التهاب عموم القصيبات المنتشر
التهاب عموم القصيبات المنتشر (بالإنجليزية: Diffuse panbronchiolitis) هو مرض تنفسي التهابي لسبب غير معلوم. وهو شكل شديد مترقي من التهاب القصيبات (الممرات الهوائية الصغيرة في الرئتين). مصطلح منتشر يدل على أن الإصابات تظهر في الرئتين، فيما يشير التهاب عموم القصيبات إلى أن الالتهاب يوجد في جميع طبقات القصيبات التنفسية (التي تشارك في تبادل الغازات). يسبب التهاب عموم القصيبات المنتشر التهاب شديد وإصابات شبيهة بالعقيدات في القصيبات النهائية، والتهاب الجيوب المزمن، وسعال قوي مع إنتاج كميات كبيرة من القشع.
| التهاب جميع القصيبات المنتشر | |
|---|---|
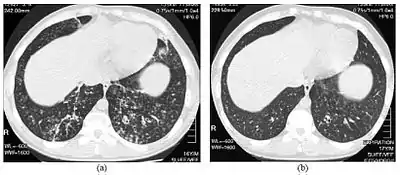
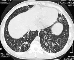
![]() صور تصوير مقطعي محوسب عالي الجودة لأسفل الصدر في ولد عمره 16 سنة مصاب بالتهاب عموم القصيبات المنتشر صور تصوير مقطعي محوسب عالي الجودة لأسفل الصدر في ولد عمره 16 سنة مصاب بالتهاب عموم القصيبات المنتشر | |
| معلومات عامة | |
| الاختصاص | طب الرئة |
| من أنواع | مرض رئوي |
من المعتقد أن المرض يحدث حين تكون هناك قابلية، أو نقص في مقاومة الجهاز المناعي للبكتيريا أو الفيروسات المسببة لالتهاب عموم القصيبات المنتشر، وينتج ذلك عن العديد من الجينات التي توجد في أغلب الأفراد ذوي الأصول الشرق آسيوية. تحدث نسبة الوقوع الأعلى للمرض بين اليابانيين، ثم الكوريين. يحدث المرض أكثر في الذكور، ويبدأ عادة حول سن 40. تم التعرف عليه كمرض جديد مميز في بداية ستينات القرن العشرين، وتمت تسميته بهذا الاسم رسميا في 1969.
إذا تُرك دون علاج، يتطور التهاب عموم القصيبات المنتشر إلىتوسع القصبات، وهو مرض تنفسي غير منعكس يتضمن اتساع القصيبات، وتجميع المخاط في ممرات القصيبات. العلاج اليومي لالتهاب عموم القصيبات المنتشر باستخدام المضاد الحيوي ماكروليد مثل إريثروميسين يخفف الأعراض ويزيد من مدة النجاة، لكن حتى الآن لا يوجد علاج معروف للمرض. النتيجة النهائية للمرض يمكن أن تكون فشل تنفسي ومشاكل قلبية.
التصنيف
يشير مصطلح "التهاب القصيبات" عمومًا إلى وجود أي التهاب في القصيبات الهوائية.[1] يصنف التهاب عموم القصيبات الهوائية كأحد أشكال "التهاب القصيبات الأولي"، والذي يعني أن سبب التهاب القصيبات ينشأ من أو مقتصر على القصيبات.[2][3] إلى جانب التهاب عموم القصيبات المنتشر، تشمل الأشكال الأخرى من التهاب القصيبات الأولي: التهاب القصيبات المسد، والتهاب القصيبات الجريبي، والتهاب القصيبات التنفسي الرئوي الخلالي، وغيرهم. على عكس التهاب عموم القصيبات المنتشر، فإن التهاب القصيبات الذي لا يعتبر "أولي" يكون مصحوبا بأمراض في الممرات الهوائية الأكبر مثل، داء الانسداد الرئوي المزمن.
العلامات والأعراض
تشمل أعراض التهاب عموم القصيبات المنتشر التهاب الجيوب المزمن، وأزيز، وكراكر بسبب عوائق مثل البلغم وإفرازات الرئة، وضيق النفس، وسعال شديد ينتج كميات كبيرة من القشع. قد يكون هناك قيح في القشع، وقد يعانى المرضى من حمى. العلامات التقليدية لتطور المرض تشمل اتساع ممرات القصيبات ونقص تأكسج الدم. إذا ترك التهاب عموم القصيبات المنتشر دون علاج، يحدث توسع القصبات، الذي يتميز باتساع وزيادة سمك جدران القصيبات، وتلف التهابي للقصيبات التنفسية والنهائية، وتجميع المخاط في الرئتين.[4][5] يرتبط التهاب عموم القصيبات المزمن بفشل تنفسي مترقي، وفرط ثنائي أكسيد الكربون في الدم، وقد يؤدي في النهاية إلى فرط ضغط الدم الرئوي، ومرض القلب الرئوي (اتساع البطين الأيمن للقلب، أو قصور القلب الأيمن).[6][7]
السبب

التهاب عموم القصيبات المنتشر هو مرض مجهول السبب، ما يعني أن الأسباب الفسيولوجية، أو البيئية، أو المرضية الدقيقة وراء المرض غير معروفة. على أي حال، توجد العديد من العوامل المشتبه بمشاركتها في عملية الإمراض (كيفية عمل المرض).
معقد التوافق النسيجي الكبير (MHC) هو منطقة جينومية كبيرة توجد في أغلب الفقاريات وترتبط بالجهاز المناعي. توجد على كروموسوم 6 في البشر. مجموعة فرعية من MHC في البشر هي مستضدات الكريات البيضاء البشرية (HLA)، التي تتحكم في جهاز تجلية المستضد، كجزء من الجهاز مناعي التكيفي ضد الممراض كالبكتيريا والفيروسات. حين تتعرض خلايا الإنسان للعدوى بواسطة ممراض، تقوم بعض الخلايا بعرض أجزاء من بروتينات الممراض على سطحها، فيما يعرف باسم "تجلية المستضد". تصبح الخلايا المصابة بالعدوى بعد ذلك هدفًا لنوع من خلية تي قاتلة، والتي تقتل تلك الخلايا ليمكن إزالتها من الجسم.[8]
تم تحديد موقعين للاستعداد الوراثي لالتهاب عموم القصيبات المنتشر في نمطين فردانيين شائعين في الأشخاص ذوي الأصول الشرق آسيوية. يرتبط HLA-B54 بالتهاب عموم القصيبات المنتشر في اليابانيين، بينما يرتبط HLA-A11 بالمرض في الكوريين.[9] يُعتقد أن العديد من الجينات ضمن منطقة مستضد الكريات البيضاء البشرية النوع الأول مسؤولة عن التهاب عموم القصيبات المنتشر عن طريق زيادة القابلية لهذا المرض. الخلفية الوراثية المشتركة والتشابهات في ملف مستضد الكريات البيضاء البشرية بين اليابانيين والكوريين المصابين بالمرض تم أخذهما في الاعتبار في البحث عن جين المرض.[10] اقترح أن هناك طفرة في جين يشتبه في علاقته بالقابلية للمرض يوجد في مكان ما بينمعقد التوافق النسيجي الكبير-ب، ومعقد التوافق النسيجي الكبير-أ وأن تلك الطفرة حدثت في كروموسوم الأجداد كان يحمل HLA-B54 وHLA-A11. كذلك من الممكن أن عدد من أحداث إعادة التركيب الجيني حول بؤرة المرض قد تسببت في ارتباط المرض بـHLA-B54 في اليابانيين، وHLA-A11 في الكوريين. بعد دراسة أعمق، تم التوصل لأن الجين المسؤول عن قابلية المرض يوجد بالقرب من موقع معقد التوافق النسيجي الكبير-ب في كروموسوم 6.
نظرا لأن العديد من الجينات التي تنتمي لمستضد الكريات البيضاء البشرية لا تزال غير معروفة، تم استخدام الاستنساخ الموضعي لتحديد ما إذا كان جين جين شبيه بالموسين يرتبط بالمرض. بالإضافة لذلك، تمت دراسة جينات مستضد الكريات البيضاء البشرية المعروفة والتي تسبب أمراض في المنطقة الكروموسومية الخاصة بقابلية التهاب عموم القصيبات المنتشر. أحد تلك الأمراض متلازمة الخلية الليمفاوية المجردة، والتي تظهر عددا من التشابهات مع التهاب عموم القصيبات المنتشر في المرضى، مثل التهاب الجيوب المزمن، والتهاب القصيبات، والعقد، ووجود بكتيريا المستدمية النزلية. كذلك مثل التهاب عموم القصيبات المنتشر، تسجيب المتلازمة بشكل إيجابي للعلاج بالإريثروميسين بتخفيف الأعراض. التشابه بين المرضين، والاستجابة المنشابهة لنفس العلاج، وحقيقة أن الجين المسؤول عن المتلازمة يقع في نفس منطقة قابلية المرض يقلل من فكرة وجود جين مسئول عن التهاب عموم القصيبات المنتشر. لا يُعتقد أن العوامل البيئية مثل استنشاق أبخرة سامة، والتدخين تلعب دورًا في المرض، فيما لم يتم استبعاد العوامل البيئية المجهولة والأسباب غير الوراثية كالبكتيريا والفيروسات.
تمت دراسة التليف الكيسي، وهو مرض رئوي مترقي يصيب العديد من أجهزة الجسم، في دراسة تبحث عن سبب جيني لالتهاب عموم القصيبات المنتشر ويرجع ذلك لعدة أسباب، فالتليف الكيسي كالتهاب عموم القصيبات، يسبب التهاب شديد في الرئة، وإنتاج وفير من المخاط، وعدوى، وينتشر أكثر بين القوقازيين من مجموعة جغرافية واحدة ويندر في غيرهم، فبينما يسود التهاب عموم القصيبات في الشرق آسيويين، يسود التليف الكيسي في الأشخاص ذوي الأصول الأوروبية. بينما لم يتم حتى الآن تحديد جين معين كسبب لالتهاب عموم القصيبات المنتشر، فإن طفرة في جين محدد تسبب التليف الكيسي. هذه الطفرة في منظم موصلية التليف الكيسي عبر الغشاء ليست عاملًا في التهاب عموم القصيبات المنتشر، ولكن هناك تعدد شكلي (تنوع) فريد في هذا الجين يحدث في كثير من الآسيويين ولكنهم لا يصابون بالضرورة بأي من المرضين. تتم دراسة ما إذا كان هذا الجين في أي حالة من الطفرة قد يساهم في التهاب عموم القصيبات المنتشر.
الفسيولوجيا المرضية
الالتهاب هو جزء طبيعي من رد الفعل المناعي البشري، وفيه تتجمع خلايا الدم البيضاء بما في ذلك الخلايا المتعادلة، ويتراكم الكيموكين (وهي بروتينات تفرزها خلايا معينة، وتنشط أو تستثير استجابة من خلايا أخرى) في أي موقع في الجسم تحدث فيه عدوى فيروسية أو بكتيرية. يتداخل الالتهاب مع عمل البكتيريا والفيروسات، ويعمل على تطهير الجسم منهم. في التهاب عموم القصيبات المنتشر، بكتيريا مثل المستدمية النزلية، والزائفة الزنجارية يمكن أن تسبب تكاثر الخلايا الالتهابية في نسيج القصيبات. مع ذلك، حين لا يكون هناك بكتيريا في التهاب عموم القصيبات المنتشر، يستمر الالتهاب لسبب غير معلوم حتى الآن. في كل الأحوال، الالتهاب في هذا المرض يمكن أن يكون شديدًا للغاية لدرجة تكون عقيدات تحتوي على خلايا التهابية في جدران القصيبات.[11] يؤدي أيضا وجود التهاب وعدوى في ممرات الهواء إلى إنتاج مفرط من مخاط، والذي يجب إخراجه بالسعال في صورة قشع. مزيج الالتهاب، وتكون العقيدات، والعدوى، والمخاط، والسعال المتكرر يساهم في صعوبات تنفسية في مرضى التهاب عموم القصيبات المنتشر.
حقيقة أن الالتهاب يستمر في المرض في وجود أو غياب المستدمية النزلية، والزائفة الزنجارية يوفر وسيلة لتحديد آليات عديدة لكيفية إمراض التهاب عموم القصيبات المنتشر. اللوكوترايينات، وإيكوزانويد، وجزيئات التأشير المصنوعة من الأحماض الدهنية الضرورية، والتي تلعب دورًا في العديد من الأمراض التنفسية عن طريق التسبب في تكاثر الخلايا الالتهابية والإفراز المفرط للمخاط في ممرات الهواء.[12] في التهاب عموم القصيبات الهوائية وأمراض تنفسية أخرى، الجزئ الوسيط المنتشر للالتهاب المعتمد على الخلايا المتعادلة هو لوكوترين B4، الذي يتخصص في تكاثر الخلية المتعادلة عن طريق الانجذاب الكيميائي.
يحدث كذلك الالتهاب في التهاب عموم القصيبات المنتشر بسبب الكيموكين CCL4 ومشاركته مع الخلايا التائية ذات كتلة التمايز 8 (خلية تي القاتلة). بيتا ديفنسين، وهي عائلة من الببتيدات المضادة للميكروبات توجد في الجهاز التنفسي، مسؤولة عن المزيد من الالتهاب في المرض حين يتواجد ممراض مثل الزائفة الزنجارية. إذا تواجد فيروس تي- الليمفاوي البشري النوع الأول في التهاب عموم القصيبات المنتشر، فإنه يعدل الإمراض عن طريق إصابة خلايا تي المساعدة بالعدوى وتعديل فعاليتها في التعرف على الممراضات المشاركة في المرض.
التشخيص

يتطلب تشخيص المرض فحص طبي للرئتين ونسيج القصيبات، وهو ما قد يحتاج لخزعة، أو المفضل أكثر تصوير مقطعي محوسب عالي الجودة للرئتين. تشمل المعايير التشخيصية للمرض التهاب شديد في كل طبقات القصيبات التنفسية وإصابات في نسيج الرئة تظهر في شكل عقيدات في القصيبات النهائية والتنفسية في كلا الرئتين. تظهر العقيدات في التهاب عموم القصيبات المنتشر في صورة كتل معتمة عند رؤيتها بالأشعة السينية، وقد تسبب انسداد مجرى الهواء، وهو ما يتم تقييمه بقياس التنفس. تكشف الأشعة السينية كذلك عن اتساع ممرات القصيبات، وهي علامة أخرى للمرض. يُظهر التصوير المقطعي المحوسب عالي الجودة عادة انسداد بعض ممرات القصيبات بالمخاط، وهو ما يشار إليه باسم "علامة شجرة في برعم". نقص تأكسج الدم، وهو علامة أخرى على صعوبة التنفس، يتم اكتشافه عن طريق قياس محتوى الأكسجين وثنائي أكسيد الكربون في الدم، باستخدام اختبار يسمى غازات الدم الشرياني. أشياء أخرى يمكن ملاحظتها في المرض تشمل تكاثر الخلايا اللمفاوية، والخلايا المتعادلة، ومنسجات رغوية في بطانة الرئة. يمكن اكتشاف بكتيريا مثل المستدمية النزلية، والزائفة الزنجارية. يمكن مشاهدة ارتفاع مستوى غلوبيولين مناعي ج، وغلوبيولين مناعي أ، بالإضافة لوجود عامل الروماتويد. قد يحدث كذلك تراص دموي، أي تراص كريات الدم الحمراء استجابة لوجود أجسام مضادة في الجسم. يمكن كذلك اكتشاف الخلايا المتعادلة، والبيتا ديفنسين، واللوكوترايينات، والكيموكين في سائل غسل القصبات والأسناخ.
التشخيص التفريقي
في التشخيص التفريقي لبعض الأمراض التنفسية الانسدادية، يتم أخذ التهاب عموم القصيبات المنتشر في الاعتبار. يشبه عدد من أعراض المرض تلك الموجودة في أمراض تنفسية انسدادية أخرى مثل الربو، وداء الانسداد الرئوي المزمن، والنفاخ الرئوي. الأزيز، والسعال مع إنتاج قشع، وضيق النفس هي أعراض مشتركة في تلك الأمراض، كما يظهر نموذج انسدادي في فحص وظائف الرئة. التليف الكيسي، مثل التهاب عموم القصيبات المنتشر، يسبب التهاب تنفسي شديد، وفرط في إفراز المخاط، وعدوى، إلا أن التهاب عموم القصيبات المنتشر لا يسبب مشاكل في البنكرياس ولا الكهارل، على عكس التليف الكيسي، لذلك فإن المرضين مختلفين وغير مرتبطين غالبا. يتم تمييز التهاب عموم القصيبات المنتشر بوجود إصابات تظهر في الأشعة السينية في شكل عقيدات في قصيبات الرئتين، والتهاب في كل طبقات القصيبات، وأنه يسود أكثر بين النسل الشرق آسيوي.
التهاب عموم القصيبات المنتشر والتهاب القصيبات المسد هما شكلان من التهاب القصيبات الأولي.[13] توجد ملامح متداخلة بين المرضين وتشمل السعال الشديد مع كميات كبيرة من القشع الملئ بالقيح، وظهور عقيدات في الأشعة السينية على أسفل القصبات وفي منطقة القصيبات، والتهاب الجيوب المزمن. في التهاب عموم القصيبات المنتشر، تكون العقيدات محدودة أكثر على القصيبات التنفسية، بينما في التهاب القصيبات المسد تكون موجودة غالبا في القصيبات العشائية (القطاع الأولي غير الغضروفي من القصيبات). التهاب القصيبات المسد هو مرض منتشر حول العالم، بينما ينتشر التهاب عموم القصيبات المنتشر في مناطق أكثر تحديدا بالأخص اليابان.[13][14] قبل التعرف السريري على التهاب عموم القصيبات المنتشر في السنوات الأخيرة، كان يتم تشخيصه عادة بشكل خاطئ على أنه توسع القصبات، أو داء الانسداد الرئوي المزمن، أو تليف رئوي مجهول السبب، أو سل دخني، أو غرناوية (ساركويد).[15]
العلاج

المضادات الحيوية ماكروليد، مثل إريثروميسين، تمثل علاجًا فعلًا لالتهاب عموم القصيبات المنتشر عند تناولها بانتظام لفترة ممتدة من الوقت.[16][17] كلاريثروميسين، أو روكسيثرومايسين يتم استخدامهما أيضا بشكل شائع.[18] النتائج الناجحة لاستخدام الماكروليدات في هذا المرض والأمراض التنفسية المشابهة تنبع من علاج أعراض معينة عن طريق العلاج المناعي، والذي يمكن تحقيقه بواسطة تناول المضاد الحيوي بجرعات صغيرة. يتكون العلاج من تناول الإريثروميسين عن طريقم الفم يوميا لمدة سنتين أو ثلاث سنوات، وهي فترة طويلة أظهرت تحسنًا دراميًا في تأثيرات المرض. يتضح هذا حين يظهر عدد طبيعي من الخلايا المتعادلة في سائل غسل القصبات والأسناخ في مريض يتلقى العلاج، وهي واحدة من عدة معايير لسكون المرض، وكذلك لديه غازات دم شرياني تُظهر أن الأكسجين الحر في الدم في النطاق الطبيعي.[19]
تم اقتراح السماح براحة مؤقتة من علاج الإريثروميسين في تلك الحالات، لتقليل فرصة تكوين زائفة زنجارية مقاومة للماكروليد. على أي حال، عادة ما تعود الأعراض، ويجب حينها استئناف العلاج. رغم كونه فعال جدا، قد لا يكون الإريثروميسين ناجحًا في كل المرضى، بالأخص إذا تواجدت زائفة زنجارية مقاومة للماكروليد أو كان المرض متواجدا دون علاج وتطور إلى نقطة حدوث فشل تنفسي.
مع علاج الإريثروميسين، يتم الوصول لنقص كبير في التهاب القصيبات والتلف عن طريق تثبيط تكاثر الخلايا المتعادلة، ونشاط الخلايا اللمفاوية، وإفراز الماء والمخاط في مجرى الهواء. تأثيرات الماكروليد كمضاد حيوي لا تشارك في تأثيراته المفيدة لتقليل الالتهاب في هذا المرض. هذا جلي لأن جرعة العلاج قليلة جدا لمقاومة العدوى، وفي حالات التهاب عموم القصيبات المنتشر مع وجود زائفة زنجارية مقاومة للماكروليد يقلل الإريثروميسين من الالتهاب.[20]
يشارك عدد من العوامل في ثبيط الالتهاب بواسطة إريثروميسين والماكروليدات الأخرى. حيث تكون الماكروليدات فعالة بالأخص في منع تكاثر الخلايا المتعادلة، عن طريق تقليل قدرة إنترلوكين 8 ولوكوترين B4 على جذبهم. تقلل الماكروليدات كذلك من كفاءة جزيئات الالتصاق التي تسمح للخلايا المتعادلة بالالتصاق ببطانة نسيج القصيبات. إفراز المخاط في مجرى الهواء هو متهم رئيسي في المراضة والوفاة في التهاب عموم القصيبات المنتشر والأمراض التنفسية الأخرى. يساهم تقليل الالتهاب بواسطة الإريثروميسين في تقليل إفراز المخاط المفرط كذلك.
المآل
عدم علاج المرض يؤدي إلى توسع القصبات، وفشل تنفسي، والموت. أشار تقرير في عام 1983 أن عدم علاج المرض له معدل نجاة لمدة 5 سنوات تبلغ 62.1%، فيما كانت نسبة النجاة لـ10 سنوات 33.2%. مع العلاج باستخدام إريثروميسين، يملك مرضى التهاب عموم القصيبات المنتشر متوسط عمر متوقع أطول بكثير بسبب التعامل الأفضل مع الأعراض، وتأخير ترقي المرض، ومنع العدوى المصاحبة مثل الزائفة الزنجارية. يبلغ معدل النجاة لـ10 سنوات للحالات التي تتلقى العلاج 90%. في حالات المرض التي تسبب فيها العلاج في تحسن كبير، والذي يحدث عادة بعد حوالي سنتين، يتم السماح بإيقاف العلاج لفترة. على أي حال، يتم متابعة أولئك المرضى عن كثب خلال الفترة التي يتم إيقاف العلاج فيها. نظرا لأنه تم إثبات أن المرض يعود مرة أخرى، يجب استئناف العلاج بالإريثروميسين على الفور بمجرد عودة الأعراض للظهور. رغم تحسن المآل مع العلاج، لا يزال المرض بلا علاج معروف.
الانتشار
يمتلك التهاب عموم القصيبات المنتشر أعلى نسبة انتشار له بين اليابانيين بواقع 11 مريض لكل 100,000 شخص.[21] والكوريين،[22] والصينيين،[23] والتايلانديين. هناك اقتراح بأن شعوب شرق آسيا لديها استعداد وراثي للمرض.[24] المرض أكثر شيوعًا في الذكور،[25] حيث تبلغ نسبة المرضى من الذكور إلى الإناث 2:1 تقريبا (أو حوالي 5 رجال لكل 3 نساء). متوسط عمر بداية العمر هو حوالي 4 سنة، وحوالي ثلثا المرضى من غير المدخنين، رغم أن التدخين لا يُعتقد أنه أحد الأسباب.[26] وجود HLA-B54 يزيد من خطر الإصابة المرض 13.3 ضعفًا.[27]
في أوروبا والأمريكتين، تم الإبلاغ عن عدد صغير نسبيًا من حالات التهاب عموم القصيبات المنتشر بين المهاجرين والمقيمين الآسيويين، بالإضافة لبعض الأفراد من أصول غير آسيوية.[28][29][30] حدثت بعض حالات التشخيص الخاطئ في الغرب نظرًا لقلة التعرف على المرض مقارنة بالدول الآسيوية. العدد الكبير من الآسيويين الذين يعيشون في الغرب، والعدد الضئيل المصاب بالمرض منهم يقترحان وجود عوامل غير وراثية قد تلعب دورًا في أسباب المرض. ولكن قد ترجع الندرة النسبية للمرض بين أولئك للتشخيص الخاطئ.[31]
مراجع
- Visscher, D. W.; Myers, J. L. (2006). "Bronchiolitis: the pathologist's perspective" (Free full text). Proceedings of the American Thoracic Society. 3 (1): 41–47. doi:10.1513/pats.200512-124JH. PMID 16493150. "نسخة مؤرشفة". Archived from the original on 16 أبريل 2010. اطلع عليه بتاريخ 31 أغسطس 2018. الوسيط
|CitationClass=تم تجاهله (مساعدة)صيانة CS1: BOT: original-url status unknown (link) - Ryu, J. H.; Myers, J. L.; Swensen, S. J. (December 2003). "Bronchiolar disorders" (Free full text). American Journal of Respiratory and Critical Care Medicine. 168 (11): 1277–1292. doi:10.1164/rccm.200301-053SO. PMID 14644923. "نسخة مؤرشفة". Archived from the original on 2 ديسمبر 2009. اطلع عليه بتاريخ 31 أغسطس 2018. الوسيط
|CitationClass=تم تجاهله (مساعدة)صيانة CS1: BOT: original-url status unknown (link) - Ryu, J. H. (March 2006). "Classification and approach to bronchiolar diseases". Current Opinion in Pulmonary Medicine. 12 (2): 145–151. doi:10.1097/01.mcp.0000208455.80725.2a. PMID 16456385. "نسخة مؤرشفة". Archived from the original on 22 مايو 2019. اطلع عليه بتاريخ 3 يونيو 2019. الوسيط
|CitationClass=تم تجاهله (مساعدة)صيانة CS1: BOT: original-url status unknown (link) - Poletti, V.; Casoni, G.; Chilosi, M.; Zompatori, M. (October 2006). "Diffuse panbronchiolitis" (Free full text). European Respiratory Journal. 28 (4): 862–871. doi:10.1183/09031936.06.00131805. PMID 17012632. "نسخة مؤرشفة". Archived from the original on 15 أغسطس 2018. اطلع عليه بتاريخ 31 أغسطس 2018. الوسيط
|CitationClass=تم تجاهله (مساعدة)صيانة CS1: BOT: original-url status unknown (link) - Yanagihara, K.; Kadoto, J.; Kohno, S. (2001). "Diffuse panbronchiolitis—pathophysiology and treatment mechanisms". International Journal of Antimicrobial Agents. 18 Suppl 1: S83–S87. doi:10.1016/s0924-8579(01)00403-4. PMID 11574201. "نسخة مؤرشفة". Archived from the original on 20 مايو 2019. اطلع عليه بتاريخ 3 يونيو 2019. الوسيط
|CitationClass=تم تجاهله (مساعدة)صيانة CS1: BOT: original-url status unknown (link) - Homma, H.; Yamanaka, A.; Tanimoto, S.; Tamura, M.; Chijimatsu, Y.; Kira, S.; Izumi, T. (January 1983). "Diffuse panbronchiolitis. A disease of the transitional zone of the lung". Chest. 83 (1): 63–69. doi:10.1378/chest.83.1.63. PMID 6848335. "نسخة مؤرشفة". Archived from the original on 26 أكتوبر 2017. اطلع عليه بتاريخ 3 يونيو 2019. الوسيط
|CitationClass=تم تجاهله (مساعدة)صيانة CS1: BOT: original-url status unknown (link) - Anthony, M.; Singham, S.; Soans, B.; Tyler, G. (October 2009). "Diffuse panbronchiolitis: not just an Asian disease: Australian case series and review of the literature". Biomedical Imaging and Intervention Journal. 5 (4): e19. doi:10.2349/biij.5.4.e19. PMC 3097723
. PMID 21610988. "نسخة مؤرشفة". Archived from the original on 21 مايو 2019. اطلع عليه بتاريخ 3 يونيو 2019. الوسيط |CitationClass=تم تجاهله (مساعدة)صيانة CS1: BOT: original-url status unknown (link) - Morris, Alan George; Hewitt, C.; Young, Stephen (1994). The major histocompatibility complex: its genes and their roles in antigen presentation. 15. Pergamon.
- Keicho, N.; Hijikata, M. (May 2011). "Genetic predisposition to diffuse panbronchiolitis" (Free full text). Respirology. 16 (4): 581–588. doi:10.1111/j.1440-1843.2011.01946.x. PMID 21303426. "نسخة مؤرشفة". Archived from the original on 4 مارس 2016. اطلع عليه بتاريخ 31 أغسطس 2018. الوسيط
|CitationClass=تم تجاهله (مساعدة)صيانة CS1: BOT: original-url status unknown (link) - الوراثة المندلية البشرية عبر الإنترنت (OMIM) Panbronchiolitis, Diffuse -604809 Retrieved 11 November 2011. نسخة محفوظة 3 سبتمبر 2019 على موقع واي باك مشين.
- Azuma, A.; Kudoh, S. (May 2006). "Diffuse panbronchiolitis in East Asia" (Free full text). Respirology (Carlton, Vic.). 11 (3): 249–261. doi:10.1111/j.1440-1843.2006.00845.x. PMID 16635082. "نسخة مؤرشفة". Archived from the original on 23 نوفمبر 2014. اطلع عليه بتاريخ 31 أغسطس 2018. الوسيط
|CitationClass=تم تجاهله (مساعدة)صيانة CS1: BOT: original-url status unknown (link) - Busse, W. W. (June 1998). "Leukotrienes and inflammation" (Free full text). American Journal of Respiratory and Critical Care Medicine. 157 (6 pt. 1): S210–S213. doi:10.1164/ajrccm.157.6.mar-1. PMID 9620941. "نسخة مؤرشفة". Archived from the original on 10 مايو 2007. اطلع عليه بتاريخ 31 أغسطس 2018. الوسيط
|CitationClass=تم تجاهله (مساعدة)صيانة CS1: BOT: original-url status unknown (link) - Ryu, J. H.; Myers, J. L.; Swensen, S. J. (December 2003). "Bronchiolar disorders". American Journal of Respiratory and Critical Care Medicine. 168 (11): 1277–1292. doi:10.1164/rccm.200301-053SO. PMID 14644923. مؤرشف من الأصل (Free full text) في 02 ديسمبر 2009. الوسيط
|CitationClass=تم تجاهله (مساعدة) - Homma, H.; Yamanaka, A.; Tanimoto, S.; Tamura, M.; Chijimatsu, Y.; Kira, S.; Izumi, T. (January 1983). "Diffuse panbronchiolitis. A disease of the transitional zone of the lung". Chest. 83 (1): 63–69. doi:10.1378/chest.83.1.63. PMID 6848335. الوسيط
|CitationClass=تم تجاهله (مساعدة) - Li, H.; Zhou, Y.; Fan, F.; Zhang, Y.; Li, X.; Yu, H.; Zhao, L.; Yi, X.; He, G.; Fujita, J.; Jiang, D. (August 2011). "Effect of Azithromycin on Patients with Diffuse Panbronchiolitis: Retrospective Study of 51 Cases". Internal Medicine. 50 (16): 1663–1669. doi:10.2169/internalmedicine.50.4727. PMID 21841323. الوسيط
|CitationClass=تم تجاهله (مساعدة) - Kanoh, S.; Rubin, B. K. (July 2010). "Mechanisms of Action and Clinical Application of Macrolides as Immunomodulatory Medications". Clinical Microbiology Reviews (Free full text). 23 (3): 590–615. doi:10.1128/CMR.00078-09. PMC 2901655
. PMID 20610825. "نسخة مؤرشفة". Archived from the original on 22 مايو 2019. اطلع عليه بتاريخ 3 يونيو 2019. الوسيط |CitationClass=تم تجاهله (مساعدة)صيانة CS1: BOT: original-url status unknown (link) - Lopez-Boado, Y. S.; Rubin, B. K. (June 2008). "Macrolides as immunomodulatory medications for the therapy of chronic lung diseases". Current Opinion in Pharmacology. 8 (3): 286–291. doi:10.1016/j.coph.2008.01.010. PMID 18339582. "نسخة مؤرشفة". Archived from the original on 21 مايو 2019. اطلع عليه بتاريخ 3 يونيو 2019. الوسيط
|CitationClass=تم تجاهله (مساعدة)صيانة CS1: BOT: original-url status unknown (link) - Keicho, N.; Kudoh, S. (2002). "Diffuse panbronchiolitis: Role of macrolides in therapy". American Journal of Respiratory Medicine. 1 (2): 119–131. doi:10.1007/BF03256601. PMID 14720066. "نسخة مؤرشفة". Archived from the original on 22 مايو 2019. اطلع عليه بتاريخ 3 يونيو 2019. الوسيط
|CitationClass=تم تجاهله (مساعدة)صيانة CS1: BOT: original-url status unknown (link) - Schultz, M. J. (July 2004). "Macrolide activities beyond their antimicrobial effects: macrolides in diffuse panbronchiolitis and cystic fibrosis" (Free full text). Journal of Antimicrobial Chemotherapy. 54 (1): 21–28. doi:10.1093/jac/dkh309. PMID 15190022. "نسخة مؤرشفة". Archived from the original on 21 مايو 2019. اطلع عليه بتاريخ 3 يونيو 2019. الوسيط
|CitationClass=تم تجاهله (مساعدة)صيانة CS1: BOT: original-url status unknown (link) - Tamaoki, J.; Kadota, J.; Takizawa, H. (November 2004). "Clinical implications of the immunomodulatory effects of macrolides". The American Journal of Medicine. 117 Suppl 9A (9): 5S–11S. doi:10.1016/j.amjmed.2004.07.023. PMID 15586558. "نسخة مؤرشفة". Archived from the original on 22 مايو 2019. اطلع عليه بتاريخ 3 يونيو 2019. الوسيط
|CitationClass=تم تجاهله (مساعدة)صيانة CS1: BOT: original-url status unknown (link) - Poletti، V.؛ Casoni، G.؛ Chilosi، M.؛ Zompatori، M. (October 2006). "Diffuse panbronchiolitis" (Free full text). European Respiratory Journal. 28 (4): 862–871. PMID 17012632. doi:10.1183/09031936.06.00131805. "نسخة مؤرشفة". Archived from the original on 15 أغسطس 2018. اطلع عليه بتاريخ 31 أغسطس 2018. الوسيط
|CitationClass=تم تجاهله (مساعدة)صيانة CS1: BOT: original-url status unknown (link) - Kim، Y. W.؛ Han، S. K.؛ Shim، Y. S.؛ Kim، K. Y.؛ Han، Y. C.؛ Seo، J. W.؛ Im، J. G. (1992). "The first report of diffuse panbronchiolitis in Korea: five case reports". Internal Medicine (Tokyo, Japan). 31 (5): 695–701. PMID 1504438. doi:10.2169/internalmedicine.31.695. "نسخة مؤرشفة". Archived from the original on 26 أكتوبر 2017. اطلع عليه بتاريخ 3 يونيو 2019. الوسيط
|CitationClass=تم تجاهله (مساعدة)صيانة CS1: BOT: original-url status unknown (link) - Chen، Y.؛ Kang، J.؛ Li، S. (January 2005). "Diffuse panbronchiolitis in China". Respirology. 10 (1): 70–75. PMID 15691241. doi:10.1111/j.1440-1843.2005.00622.x. "نسخة مؤرشفة". Archived from the original on 22 مايو 2019. اطلع عليه بتاريخ 3 يونيو 2019. الوسيط
|CitationClass=تم تجاهله (مساعدة)صيانة CS1: BOT: original-url status unknown (link) - Keicho، N.؛ Hijikata، M. (May 2011). "Genetic predisposition to diffuse panbronchiolitis" (Free full text). Respirology. 16 (4): 581–588. PMID 21303426. doi:10.1111/j.1440-1843.2011.01946.x. "نسخة مؤرشفة". Archived from the original on 4 مارس 2016. اطلع عليه بتاريخ 31 أغسطس 2018. الوسيط
|CitationClass=تم تجاهله (مساعدة)صيانة CS1: BOT: original-url status unknown (link) - Høiby, N. (June 1994). "Diffuse panbronchiolitis and cystic fibrosis: East meets West". Thorax. 49 (6): 531–532. PMC 474936
. PMID 8016786. doi:10.1136/thx.49.6.531. "نسخة مؤرشفة". Archived from the original on 20 مايو 2019. اطلع عليه بتاريخ 3 يونيو 2019. الوسيط |CitationClass=تم تجاهله (مساعدة)صيانة CS1: BOT: original-url status unknown (link) - Anthony, M.؛ Singham, S.؛ Soans, B.؛ Tyler, G. (October 2009). "Diffuse panbronchiolitis: not just an Asian disease: Australian case series and review of the literature". Biomedical Imaging and Intervention Journal. 5 (4): e19. PMC 3097723
. PMID 21610988. doi:10.2349/biij.5.4.e19. "نسخة مؤرشفة". Archived from the original on 21 مايو 2019. اطلع عليه بتاريخ 3 يونيو 2019. الوسيط |CitationClass=تم تجاهله (مساعدة)صيانة CS1: BOT: original-url status unknown (link) - Lazarus SC (2005). Murray and Nadel's Textbook of Respiratory Medicine (الطبعة 4th). WB Saunders. صفحة 1300. ISBN 0-7216-0327-0. الوسيط
|CitationClass=تم تجاهله (مساعدة) - Fitzgerald، J. E.؛ King Jr، T. E.؛ Lynch، D. A.؛ Tuder، R. M.؛ Schwarz، M. I. (August 1996). "Diffuse panbronchiolitis in the United States". American Journal of Respiratory and Critical Care Medicine. 154 (2 Pt 1): 497–503. PMID 8756828. doi:10.1164/ajrccm.154.2.8756828. "نسخة مؤرشفة". Archived from the original on 22 مايو 2019. اطلع عليه بتاريخ 3 يونيو 2019. الوسيط
|CitationClass=تم تجاهله (مساعدة)صيانة CS1: BOT: original-url status unknown (link) - Martinez، J. A.؛ Guimarães، S. M.؛ Ferreira، R. G.؛ Pereira، C. A. (March 2000). "Diffuse panbronchiolitis in Latin America". The American Journal of the Medical Sciences. 319 (3): 183–185. PMID 10746829. doi:10.1097/00000441-200003000-00008. "نسخة مؤرشفة". Archived from the original on 21 مايو 2019. اطلع عليه بتاريخ 3 يونيو 2019. الوسيط
|CitationClass=تم تجاهله (مساعدة)صيانة CS1: BOT: original-url status unknown (link) - Sandrini، A.؛ Balter، M. S.؛ Chapman، K. R. (2003). "Diffuse panbronchiolitis in a Caucasian man in Canada". Canadian Respiratory Journal. 10 (8): 449–451. PMID 14679410. doi:10.1155/2003/786531. "نسخة مؤرشفة". Archived from the original on 21 مايو 2019. اطلع عليه بتاريخ 3 يونيو 2019. الوسيط
|CitationClass=تم تجاهله (مساعدة)صيانة CS1: BOT: original-url status unknown (link) - Brugiere، O.؛ Milleron، B.؛ Antoine، M.؛ Carette، M. F.؛ Philippe، C.؛ Mayaud، C. (October 1996). "Diffuse panbronchiolitis in an Asian immigrant" (Free full text). Thorax. 51 (10): 1065–1067. PMC 472677
. PMID 8977613. doi:10.1136/thx.51.10.1065. "نسخة مؤرشفة". Archived from the original on 20 مايو 2019. اطلع عليه بتاريخ 3 يونيو 2019. الوسيط |CitationClass=تم تجاهله (مساعدة)صيانة CS1: BOT: original-url status unknown (link)
- بوابة آسيا
- بوابة اليابان
- بوابة طب
