متلازمة فيروس هانتا الرئوية
متلازمة فيروس هانتا الرئوية (اختصارًا HPS)،(1) هي واحدةٍ من متلازمتين قاتلتين من أصلٍ حيوانيٍ تُسببها أنواعٌ من فيروس هانتا،[2] وتتضمن فيروس نيويورك وفيروس قناة بلاك كريك [الإنجليزية] وفيروس مونونغاهيلا [الإنجليزية] والفيروس اللااسم له، بالإضافة لإنواعٍ أُخرى ضمن جنس فيروس هانتا المُتوطن في الولايات المتحدة وكندا.[3]
| متلازمة فيروس هانتا الرئوية | |
|---|---|
| Hantavirus pulmonary syndrome | |
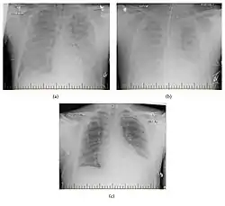
![]() صورةُ أشعة تظهر التطور الرئوي الحاصل في متلازمة فيروس هانتا. تُمثل (a) الصورة عن ظهور الأعراض لأول مرة، (b) صورة في اليوم الثاني من الدخول إلى المستشفى وبعد الأكسجة الغشائية خارج الجسم، (c) صورة في اليوم العاشر من الدخول إلى المستشفى وذلك بعد تركيب أنبوبٍ للشخص صورةُ أشعة تظهر التطور الرئوي الحاصل في متلازمة فيروس هانتا. تُمثل (a) الصورة عن ظهور الأعراض لأول مرة، (b) صورة في اليوم الثاني من الدخول إلى المستشفى وبعد الأكسجة الغشائية خارج الجسم، (c) صورة في اليوم العاشر من الدخول إلى المستشفى وذلك بعد تركيب أنبوبٍ للشخص | |
| تسميات أخرى | مرض الزوايا الأربع |
| معلومات عامة | |
| الاختصاص | طب الرئة |
| من أنواع | مرض فيروس هانتا المعدي ، ومرض رئوي ، ومرض فيروسي |
| الموقع التشريحي | وعاء دموي |
| الأسباب | |
| الأسباب | فيروس هانتا |
| طريقة انتقال العامل المسبب للمرض | انتقال محمول جوا |
| المظهر السريري | |
| الأعراض | حمى ، ونفضان [1]، وألم عضلي ، وسعال ، وضيق النفس ، ووذمة الرئة [1]، وصدمة [1]، وتقيؤ [1]، وألم بطني ، وإسهال ، وصداع ، والتهاب البلعوم ، والتهاب الملتحمة |
| الإدارة | |
| حالات مشابهة | الإنفلونزا |
| الوبائيات | |
| الوفيات | 38% |
تُعتبر بعض القوارض العائل الرئيسي لفيروسات هانتا، وتتضمن جرذ القطن الزغبي في فلوريدا، والذي يُعتبر العائل الرئيسي لفيروس قناة بلاك كريك.[4][5] يُعتبر فأر الأيل في كندا وغرب الولايات المتحدة العائل الرئيسي للفيروس اللااسم له.[6][7] أما الفأر أبيض القدمين في شرق الولايات المتحدة فيُعتبر العائل الرئيسي لفيروس نيويورك.[8] وُثق في أمريكا الجنوبية أنَّ جرذ أرز القزم طويل الذيل والأنواع الأخرى من جنس جرذان أرز القزم تُعتبر عائلًا احتياطيًا لفيروس الأنديز.[9][10][11]
الأعراض والعلامات
تكونُ الأعراض الأولية للمرض مُشابهةً لأعراض الإنفلونزا، وتتضمن حمى وسُعال وألم عضلي وصداع وخُمول وضيق في التنفس، والتي تتدهور بسرعةٍ إلى فشلٍ تنفسيٍ حاد. يتميزُ المرض بحدوث ضيقٍ فجائيٍ في التنفس مع وذمةٍ رئوية سريعة الظهور، وغالبًا ما تكون قاتلةً على الرغم من التهوية الميكانيكية واستعمال مُدرات البول القوية. تبلغ نسبة الوفيات حوالي 36%.
الانتقال

يُعتبر انتقال الفيروس عن طريق فضلات القوارض الهوائية هو الطريقةُ الوحيدة المعروفة لانتقال الفيروس إلى البشر. عمومًا، لم يَظهر أنه يُمكن انتقال فيروسات هانتا في الأنواع الرئوية أو النزفية عبر الرذاذ و/أو أداة العدوى.[12][13]
التشخيص
وفقًا لكيفن ليتمان-نافارو فإنهُ يسهُل عدم الانتباه لمتلازمة فيروس هانتا الرئوية؛ وذلك لأنَّ أعراضه المبكرة تُشبه إلى حدٍ كبير الإنفلونزا، حيثُ يُعاني المصابون من التعب والحمى وآلام العضلات المصحوبة غالبًا بالصداع والدوخة ومشاكل الجهاز الهضمي في الأسابيع التالية للتعرض للعدوى، وبعد حوالي أسبوعٍ من اختفاء الأعراض الأولية، تبدأ المرحلة الثانية من المرض، حيثُ يعاني المرضى من سعالٍ شديدٍ وضيقٍ في التنفس مع امتلاء الرئتين بالسوائل. في المراحل المتأخرة من متلازمة فيروس هانتا الرئوية، تتضرر الرئتان بشدةٍ، مما يؤدي إلى معدل وفيات بحوالي 38%.[14]
الوقاية
تُعتبر مكافحة القوارض داخل وحول المنزل أو السكن الإستراتيجية الأساسية للوقاية من المرض، بالإضافة إلى القضاء على الاقتراب من القوارض في أماكن العمل والتخييم. غالبًا ما تكون غرف التخزين المُغلقة والكبائن مواقعًا مثاليةً لإصابة القوارض. يُوصى بتهوية هذه المناطق قبل استخدامها، كما يُنصح الأفراد بتجنب الاتصال المباشر بفضلات القوارض مع ارتداء قناعٍ أثناء تنظيف هذه المناطق؛ وذلك لتجنب استنشاق إفرازات القوارض الهوائية.[15]
العلاج
لا يوجد علاجٌ أو لقاحٌ لمتلازمة فيروس هانتا الرئوية. يشملُ العلاج استعمال علاجٍ داعم، ويتضمن التهوية الميكانيكية مع أكسجينٍ إضافي وذلك خلال مرحلة فشل الجهاز التنفسي الحرجة من المرض. يُساعد التشخيص المبكر لمتلازمة فيروس هانتا الرئوية مع إدخال المريض إلى وحدة العناية المركزة على مآلٍ أفضل للحالة.
الوبائية
حُددت متلازمة فيروس هانتا الرئوية للمرة الأولى خلال تفشي عام 1993 في منطقة الزوايا الأربع في جنوب غرب الولايات المتحدة، حيثُ حدده الطبيب بروس تيمبست. كانت المتلازمة تُسمى في البداية بمرض الزوايا الأربع، ولكن غُيرَّ الاسم إلى الفيروس اللاسم له بعد شكاوٍى من الأمريكيين الأصليين بأنَّ اسم "الزوايا الأربع" يُسبب وصمةً للمنطقة.[16] منذ ذلك الوقت كان المرض قد حدد في جميع أنحاء الولايات المتحدة.
هوامش
1. متلازمة فيروس هانتا الرئوية[ِ 1] (بالإنجليزية: Hantavirus pulmonary syndrome) وتعرف اختصارًا HPS، كما تُسمى أيضًا: متلازمة فيروس هنتا الرئوية[ِ 2] أو متلازمة الهنتافيروس الرئوية[ِ 2].
انظر أيضًا
المراجع
باللغة الإنجليزية
- معرف أنطولوجية المرض: http://www.disease-ontology.org/?id=DOID:14472 — تاريخ الاطلاع: 30 نوفمبر 2020 — الرخصة: CC0
- Koster FT. Levy H. "Hantavirus cardiopulmonary syndrome: a new twist to an established pathogen", In: Fong IW, editor; Alibek K, editor. New and Evolving Infections of the 21st Century, New York: Springer-Verlag New York, Inc.; 2006. pp. 151–170.
- Nichol ST. Beaty BJ. Elliott RM. Goldbach R, et al. Family Bunyaviridae. In: Fauquet CM, editor; Mayo MA, editor; Maniloff J, editor; Desselberger U, et al., editors. Virus Taxonomy: 8th Report of the International Committee on Taxonomy of Viruses. San Diego, CA: Elsevier Academic Press;
- Rollin PE. Ksiazek TG. Elliott LH. Ravkov EV, et al. "Isolation of Black Creek Canal virus, a new hantavirus from Sigmodon hispidus in Florida", J Med Virol. 1995;46:35–39. [PubMed]
- Glass GE. Livingstone W. Mills JN. Hlady WG, et al. "Black Creek Canal virus infection in Sigmodon hispidus in southern Florida", Am J Trop Med Hyg. 1998;59:699–703. ببمد
- Childs JE, Ksiazek TG, Spiropoulou CF, Krebs JW, Morzunov S, Maupin GO, Gage KL, Rollin PE, Sarisky J, Enscore RE (1994). "Serologic and genetic identification of Peromyscus maniculatus as the primary rodent reservoir for a new hantavirus in the southwestern United States". J. Infect. Dis. 169 (6): 1271–80. doi:10.1093/infdis/169.6.1271. PMID 8195603. مؤرشف من الأصل في 26 مايو 2020. الوسيط
|CitationClass=تم تجاهله (مساعدة) - Drebot MA. Gavrilovskaya I. Mackow ER. Chen Z, et al. "Genetic and serotypic characterization of Sin Nombre-like viruses in Canadian Peromyscus maniculatus mice", Virus Res. 2001;75:75–86. [PubMed]
- Hjelle B. Lee SW. Song W. Torrez-Martinez N, et al. "Molecular linkage of hantavirus pulmonary syndrome to the white-footed mouse, Peromyscus leucopus: genetic characterization of the M genome of New York virus", J Virol. 1995;69:8137–8141. [PMC free article] [PubMed]
- Wells RM, Sosa Estani S, Yadon ZE, Enria D, Padula P, Pini N, Mills JN, Peters CJ, Segura EL (أبريل–June 1997). "An unusual hantavirus outbreak in southern Argentina: person-to-person transmission? Hantavirus Pulmonary Syndrome Study Group for Patagonia". Emerg Infect Dis. 3 (2): 171–4. doi:10.3201/eid0302.970210. PMC 2627608. PMID 9204298. الوسيط
|CitationClass=تم تجاهله (مساعدة) - Levis S, Morzunov SP, Rowe JE, Enria D, Pini N, Calderon G, Sabattini M, St Jeor SC (مارس 1998). "Genetic diversity and epidemiology of hantaviruses in Argentina". J Infect Dis. 177 (3): 529–38. doi:10.1086/514221. PMID 9498428. الوسيط
|CitationClass=تم تجاهله (مساعدة) - Cantoni G, Padula P, Calderón G, Mills J, Herrero E, Sandoval P, Martinez V, Pini N, Larrieu E (أكتوبر 2001). "Seasonal variation in prevalence of antibody to hantaviruses in rodents from southern Argentina". Trop Med Int Health. 6 (10): 811–6. doi:10.1046/j.1365-3156.2001.00788.x. PMID 11679129. الوسيط
|CitationClass=تم تجاهله (مساعدة) - Peters, C.J. (2006). "Emerging Infections: Lessons from the Viral Hemorrhagic Fevers". Transactions of the American Clinical and Climatological Association. 117: 189–197. PMC 1500910. PMID 18528473. الوسيط
|CitationClass=تم تجاهله (مساعدة) - Crowley, J.; Crusberg, T. "Ebola and Marburg Virus Genomic Structure, Comparative and Molecular Biology". Dept. of Biology & Biotechnology, Worcester Polytechnic Institute. مؤرشف من الأصل في 15 أكتوبر 2013. اطلع عليه بتاريخ أغسطس 2020. الوسيط
|CitationClass=تم تجاهله (مساعدة); تحقق من التاريخ في:|تاريخ الوصول=(مساعدة) - Litman-Navarro, Kevin. "U.S. Woman Dies From Hantavirus, a Flu-Like Disease Spread by Rodents". Inverse.com. مؤرشف من الأصل في 27 يوليو 2019. الوسيط
|CitationClass=تم تجاهله (مساعدة) - "CDC - Hantavirus Pulmonary Syndrome (HPS) - Hantavirus". Cdc.gov. 2013-02-06. مؤرشف من الأصل في 16 يوليو 2019. اطلع عليه بتاريخ 07 يوليو 2013. الوسيط
|CitationClass=تم تجاهله (مساعدة) - "Death at the Corners". Discover Magazine. 1993-12-01. مؤرشف من الأصل في 6 سبتمبر 2019. اطلع عليه بتاريخ 25 مارس 2013. الوسيط
|CitationClass=تم تجاهله (مساعدة)
باللغة العربيَّة
- منظمة الصحة العالمية (WHO) (12 أيلول/سبتمبر 2012). "معلومات محدثة عن متلازمة فيروس هانتا الرئوية – منتزه يوسيميتي الوطني بالولايات المتحدة الأمريكية". مؤرشف من الأصل في 26 فبراير 2018. اطلع عليه بتاريخ 25 مارس 2020. الوسيط
|CitationClass=تم تجاهله (مساعدة); تحقق من التاريخ في:|تاريخ=(مساعدة) - مايو كلينك. "متلازمة الهنتافيروس الرئوية". مؤرشف من الأصل في 25 فبراير 2020. اطلع عليه بتاريخ 25 مارس 2020. الوسيط
|CitationClass=تم تجاهله (مساعدة)
روابط خارجية
- Muerto Canyon بواسطة جين بيل، 29 دقيقة، سلون للعلوم والسينما.
- فيروسات هانتا، مع التركيز على فيروسات هانتا الزوايا الأربع" بواسطة الطبيب بريان هيل، 2001، قسم علم الأمراض في كلية الطب في جامعة نيو مكسيكو.
- صفحة فهرس معلومات تقنية حول فيروسات هانتا، المركز الأمريكي لمكافحة الأمراض
- فايرلزون: فيروس هانتا
- قاعدة بيانات الفيروسات ومصدر التحليل (ViPR): Bunyaviridae
- فيروس هانتا- الحوادث والوفيات في أمريكا الشمالية والجنوبية، 1993-2004، منظمة الصحة للبلدان الأمريكية.
- بوابة طب
- بوابة علم الفيروسات
