متلازمة فرنيكيه كورساكوف
متلازمة فيرنيك-كورساكوف (بالإنجليزية:Wernicke–Korsakoff syndrome) هي عبارة عن وجود مشترك لاضطرابين دماغيين وهما: اعتلال فيرنيك الدماغي ومتلازمة كورساكوف . ونظراً للعلاقة الوثيقه التي تربط بين هذين الاعتلالين، فإنّ الأشخاص المصابين بأيا من هاتين الحالتين يتم تشخيصهم بمتلازمة فيرنيك كوساكوف كمتلازمة واحدة.
| متلازمة فرنيكيه كورساكوف | |
|---|---|
| تسميات أخرى | ذهان كورساكوف، اعتلال دماغي كحولي [1] |
| معلومات عامة | |
| الاختصاص | طب الجهاز العصبي، الطب النفسي |
| من أنواع | اعتلال دماغي فيرنيكي ، ومتلازمة كورساكوف |
يعود السبب الرئيسي في هذا النوع من الاضطرابات الدماغية إلى نقص الثيامين (فيتامين (B1 )) ، والذي بدوره قد يسبب مجموعه من الاضطرابات بما في ذلك البري بري، اعتلال الدماغ الفيرنيكي وذهان كورساكوف، وقد تظهر هذه الاضطرابات معا أو بشكل منفصل. عادة ما تكون متلازمة فيرنيك كورساكوف نتيجة ثانوية لمعاقرة الكحول والذي بدوره قد يسبب تغييرات واضحه في الرؤية، اختلاج في الحركة ( رنح ) وضعف الذاكرة.[1]
يعتبر مدمنو المشروبات الكحولية من أكثر الأشخاص الذين يصابون باعتلال فيرنيك الدماغي ومتلازمة فيرنيك - كورساكوف، وحوالي 20٪ فقط من هذه الحالات يتم تشخيصها قبل الوفاة. يعتبر الفشل في تشخيص هذا النوع من الحالات وبالتالي الفشل في علاجها السبب الرئيسي في وفاة ما يقارب 20% من الحالات المصابة، في حين أنّ 75٪ من المرضى قد يعانون من تلف دائم في الدماغ يرتبط بهذه المتلازمة.[2] أما بالنسبة للمصابين، فيحتاج 25 % منهم إلى تدخل المؤسسات المعنية طويلة الأمد لتوفير العناية اللازمة والفعّالة لديهم.[2]
الأعراض والعلامات
تظهر هذه المتلازمة نتيجة لوجود اعتلالين يحملان الاسم نفسه -اعتلال الدماغ الفيرنيكي وذهان كورساكوف . تتضمن هذه المتلازمة مرحلتين: مرحلة حادة من متلازمة فيرنيك الدماغية يليها تطور لمرحلة مزمنة من متلازمة كورساكوف.[3]
اعتلال الدماغ الفيرنيكي
يتميز هذا النوع من الاضطرابات بوجود ثلاثة أعراض:[4]
- اضطرابات العين (شلل في عضلات العين)
- اضطرابات في الحالة النفسية (الارتباك)
- موقف و مشية غير مستقران (ترنح)
هذه الأعراض الثلاثة تنتج عن نقص حاد في انزيم مساعد وضروري في الجسم وهو فيتامين ( B1 ). تحدث التغيرات المذكورة أعلاه فيما يتعلق بالحالة النفسية لدى حوالي 82٪ من الأعراض العامة التي يعاني منها المرضى ككل ويتراوح ذلك ما بين الارتباك و اللامبالاة ، عدم القدرة على التركيز وانخفاض القدرة على التصرف بشكل فوري في الأوضاع التي تتطلب ذلك. قد تنتهي الحالة بالمصاب إلى الغيبوبة أو الموت إذا ما تركت هذه الأعراض دون علاج. وفي حوالي 29 % من المصابين تتمثل اضطرابات العين لدى المصاب على شكل رأرأة وشلل العضلات المستقيمة الجانبية أوعضلات أخرى في العين. في حين أنّ هناك نسبة أقل من المصابين بالمتلازمة يعانون من انخفاص واضح في وقت رد الفعل الطبيعي المطلوب للمحفزات البصرية بالإضافة إلى تورم القرص البصري والذي قد يكون غالباً مصحوبا بنزيف شبكية العين .
وأخيرا، فإن الأعراض التي تنطوي على الموقف والمشية الغير مستقران قد تحدث في حوالي 23٪ من المرضى وتكون ناتجة عن اختلال وظيفي في المخيخ والنظام الدهليزي. بالاضافه إلى الأعراض المذكورة، فإن المصاب بمتلازمة (فيرنيك - كورساكوف ) يعاني من حالة واضحة من الذهول ، انخفاض ضغط الدم ، ارتفاع معدل ضربات القلب ، انخفاض درجة حرارة الجسم ، نوبات صرع وفقدان تدريجي للسمع.
متلازمة كورساكوف
توصف متلازمة ( كورساكوف ) بأنها بداية حادة من ضعف الذاكرة الشديد دون أي خلل واضح في القدرات التفكيرية أوالتعليمية للمصاب.[1][5] يسرد الدليل التشخيصي والإحصائي للاضطرابات النفسية مجموعة من المعايير لتشخيص متلازمة كورساكوف ويشمل ذلك مجموعة من الأعراض أهمها ما يأتي:
- فقدان الذاكرة التقدمي .
- عرض متغير من فقدان الذاكرة الرجعي .
بالإضافة إلى وجود واحداً من هذه الأعراض:
- فقدان القدرة على الكلام ( الحبسة )
- اللاأدائية أو عمه حركي ( عدم القدرة على الأداء نتيجة لخلل حركي أو صعوبة في تخطيط سلسلة الأحداث )
- عمه ( فقدان القدرة على التعرف على الأشياء أو الأشخاص أو الأشكال أو الأصوات أو الروائح)
- العجر عن القيام بالوظائف التنفيذية .
وبالإضافة إلى ذلك، يشير الدليل التشخيصي والإحصائي الرابع (DSM- IV) إلى أنّ الأنشطة والوظائف اليومية للمصابين سوف تتأثر بعجز الذاكرة، وأن ّ المرحلة التي يفقد فيها المصاب الذاكرة يجب أن تحدث خارج الأوقات التي يكون فيها الفرد في حالة من الهذيان أو التسمم أو محاولة الإقلاع عن عادة معينة ( الانسحاب ). تحتفظ المعايير التي يتم اعتمادها في تشخيص المتلازمة بضرورة وجود دليل يثبت أنّ فقدان الذاكرة لدى المصاب هو نتيجة لاستخدام الكحول.[5]
وعلى الرغم من اعتماد المشروبات الكحولية السبب الرئيسي لمتلازمة كورساكوف كما ذكر سابقاً، فقد تمّ إثبات أنّ هناك حالات أخرى قد تكون السبب فيها ويشمل ذلك: نقص الثيامين ويكون هذا النقص ناجماً عن سوء التغذية بسبب العديد من الظروف كسرطان المعدة، فقدان الشهية العصبي واستئصال المعدة.[6]
التأثيرات المعرفية للمتلازمة
تم تشخيص العديد من حالات متلازمة فيرنيك – كورساكوف وعلى نطاق واسع، ففي عام 1947، تم تشخيص 52 حالة مرضية في مستشفى ( Prisoner of war ) في سنغافورة حيث كانت الوجبات الغذائية للسجناء تحتوي على أقل من 1 ملغ من الثيامين يوميا. وبالتالي فإنّ مثل هذه الحالات تمكّنت من توفير فرصة لفهم طبيعة التأثيرات التي تتركها هذه المتلازمة على القدرات الإدراكية والمعرفية ككل للمصابين. وفي هذه الحالة بالذات فإنّ المصاب يعاني من الأرق ( عدم القدرة على النوم ليلاً ) ، القلق، صعوبات في التركيز، فقدان الذاكرة للماضي القريب، الانحطاط التدريجي للحالة النفسية ويشمل ذلك الارتباك، التسامر والهلوسات .[2] في حالات أخرى تسببت المتلازمة بأعراض معرفية أخرى شملت: تعطل الكلام بشدة، دوار، وشعور الرأس الثقيل. بالإضافة إلى ذلك، فقد لوحظ أنّ بعض المرضى يعانون من فقد القدرة على التركيز وعدم قدرة الآخرين على جذب انتباه هؤلاء المرضى نظراً لتشتت التركيز لديهم.[7]
في دراسة أجريت في عام 2003 من قبل العلامة التجارية على الآثار المعرفية التي تسببها المتلازمة، استخدم الباحثون بطارية اختبار العصبية والتي شملت اختبارات الذكاء، سرعة معالجة البيانات، الذاكرة، الوظيفة التنفيذية والتقدير المعرفي. وجد الباحثون أن المرضى الذين يعانون من متلازمة فيرنيك كورساكوف قد أظهروا ضعفا واضحا في جميع جوانب اختبارات هذه البطارية ولكن بشكل ملحوظ على مهام التقديرالمعرفي. تتطلب هذه المهمة موضوعات متعلقة بتقدير الجودة المادية مثل الحجم والوزن والكمية والوقت (أي ما هو متوسط طول الدش مثلا؟) لعنصر معين. أظهر مرضى هذه المتلازمة نتائج سيئة فيما يتعلق بهذه المهام مقارنة بالفئة العادية. وقد وجد المرضى أن التقديرات التي تتعلق بالزمن كانت أكثر صعوبة لديهم من التقديرات التي تتعلق بالكمية والتي كانت الأكثر سهولة لديهم في التقدير. بالإضافة إلى ذلك، تضمنت الدراسة فئة لتصنيف الإجابات "الغريبة" ويعني بذلك أي إجابة كانت بعيدة جدا عن المعدل الطبيعي للاستجابات المتوقعة. وقد أعطى مرضى المتلازمة إجابات يمكن لها أن تقع ضمن هذه الفئة، ويشمل ذلك إجابات مثل 15 ثانية أو ساعة واحدة للطول المقدر للدش، أو 4 كجم أو 15 طن كوزن للسيارة.[8]
عجز الذاكرة
يشمل فقدان الذاكرة لدى المصابين بمتلازمة (فيرنيك - كورساكوف) كلا من فقدان الذاكرة الرجعي وفقدان الذاكرة التقدمي.[3] ويتمثل فقدان الذاكرة الرجعي من خلال عدم قدرة مرضى المتلازمة على استدعاء الذكريات أو التعرف على المعلومات المتعلقه بالاحداث العامة الحديثة، بينما يتمثل فقدان الذاكرة التقدمي من خلال عجز المريض عن القيام بالمهام التي تتعلق بالقدرة على الترميز أو تذكر الكلمات أو الوجوه فضلاً عن مهام التعلم الدلالي . وقد أظهر مرضى المتلازمة أيضاً صعوبات في القدرة على الحفظ وذلك كما يتضح من خلال عجزهم الأدائي في اختبار فرز بطاقة ولاية ويسكونسن.[3]
و ويمكن لفقدان الذاكرة الرجعي الذي يرافق متلازمة فيرنيك - كوساكوف أن يمتد لفترة تتراوح ما بين عشرين وثلاثين عاماً تحت تدرج زمني، بحيث يستطيع المصاب استعداء الذكريات السابقة بشكل أفضل من الذكريات الحديثة.[9] وكان من المتفق وعلى نطاق واسع أنّ الأجسام الدماغية المسؤولة عن ضعف الذاكرة المتعلق بمتلازمة ( فيرنيك - كورساكوف ) هما الأجسام الحلمية ( الثديية ) والمناطق المهادية [10] .وعلى الرغم من عجز الذاكرة المذكور أعلاه، فإنّ وظائف الذاكرة اللاواعية تكاد تبدو سليمة في مرضى المتلازمة وقد ثبت ذلك من خلال فحوص التهيؤ النفسي .[3]
وقد أظهرت دراسات أخرى العجز في ذاكرة الاعتراف ودوافع التحفيز والمكافأة في المرضى الذين يعانون من متلازمة فيرنيك كورساكوف.[10] وقد تم عرض العجز في وظائف التحفيز والمكافأة من قبل أوسكار-بيرمان وبولاسكي الذي قدم المرضى مع تعزيزات لبعض المحفزات ولكن ليس الآخرين، ثم طلب من المرضى التمييز بين المحفزات ذات المكافأة من المحفزات غير المكافأة. أظهر مرضى المتلازمة عجزا كبيرا في هذه المهمة. وقد نجح الباحثون أيضا في عرض العجز في ذاكرة الاعتراف عن طريق اتخاذ المرضى قرار نعم / لا ما إذا كان التحفيز كان مألوفا (ينظر سابقا) أو رواية (لم يسبق له مثيل)وأظهر المرضى في هذه الدراسة عجزا كبيرا في قدرتهم على أداء هذه المهمة أيضا.[10]
تسامر
تشير المشاحنات التلقائية إلى الذكريات غير الصحيحة التي يعتقد المريض أنها صحيحة، وقد تعمل على الظهور بشكل تلقائي بدون أي استفزاز. يمكن أن تحدث التشويهات المثرية عندما يكون المريض ملتزمًا بتقديم استجابة، قد يحدث ذلك في إعدادات الاختبار. يُعتقد أن التسويات التلقائية التي يتم عرضها في WKS تنتج عن ضعف في ذاكرة المصدر، حيث يتعذر عليهم تذكر المعلومات المكانية والسياقية للحدث، وبالتالي قد يستخدمون آثار ذاكرة قديمة أو غير ملائمة لملئ المعلومات التي لا يمكن الوصول لها. وقد اقترح أيضا أن هذا السلوك قد يكون بسبب الخلل الوظيفي التنفيذي حيث لا يستطيعون تثبيط الذكريات غير الصحيحة أو لأنهم غير قادرين على تحويل انتباههم عن الاستجابة الخاطئة.[11]
الأسباب
تتواجد ملازمة فيرنيك كورساكوف عادة لدى مدمني الكحول وتنتج بسبب نقص في الثيامين (فيتامين ب1). ومن المتفق عليه عموماً ان التهاب الدماغ في متلازمة فيرنيك ناتجة بسبب النقص الحاد للثيامين. ويعتبر بيروفوسفات الثيامين الشكل الايضي النشط للثيامين والذي يلعب دوراً مهماً كعامل أو إنزيم مساعد في تأيض الغلوكوز. تتواجد الإنزيمات التي تعتمد بشكل أساسي على البيروفوسفات في حلقة حمض الستريت أو كما تُعرف بـحلقة كريبس، حيث تقوم بتحفيز أكسدة حمض البيروفيت، ألفا-كيتوجلوكوريت وسلاسل متفرعة من الحموض الأمينية. لذلك، ما يقوم بزيادة أيض الغلوكوز، سيؤدي بالتأكيد لتفاقم نقص الثيامين الإكلينيكي.
وكما ذُكر بالسابق فإن متلازمة فيرنيك-كورساكوف في الولايات المتحدة الأمريكية تنتشر بشكل خاص لدى من يعانون من سوء في التغذية من مدمني الكحول، متلقي العلاج الوريدي لمدة طويلة دون تلقي المكملات الغذائية المحتوية على فيتامين ب1، المرضى الخاضعين لـجراحة المجازة المعدية أو المضربين عن الطعام. في بعض المناطق، لاحظ الأطباء انتشار نقص الثايمين لدى حالات سوء التغذية الشديدة، بالأخص في الأطعمة الغنية بشكل كبير بالأرز الأبيض، وهو من الأطعمة غير المحتوية على الثايمين. ويطلق على المرض العصبي الناتج من نقص الثايمين لقب البري بري. في الأشخاص الذين يعانون من مرض نقص الثايمين (البريبري) دون السريري، يمكن لجرعة كبيرة من الغلوكوز (سواء في الحلويات أو حقن الغلوكوز) أن تعجل من ظهور الاعتلال الدماغي بشكل واضح وصريح.[12][13][14]
ترتبط متلازمة فيرنيك-كورساكوف لدى مدمني الكحول بحدوث ضمور/احتشاء لمناطق معينة في الدماغ، خاصةَ الأجسام الحلمية. وتشمل مناطق أخرى كالمنطقة الأمامية في المهاد (ويُعزى إليها أعراض فقدان الذاكرة)، المهاد الظاهري الإنسي، الدماغ الأمامي القاعدي، نوى راجيش الوسطاني والظاهري[15] بالإضافة للمخيخ.[16]
وقد ارتبطت دراسة واحدة غير متكررة بقابلية هذه المتلازمة بالنقص الموروث لإنزيم ترانسكيتوليز، وهو انزيم يحتاج الثايمين كعامل مساعد له.[17]
ما بعد استئصال المعدة
تم اثبات حقيقة أن جراحة الجهاز الهضمي تساهم في تطور متلازمة فيرنيك-كورساكوف عن طريق دراسة تم إجراؤها على ثلاثة مرضى كانوا قد خضعوا حديثاَ لاستئصال المعدة. هؤلاء المرضى قد أصيبوا لاحقاَ بمتلازمة فيرنيك-كورساكوف ولكنهم لم يكونوا مدمني كحول ولم يعانوا مسبقاَ من حرمان غذائي أو سوء في التغذية. تطورت متلازمة فيرنيك-كورساكوف خلال سنتين إلى عشرين سنة بعد الجراحة.[18] كان هناك تغيرات غذائية بسيطة ساهمت في تطور متلازمة فيرنيك-كورساكوف ولكن بشكل عام نقص امتصاص الثايمين من الجهاز الهضمي كان السبب الأساسي. لذلك، يجب التأكد من أن المرضى الخاضعين لاستئصال المعدة على دراية تامّة بالعادات الغذائية الصحيحة، ومراقبة كمية الثايمين التي يتم تناولها. بالإضافة إلى أن التشخيص المبكر لمتلازمة فيرنيك-كورساكوف، إذا تطور، من الأمور المهمة للغاية.[18]
التفاعلات ما بين الكحول والثايمين
تشير دلائل قوية إلى أن الايثانول يتداخل بشكل مباشر مع امتصاص الثايمين في الجهاز الهضمي. يعطل الايثانول أيضاً تخزين الثايمين في الكبد وتحويل الثايمين لنظيره النشط.[19] وقد تم الاتفاق بالتجربة على دور استهلاك الكهول في تطور متلازمة فيرنيك-كورساكوف وذلك عن طريق استخدام الفئران التي تم تعريضها للكحول وتقليل مستوى الثايمين عن طريق تزويدهم بغذاء يحتوي على قليل من الثايمين.[20] على وجه الخصوص، أثبتت دراسات علمية أن الأعراض السريرية للمشاكل العصبية الناتجة عن نقص الثايمين تتطور بشكل أسرع في الفئران التي استهلكت الكحول والغذاء منقوص الثايمين من الفئران التي لم تستهلك الكحول.[20] في دراسة أخرى، وُجد أن الفئران التي تم تغذيتها بشكل مزمن ومستمر بالكحول لديها نقص ملحوظ في مخازن الثايمين في الكبد بالمقارنة مع الفئران التي تم إعطاؤها كحول بشكل منتظيم وتحت المراقبة. هذا يقدم تفسيراً لسبب ارتفاع نسب نقص الثايمين ومتلازمة فيرنيك-كورساكوف لدى مدمني الكحول الذين يعانون من تليف الكبد.[19]
الفسيولوجيا المرضية
ضمور الدماغ المرتبط بمتلازمة فيرنيك-كورساكوف يحدث في المناطق التالية: الأجسام الحلمية، المهاد، الرمادي المركزي، جدران البطين الثالث، أرضية البطين الرابع، المخيخ والفص الأمامي (الجبهي). بالإضافة للدمار الملحوظ في هذه المناطق، هناك بعض التقارير تشير لحدوث ضرر في القشرة الدماغية، على الرغم أنه قد لوحظ أن هذا قد يكون ناجماً عن التأثيرات السامة المباشرة للكحول المقابلة لنقص الثايمين الذي تم ربطه على أنه السبب الكامن وراء متلازمة فيرنيك-كورساكوف.[5]
فقدان الذاكرة المرتبطة بهذه المتلازمة سببها ضمور مناطق الدماغ البيني (المهاد، تحت المهاد والأجسام الحلمية)، وهذه مشابهة لفقدان الذاكرة الذي يظهر في حالات إصابة وسط الفص الصدغي.[21] وقد قيل أن الأضرار التي تصيب الذاكرة من الممكن حدوثها نتيجةً لأي جزء قد تضرر على طول الطريق الحلمي-المهادي، والذي يفسر كيف لمتلازمة فيرنيك-كورساكوف أن تتطور في المرضى المتضررين في منطقة المهاد أو الأجسام الحلمية.[5]
التشخيص
التشخيص لمتلازمة فيرنيك-كورساكوف يكون عن طريق الانطباع السريري وفي بعض الأحيان يتم تأكيده عن طريق التقييم العصبي النفسي الرسمي. يظهر الاعتلال الدماغي المرتبط بمتلازمة فيرنيك على شكل ترنح ورأرأة، وذهان كورساكوف مع فقدان الذاكرة الارتجاعي والرجعي.
في كثير من الأحيان، وبسبب نقص الثايمين والوذمة الدماغية الناتجة عنه في الاعتلال الدماغي المرتبط بمتلازمة كورساكوف، فإن المرضى يصابون بانتكاس ملحوظ في الأجسام الحلمية. الثايمين (فيتامين ب1) هو مساعد انيزم مهم وضروري في عملية تأيض الكربوهيدرات وهو أيضاً منظم للتدرج التناضحي (الاسموزي). نقص الثايمين قد يسبب انتفاخ في الفضاء داخل الخلوي واضطراب محلي في الغشاء الدموي الدماغي. الغشاء الدماغي غشاء حساس للتغيرات في الشوارد والضغط ويمكن أن تكون الوذمة الدماغية سامة. يحدث هذا في متلازمة فيرنيك بشكل خاص في الأجسام الحلمية، في وسط المهاد، سقف الدماغ المتوسط والرمادي المركزي. قد يعاني المصابون أيضاً من كراهية لأشعة الشمس ولذلك قد يرغبون في البقاء في الداخل مع إطفاء الأضواء. آلية هذا الانحطاط غير معروفة، لكنها تدعم النظرية العصبية الحالية بأن الأجسام الحلمية تلعب دورًا في "دوائر الذاكرة" المختلفة داخل الدماغ. مثال على دائرة الذاكرة هو دائرة بابيز.
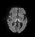
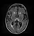
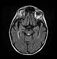
صورة محورية تظهر اشارة في المادة الرمادية المركزية وسقف الدماغ المتوسط.
صورة محورية تظهر إشارة تدل على انتشار محدود في الوسط المهادي الظهري.
صورة محورية عن طريق الرنين المغناطيسي FLAIR تظهر إشارة في الوسط المهادي ظهري ، وهو شيء شائع في الاعتلال الدماغي المرتبط بمتلازمة فيرنيك. كان هذا المريض تقريبا في حالة غيبوبة عندما بدأ تمديده بالثيامين وريدياً ، استجاب بشكل جيد لكنه ترك بعض العجز المرتبط بمتلازمة كورساكوف.
العلاج
تعتبر ظهور أعراض الدماغ الفيرنكي حالة طبية طارئة، ويجب البدء في إعطاء الثيامين (فيتامين (B1)) على الفور عند الاشتباه بأعراض المرض[4] ؛وذلك لأن الثيامين (فيتامين (B1)) يمنع تطور المرض إلى متلازمة فرنيكيه كورساكوف ويقلل من حدة المرض.يمكن للعلاج أن يخفف من حدة العجز الناتج عن المرض وأعراضه، لكن لا يمكن أن يعيد المريض إلى الحالة الطبيعية أو يعكس أوجه القصور الموجودة عنده. ما نسبته 80% من المرضى على الأقل تستمر أعراض متلازمة فرنيكيه كورساكوف تظهر لديهم بالرغم من استمرارهم بالعلاج[22] .المرضى الذين يعانون من الاعتلال الدماغ الفيرنيكي يجب إعطائهم الحد الأدنى من جرعة هيدروكلوريد الثيامين (فيتامين (B1)) والتي تعادل 500 ملغم عن طريق الوريد على مدى 30 دقيقة لمدة يومين إلى ثلاثة أيام.
إذا لم تظهر أي استجابة على المريض فيجب وقف العلاج فوراً، أما بالنسبة للمرضى الذين يستجيبون للعلاج، يتم الإستمرار في إعطائهم هيدروكلوريد الثيامين (فيتامين (B1)) ولكن مع تعديل على كمية الجرعة وومدتها لتصبح 250 ملغم لمدة ثلاثة إلى خمسة أيام عن طريق الوريد أو عن طريق العضل .[4]
بالإضافة إلى ذلك، هناك وسيلة أخرى مستخدمة بالعلاج وهي استخدام كيس الموز (بالانجليزية:Banana bag)وهو عبارة عن كيس يحتوي على فيتامينات ومعادن بالإضافة إلى الثيامين (فيتامين (B1)) يعطى عن طريق الوريد.[23][24]
الوقاية
كم تم توضحيه سابقاً، غالباً متلازمة كورساكوف تترافق مع الاعتلال الدماغي الفيرنكي إلا إذا تم علاج الاعتلال الدماغي الفيرنكي بسرعة بوساطة الثيامين(فيتامين (B1)) فهذا من شأنه أن يمنع تطور المرض إلى متلازمة كورساكوف لذلك يجب إعطاء الجرعة المناسبة من الثيامين(فيتامين (B1)) في الوقت المناسب.
من جهة أخرى أظهرت دراسة حول متلازمة فيرنكية-كورساكوف أن الالتزام باستخدام الثيامين(فيتامين (B1)) أدى إلى تحسينات ملحوظة في الحالة العقلية بعد أسبوعين إلى ثلاثة أسابيع [4] فقط من العلاج وهذا يعطي أمل أنه ليس من الضرورة أن يتطور الاعتلال الدماغي الفيرنكي إلى متلازمة فيرنكية كورساكوف.
في الوقت ذاته من أجل الحد من مخاطر تطوير متلازمة فيرنكية كورساكوف من المهم الحد من تناول الكحول والمشروبات الروحية واتباع نظام تغذية صحي من أجل تلبية احتياجات الجسم من التغذية السليمة والتي تعمل جنباً إلى جنب مع الثيامين(فيتامين (B1)) في تقليل فرصة تطوير متلازمة فيركية كورساكوف.
هذه الطريقة أيضاً قد تساعد في التخلص من إدمان الكحول عند الأشخاص غير قادرين عن الإقلاع عن إدمان الكحول.[1]
علم الأوبئة
على الصعيد الدولي، فإن معدلات انتشار الاعتلال الدماغي الفيرنكي ثابتة نسبيا، في أي مكان بين صفر واثنين في المئة. على الرغم من هذا، هناك مجموعات معينة يكون لديها معدلات انتشارمتلازمة فيرنكية كورساكوف أعلى خاصة الأشخاص الذين هم بلا مأوى، وكبار السن (خاصة أولئك الذين يعيشون بمفردهم أو في عزلة) ، والمرضى النفسيين داخل المصحات [25].الإضافة إلى ذلك، تشير الدراسات إلى أن انتشارمتلازمة فيرنكية كورساكوف لا يرتبط بمعدل استهلاك الكحول للفرد الواحد. على سبيل المثال، في فرنسا، وهي دولة معروفة جيدا باستهلاك وإنتاج النبيذ، كان معدل انتشار المرض فيها 0.4٪ فقط في عام 1994 ، في حين كان معدل انتشار المرض في أستراليا 2.8٪.[26]
تاريخ المرض
الاعتلال الدماغي الفيرنكي
اكتشف كارل فيرنيك بالانجليزي (Carl Wernicke): إعتلال فرنكي الدماغي في عام 1881.حيث لاحظ خلال تشخيصه الأول للمرض هذه الأعراض:شلل في حركات العين، ترنح ، ارتباك العقلي. كما لاحظ وجود نزيف في المادة الرمادية حول البطينين الثالث والرابع في القناة الدماغية.إضافة إلى ذلك لاحظ وجود ضمور في الدماغ بعد تشريح جثة مريض مصاب بالمرض. من جهة أخرى اعتقد فيرنيك أن النزيف ناتج عن التهاب فأطلق على المرض اسم التهاب النخاع الشوكي النزفي الفوقي في وقت لاحق وجد ان سبب حدوث الاعتلال الدماغي الفيرنكي ومتلازمة كورساكوف هو نفسه.[25]
متلازمة كورساكوف
سيرغي كورساكوف (بالانجليزية:Sergei Korsako ) طبيبًا روسيًا سميت "متلازمة كورساكوف" باسمه. في أواخر القرن التاسع عشر، كان كورساكوف يتابع مرضى الكحول على المدى الطويل وبدأ في ملاحظة انخفاض في وظائف الذاكرة عنده [5].في المؤتمر الطبي الدولي الثالث عشر في موسكو في عام 1897 ، قدم كورساكوف تقريرا بعنوان: " شكل خاص من الأمراض العقلية بوجود التهاب الأعصاب التنكسية". بعد تقديم هذا التقرير تم صياغة المصطلح "متلازمة كورساكوف".[25]
على الرغم من اكتشاف كل من المتلازمتين الاعتلال الدماغي الفيرنكي ومتلازمة كورساكوف بشكل منفصل، إلا أنه عادة ما يشار إليهما تحت اسم واحد، متلازمة فيرنيك-كورساكوف، ويرجع ذلك إلى حقيقة أنهما جزء من نفس السبب ولأن بداية متلازمة كورساكوف تتبع عادة الاعتلال الدماغي الفيرنكي إذا تركت دون علاج.
الأبحاث
هناك حالة مدروسة مشهورة التي كتبها الكاتب أوليفر ساكس، في قصة "البحار المفقود"، في كتابه "الرجل الذي أخطأ بين زوجته والقبعة"(بالانجليزية:The Man Who Mistook His Wife for a Hat)
- مدلاين بلس Wernicke-Korsakoff syndrome
- Thomson, Allan D.; Marshall, E. Jane (2006). "The natural history and pathophysiology of Wernicke's Encephalopathy and Korsakoff's Psychosis". Alcohol and Alcoholism. 41 (2): 151–8. doi:10.1093/alcalc/agh249. PMID 16384871. الوسيط
|CitationClass=تم تجاهله (مساعدة) - Vetreno, Ryan Peter (2011). Thiamine deficiency-induced neurodegeneration and neurogenesis (PhD Thesis). Binghampton University. ISBN 978-1-124-75696-7. OCLC 781626781. الوسيط
|CitationClass=تم تجاهله (مساعدة)[بحاجة لرقم الصفحة] - Sechi, GianPietro; Serra, Alessandro (2007). "Wernicke's encephalopathy: new clinical settings and recent advances in diagnosis and management". The Lancet Neurology. 6 (5): 442–55. doi:10.1016/S1474-4422(07)70104-7. PMID 17434099. الوسيط
|CitationClass=تم تجاهله (مساعدة) - Kyoko Konishi. (2009) The Cognitive Profile of Elderly Korsakoff's Syndrome Patients.[بحاجة لرقم الصفحة]
- Ingram, V.; Kelly, M.; Grammer, G. "Wernicke-Korsakoff Syndrome Following Uvulopalatopharyngoplasty for Sleep Apnea". الوسيط
|CitationClass=تم تجاهله (مساعدة) in "Abstracts Presented at the Thirty-First Annual International Neuropsychological Society Conference, February 5–8, 2003 Honolulu, Hawaii". Journal of the International Neuropsychological Society. 9 (2): 135–330. 2003. doi:10.1017/S1355617703920017. الوسيط|CitationClass=تم تجاهله (مساعدة) - Thomson, Allan D.; Cook, Christopher C. H.; Guerrini, Irene; Sheedy, Donna; Harper, Clive; Marshall, E. Jane (2008). "Review: Wernicke's encephalopathy revisited: Translation of the case history section of the original manuscript by Carl Wernicke 'Lehrbuch der Gehirnkrankheiten fur Aerzte and Studirende' (1881) with a commentary". Alcohol and Alcoholism. 43 (2): 174–9. doi:10.1093/alcalc/agm144. PMID 18056751. الوسيط
|CitationClass=تم تجاهله (مساعدة) - Brand, Matthias; Fujiwara, Esther; Kalbe, Elke; Steingass, Hans-Peter; Kessler, Josef; Markowitsch, Hans J. (2003). "Cognitive Estimation and Affective Judgments in Alcoholic Korsakoff Patients". Journal of Clinical and Experimental Neuropsychology. 25 (3): 324–34. doi:10.1076/jcen.25.3.324.13802. PMID 12916646. الوسيط
|CitationClass=تم تجاهله (مساعدة) - Kopelman, M. D.; Thomson, A. D.; Guerrini, I.; Marshall, E. J. (2009). "The Korsakoff Syndrome: Clinical Aspects, Psychology and Treatment". Alcohol and Alcoholism. 44 (2): 148–54. doi:10.1093/alcalc/agn118. PMID 19151162. الوسيط
|CitationClass=تم تجاهله (مساعدة) - Oscar-Berman, Marlene; Pulaski, Joan L. (1997). "Associative learning and recognition memory in alcoholic Korsakoff patients". Neuropsychology. 11 (2): 282–9. doi:10.1037/0894-4105.11.2.282. PMID 9110334. الوسيط
|CitationClass=تم تجاهله (مساعدة) - Kessels, Roy P. C.; Kortrijk, Hans E.; Wester, Arie J.; Nys, Gudrun M. S. (2008). "Confabulation behavior and false memories in Korsakoff's syndrome: Role of source memory and executive functioning". Psychiatry and Clinical Neurosciences. 62 (2): 220–5. doi:10.1111/j.1440-1819.2008.01758.x. PMID 18412846. الوسيط
|CitationClass=تم تجاهله (مساعدة) - Zimitat, Craig; Nixon, Peter F. (1999). "Glucose loading precipitates acute encephalopathy in thiamin-deficient rats". Metabolic Brain Disease. 14 (1): 1–20. doi:10.1023/A:1020653312697. PMID 10348310. الوسيط
|CitationClass=تم تجاهله (مساعدة) - Navarro, Darren; Zwingmann, Claudia; Chatauret, Nicolas; Butterworth, Roger F. (2008). "Glucose loading precipitates focal lactic acidosis in the vulnerable medial thalamus of thiamine-deficient rats". Metabolic Brain Disease. 23 (1): 115–22. doi:10.1007/s11011-007-9076-z. PMID 18034292. الوسيط
|CitationClass=تم تجاهله (مساعدة) - Watson, A. J. S.; Walker, J. F.; Tomkin, G. H.; Finn, M. M. R.; Keogh, J. A. B. (1981). "Acute Wernickes Encephalopathy precipitated by glucose loading". Irish Journal of Medical Science. 150 (10): 301–3. doi:10.1007/BF02938260. PMID 7319764. الوسيط
|CitationClass=تم تجاهله (مساعدة) - Mann, Karl; Agartz, Ingrid; Harper, Clive; Shoaf, Susan; Rawlings, Robert R.; Momenan, Reza; Hommer, Daniel W.; Pfefferbaum, Adolf; Sullivan, Edith V.; Anton, Raymond F.; Drobes, David J.; George, Mark S.; Bares, Roland; Machulla, Hans-Juergen; Mundle, Goetz; Reimold, Matthias; Heinz, Andreas (2001). "Neuroimaging in Alcoholism: Ethanol and Brain Damage". Alcoholism: Clinical and Experimental Research. 25 (5 Suppl ISBRA): 104S–109S. doi:10.1111/j.1530-0277.2001.tb02383.x. PMID 11391058. الوسيط
|CitationClass=تم تجاهله (مساعدة) - Butterworth, RF (1993). "Pathophysiology of cerebellar dysfunction in the Wernicke-Korsakoff syndrome". The Canadian Journal of Neurological Sciences. 20 Suppl 3: S123–6. PMID 8334588. INIST:4778798. الوسيط
|CitationClass=تم تجاهله (مساعدة) - Nixon, Peter F.; Kaczmarek, M. Jan; Tate, Jill; Kerr, Ray A.; Price, John (1984). "An erythrocyte transketolase isoenzyme pattern associated with the Wernicke-Korsakoff syndrome". European Journal of Clinical Investigation. 14 (4): 278–81. doi:10.1111/j.1365-2362.1984.tb01181.x. PMID 6434322. الوسيط
|CitationClass=تم تجاهله (مساعدة) - Shimomura, Tatsuo; Mori, Etsuro; Hirono, Nobutsugu; Imamura, Toru; Yamashita, Hikari (1998). "Development of Wernicke-Korsakoff syndrome after long intervals following gastrectomy". Archives of Neurology. 55 (9): 1242–5. doi:10.1001/archneur.55.9.1242. PMID 9740119. مؤرشف من الأصل في 29 مايو 2020. الوسيط
|CitationClass=تم تجاهله (مساعدة) - Todd, Kathryn G.; Hazell, Alan S.; Butterworth, Roger F. (1999). "Alcohol-thiamine interactions: an update on the pathogenesis of Wernicke encephalopathy". Addiction Biology. 4 (3): 261–72. doi:10.1080/13556219971470. PMID 20575793. الوسيط
|CitationClass=تم تجاهله (مساعدة) - He, Xiaohua; Sullivan, Edith V; Stankovic, Roger K; Harper, Clive G; Pfefferbaum, Adolf (2007). "Interaction of Thiamine Deficiency and Voluntary Alcohol Consumption Disrupts Rat Corpus Callosum Ultrastructure". Neuropsychopharmacology. 32 (10): 2207–16. doi:10.1038/sj.npp.1301332. PMID 17299515. الوسيط
|CitationClass=تم تجاهله (مساعدة) - Caulo, M. (2005). "Functional MRI study of diencephalic amnesia in Wernicke-Korsakoff syndrome". Brain. 128 (7): 1584–94. doi:10.1093/brain/awh496. PMID 15817513. الوسيط
|CitationClass=تم تجاهله (مساعدة) - Victor, M.; Adams, R. D.; Collins, G. H. (1971). "The Wernicke-Korsakoff syndrome. A clinical and pathological study of 245 patients, 82 with post-mortem examinations". Contemporary Neurology Series. 7: 1–206. ISSN 0069-9446. PMID 5162155. مؤرشف من الأصل في 12 أبريل 2018. الوسيط
|CitationClass=تم تجاهله (مساعدة) - E., Kelsey, Jeffrey (2006). Principles of psychopharmacology for mental health professionals. Hoboken, N.J.: Wiley-Liss. ISBN 9780471794622. OCLC 85821062. مؤرشف من الأصل في 13 ديسمبر 2019. الوسيط
|CitationClass=تم تجاهله (مساعدة) - Introduction to emergency medicine. Philadelphia: Lippincott Williams & Willkins. 2005. ISBN 9780781732000. OCLC 56657557. مؤرشف من الأصل في 13 ديسمبر 2019. الوسيط
|CitationClass=تم تجاهله (مساعدة) - Wernicke-Korsakoff Syndrome at eMedicine نسخة محفوظة 08 أكتوبر 2017 على موقع واي باك مشين.
- Harper, C.; Fornes, P.; Duyckaerts, C.; Lecomte, D.; Hauw, J. J. (March 1995). "An international perspective on the prevalence of the Wernicke-Korsakoff syndrome". Metabolic Brain Disease. 10 (1): 17–24. ISSN 0885-7490. PMID 7596325. مؤرشف من الأصل في 24 يوليو 2018. الوسيط
|CitationClass=تم تجاهله (مساعدة)
- بوابة علم النفس
- بوابة طب
