن المشكلة أن كثير من الحالات لا تشخص بسبب أن هناك أسباب عديدة أخرى قد تسبب بشعور المريض بجفاف الفم والعيون. نسبة انتشار مرض متلازمة جوغرن الثانوي أكثر من النوع الأولي إذ أن كثير من أنواع الأمراض الروماتزمية الأخرى تكون مصاحبة لهذا المرض ؛فمثلا يصيب المرض حوالي ثلث المرضى المصابين بمرض الروماتويد. يصيب مرض جوغرن النّساء أكثر بتسعة أضعاف من إصابته للرّجال ويظهر عادة في النّساء بعد سن الخمسين سنة.
الأعراض
تختلف أعراض المرض من شخص لأخر، والأعراض المبكّرة للمرض هي تشقق بالشفتين وجفاف في الفم ّ والعين وتحدث هذه الأعراض ببطء شديد. جفاف في العين قد يجعل المريض يشعر وكأن في عينه جسم غريب فيقوم المريض بفرك عينه حتى تصبح حمراء وقد يصاحب ذلك ضعف في حدة الإبصار. يشعر المريض بجفافّ شديد في فمه مما يصعب عليه التكلم بصوت عالي أو الكلام لفترات طويلة، فيلجأ المريض لشرب الماء بكميات كبيرة كي يبل فمه أو أثناء تحدثه مع الناس، ويشعر أيضا بصعوبة في البلع والمضغ وخاصة أثناء أكل قطع الخبز أو البسكويت الجافة، وقد يحتاج إلى الماء لكي يستطيع أن يبتلع الطعام. يشتكي المريض من تورم في الغدد اللّعابية التي تتواجد أسفل الأذن (الغدة النكافيه) ومع طول المدة وقلة اللعاب في الفم تصبح الأسنان معرضة للتسويس أكثر. يصبح الأنف والحلق جافّان بسبب تأثر الغدد المخاطية بالمرض فتجد بعض المرضى يشتكي من ألم في الحلق وجفاف به أثناء التنفس. قد تشتكي المريضات بهذا المرض من جفاف المهبل فتجد المريضة صعوبة وألم أثناء مزاولة الجنس (الجماع) نتيجة الجفاف وتأثير المرض على الغدد المخاطية في المنطقة التناسلية. ولهذا فمن المهم تنبيه المريضات بان هذا الجفاف عملية فيسيلوجية بسبب المرض وليس فشلا في العلاقة العاطفية مع الزوج. وغالبا ما يتسبب الجفاف بارتفاع في نسب الإصابة بالالتهابات المهبلية والتناسلية. يشعر المريض بالإعياء وسرعة التعب، ويمكن أن يؤثر المرض على المفاصل فيسبب في التهابها الذي ينتج عنه الألم، التّصلّب والتورم. والمفاصل التي تتأثر عادةً بالمرض هي المفاصل الصغيرة، مثل مفاصل أصابع اليد، أصابع القدم، المعصم والكاحل. يمكن أن يشتكى بعض المرضى من تغير لون أطرافهم بعد التعرض للبرودة (ظاهرة رينود). عند نسبة بسيطة من الناس قد يؤدي المرض إلى تضخم في الغدد اللمفاوية, التهاب بالشرايين، التهاب بالرئة وتليفها، تأثر الكلى، الكبد, الأعصاب والعضلات. عند نسبة بسيطة من المرضى -اقل من خمسة بالمائة 5% - قد يسبب المرض أورام سرطانية في الغدد اللمفاوية. من المهم أن يعلم المريض أن هناك أسباب أخرى قد تؤدي إلى احساسه بجفاف العين والفم وهذه الأعراض ليست ناتجة عن مرض جوغرن مثل مرضى السكري، وبعض الأمراض النفسية واستخدام بعض الأدوية. تشير بعض الدراسات إلى وجودارتباط بين مرض جوغرن ومرض لين العظام الناتج عن نقص فيتامين دال.
الأسباب
مرض متلازمة شوغرن ينتج بسبب خلل في الجهاز المناعي، ويعمل الجهاز المناعي على مقاومة الجراثيم والمرض ولكنّ عند المرضى المصابين بمتلازمة جوغرن يهاجم الجهاز المناعي الأنسجة السليمة المختلفة بالجسم والغدد التي تنتج اللعاب في الفم والغدد الدمعية في العيون والغدد المخاطية في الجهاز الهضمي، الجهاز التنفسي، والجهاز التناسلي عند النساء. لا يُعْرَف حتى الآن ما هو السبب الذي يعطل عمل الجهاز المناعي فيجعل الجهاز المناعي يهاجم الجسم بدل أن يهاجم الميكروبات. قد يكون للعوامل الخارجية دور في حدوث المرض مثل بعض الالتهابات الفيروسية أو الالتهابات البكتيرية. قد تلعب الوراثة دور في حدوث هذا المرض حيث وجد أن المرض يظهر بشكل أكثر بين الناس الذين يكون أحد أفراد عائلتهم مريض بأمراض روماتزمية أو مريض بمرض جوغرن، مما يقوي نظرية أن الوراثة لها دور بالمرض. قد يكون للهرمونات دور بحدوث المرض، حيث يصيب المرض عادةً النساء اللاتي تكون أعمارهم في سن قادرات فيه على الإنجاب ويصيب المرض أيضا النساء أكثر بتسع أضعاف من الرجال.
التشخيص
الوصول إلى التّشخيص الصّحيح والمبكّر مهمّ جدًّا لكي يتجنّب المريض المضاعفات. يصل الطبيب إلى التشخيص السليم عن طريق وصف المريض للطبيب الأعراض المرضية وعن طريق الفحص السريري له، وقد يحتاج الطبيب لعمل الفحوصات المخبرية وبعض الأشعة التي قد تساعده في الوصول إلى التشخيص السليم.
تشخيص مرض جوغرن بوجهٍ عامّ يحتاج إلى وجود اثنان من ثلاثة ملامح وهي : أ. وجود الأعراض : جفاف بالعين والفم وتأثير المرض على أنسجة الجسم الأخرى. ب. اختبارات فحص الغدد الدمعية في العين والغدد اللعابية في الفم تكون إيجابية. ج. وجود العامل المناعي في الدم (تحليل الدم) الذي يدل على المرض.
قد يحتاج الطبيب إلى عمل الأشعة لكي تساعده على تشخيص المرض وتأكيده. قد يحتاج المريض أن يعرض حالته على طبيب العيون الذي يساعد في تشخيص المرض وأيضا في علاج تأثير المرض على العين. بالرّغم من أنّ مرض جوغرن من الأمراض التي يمكن تشخيصها بسرعة إلا أنه في اعتقاد كثير من الأطباء أنه لا يتم تشخيصه بالشكل الكافي وذلك لأن بعض المرضى لا يعرضون شكواهم على الأطباء اعتقادا منهم أن هذه الأعراض قد تكون طبيعية بالنسبة لهم وخاصة عندما تكون الأعراض لديهم بسيطة. يمكن أن يعمل الطبيب اختبار (قطعة ورق ترشيح) لحساب كمّيّة الدّموع المنتجة من الغدد الدّمعيّة، ويستلزم هذا الاختبار وضع قطعة ورق ترشيح صغيرة تحت الجفن السّفليّ الذي تعطي مدى قدرة العين على إنتاج الدموع أو يعمل اختبار (صبغة للعين الخارجية) الذي يقوم فيه الطبيب بوضع قطرة صبغة في العين ثمّ فحص العين لمعرفة مناطق الجفاف فيها.
العلاج
العلاج غير الدوائي : توجد بعض الأمور البسيطة والمهمة والتي تساعد على التقليل من الأعراض وهي: إذا كان المريض يشتكى من جفافّ بالفم يمكنه أخذ رشفات من السّوائل بشكل متكرّر خلال اليوم. مضغ العلكة بدون سكّر أو مص الحلوى اليابسة التي لا تذوب بسرعة لتحفيز الغدد اللعابية على إنتاج اللعاب. تجنّب أكل الأطعمة التي يمكن أن تجففّ أو تثير الفم مثل الشوكلاتة، والقشريّات. استخدام غسول الفم والمطهرات لتقليل تكاثر البكتريا في الفم. يمكن أن يتسبّب نقص اللّعاب في الفم في حدوث التسويس في الأسنان، لذلك لابد أن يحرص المريض على استخدام الفرشاة والمعجون في تنظيف أسنانه مباشرة بعد الأكل وأن يزور طبيب الأسنان بشكل دوري للكشف على أسنانه والتأكد من سلامتها من التسوسات ومعالجتها. تجنّب التّدخين الذي يمكن أن يتلف الفم، الاسنان، العيون والرئتين. المرضى الذين يشعرون بجفاف في العين يمكنهم استخدام الدّموع الصّناعيّة كقطرات في العين وطبيب العيون سوف يساعد في اختيار النوع المناسب لهم. إذا كانت المريضة تشتكي من جفاف في المهبل وألم أثناء الجماع يمكن أن تحصل على كريمات خاصّة تساعدها على إبقاء المنطقة رطبة.
علاج الأسنان الوقائي ضروري (غالباً ما يهمله المريض) بما أن نقص اللعاب المرتبط ب (جفاف الفم) يخلق بيئة مثالية لتكاثر البكتيريا التي تسبب تسوّس الأسنان. ويشمل العلاج الوقائي تطبيق الفلورايد الموضعي في المنزل لتقوية مينا الأسنان وتنظيف الأسنان بشكل متكرر من قبل طبيب الأسنان.
العلاج الدوائي :
يهدف العلاج إلى تقليل الأعراض التي يشتكى منها المريض ومنع حدوث المضاعفات للمرض. ليس هناك علاج لمتلازمة جوغرن بحيث يقضي على المرض بشكل نهائي. تختلف أعراض المرض وشدته من شخص إلى آخر، لذلك قد يكون العلاج مختلف من شخص لآخر.
• الأدوية المضادة للالتهاب (NSAID) وتستخدم لتقليل الألم والتورم والتصلّب وتخفف الالتهاب، توجد أنواع متعددة من هذه الأدوية مع ملاحظة أن الاستجابة للعلاج تختلف من شخص لآخر، فعدم الاستجابة لنوع واحد من هذه الأدوية لا يعني بالضرورة عدم الأستجابة للنوع الآخر وتناول الكثير من هذه الأدوية قد يزيد من احتمال حدوث الآثار الجانبيّة، خصوصًا على المعدة، مثل القرحة والنّزيف لذلك ينصح الأطباء في بعض الحالات بتناول دواء لحماية جدار المعدة من آثار هذه الأدوية عليها .
• الأدوية المضادة للروماتويد والمعدلة لسير المرض DMARDs : عائلة الأدوية التي تحاول إيقاف المرض وتمنع من حدوث المضاعفات للمرض. تحتاج هذه العلاجات من عدة أسابيع إلى عدة أشهر قبل أن يشعر المريض بتحسن فعلي.
• الكورتيزون Cortisone : يقلّل هذا العلاج الالتهاب والورم وقد يسبّب هذا الدّواء آثار جانبية بعد استخدامه لفترات طويلة وبجرعات كبيرة مثل هشاشة العظام. لتجنب أو تقليل الآثار الجانبيّة، يلجأ الأطباء إلى وصف الجرعة الأدنى التي يحتاجها المريض. الكورتيزون أحيانًا يُعْطَى كحقنة في المفاصل الملتهبة.
العلاج الجراحي: وتستخدم هذه العملية الجراحية في الحالات الشديدة من جفاف العين حيث يقوم الطبيب الجراح بسد القناة الدمعية لكي يمنع تصريف الدموع إلى الحلق مما يجعل العين مليئة بالدموع فيقل شعور المريض بجفاف العين.
التّمارين والعلاج الطبيعي: اختر وقتًا مناسبا لك يوميا لعمل التمارين لكي تضمن الاستمرارية في التمارين. هناك بعض الملاحظات البسيطة التي يجب عليك أن تنتبه إليها : بعد عمل أعمال كثيرة أو عمل نفس المهمّة مرارًا وتكرار يجب عليك الًتّوقّف لوقت بسيط لأخذ قسط من الراحة ثم متابعة العمل. خد الحذر عند حملك للأشياء الثقيلة وحاول أن تكون بالطريقة السليمة. حاول أن تكون مدركًا من كيفية جلوسك وأن تحافظ على أن يكون ظهرك بشكل مستقيم عند الجلوس. تجنب البقاء على نفس الوضع لفترات طويلة، وحاول أن تتجنب الوضع الغير مريح والأوضاع التي قد تؤثر على المفاصل والأربطة. استخدم المراتب الطبية أثناء النوم التي تحافظ على العمود الفقريّ بان يكون بشكل مريح وبوضع صحي حيث أن الإنسان يقضى ثلث يومه تقريبا على السّرير. حاول أن تكون منتبها لوضع قامتك أثناء اليوم وان تركّز انتباهك إلى كيفية وقوفك وجلوسك وان تسأل نفسك بشكل دائم هل أنت تجلس أو تقف بوضع سليم ؟
مضاعفات
متلازمة شوغرن عند النساء الحوامل ترتبط بزيادة الإصابة بمتلازمة الذئبة الحمامية الوليدية مع اضطراب ضربات القلب الخلقية للجنين التي تتطلب جهاز تنظيم ضربات القلب للطفل بعد الولادة.
انظر أيضًا
المصادر
- "معلومات عن متلازمة شوغرن على موقع ncim-stage.nci.nih.gov". ncim-stage.nci.nih.gov. مؤرشف من Metathesaurus&code=C0086981 الأصل تحقق من قيمة
|مسار=(مساعدة) في 3 سبتمبر 2019. الوسيط|CitationClass=تم تجاهله (مساعدة) - "معلومات عن متلازمة شوغرن على موقع sml.snl.no". sml.snl.no. مؤرشف من الأصل في 11 أغسطس 2019. الوسيط
|CitationClass=تم تجاهله (مساعدة) - "معلومات عن متلازمة شوغرن على موقع orpha.net". orpha.net. مؤرشف من الأصل في 3 سبتمبر 2019. الوسيط
|CitationClass=تم تجاهله (مساعدة)
1) موقع دكتور مفاصل: http://www.drmafasel.com/modules.php?name=News&file=article&sid
http://www.ncbi.nlm.nih.gov/pubmed/15479901
- بوابة طب
.jpg.webp)