مرض أوليير
مرض أوليير هو اضطراب متفرق غير وراثي حيث الأورام الغضروفية الحميدة داخل الورم (غضروفي) تتطور قريبة من غضروف لوحة النمو. ويقدر معدل انتشاره بحوالي 1 في 100,000.[1]
| مرض أوليير | |
|---|---|
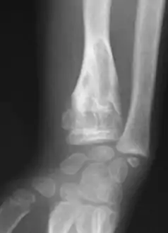
![]() صورة الأشعة السينية التي تظهر الغضروف في الجزء السفلي من دائرة نصف قطرها فتاة تبلغ من العمر 7 سنوات مع مرض أوليير. صورة الأشعة السينية التي تظهر الغضروف في الجزء السفلي من دائرة نصف قطرها فتاة تبلغ من العمر 7 سنوات مع مرض أوليير. | |
| معلومات عامة | |
| الاختصاص | علم الوراثة الطبية |
| من أنواع | متلازمة ، وورام غضروفي باطن |
| المظهر السريري | |
| الأعراض | ورم غضروفي باطن ، وورام غضروفي باطن |
المظاهر السريرية
يتكون هذا المرض بشكل نموذجي من عدة إنكوندروماس التي تتطور عادة في مرحلة الطفولة.[2] نمو هذه الأورام الغضروفية عادة ما يتوقف بعد نضج الهيكل العظمي. تقصير الأطراف المتضررة (التقزم غير المتماثلة) وأحيانا انحنى بسبب الشذوذ الانصهار المشاشي. الأشخاص الذين يعانون من مرض أولير عرضة للكسر العظام وعادة ما يكون تورم، أطرافه المؤلم.
الشروط المرتبطة
مرض أولي يحمل مخاطر عالية من الأورام الخبيثة والهيكل العظمي، الحشوية والدماغ الذي يحدث في حوالي 25% من المرضى. وارتبط الورم الخلايا جرانولوسا الأحداث مع هذا المرض.[3] حدوث سرطان غضروفي ثانوي في مرض أولي هو غير معروف، ولكن قد تكون مرتفعة مثل 25٪، الحوض وحزام الكتف كونها المواقع الأكثر شيوعا. وهناك اضطراب ذات الصلة تسمى متلازمة مافوتشي سميت بعد أنجيلو مافوتشي يتميز الأورام الغضروفية المرتبطة ورم وعائي متعددة التي تحدث عادة في اليدين والقدمين. متلازمة مافوتشي تحمل مخاطر أعلى للسرطان.
نظرة عامة
عادةً ما تكون الأورام الغضروفية حميدة، وتتطور قرب غضروف النمو العظمي، وإذا كانت هذه الأورام متعددة يُطلق عليها اسم داء أوليير "بحسب تصنيف منظمة الصحة العالمية". يبلغ معدل انتشار داء أوليير 1 من بين كل 100 ألف شخص، ويتظاهر المرض غالباً في العقد الأول من العمر، ويتميَّز بالتوزع غير المتماثل للآفات الغضروفية، ويمكن أن يكون متغيراً للغاية من حيث الحجم والعدد والموقع وتطور الأورام الغضروفية وعمر البدء والتشخيص واستطبابات الجراحة، تشمل الاضطرابات السريرية التي يمكن أن تسببها الأورام الغضروفية: التشوهات الهيكلية واختلاف طول الأطراف واحتمال التحول للخباثة.[4]
تُعرف الحالة التي يحدث فيها داء أوليير بالتزامن مع أورام وعائية في الأنسجة الرخوة بمتلازمة مافوتشي. حتى الآن لم يحدث مرض أوليير ومتلازمة مافوتشي إلا عند مرضى معزولين (لا توجد حالات عائلية)، ولا يزال من غير المؤكد ما إذا كان هذا الاضطراب ناتجاً عن خلل جيني واحد أو عن مزيج من الطفرات الجينية. يعتمد تشخيص داء أوليير على التقييم الشعاعي والسريري، في حين أنَّ الفحص النسيجي له دور محدود في التشخيص، ويستخدم بشكل رئيسي في حالة الاشتباه بحدوث ورم خبيث، لا يوجد علاج طبي شافٍ لداء أوليير، وتستطبُّ الجراحة في حال حدوث مضاعفات فقط مثل الكسور المرضية، عيوب النمو، التحول للخباثة، ويصعب كذلك التنبؤ بإنذار المرض، ويبدو أن الحالات ذات البداية المبكرة أكثر شدة وخطورة، مع الانتباه إلى الخطورة المحتملة لتحول الأورام الغضروفية نحو الخباثة.
التصوير الشعاعي
نادراً ما تُلاحظ الأورام الغضروفية عند الولادة، على الرغم من أن هذه الآفات غالباً ما تكون موجودة بالفعل حينها، تظهر الصور الجنينية آفات متعددة متجانسة شعاعياً ذات شكل بيضاوي ومحددة جيداً بهامش عظمي سميك قليلاً. تبدأ هذه الآفات بالتكلس مع مرور الوقت وتصبح منتشرة أو نقطية، وغالباً ما تتجمع الأورام الغضروفية على شكل مجموعات، وعندما تكون قرب الحواف العظمية تعطي الأورام الغضروفية صورة شعاعية نموذجية تشبه الشق، يحدث غالباً تأخير بسيط في عمر العظام عند الأطفال المصابين بداء أوليير يبلغ حوالي 1.3 سنة وسطياً.[5]
تتوضع الأورام الغضروفية بشكل حصري في العظام الطويلة وعظام اليدين والقدمين الصغيرة، ومن المهم التأكيد على التوزع غير المنتظم للآفات، فيمكن أن تكون في طرف واحد أو تقتصر على نصف جسم واحد، ومع ذلك حتى عندما تقتصر الأورام الغضروفية على جانب واحد من الجسم غالباً ما يوجد واحد أو اثنين من هذه الأورام على الجانب الآخر وخاصة في عظام اليد.
ينبغي البحث عن علامات التحول للخباثة عند مرضى داء أوليير، لأنها من المضاعفات الرئيسية لهذا المرض. تشمل هذه العلامات: التآكل القشري وامتداد الورم إلى الأنسجة الرخوة المجاورة مع وجود عدم انتظام أو عدم تمايز في سطح الورم.
تشخيص
على الأشعة، وشرائط من كثافة منخفضة ينظر إسقاط من خلال ديافيسس في المشقوقات من العظام الطويلة، بسبب رواسب الغضاريف خارج الرحم. مع التقدم في السن، الغضروف قد تكلس في نمط "ندفة الثلج" نمط.
العلاج
تدار التشوهات جراحيا للحفاظ على وظيفة الطرف.[6]
علم الأوبئة
شخص واحد من كل 100,000 يتأثر. لا يتم تشخيص المرض أولي عادة حتى طفل صغير سنوات لأنه ليس واضحا جدا.
التسميه
يدعى هذا الاضطراب نسبة الي الجراح الفرنسي لويس ليوبولد أوليه.[7]
صور اضافيه
X-ray showing calcified enchondromas localized in finger a 37-year-old patient affected with Ollier disease
X-ray showing enchondromas localized in the humerus of a 37-year-old patient affected with Ollier disease
X-ray showing enchondromas localized in the lower part of the radius of a 37-year-old patient affected with Ollier disease
MRI showing enchondromas localized in the lower part of the radius of a 37-year-old patient affected with Ollier disease
MRI showing enchondromas localized in the lower part of the radius of a 37-year-old patient affected with Ollier disease.
Enchondromas localized in the upper part of the humerus of the same patient
انظر أيضًا
مراجع
- "Ollier disease". Orphanet J Rare Dis. 1: 37. 2006. doi:10.1186/1750-1172-1-37. PMID 16995932. مؤرشف من الأصل في 13 ديسمبر 2019. الوسيط
|CitationClass=تم تجاهله (مساعدة) - Turek's orthopaedics principles and their application (الطبعة 6th). Lippincott Williams & Wilkins. 2005. صفحة 438. ISBN 9780781742986. الوسيط
|CitationClass=تم تجاهله (مساعدة) - Stephen C. Rubin (2001). Ovarian cancer (الطبعة 2nd). Lippincott Williams and Wilkins. ISBN 9780781724081. الوسيط
|CitationClass=تم تجاهله (مساعدة) - "Ollier disease" en. مؤرشف من الأصل في 13 ديسمبر 2019. اطلع عليه بتاريخ 03 يناير 2020. الوسيط
|CitationClass=تم تجاهله (مساعدة); Invalid|script-title=: missing prefix (مساعدة) - "Ollier disease" en. مؤرشف من الأصل في 13 ديسمبر 2019. اطلع عليه بتاريخ 03 يناير 2020. الوسيط
|CitationClass=تم تجاهله (مساعدة); Invalid|script-title=: missing prefix (مساعدة) - Lovell and Winter's pediatric orthopaedics (الطبعة 3rd). Lippincott. 1990. ISBN 9780397509140. الوسيط
|CitationClass=تم تجاهله (مساعدة) - synd/1813 على قاموس من سمى هذا؟
- بوابة طب
صور وملفات صوتية من كومنز
