نواة قاعدية
النواة القاعدية والمعروفة أيضًا باسم النواة القاعدية لمينرت أو النواة القاعدية كبيرة الخلايا، هي مجموعة من الخلايا العصبية الموجودة بشكل رئيسي في المادَّة اللَّامُسَمَّاة [الإنجليزية] من الدماغ الأمامي.[1] معظم الخلايا العصبية في النواة القاعدية غنية بالناقل العصبي أستيل كولين، ولديها انتشار واسعة النطاق في القشرة المخية الحديثة وبنى الدماغ الأخرى.[2]
| Nucleus basalis | |
|---|---|
| الاسم اللاتيني nucleus basalis telencephali | |
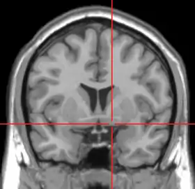
![]() يظهر التصوير بالرنين المغناطيسي المستوى الإكليلي للرأس مع علامات تبين موقع المادَّة اللَّامُسَمَّاة، المنطقة التي توجد فيها النواة القاعدية. | |
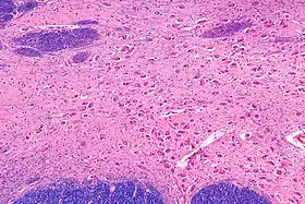
![]() صورة مجهرية متوسطة التكبير للنواة القاعدية. لطخة LFB-HE صورة مجهرية متوسطة التكبير للنواة القاعدية. لطخة LFB-HE | |
| تفاصيل | |
| ترمينولوجيا أناتوميكا | 14.1.09.418 |
| FMA | 61887 |
| UBERON ID | 0010010 |
| ن.ف.م.ط. | D020532 |
المراجع
- Hedreen JC (1984). "Topography of the magnocellular basal forebrain system in human brain". Journal of Neuropathology and Experimental Neurology. 43 (1): 1–21. doi:10.1097/00005072-198401000-00001. PMID 6319616. الوسيط
|CitationClass=تم تجاهله (مساعدة) - Liu AK; et al. (2015). "Nucleus basalis of Meynert revisited: anatomy, history and differential involvement in Alzheimer's and Parkinson's disease". Acta Neuropathologica. 129 (4): 527–540. doi:10.1007/s00401-015-1392-5. PMC 4366544. PMID 25633602. الوسيط
|CitationClass=تم تجاهله (مساعدة)
نواة قاعدية في المشاريع الشقيقة
صور وملفات صوتية من كومنز
- بوابة تشريح
- بوابة طب
This article is issued from Wikipedia. The text is licensed under Creative Commons - Attribution - Sharealike. Additional terms may apply for the media files.

