نزف مخي
النزف المخي أو النزف الدماغي (بالإنجليزية: Cerebral hemorrhage) (ومن تسمياته الأخرى: الورم الدموي داخل الدماغ (بالإنجليزية: cerebral hematoma) الورم الدموي داخل القحف (بالإنجليزية: intracranial hematoma)) هو أحد أنواع نزف داخل القحف لكنه يحصل في نسيج الدماغ ذاته أو في البطينات.[1] تتضمن الأعراض صداعًا، وضعفًا أحادي الجانب، وإقياءً، واختلاجات، وتدنيًا في مستويات الوعي، وتيبسًا في الرقبة.[2] غالبًا ما تزداد الأعراض سوءًا مع الوقت. الحمى شائعة أيضًا.[3] في العديد من الحالات، يظهر النزف في النسيج الدماغي والبطينات معًا.[3]
| نزف مخي | |
|---|---|
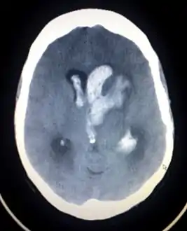
![]() تصوير مقطعي محوسب لنزف داخل القحف تصوير مقطعي محوسب لنزف داخل القحف | |
| معلومات عامة | |
| الاختصاص | جراحة الأعصاب |
| من أنواع | نزف داخل القحف ، وسكتة دماغية |
| الإدارة | |
| أدوية | |
| التاريخ | |
| وصفها المصدر | قاموس غرانات الموسوعي |
تتضمن الأسباب الإصابة الدماغية الرضية، وأمهات الدم داخل القحف، والتشوهات الشريانية الوريدية، والأورام الدماغية.[3] عوامل الخطر الكبرى للنزف العفوي هي ارتفاع ضغط الدم والداء النشواني.[2] ومن عوامل الخطر الأخرى الكحولية، ونقص كوليسترول الدم، واستخدام مضادات التخثر، وتعاطي الكوكايين.[2] يُوضع التشخيص نموذجيًا باستخدام التصوير المقطعي المحوسب.[3] ومن الحالات الأخرى التي تتظاهر بشكل مشابه السكتة الإقفارية.[3]
يجب أن تُجرى المعالجة في وحدة العناية المركزة.[3] توصي الخطوط الإرشادية بتخفيض ضغط الدم الانقباضي إلى 140 مليمتر زئبقي.[3][4] يجب معاكسة مضادات التخثر إن أمكن والمحافظة على سكر الدم ضمن حدوده الطبيعية.[3] قد تستخدم الجراحة بوضع منزح بطيني لمعالجة استسقاء الرأس، لكن لا يجب استخدام الستيرويدات القشرية.[3] قد تفيد الجراحة بإزالة الدم في حالات معينة.[3]
يصيب النزف المخي نحو 2.5 لكل 10,000 شخص في كل سنة.[2] يحدث عند الذكور والمسنين بشكل أكبر.[2] يموت نحو 44% من المصابين خلال شهر.[2] تحدث النتائج الجيدة عند 20% تقريبًا من المصابين.[2] قُسّمت السكتات في البداية إلى نوعين أساسين، النزف وعدم كفاية الجريان الدمويٍ، في عام 1823.[5]
العلامات والأعراض
يمتلك المصابون بالنزف داخل المخ أعراضًا تتوافق مع الوظيفة الخاصة بالمنطقة الدماغية المصابة بأذية ناجمة عن النزف.[6] تتضمن الأعراض الأخرى أعراضًا متعلقة بارتفاع الضغط داخل القحف الذي يسببه الضغط الناجم من الكتلة الكبيرة على الدماغ.[6] غالبًا ما تُشخص النزوف داخل المخية بشكل خاطئ على أنها نزوف تحت العنكبوتية بسبب تشابه الأعراض والعلامات. يُعتبر الصداع الحاد الذي يتبعه إقياء واحد من أكثر العلامات الشائعة للنزف داخل المخ. ومن العلامات الشائعة الأخرى إصابة المريض بالوهط الدوراني. قد يظهر عند البعض نزيفًا مستمرًا من الأذن. وقد يصاب بعض المرضى بغيبوبة قبل ملاحظة النزف.
الأسباب
يعتبر النزف داخل المخ ثاني أكثر أسباب السكتة شيوعًا، مشكلًا نحو 10% من حالات السكتة المقبولة في المشافي.[7] يزيد ضغط الدم المرتفع من خطورة النزف داخل المخ العفوي من مرتين إلى ست مرات.[8] بشكل أشيع عند البالغين من الأطفال، يحدث النزف داخل المتن عادة بسبب رض الرأس النافذ، وقد يحدث أيضًا بسبب كسور الجمجمة المنخسفة. يعتبر الرض المتسارع-المتباطئ،[9][10][11] وتمزق أم الدم أو التشوهات الشريانية الوريدية، والنزف من ورم من الأسباب الإضافية. لا يعتبر الاعتلال الوعائي النشواني من الأسباب الشائعة للنزف داخل الدماغ عند المرضى فوق عمر 55. تحدث نسبة صغيرة جدًا بسبب خثار الجيب الوريدي المخي.
تتضمن عوامل خطورة النزف داخل المخ:[12]
- فرط التوتر الشرياني (ارتفاع ضغط الدم)
- السكري
- سن اليأس
- تدخين التبغ
- الإفراط في استهلاك الكحول
- الصداع النصفي الشديد
تُقسم نزوف داخل المخ الرضية إلى حادة ومتأخرة. تحدث نزوف داخل المخ الحادة في وقت الأذية، بينما تحدث نزوف داخل المخ المتأخرة في وقت لاحق يتراوح ما بين 6 ساعات بعد الأذية إلى عدة أسابيع.
التشخيص
أثبت كل من تصوير الأوعية الطبقي المحوسب وتصوير الأوعية بالرنين المغناطيسي فعاليته في تشخيص التشوهات الوريدية داخل القحف بعد النزف داخل المخ.[13] لذا في كثير من الأحيان، يُستخدم تصوير الأوعية الطبقي المحوري لنفي أي سبب ثانوي للنزف[14] أو لاكتشاف «علامة البقعة».
يمكن تمييز النزف داخل المتن باستخدام التصوير الطبقي المحوسب بسبب ظهور الدم بلون نيّر أكثر من النسج الأخرى وكونه منعزلًا عن اللوحة الداخلية للجمجمة بالنسيج الدماغي. غالبًا ما يكون النسيج المحيط بالنزف بلون أقل كثافة من بقية الدماغ بسبب الوذمة، وبالتالي يظهر بلون أغمق في التصوير الطبقي المحوسب.[14]
الموقع
عندما يكون السبب هو ضغط الدم المرتفع، يحدث النزف داخل المخ نموذجيًا في اللحاء (50%) أو المهاد (15%)، أو المخ (10-20%)، أو المخيخ (10-13%)، أو الجسر (7-5%)، أو في مكان ما في جذع الدماغ (1-6%).[15][16]
المعالجة
تعتمد المعالجة بشكل أساسي على نوع النزف داخل المخ. يُستخدم التصوير الطبقي المحوسب السريع وبعض القياسات التشخيصية لتحديد المعالجة الأنسب، التي قد تتضمن العلاج الدوائي والجراحي معًا.
- يطبق التنبيب عند المصابين بتدني مستوى الوعي أو من لديهم مخاطر أخرى تتعلق بانسداد الطرق التنفسية.[17]
- تُعطى السوائل الوريدية للمحافظة على توازن السوائل، باستخدام سوائل أسوية التوتر عوضًا عن السوائل ناقصة التوتر.[17]
الأدوية
- وجدت دراسة أن المعالجة المضادة لفرط الضغط التي تستخدم لتخفيض ضغط الدم في الحالات الحادة تساعد في تحسين النتائج.[18] وجدت دراسات أخرى أن الاختلاف غير واضح بين الضبط الشديد والأقل شدة لضغط الدم.[19][20] اقترحت توصيات جمعية القلب الأمريكية وجمعية السكتة الأمريكية في عام 2015 بتخفيض ضغط الدم الانقباضي إلى 140 ملليمتر زئبقي.[3] ومع ذلك، أوجدت الدلائل فائدتها في 2015.[21]
- يُعطى العامل السابع خلال أربع ساعات ليحد من النزف وتشكل الورم الدموي. ومع ذلك، يزيد أيضًا من خطر حدوث الخثارات الوريدية،[17] لذا لا يساهم بنتائج جيدة عند غير المصابين بالناعور.[22]
- قد تُعطى البلازما المجمدة، أو الفيتامين ك، أو البروتامين، أو تُنقل الصفائح الدموية في حال الاعتلال الخثري.[17] تبين أن الصفائح تُسيء للنتائج عند المصابين بنزف داخل مخي عفوي مع أدوية مضادة للصفيحات.[23]
- يُعطي الفوسفينيتوئين أو أي مضاد اختلاج آخر في حال الإصابة باختلاجات أو نزف فصي.[17]
- تُعطى مضادات الهيستامين إتش 2 أو مثبطات مضخة البروتون بشكل شائع للوقاية من قرحات الشدة، وهي حالة مرتبطة بالنزف داخل المخ.[17]
الجراحة
تستطب الجراحة في حال كان الورم الدموي أكبر من 3 سم (1 إنش)، أو كانت هنالك آفة وريدية بنيوية أو نزف فصي عند مريض شاب.[17]
- قد يُمرر القثطار عبر الدوران الوريدي للدماغ من أجل إغلاق أو توسيع الأوعية الدموية، وبالتالي تجنب العمليات الجراحة الغازية.[26]
- قد يُستخدم الرشف بالجراحة المجسمة أو النزح بالتنظير الداخلي في نزوف العقد القاعدية، على الرغم من أن نسبة نجاحها محدودة.[17]
- قد يطبق قطع القحف، إذ تُزال أجزاء من الجمجمة لتفسح مجالًا للوذمة للتوسع دون اعتصارها.
الإنذار
يعتبر خطر الموت من النزف داخل المتن الناجم عن أذية دماغية رضية بشكل خاص عاليًا في حال حدثت الأذية في جذع الدماغ.[27] غالبًا ما تكون النزوف داخل المتن عبر البصلة السيسائية قاتلة بسبب أذية العصب القحفي العاشر، العصب المبهم، الذي يلعب دورًا هامًا في الدوران الدموي والتنفس.[9] قد يصيب هذا النوع من النزوف باحات قشرية أو تحت قشرية، عادةً في الفص الأمامي أو الصدغي وفقًا لأذيات الرأس، وأحيانًا في المخيخ.[9][28]
عند ملاحظة النزف داخل المخ العفوي، فإن معدل الوفاة يكون 34-50% خلال الأيام الثلاثين بعد الأذية،[8] ونصف الوفيات تحدث في أول يومين.[29] على الرغم من أن الغالبية العظمى من الوفيات تحدث في الأيام الأولى بعد النزف داخل المخ، يمتلك الناجون خطر وفاة متزايد على المدى البعيد بنسبة 27% مقارنة بعامة السكان.[30]
الوبائيات
تمثل 20% من كل حالات الأمراض الوعائية الدماغية في الولايات المتحدة الأمريكية، بالمرتبة الثالثة بعد الخثار الدماغي (40%) والانصمامات الوعائية الدماغية (30%).[31]
الأبحاث
تبين أن الاستجابة الالتهابية المحفزة بالسكتة مؤذية في المراحل المبكرة، بالتركيز على تشكل الكريات البيض الدموي، والعدلات والبلاعم، والخلايا الدبقية الصغيرة والخلايا النجمية.[32] أظهرت دراسات ما بعد الموت البشرية أن الالتهاب يحدث مبكرًا ويستمر لعدة أيام بعد النزف داخل المخ.[33] قد يلطف تنشيط الخلايا الدبقية الصغيرة المعدلة واستقطابها من النزف داخل المخ الناجم عن أذية دماغية ويحسن من تعافي الدماغ.[34] تشكل الخلايا البدينة في النزف داخل المخ محطة اهتمام جديدة للبحث.[35]
مراجع
- Naidich, Thomas P.; Castillo, Mauricio; Cha, Soonmee; Smirniotopoulos, James G. (2012). Imaging of the Brain, Expert Radiology Series,1: Imaging of the Brain (باللغة الإنجليزية). Elsevier Health Sciences. صفحة 387. ISBN 978-1416050094. مؤرشف من الأصل في 02 أكتوبر 2016. الوسيط
|CitationClass=تم تجاهله (مساعدة) - Caceres, JA; Goldstein, JN (August 2012). "Intracranial hemorrhage". Emergency Medicine Clinics of North America. 30 (3): 771–94. doi:10.1016/j.emc.2012.06.003. PMC 3443867. PMID 22974648. الوسيط
|CitationClass=تم تجاهله (مساعدة) - Hemphill JC, 3rd; Greenberg, SM; Anderson, CS; Becker, K; Bendok, BR; Cushman, M; Fung, GL; Goldstein, JN; Macdonald, RL; Mitchell, PH; Scott, PA; Selim, MH; Woo, D; American Heart Association Stroke, Council; Council on Cardiovascular and Stroke, Nursing; Council on Clinical, Cardiology (July 2015). "Guidelines for the Management of Spontaneous Intracerebral Hemorrhage: A Guideline for Healthcare Professionals From the American Heart Association/American Stroke Association". Stroke: A Journal of Cerebral Circulation. 46 (7): 2032–60. doi:10.1161/str.0000000000000069. PMID 26022637. الوسيط
|CitationClass=تم تجاهله (مساعدة) - Ko, SB; Yoon, BW (December 2017). "Blood Pressure Management for Acute Ischemic and Hemorrhagic Stroke: The Evidence". Seminars in Respiratory and Critical Care Medicine. 38 (6): 718–725. doi:10.1055/s-0037-1608777. PMID 29262429. الوسيط
|CitationClass=تم تجاهله (مساعدة) - Hennerici, Michael (2003). Imaging in Stroke (باللغة الإنجليزية). Remedica. صفحة 1. ISBN 9781901346251. مؤرشف من الأصل في 02 أكتوبر 2016. الوسيط
|CitationClass=تم تجاهله (مساعدة) - Vinas FC and Pilitsis J. 2006. "Penetrating Head Trauma." نسخة محفوظة 2005-09-13 على موقع واي باك مشين. Emedicine.com.
- Go AS, Mozaffarian D, Roger VL, et al. (January 2013). "Heart disease and stroke statistics--2013 update: a report from the American Heart Association". Circulation. 127 (1): e6–e245. doi:10.1161/CIR.0b013e31828124ad. PMC 5408511. PMID 23239837. الوسيط
|CitationClass=تم تجاهله (مساعدة) - Yadav YR, Mukerji G, Shenoy R, Basoor A, Jain G, Nelson A (2007). "Endoscopic management of hypertensive intraventricular haemorrhage with obstructive hydrocephalus". BMC Neurol. 7: 1. doi:10.1186/1471-2377-7-1. PMC 1780056. PMID 17204141. الوسيط
|CitationClass=تم تجاهله (مساعدة) - McCaffrey P. 2001. "The Neuroscience on the Web Series: CMSD 336 Neuropathologies of Language and Cognition." نسخة محفوظة 2005-11-25 على موقع واي باك مشين. California State University, Chico. Retrieved on June 19, 2007. [وصلة مكسورة]
- Orlando Regional Healthcare, Education and Development. 2004. "Overview of Adult Traumatic Brain Injuries." نسخة محفوظة 2008-02-27 على موقع واي باك مشين. Retrieved on 2008-01-16.
- Shepherd S. 2004. "Head Trauma." نسخة محفوظة 2005-10-26 على موقع واي باك مشين. Emedicine.com. Retrieved on June 19, 2007.
- Feldmann, Edward; Broderick, Joseph P.; Kernan, Walter N.; Viscoli, Catherine M.; Brass, Lawrence M.; Brott, Thomas; Morgenstern, Lewis B.; Lee Wilterdink, Janet; Horwitz, Ralph I. (2005). "Major Risk Factors for Intracerebral Hamorrhage in the Young Are Modifiable". Stroke. 36 (9): 1881–5. doi:10.1161/01.str.0000177480.62341.6b. PMID 16081867. الوسيط
|CitationClass=تم تجاهله (مساعدة) - Josephson, Colin B; White, Philip M; Krishan, Ashma; Al-Shahi Salman, Rustum (1 September 2014). "Computed tomography angiography or magnetic resonance angiography for detection of intracranial vascular malformations in patients with intracerebral haemorrhage". The Cochrane Library. 9 (9): CD009372. doi:10.1002/14651858.CD009372.pub2. PMC 6544803. PMID 25177839. الوسيط
|CitationClass=تم تجاهله (مساعدة) - Yeung R, Ahmad T, Aviv RI, Noel de Tilly L, Fox AJ, Symons SP (2009). "Comparison of CTA to DSA in determining the etiology of spontaneous ICH". Canadian Journal of Neurological Sciences. 36 (2): 176–180. doi:10.1017/s0317167100006533. الوسيط
|CitationClass=تم تجاهله (مساعدة) - Greenberg, Mark S. (2016). Handbook of Neurosurgery. ISBN 9781626232419. الوسيط
|CitationClass=تم تجاهله (مساعدة) - Prayson, Richard A. (2012). Neuropathology (باللغة الإنجليزية). Elsevier Health Sciences. صفحة 49. ISBN 978-1437709490. مؤرشف من الأصل في 12 مارس 2017. الوسيط
|CitationClass=تم تجاهله (مساعدة) - eMedicine Specialties > Neurology > Neurological Emergencies > Intracranial Haemorrhage: Treatment & Medication. نسخة محفوظة 2009-03-12 على موقع واي باك مشين. By David S Liebeskind, MD. Updated: Aug 7, 2006
- Tsivgoulis, G; Katsanos, AH; Butcher, KS; Boviatsis, E; Triantafyllou, N; Rizos, I; Alexandrov, AV (21 October 2014). "Intensive blood pressure reduction in acute intracerebral hemorrhage: A meta-analysis". Neurology. 83 (17): 1523–9. doi:10.1212/wnl.0000000000000917. PMID 25239836. الوسيط
|CitationClass=تم تجاهله (مساعدة) - Ma, J; Li, H; Liu, Y; You, C; Huang, S; Ma, L (2015). "Effects of Intensive Blood Pressure Lowering on Intracerebral Hemorrhage Outcomes: A Meta-Analysis of Randomized Controlled Trials". Turkish Neurosurgery. 25 (4): 544–51. doi:10.5137/1019-5149.JTN.9270-13.0 (غير نشط 2019-08-20). PMID 26242330. الوسيط
|CitationClass=تم تجاهله (مساعدة) - Boulouis, Gregoire; Morotti, Andrea; Goldstein, Joshua N.; Charidimou, Andreas (1 April 2017). "Intensive blood pressure lowering in patients with acute intracerebral haemorrhage: clinical outcomes and haemorrhage expansion. Systematic review and meta-analysis of randomised trials". Journal of Neurology, Neurosurgery, and Psychiatry. 88 (4): 339–345. doi:10.1136/jnnp-2016-315346. ISSN 1468-330X. PMID 28214798. الوسيط
|CitationClass=تم تجاهله (مساعدة) - Ma, J; Li, H; Liu, Y; You, C; Huang, S; Ma, L (2015). "Effects of Intensive Blood Pressure Lowering on Intracerebral Hemorrhage Outcomes: A Meta-Analysis of Randomized Controlled Trials". Turkish Neurosurgery. 25 (4): 544–51. doi:10.5137/1019-5149.JTN.9270-13.0 (غير نشط 2019-08-20). PMID 26242330. الوسيط
|CitationClass=تم تجاهله (مساعدة) - Yuan, ZH; Jiang, JK; Huang, WD; Pan, J; Zhu, JY; Wang, JZ (June 2010). "A meta-analysis of the efficacy and safety of recombinant activated factor VII for patients with acute intracerebral hemorrhage without hemophilia". Journal of Clinical Neuroscience. 17 (6): 685–93. doi:10.1016/j.jocn.2009.11.020. PMID 20399668. الوسيط
|CitationClass=تم تجاهله (مساعدة) - Al-Shahi Salman, R; Law, ZK; Bath, PM; Steiner, T; Sprigg, N (17 April 2018). "Haemostatic therapies for acute spontaneous intracerebral haemorrhage". The Cochrane Database of Systematic Reviews. 4: CD005951. doi:10.1002/14651858.CD005951.pub4. PMC 6494564. PMID 29664991. الوسيط
|CitationClass=تم تجاهله (مساعدة) - Roberts, Ian; Yates, David; Sandercock, Peter; Farrell, Barbara; Wasserberg, Jonathan (9 October 2016). "Effect of intravenous corticosteroids on death within 14 days in 10008 adults with clinically significant head injury (MRC CRASH trial): randomised placebo-controlled trial". Lancet. 364 (9442): 1321–1328. doi:10.1016/S0140-6736(04)17188-2. ISSN 1474-547X. PMID 15474134. الوسيط
|CitationClass=تم تجاهله (مساعدة) - Edwards, P; Arango, M; Balica, L; Cottingham, R; El-Sayed, H (undefined NaN). "Final results of MRC CRASH, a randomised placebo-controlled trial of intravenous corticosteroid in adults with head injury-outcomes at 6 months". Lancet. 365 (9475): 1957–9. doi:10.1016/s0140-6736(05)66552-x. PMID 15936423. الوسيط
|CitationClass=تم تجاهله (مساعدة); تحقق من التاريخ في:|تاريخ=(مساعدة) - Cedars-Sinai Health System - Cerebral Hemorrhages نسخة محفوظة 2009-03-12 على موقع واي باك مشين. Retrieved on 02/25/2009
- Sanders MJ and McKenna K. 2001. Mosby's Paramedic Textbook, 2nd revised Ed. Chapter 22, "Head and Facial Trauma." Mosby.
- Graham DI and Gennareli TA. Chapter 5, "Pathology of Brain Damage After Head Injury" Cooper P and Golfinos G. 2000. Head Injury, 4th Ed. Morgan Hill, New York.
- Broderick, J.; Connolly, S.; Feldmann, E.; Hanley, D.; Kase, C.; Krieger, D.; Mayberg, M.; Morgenstern, L.; Ogilvy, C. S.; Vespa, P.; Zuccarello, M. (3 May 2007). "Guidelines for the Management of Spontaneous Intracerebral Hemorrhage in Adults: 2007 Update: A Guideline From the American Heart Association/American Stroke Association Stroke Council, High Blood Pressure Research Council, and the Quality of Care and Outcomes in Research Interdisciplinary Working Group: The American Academy of Neurology affirms the value of this guideline as an educational tool for neurologists". Stroke. 38 (6): 2001–2023. doi:10.1161/strokeaha.107.183689. PMID 17478736. الوسيط
|CitationClass=تم تجاهله (مساعدة) - Hansen, B.M.; Nilsson O.G.; Anderson H; et al. (Oct 2013). "Long term (13 years) prognosis after primary intracerebral haemorrhage: a prospective population based study of long term mortality, prognostic factors and causes of death". Journal of Neurology, Neurosurgery & Psychiatry. 84 (10): 1150–1155. doi:10.1136/jnnp-2013-305200. PMID 23715913. مؤرشف من الأصل في 22 فبراير 2014. الوسيط
|CitationClass=تم تجاهله (مساعدة) - Page 117 in: Henry S. Schutta; Lechtenberg, Richard (1998). Neurology practice guidelines. New York: M. Dekker. ISBN 978-0-8247-0104-8. الوسيط
|CitationClass=تم تجاهله (مساعدة) - Wang J (December 2010). "Preclinical and clinical research on inflammation after intracerebral hemorrhage". Prog. Neurobiol. 92 (4): 463–77. doi:10.1016/j.pneurobio.2010.08.001. PMC 2991407. PMID 20713126. الوسيط
|CitationClass=تم تجاهله (مساعدة) - Wu H, Zhang Z, Hu X, Zhao R, Song Y, Ban X, Qi J, Wang J (2010). "Dynamic changes of inflammatory markers in brain after hemorrhagic stroke in humans: a postmortem study". Brain Research. 1342 (1342): 111–1117. doi:10.1016/j.brainres.2010.04.033. PMC 2885522. PMID 20420814. الوسيط
|CitationClass=تم تجاهله (مساعدة) - Lan X, Han X, Li Q, Yang QW, Wang J (2017). "Modulators of microglial activation and polarization after intracerebral haemorrhage". Nat Rev Neurol. 13 (7): 420–433. doi:10.1038/nrneurol.2017.69. PMC 5575938. PMID 28524175. الوسيط
|CitationClass=تم تجاهله (مساعدة) - Johannes Lindsberg, Perttu; Strbian, Daniel; Karjalainen-Lindsberg, Marja-Liisa (2010). "Mast Cells as Early Responders in the Regulation of Acute Blood–Brain Barrier Changes after Cerebral Ischemia and Hemorrhage". Journal of Cerebral Blood Flow & Metabolism. 30 (4): 689–702. doi:10.1038/jcbfm.2009.282. PMC 2949160. PMID 20087366. مؤرشف من الأصل في 08 يونيو 2010. اطلع عليه بتاريخ 02 أبريل 2010. الوسيط
|CitationClass=تم تجاهله (مساعدة)
- بوابة طب
- بوابة علوم عصبية
.jpg.webp)