ورم غضروفي باطن
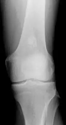
الورم الغضروفي الباطن (بالإنجليزية:Enchondroma) عبارة عن كيسة غضروفية في نخاع العظام تُكتشف أثناء التصوير بالأشعة السينية ولديها مظهر مميز أتناء التصوير بالرنين المغناطيسي
| ورم غضروفي باطن | |
|---|---|
![]() ورم غضروفي باطن | |
| معلومات عامة | |
| من أنواع | ورم غضروفي |


الوصف
يعتبر الورم الغضروي الباطن أحد أنواع الأورام العظمية الحميدة التي تنشأ من الغضروف. السبب الدقيق لحدوثه ما زال غير معروف. ويصيب غالباً الغصروف الذي يغلف العظم من الداخل. أكثر العظام التي يحدث بها هذا الورم هي العظام الصغيرة في اليدين والقدمين. وقد تصيب أيضا عظمة الفخذ، العضد أو القصبة. قد يحدث الورم في أي سن ولكنه في أغلب الأحيان يحث في مرحلة البلوغ ومعدل حدوثه في الذكور مساوٍ لمعدل حدوثه في الإناث. ومن النادر نموه مجدداً في نفس المكان، قد تصل النسبة لأقل من عشرة بالمائة.
الأسباب
يعتقد أن الورم الغضروفي الباطن يحدث نتيجة فرط نمو الغضروف الذي يغطي نهايات العظام، أو نتيجة نمو مستمر للغضروف الجنيني الأصلي، ولكن يظل السبب الدقيق غير معروف.
الحالات المرتبطة
قد يحدث الورم الغضروفي الباطن في صورة منفردة أو على هيئة أورام عديدة. الحالات التي تتضمن حدوث أورام متعددة تشمل التالي: داء أولييه حيث يظهر الورم في أمكن متعددة في الجسم. داء أولييه نادر الحدوث. متلازمة مافوتشي
الأعراض
المرضى المصابون لا تظهر لديهم أية أعراض على الإطلاق. وقد يأتي المريض بأحد الأعراض الآتية:
- ألم
- تضخم الإصبع المصاب
- بطء نمو العظم في المنطقة المصابة
أعراض الورم العظمي الباطن قد تتشابه مع حالات أو مشاكل طبية أخرى. ولذلك عليك باستشارة طبيبك دائماً.
التشخيص
أحيانا يتم التشخيص أثناء الفحص السريري الروتيني أو إذا ما تسبب الورم في حدوث كسر، لأن الشخص المصاب بالورم الغضروفي الباطني تكون لديه أعراض قليلة. تتضمن الإجراءات التشخيصية للورم الغضروفي الباطني بالإضافة للتاريخ المرضي والفحص السريري الشاملين، فإنها تتضمن:
- تصوير بالأشعة السينية، قد يوجد أورام في أي عظمة نشأت من غضروف. تكون عبارة عن آفات تحللية والتي تحتوي عادة على مطرس غضروفي متكلس ( في صورة أقواس ودوائر )، ما عدا في الأنامل. قد تكون مركزية أو متطرفة، نابضة أو غير نابضة.
قد يكون من الصعب التفريق بين الورم العظمي الباطن و احتشاء عظمي في فيلم التصوير بالأشعة السينية.
- مسح عظمي باستخدام النوكليدات المشعة
- التصوير باستخدام الرنين المغناطيسي[1]
- الأشعة المقطعية
المراجع
- Wang XL, De Beuckeleer LH, De Schepper AM, Van Marck E (2001). "Low-grade chondrosarcoma vs enchondroma: challenges in diagnosis and management". European radiology. 11 (6): 1054–1057. doi:10.1007/s003300000651. PMID 11419152. الوسيط
|CitationClass=تم تجاهله (مساعدة)
- بوابة طب
