متلازمة كانتو
متلازمة كانتو (خلل التنسج العظمي الغضروفي) [4] هي حالة نادرة تتميز بفرط الشعر، خلل التنسج العظمي الغضروفي، و تضخم في القلب. [5][3] تم وصف أقل من 50 حالة في الأدب. أنها ترتبط بطفرة في جين ABCC9 الذي يرمز لبروتين ABCC9. [3]
| متلازمة كانتو | |
|---|---|
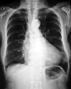
![]() تضخم في القلب (أشعة-اكس) أحد صفات متلازمة كانتو تضخم في القلب (أشعة-اكس) أحد صفات متلازمة كانتو | |
| معلومات عامة | |
| من أنواع | خلل تنسج عظمي غضروفي ، وفرط الشعر ، وتضخم القلب |
| الأسباب | |
| الأسباب | تشوه في جين ABCC [1] |
| المظهر السريري | |
| الأعراض | فرط الشعر |
| الإدارة | |
| التشخيص | مخطط صدى القلب, أشعة-إكس[2] |
| العلاج | تتم إدارة الجنف بالتمتين[3] |
العلامات والأعراض

الملامح الرئيسية لهذه الحالة هي فرط الشعر، تضخم غضروفي عظمي، تضخم القلب . وهناك أيضا مميزة سحنة. وتشمل الميزات الأخرى القناة الشريانية المفتوحة، تضخم الخلقي من البطين الأيسر، والانصباب التاموري. [6]
تظهر النتائج النمائية العصبية طبيعية، ولكن تم الإبلاغ عن السمات الهوسية والقلق. قد يرتبط أيضًا بالتهابات متكررة ذات مستويات منخفضة من الغلوبولين المناعي ونزيف في المعدة، وتشمل المضاعفات المحتملة الإضافية الوذمة اللمفاوية وتغير الصفيحات القزحية.
السبب

يبدو أن متلازمة كانتو موروثة بطريقة صبغية سائدة [7] ويبدو أنها تتأثر بجين ABCC9. [1] يوفر الجين ABCC9 مخططًا لإنشاء مستقبلات السلفونيل يوريا 2 في جسم الإنسان. [1] يقع الجين على الذراع القصير للكروموسوم 12 (12p12). ارتبطت الطفرات في جين آخر ( KCNJ8 ) أيضًا بهذا الاضطراب. يشفر كلا الجينين في وحدات فرعية لقناة ATP الحساسة للبوتاسيوم (KATP). يقع هذا الجين الثاني أيضًا على الذراع القصير للكروموسوم 12 (12p12.1). [بحاجة لمصدر]
الآلية
من حيث آلية متلازمة كانتي، يبلغ إجمالي الطفرات في جين ABCC9 25/31. من الناحية الفسيولوجية، مستقبلات السلفونيل يوريا 2 مهمة في استرخاء الأوعية الدموية .
زيادة في توتر الأوكسجين بعد الولادة، بالإضافة إلى تناقص PGE2 (بروستاغلاندين شائع [8] ) يؤدي إلى تثبيط قنوات البوتاسيوم ذات الجهد الكهربائي وتقلص العضلات الملساء (في القناة). [9]
التشخيص
يمكن تشخيص هذه الحالة عن طريق الاختبارات الجينية . [10] علاوة على ذلك، قد يساعد تخطيط صدى القلب والأشعة السينية في التشخيص. [2]
تشخيص متباين
يتكون التشخيص التفريقي لهذه الحالة مما يلي : [3]
العلاج
يعتمد العلاج / التدبير العلاجي لمتلازمة كانتو على الخيار الجراحي للقناة الشريانية المفتوحة في بداية العمر، وإدارة الجنف من خلال التمتين. علاوة على ذلك، هناك حاجة إلى رسم القلب بانتظام للفرد الذي أظهر هذه الحالة. [3]
التاريخ
تم وصف هذه الحالة في عام 1982 من قبل كانتو إت أل. [11]
انظر أيضا
- رتق مع آفات حطاطية
- قائمة الأمراض والإضطرابات الجلدية
المراجع
- Reference, Genetics Home. "ABCC9 gene". Genetics Home Reference (باللغة الإنجليزية). مؤرشف من الأصل في 29 مارس 2019. اطلع عليه بتاريخ 23 مارس 2017. الوسيط
|CitationClass=تم تجاهله (مساعدة) - Kirk, Edwin P.; Scurr, Ingrid; van Haaften, Gijs; van Haelst, Mieke M.; Nichols, Colin G.; Williams, Maggie; Smithson, Sarah F.; Grange, Dorothy K. (2017-04-01). "Clinical utility gene card for: Cantú syndrome". European Journal of Human Genetics (باللغة الإنجليزية). 25 (4): 512. doi:10.1038/ejhg.2016.185. ISSN 1018-4813. PMID 28051078. مؤرشف من الأصل في 06 مايو 2017. الوسيط
|CitationClass=تم تجاهله (مساعدة) - Grange, Dorothy K.; Nichols, Colin G.; Singh, Gautam K. (1993-01-01). Pagon; Adam; Ardinger; Wallace; Amemiya; Bean; Bird; Ledbetter; Mefford (المحررون). GeneReviews(®). Seattle (WA): University of Washington, Seattle. PMID 25275207. الوسيط
|CitationClass=تم تجاهله (مساعدة)Initial posting 2014 - "OMIM Entry - # 239850 - CANTU SYNDROME". omim.org (باللغة الإنجليزية). مؤرشف من الأصل في 30 مارس 2019. اطلع عليه بتاريخ 01 أبريل 2017. الوسيط
|CitationClass=تم تجاهله (مساعدة) - "Further case of Cantú syndrome: exclusion of cryptic subtelomeric chromosome aberrations". Am. J. Med. Genet. 111 (2): 205–9. August 2002. doi:10.1002/ajmg.10560. PMID 12210352. الوسيط
|CitationClass=تم تجاهله (مساعدة) - "Cantu syndrome | Genetic and Rare Diseases Information Center (GARD) – an NCATS Program". rarediseases.info.nih.gov (باللغة الإنجليزية). مؤرشف من الأصل في 29 مارس 2019. اطلع عليه بتاريخ 31 مارس 2017. الوسيط
|CitationClass=تم تجاهله (مساعدة) - Reference, Genetics Home. "Cantú syndrome". Genetics Home Reference (باللغة الإنجليزية). مؤرشف من الأصل في 29 مارس 2019. اطلع عليه بتاريخ 23 مارس 2017. الوسيط
|CitationClass=تم تجاهله (مساعدة) - Pubchem. "Prostaglandin E2 | C20H32O5 - PubChem". pubchem.ncbi.nlm.nih.gov (باللغة الإنجليزية). مؤرشف من الأصل في 30 مارس 2019. اطلع عليه بتاريخ 01 أبريل 2017. الوسيط
|CitationClass=تم تجاهله (مساعدة) - Nichols, Colin G.; Singh, Gautam K.; Grange, Dorothy K. (2013-03-29). "KATP channels and cardiovascular disease: Suddenly a syndrome". Circulation Research. 112 (7): 1059–1072. doi:10.1161/CIRCRESAHA.112.300514. ISSN 0009-7330. PMID 23538276. الوسيط
|CitationClass=تم تجاهله (مساعدة) - "Hypertrichotic osteochondrodysplasia - Conditions - GTR - NCBI". www.ncbi.nlm.nih.gov (باللغة الإنجليزية). مؤرشف من الأصل في 27 مايو 2018. اطلع عليه بتاريخ 01 أبريل 2017. الوسيط
|CitationClass=تم تجاهله (مساعدة) - Cantu JM, Garcia-Cruz D, Sanchez-Corona J, Hernandez A, Nazara Z (1982) A distinct osteochondrodysplasia with hypertrichosis--individualization of a probable autosomal recessive entity. Hum Genet 60: 36-41
قراءة متعمقة
- Tadini, Gianluca; Brena, Michela; Gelmetti, Carlo; Pezzani, Lidia (2015-06-25). Atlas of Genodermatoses, Second Edition (باللغة الإنجليزية). CRC Press. ISBN 9781466598362. الوسيط
|CitationClass=تم تجاهله (مساعدة) Tadini, Gianluca; Brena, Michela; Gelmetti, Carlo; Pezzani, Lidia (2015-06-25). Atlas of Genodermatoses, Second Edition (باللغة الإنجليزية). CRC Press. ISBN 9781466598362. الوسيط|CitationClass=تم تجاهله (مساعدة) Tadini, Gianluca; Brena, Michela; Gelmetti, Carlo; Pezzani, Lidia (2015-06-25). Atlas of Genodermatoses, Second Edition (باللغة الإنجليزية). CRC Press. ISBN 9781466598362. الوسيط|CitationClass=تم تجاهله (مساعدة) Tadini, Gianluca; Brena, Michela; Gelmetti, Carlo; Pezzani, Lidia (2015-06-25). Atlas of Genodermatoses, Second Edition (باللغة الإنجليزية). CRC Press. ISBN 9781466598362. الوسيط|CitationClass=تم تجاهله (مساعدة) Tadini, Gianluca; Brena, Michela; Gelmetti, Carlo; Pezzani, Lidia (2015-06-25). Atlas of Genodermatoses, Second Edition (باللغة الإنجليزية). CRC Press. ISBN 9781466598362. الوسيط|CitationClass=تم تجاهله (مساعدة) Tadini, Gianluca; Brena, Michela; Gelmetti, Carlo; Pezzani, Lidia (2015-06-25). Atlas of Genodermatoses, Second Edition (باللغة الإنجليزية). CRC Press. ISBN 9781466598362. الوسيط|CitationClass=تم تجاهله (مساعدة) تم الاسترجاع 2017-04-01 - Friedewald, Vincent E. (2016). Clinical Guide to Cardiovascular Disease (باللغة الإنجليزية). Springer. ISBN 9781447172932. الوسيط
|CitationClass=تم تجاهله (مساعدة) Friedewald, Vincent E. (2016). Clinical Guide to Cardiovascular Disease (باللغة الإنجليزية). Springer. ISBN 9781447172932. الوسيط|CitationClass=تم تجاهله (مساعدة) Friedewald, Vincent E. (2016). Clinical Guide to Cardiovascular Disease (باللغة الإنجليزية). Springer. ISBN 9781447172932. الوسيط|CitationClass=تم تجاهله (مساعدة)
روابط خارجية
| تصنيف | |
|---|---|
| موارد خارجية |
- بوابة طب
