نفاخ رئوي
النفاخ الرئوي (بالإنجليزية: Emphysema)، هي حالة مرضية تصيب الرئة [1] وتؤدي إلى قصر في النفس وصعوبة في ممارسة النشاطات. وينتج ذلك بسبب دمار الجيوب الهوائية والممرات الصغيرة ضمن الرئة مما يجعل الزفير أمرا صعبا. هذه الإصابة تحدث خلال فترة طويلة الأجل، وبشكل تدريجي ضمن الرئة وتظهر أعراضها بعد حين على شكل ضيق في التنفس، حيث تكون أنسجة الرئة اللازمة لدعم الشكل المرن والوظيفي للرئتين قد تعرضت لتلف كبير لدى المصابين.
| نفاخ رئوي | |
|---|---|
![]() نفاخ رئوي | |
| معلومات عامة | |
| الاختصاص | طب الرئة |
| من أنواع | مرض تنفسي ، والاسترواح ، وداء الانسداد الرئوي المزمن |
| الأسباب | |
| الأسباب | تدخين |
| الإدارة | |
| أدوية | |
| التاريخ | |
| وصفها المصدر | الموسوعة السوفيتية الأرمينية ، والموسوعة السوفيتية الكبرى ، وقاموس غرانات الموسوعي |

وتصنف ضمن مجموعة إصابات يطلق عليها مصطلح الداء الرئوي المسد المزمن «COPD». النفاخ الرئوي يصنف كانسداد رئوي بسبب تدمير أنسجة الرئة والمجاري الهوائية الأصغر حولها، القصيبات الشعبية، مما يجعل هذه المجاري غير قادرة على الحفاظ على شكلها بصورة صحيحة عند الزفير.
في عام 2005 تم تقدير أن واحدة من بين كل عشرين حالة وفاة في الولايات المتحدة هي بسبب حالات الداء الرئوي المسد المزمن.[2][3][4] كما نتائج تؤكد خطورة الإصابة تم توثيقها في الصين[5]
رغم بعض التشكيك[6] تشير التقارير إلى أن هذه النوعية من الاصابات هي المسبب السادس للوفاة حول العالم ويعتقد أنها ستصعد لتصبح الثالثة في عام 2020.[7][8] وخلافا لأمراض القلب وغيرها من الأسباب الأكثر شيوعا للوفاة، فإن معدل الوفيات لهذا المرض يتزايد على ما يبدو.
النفاخ الرئوي يغير التركيب التشريحي للرئة بعدة طرق هامة. فالرئة في العادة اسفنجية ومرنة جدا.[9] وفي عملية الشهيق يتوسع جدار الصدر، مما يؤدي إلى توسعة التركيبة الاسفنجية للرئة. وعلى غرار طريقة سحب الماء إلى أسفنجة متقلصة عند تمددها، فالهواء الجوي يشفط إلى الرئتين عندما يوسع الصدر جداره. فيتم جلب الهواء من خلال انابيب تبدأ بالرغامى إلى القصبة المتوسطة فالقصبتين الرئيسيتين اليمنى واليسرى اللتين تغذيان الرئتين. هذه الانابيب تتفرع شيئا فشيئا إلى أنابيب أصغر وأصغر، هي القصيبات الشعبية والتي تفتح على السنخ الرئوي، أو ما يسمى بالحويصلة الهوائية. السنخ، وهو أصغر تركيب هيكلي وظيفي في الرئة، عبارة عن مجموعة أكياس هوائية منظمة مثل عنقود العنب. أجهزة السنخ والقصيبات مهمة جدا لعمل الرئتين بصورة سليمة. إلا أن هذه الأجهزة هي التي تدمر بسبب النفاخ الرئوي، وتدمر جدران هذه السنخ يؤدي إلى أن تفتح جدران السنخ ضمن العناقيد الواحدة على بعضها البعض مكونة غرف ذات حجم أكبر. سر عمل الإسفنج هو أن جميع الثقوب الصغيرة تتوسع معا في نفس الوقت إذا أزيل الضغط عنها. لكن إذا كانت الثقوب أكبر، فالإسفنج لن يلتقط نفس القدر من الماء. يعود هذا إلى أن تأثير توسع الثقب الكبير لا يكافئ التاثير الناتج عن توسع الثقوب المتعددة الأصغر. عند التفكير بالرئتين كما لو أنهما إسفنجة يمكن أن نرى كيف يؤدي مرض نفاخ الرئة إلى ضعف وظائف الرئة. فالرئتان أيضا تطلبان خاصية المرونة، حتى تتمكنان من التوسع والانكماش بشكل جيد. هذه الخاصية ستتأثر بشكل سلبي جدا مع تدمر جدران السنخ. كما أن الرئتين بحاجة إلى العديد من السنخ (مئات الملايين، في واقع الأمر) لتغطية حاجة الجسم من الأكسجين وأخراج فضلاته من ثاني أكسيد الكربون. إلا أنه كلما قل عدد السنخ وزاد حجمها كلما قل فعالية أدائها الوظيفي.
المسببات
تدخين السجائر[10] هو أخطر مسبب لسبب لتطور حالات الإصابة بالنفاخ الرئوي. وعليه ترك التدخين هو أفضل أساليب الوقاية. عوامل الخطر الأخرى تشمل نقص انزيم ألفا 1-أنتي تريبسين[11]، تلوث الهواء[12]، وتحسسات المجاري التنفسية[13][14]، الوراثة[15]، أن يكون جنس الشخص ذكر[16][17]، والعمر.[18][19]
التدخين

مقالة مفصلة: دور التدخين في النفاخ الرئوي
ينجم المرض في معظم الحالات عن التدخين، حيث يشل الدخان حركة الأهداب (بالإنجليزية: cilia) التي تنظف الرئة من الملوثات مما يؤدي إلى تراكمها وإحداث التهابات ضمن غرف الجيوب الهوائية الصغيرة. هذه الالتهابات تقضي على مرونة الجيوب الهوائية وبالتالي تقلل من قدرتها على التمدد والانكماش لإخراج الهواء وثاني أكسيد الكربون. مع مرور الوقت تنهار هذه الجيوب بشكل كامل. الكيماويات المنبعثة خلال الاستجابة الالتهابية (على سبيل المثال، إيلاستاز) يمكن أن يسبب في النهاية الحاجز السنخي في التفكك. هذا الشرط، والمعروفة باسم تمزق الحاجز، ويؤدي إلى تشوهات كبيرة في بنية الرئة [20]
يشابه المرض في مظاهره السريرية والتدبير والإنذار لتلك في التهاب القصبات المزمن.
المنتفخون الزرق والمنتفخون الورديون
المنتفخون الزرق والمنتفخون الورديون هما نهايتان لطيف واحد. يملك بعض الناس حافزاً تنفسياً منخفضاً في الاستجابة لارتفاع Paco2 انخفاض Pao2، فإذا كانوا يعانون من نفاخ رئوي والتهاب قصبات مزمن لا يحدث عندهم زلة تنفسية، ويهبط Pao2 وتتطور الحالة إلى قلب رئوي ويصبحون زرق ومنتفخين.
بينما يملك آخرون حافزاً تنفسياً مرتفعاً في الاستجابة لمثل هذه الظروف، فيحدث لديهم زلة تنفسية ويبقون ورديين ولكن يمكن ان يتطورا إلى قصور تنفسي من النمط I.
التشخيص
عادةً يتم التشخيص باجراء اختبارات الرئة.
مقطع تشريحي يظهر أنسجة الرئة في المرحلة النهائية لانتفاخ الرئة. كرات الدم الحمراء، والنوى الأرجوانية، وغيرها من المواد وردي، ومساحات الهواء بيضاء.
صورة مجهرية تبين انتفاخ الرئة (يسار الصورة—المساحات الفارغة كبيرة)، وأنسجة الرئة مع الحفاظ النسبي في الحويصلات الهوائية (يمين الصورة).
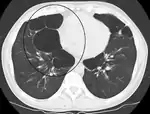
مقطع بالصدر بالتصوير الطبقي المحوري
حالة متقدمة من انتفاخ الرئة
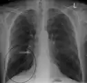
فقاعة بالرئة عند مريض لديه مريض الـ COPD
انظر أيضا
مصادر
- النفاخ من مايوكلينك نسخة محفوظة 02 يناير 2014 على موقع واي باك مشين.
- Morbidity and Mortality Weekly Report / Centers for Disease Control and Prevention نسخة محفوظة 17 مايو 2017 على موقع واي باك مشين.
- Leading Causes of Death in the United States ,Edward F. Tierney, Edward W. Gregg, and K. M. Venkat Narayan، JAMA. 2006;295(4):383. نسخة محفوظة 26 سبتمبر 2009 على موقع واي باك مشين.
- Leading Causes of Death in the United States، Jeffrey A. Cutler, Thomas J. Thom, and Edward Roccella، JAMA. 2006;295(4):383-384.نسخة محفوظة 26 سبتمبر 2009 على موقع واي باك مشين.
- K. H. Reilly, D. Gu, X. Duan, X. Wu, C.-S. Chen, J. Huang, T. N. Kelly, J. Chen, X. Liu, L. Yu, et al. Risk Factors for Chronic Obstructive Pulmonary Disease Mortality in Chinese Adults Am. J. Epidemiol., April 15, 2008; 167(8): 998 - 1004. نسخة محفوظة 23 فبراير 2020 على موقع واي باك مشين.
- A L Hansell, Lies, damned lies and mortality statistics? Thorax. 2006 November; 61(11): 923–924.نسخة محفوظة 26 سبتمبر 2009 على موقع واي باك مشين.
- Murray CJL, Lopez AD, Eds: The global burden of disease: a comprehensive assessment of mortality and disability from diseases, injuries and risk factors in 1990 and projected to 2020. Boston: Harvard University Press; 1996.
- Murray, CJL; Lopez, AD. Alternative projections of mortality and disability by cause 1990-2020: Global Burden of Disease Study Lancet. 1997;349:1498–504. نسخة محفوظة 28 سبتمبر 2017 على موقع واي باك مشين.
- lab tests on-line، Lung Diseases نسخة محفوظة 24 مايو 2011 على موقع واي باك مشين. [وصلة مكسورة]
- Lee, J-H, Lee, D-S, Kim, E-K, et al Simvastatin Inhibits Cigarette Smoking–induced Emphysema and Pulmonary Hypertension in Rat Lungs Am J Respir Crit Care Med 2005;172,987-993 نسخة محفوظة 23 مايو 2009 على موقع واي باك مشين.
- Alpha-1 antitrypsin deficiency / Genetics Home Reference provides نسخة محفوظة 26 أبريل 2010 على موقع واي باك مشين.
- Hurley L. Motley، Roman Yanda Environmental air pollution, emphysema and ionized air CHEST October 1966 vol. 50 no. 4 343-352 نسخة محفوظة 14 أبريل 2020 على موقع واي باك مشين. [وصلة مكسورة]
- Kuperman, DA, Huang, X, Koth, LL, et al Direct effects of interleukin-13 on epithelial cells cause airway hyperreactivity and mucus overproduction in asthma Nat Med 2002;8,885-889 ملف بي دي إف نسخة محفوظة 13 أبريل 2020 على موقع واي باك مشين.
- T Luparello, HA Lyons, ER Bleecker and ER McFadden, Influences of Suggestion on Airway Reactivity in Asthmatic Subjects Psychosom Med 30 6 (1968), pp. 819–825. نسخة محفوظة 03 ديسمبر 2008 على موقع واي باك مشين.
- Hereditary pulmonary emphysema CHEST January 2002 vol. 121 no. 1 297-300 نسخة محفوظة 23 فبراير 2020 على موقع واي باك مشين. [وصلة مكسورة]
- Martinez FJ, Curtis JL, Sciurba F, et al. Sex Differences in Severe Pulmonary Emphysema Am J Respir Crit Care Med. 2007;176(3):243-252. نسخة محفوظة 19 يوليو 2008 على موقع واي باك مشين.
- Jessica Dziedzic Man Versus Woman: How COPD Affects the Sexes Differently Pulmonary Reviews Vol. 12, No. 9 September 2007 نسخة محفوظة 27 نوفمبر 2010 على موقع واي باك مشين.
- Gillooly M, Lamb D: Microscopic emphysema in relation to age and smoking habit Thorax 1993;48:491-495 ملف بي د إف نسخة محفوظة 14 مارس 2020 على موقع واي باك مشين.
- Lamb, D; Gillooly, M; Farrow, AS. Microscopic emphysema and its variations with age, smoking, and site within the lungs. Ann N Y Acad Sci. 1991;624:339–340. تحتاج اشتراك نسخة محفوظة 23 فبراير 2020 على موقع واي باك مشين.
- س. نظري : فعاليات الميكانيكية في الفيزيوباثيا من انتفاخ رئوي مجهول السبب : تحليل نظري. مجلة إنترنت من جراحة الصدر والقلب والأوعية الدموية. 2002 المجلد 5 العدد 2 </المرجع> <ref>نظري S. الفيزيوباثيا والجراحي للانتفاخ الرئة الأساسية والحد من حجم التدخل. مينرفا Chir. نوفمبر 1998؛ 53 (11) :899 - 918. PMID : 9973794 </المرجع> (فيديو) أن تكون له عواقب وظيفية هامة. الحدث الرئيسي الميكانيكية يترتب على ذلك من تمزق الحاجز هو أن تجويف الناتج هو أكبر من مجموع مسافتين السنخية (انظر الشكل الجانب)؛
في الواقع بسبب دعم الميكانيكية التي تفتقر لكسر الحاجز نكص على مرونة الرئة سيوسع هذا الفضاء الجديد، بالضرورة على نفقة حمة والسليمة المحيطة. وبعبارة أخرى، ونتيجة فورية وعفوية من تمزق الحاجز، والرئة مطاطة نكص يعيد التوسع حمة صحية على مستوى أقل، بما يتناسب مع مقدار من الاضطراب الحاجز.
نقص انزيم ألفا 1-أنتي تريبسين
من النادر أن تنتج الاصابة عن عوز البروتين ألفا 1-أنتي تريبسين الوراثي (بالإنجليزية: alpha-1-antitrypsin (AAt)) والذي يحمي مرونة المكونات ضمن الرئة والكبد.<ref>ميد لاين بلاس - عوز بروتين ألفا 1-أنتي تريبسين نسخة محفوظة 16 ديسمبر 2017 على موقع واي باك مشين.
- بوابة طب