متلازمة الضائقة التنفسية الحادة
متلازمة الضائقة التنفسية الحادة هو نوع من أنواع فشل في الجهاز التنفسي يتميز بحدوث التهاب في الرئتين سريع الانتشار،[1] وتشمل أعراضه ضيق التنفس، تسرع التنفس، تزرق الجلد. انخفاض جودة الحياة في المرضى الباقين على قيد الحياة.[2]
| متلازمة الضائقة التنفسية الحادة | |
|---|---|
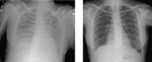
![]() مريض مصاب بمتلازمة الضائقة التنفسية الحادة ويُظهر تصوير الصدر بالأشعة السينية وجود عتامات الزجاج المصنفر مريض مصاب بمتلازمة الضائقة التنفسية الحادة ويُظهر تصوير الصدر بالأشعة السينية وجود عتامات الزجاج المصنفر | |
| معلومات عامة | |
| الاختصاص | طب الحالات الحرجة |
| من أنواع | فشل تنفسي ، وإصابة رئوية |
| المظهر السريري | |
| البداية المعتادة | خلال أسبوع[1] |
| الأعراض | ضيق التنفس، تسرع التنفس، تزرق بالجلد[1] |
| الإدارة | |
| التشخيص | البالغون: مؤشر هورويتز أقل من 300 |
| العلاج | التهوية الميكانيكية، أكسجة غشائية خارج الجسم[1] |
| المآل | 35 إلى 90 % خطر الوفاة[1] |
| حالات مشابهة | قصور القلب[1] |
| الوبائيات | |
| انتشار المرض | 3 مليون كل عام[1] |
تشمل أسباب متلازمة الضائقة التنفسية الحادة كل من الإنتان، التهاب البنكرياس، الرضات الخطيرة، الالتهاب الرئوي، والشفط الرئوي.[1] وتتضمن الآلية الأساسية لحدوثها وجود تأذي سنخي منتشر يُصيب الخلايا التي تشكل حاجز الحويصلات الهوائية في الرئتين، وضعف الفاعل بالسطح الرئوي، تفعيل الجهاز المناعي وضعف تنظيم الجسم لعملية تخثر الدم.[3] وفي الإجمالي فإن متلازمة الضائقة التنفسية الحادة تُضعف قدرة الرئتين على تبادل الأكسجين وثاني أكسيد الكربون، ويعتمد التشخيص على نسبة مؤشر هورويتز أقل من 300 ملم زئبق رغم وجود ضغط نهاية الزفير الإيجابي أكثر من 5 سم ماء. مع ضرورة وذمة الرئة المصاحبة لأمراض القلب.[2]
يشمل العلاج الأساسي التهوية الميكانيكية بجانب العلاجات الموجهة للسبب الأساسي،[1] وتشمل استراتيجيات التهوية استخدام أحجام منخفضة وضغوط منخفضة، كما يُمكن -بحسب الحاجة- استخدام مناورة توظيف الرئة والحاصرات العصبية العضلية، والأكسجة الغشائية خارج الجسم، وترتبط هذه المتلازمة بمعدل وفيات يتراوح بين 35 و50٪.
تؤثر متلازمة الضائقة التنفسية الحادة في أكثر من 3 مليون شخص سنويا،[1] وقد وُصفت الحالة لأول مرة عام 1967، وأحيانا يُستخدم مصطلح "متلازمة الضائقة التنفسية لدى البالغين" لتمييزها عن "متلازمة الضائقة التنفسية لدى الرضع"، لكن الإجماع الدولي على "متلازمة الضائقة التنفسية الحادة" كأفضل مصطلح، لأنها تؤثر على جميع الأعمار.[4]
العلامات والأعراض
غالبًا ما تبدأ علامات وأعراض متلازمة الضائقة التنفسية الحادة في غضون ساعتين من وقوع الحدث المحرض، ولكن من المعروف أنها تستغرق من يوم إلى ثلاثة أيام؛ وقد تشمل الأعراض ضيق التنفس وتسرع التنفس ونقص تأكسج الدم بسبب ضعف التهوية،[5] [6] كما تشمل الأعراض الشائعة الأخرى إجهاد العضلات والضعف العام، وانخفاض ضغط الدم، والسعال الجاف، والحمى. [7]
المضاعفات
قد تشمل المضاعفات ما يلي: [8]
- الرئتين: الرض الضغطي والرضح الحجمي، استرواح الصدر، الانصمام الرئوي، التليف الرئوي، الالتهاب الرئوي المرتبط بأجهزة التنفس الصناعي.
- الجهاز الهضمي: نزيف، خلل الحركة، استرواح الصفاق.
- الجهاز العصبي: تلف الدماغ الناجم عن نقص التأكسج الدماغي.
- القلب: اضطراب نظم القلب، ضعف عضلة القلب
- الكلى: قصور كلوي حاد.
- إصابة الأوعية الدموية (عن طريق وضع القسطرة في الشريان الرئوي)، التضيق الحنجري الرغامي (نتيجة التنبيب أو تهيج أنبوب القصبة الهوائية)
- التغذية: سوء التغذية (التقويض)، اضطرابات الكهرل.
كما تشمل المضاعفات الأخرى ما يلي: [7]
- همود الرئة.
- مضاعفات تنشأ عن العلاج في المستشفى: تكون جلطات الدم نتيجة الاستلقاء لفترات طويلة، ضعف في عضلات التنفس، قرح الإجهاد، الاكتئاب أو غيره من الأمراض العقلية.
- فشل الأعضاء المتعدد.
- ارتفاع ضغط الدم الرئوي.
الأسباب
تتعد أسباب متلازمة الضائقة التنفسية الحادة المباشرة والغير مباشرة اعتمادًا على إصابة الرئتين في البداية، وتشمل الأسباب المباشرة الالتهاب الرئوي (البكتيري والفيروسي)، رضات الرئة، جروح الصدر، والغرق. وتشمل الأسباب غير المباشرة الإنتان، الصدمة، التهاب البنكرياس، والرضات الخطيرة، المجازة القلبية الرئوية، إصابة الرئة الحادة المتعلقة بنقل الدم، الحروق، زيادة الضغط داخل القحف.[9]
الفيزيولوجيا المرضية

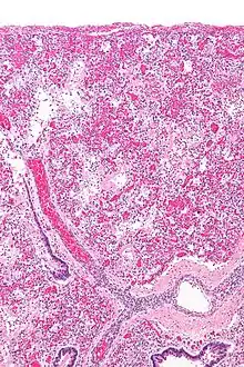
تُعد متلازمة الضائقة التنفسية الحادة شكل من أشكال الوذمة الرؤوية التي لا يمكن تفسيرها بفشل القلب (ولذا تُسمى بالوذمة الرؤوية غير القلبية)، وتحدث هذا المتلازمة بسبب مرض حاد في الرئتين، مايؤدي إلى إغراق الحويصلات الهوائية المسؤولة عن تبادل الغازات (الأكسجين وثاني أكسيد الكربون) مع الشعيرات الدموية في الرئتين.[10] وترتبط المتلازمة بنتائج مرضية قد تشمل الالتهاب الرئوي، والالتهاب الرئوي الالتهاب الرئوي اليوزيني، التهاب القصيبات المسد لذات الرئة المنظم، التأذي السنخي المنتشر، والذي يتميز بالتهاب منتشر في أنسجة الرئة، وعادةً ما ينتج عن تهييج المرض لأنسجة الرئة إطلاق للسيتوكينات وغيرها من دلالات الالتهاب الأخرى التي تُفرزها خلايا النسيج الطلائي والبطانية الغشائية. تهاجر الخلايا المتعادلة وبعض الخلايا اللمفاوية بسرعة إلى أنسجة الرئة الملتهبة، ويظهر في النسيج -بشكل نموذجي- انتشار تأذي الحويصلات وتشكيل الغشاء الزجاجي (الهيالين) في جدرانها.
التشخيص

تغيرت معايير تشخيص متلازمة الضائقة التنفسية الحادة بمرور الوقت بالتزامن مع تطور فهم الفيزيولوجيا المرضية لها، وقد حُدثت معايير الإجماع الدولي المتعلقة بمتلازمة الضائقة التنفسية الحادة مؤخرًا في عام 2012 وصارت تُعرف باسم "تعريف برلين".[11][12] والذي شمل توسيع التشخيص بشكل عام، وتضمن تغييرات ملحوظة لمعايير الإجماع السابقة (عام 1994)،[4] وترك مصطلح "إصابة رؤية حادة"، وتحديد درجات شدة متلازمة الضائقة التنفسية الحادة وفقًا لدرجة النقص في تأكسج الدم. وفقًا لتعريف برلين لعام 2012 ، تتميز متلازمة الضائقة التنفسية الحادة بما يلي:[بحاجة لمصدر]
- إصابة رؤية ذات طبيعة حادة، خلال أسبوع واحد من الإصابة الإكلينيكية الظاهرة يصاحبه تطور أعراض الجهاز التنفسي.
- وجود عتامات على جانبي الصدر (عند تصوير الصدر بالآشعة السينية أو بالتصوير المقطعي المحوسب) لا يمكن تفسيرها بأمراض الرئة الأخرى.
- قصور في الجهاز التنفسي لا يُمكن تفسيره بقصور القلب أو زيادة حجم السوائل.
- انخفاض مؤشر هورويتز حسب الآتي:
- خفيفة: من 300 - 201 مم زئبق (≤ 39.9 كيلو باسكال)
- معتدلة: من 200 - 101مم زئبق (≤ 26.6 كيلو باسكال)
- شديدة: ≤ 100 مم زئبق (≤ 13.3 كيلو باسكال)
- لاحظ أن تعريف برلين يتطلب حدًا أدنى من ضغط نهاية الزفير الإيجابي يبلغ 5 سم ماء.
التصوير الطبي
لطالما كان التصوير الإشعاعي معيارًا لتشخيص متلازمة الضائقة التنفسية الحادة، وقد أكدت التعريفات الأصلية لمتلازمة الضائقة التنفسية الحادة على وجود نتائج علامات على الأشعة السينية حتي يكتمل التشخيص، وقد توسعت معايير التشخيص بمرور الوقت فصارت تقبل نتائج علامات التصوير المقطعي المحوسب والموجات فوق الصوتية كمساهمات متساوية، وتشمل نتائج الموجات فوق الصوتية التي قد توحي بوجود متلازمة الضائقة التنفسية الحادة كل مما يلي:
- الاندمال (التصلب) الأمامي تحت الغشاء البلوري
- غياب أو انخفاض انزلاق الرئة
- "مناطق خالية" من النسيج الطبيعي
- تشوهات الخط الجنبي (غشاء جنبي سميك متفكك غير منتظم)
- توزيع غير متجانس للخطوط ب (علامة مخصصة في الموجات فوق الصوتية توحي بتراكم السوائل في الرئتين). [13]
العلاج
تُعالج متلازمة الضائقة التنفسية الحادة عن طريق التهوية الميكانيكية في وحدة العناية المركزة، والتي تتم عبر الأنبوب الحنجري أو ثقب القصبة الهوائية عند الحاجة لتهوية طويلة الأمد (أكبر من أسبوعين)، ويقتصر دور التهوية الغير باضعة على الفترة المبكرة جدًا من المرض، أو لمنع تفاقم الضائقة التنفسية لدى المصابين بالالتهاب الرئوي اللانموذجي أو رضات الرئة، أو مرضى الجراحات الكبرى المعرضين لخطر الإصابة بمتلازمة الضائقة التنفسية الحادة، كما يتوجه العلاج نحو السبب الأساسي، حيث يُصف المضاد الحيوي في أقرب وقت بعد ظهور نتائج المزرعة، أو عند الاشتباه في وجود عدوى (أيهما أقرب)، وقد يكون العلاج التجريبي مناسبًا إذا كانت المراقبة الميكروبيولوجية المحلية فعالة، أو استئصال مكان أصل العدوى (إن أمكن)، واتباع البروتوكولات المحلية المناسبة عند تشخيص الإنتان.[بحاجة لمصدر]
التهوية الميكانيكية
تهدف التهوية الميكانيكية بشكل عام إلى الحفاظ على تبادل الغازات (في الرئة) لتلبية متطلبات التمثيل الغذائي في الجسم، وتقليل الآثار الضارة من تراكمها، ويُستخدم فيها ضغط نهاية الزفير الإيجابي للحفاظ على الحويصلات الهوائية مفتوحة، وضغط مجرى الهواء متوسط (لتعزيز فتح الحويصلات الهوائية القابلة للطي بسهولة، والتنبؤ بتأثيرات الدورة الدموية) والضغط المستقر (كأفضل مؤشر على التمدد الزائد للحويصلات). [14]
التحكم بالسوائل
أظهرت العديد من الدراسات أن الوظائف الرؤية تكون أفضل في المصابين بمتلازمة الضائقة التنفسية الحادة والذين فقدوا الوزن أو انخفض لديهم الضغط الإسفيني الشعيري الرئوي باستخدام مدرات البول أو تقييد إعطاء السوائل. [8]
الأكسجة الغشائية خارج الجسم
تُستخدم الأكسجة الغشائية خارج الجسم لدعم القلب والرئتين ميكانيكيا لفترات طويلة، ويوجد منها نوعان: وريدية-وريدية، وتوفر دعمًا للتنفس (وهو النوع الذي يخضع له المصابون بمتلازمة الضائقة التنفسية الحادة)، ووريدية شريانية، وتوفر دعمًا للتنفس والجهاز الدوري، وقد أظهرت دراسات متعددة فعالية الأكسجة الغشائية خارج الجسم في حالات فشل الجهاز التنفسي الحاد. [15] [16] [17]
علاجات غير فعالة
اعتبارًا من عام 2019 فقد انعدم وجود دليل يوضح فعالية استخدام العلاجات بمؤثرات السطح أو الستاتين أو حاصرات بيتا أو أسيتيل سيستين. [18]
المآل
يُعد المآل العام لمتلازمة الضائقة التنفسية الحادة ضعيف، حيث تبلغ معدلات الوفيات حوالي 40٪.[18] وتُشكل القيود على ممارسة الرياضة والعواقب الجسدية والنفسية وانخفاض جودة الحياة الجسدية وزيادة التكاليف واستخدام خدمات الرعاية الصحية أهم تبعات متلازمة الضائقة التنفسية الحادة.
انظر أيضا
المراجع
- Fan, E; Brodie, D; Slutsky, AS (20 February 2018). "Acute Respiratory Distress Syndrome: Advances in Diagnosis and Treatment". JAMA. 319 (7): 698–710. doi:10.1001/jama.2017.21907. PMID 29466596. الوسيط
|CitationClass=تم تجاهله (مساعدة) - Matthay, MA; Zemans, RL; Zimmerman, GA; Arabi, YM; Beitler, JR; Mercat, A; Herridge, M; Randolph, AG; Calfee, CS (14 March 2019). "Acute respiratory distress syndrome". Nature Reviews. Disease Primers. 5 (1): 18. doi:10.1038/s41572-019-0069-0. PMID 30872586. الوسيط
|CitationClass=تم تجاهله (مساعدة) - Fanelli, Vito; Ranieri, V. Marco (2015-03-01). "Mechanisms and clinical consequences of acute lung injury". Annals of the American Thoracic Society. 12 Suppl 1: S3–8. doi:10.1513/AnnalsATS.201407-340MG. ISSN 2325-6621. PMID 25830831. الوسيط
|CitationClass=تم تجاهله (مساعدة) - "The American-European Consensus Conference on ARDS. Definitions, mechanisms, relevant outcomes, and clinical trial coordination". Am J Respir Crit Care Med. 149 (3 Pt 1): 818–24. 1994. doi:10.1164/ajrccm.149.3.7509706. PMID 7509706. الوسيط
|CitationClass=تم تجاهله (مساعدة) - Bakowitz, Magdalena (August 2012). "Acute lung injury and the acute respiratory distress syndrome in the injured patient". Scandinavian Journal of Trauma, Resuscitation and Emergency Medicine. 20: 54. doi:10.1186/1757-7241-20-54. PMID 22883052. الوسيط
|CitationClass=تم تجاهله (مساعدة) - Marino (2006), pp 435
- Bakowitz, Magdalena; Bruns, Brandon; McCunn, Maureen (2012-08-10). "Acute lung injury and the acute respiratory distress syndrome in the injured patient". Scandinavian Journal of Trauma, Resuscitation and Emergency Medicine. 20: 54. doi:10.1186/1757-7241-20-54. ISSN 1757-7241. PMID 22883052. الوسيط
|CitationClass=تم تجاهله (مساعدة) - Irwin and Rippe's Intensive Care Medicine (الطبعة 5th). Lippincott Williams & Wilkins. 2003. ISBN 978-0-7817-3548-3. الوسيط
|CitationClass=تم تجاهله (مساعدة) - Melmed 2011
- Boyle, AJ; Mac Sweeney, R; McAuley, DF (August 2013). "Pharmacological treatments in ARDS; a state-of-the-art update". BMC Med. 11: 166. doi:10.1186/1741-7015-11-166. PMID 23957905. الوسيط
|CitationClass=تم تجاهله (مساعدة) - "Acute respiratory distress syndrome: the Berlin Definition. ARDS Definition Task Force". JAMA. 307 (23): 2526–33. Jun 2012. doi:10.1001/jama.2012.5669. PMID 22797452. الوسيط
|CitationClass=تم تجاهله (مساعدة) - "The Berlin definition of ARDS: an expanded rationale, justification, and supplementary material". Intensive Care Med. 38 (10): 1573–82. Oct 2012. doi:10.1007/s00134-012-2682-1. PMID 22926653. الوسيط
|CitationClass=تم تجاهله (مساعدة) Erratum in: Intensive Care Med. 2012 Oct;38(10):1731-2. ببمد 22926653 - Volpicelli, Giovanni; Elbarbary, Mahmoud; Blaivas, Michael; Lichtenstein, Daniel A.; Mathis, Gebhard; Kirkpatrick, Andrew W.; Melniker, Lawrence; Gargani, Luna; Noble, Vicki E. (2012-04-01). "International evidence-based recommendations for point-of-care lung ultrasound". Intensive Care Medicine. 38 (4): 577–591. doi:10.1007/s00134-012-2513-4. ISSN 1432-1238. PMID 22392031. الوسيط
|CitationClass=تم تجاهله (مساعدة) - Malhotra A (2007). "Low-tidal-volume ventilation in the acute respiratory distress syndrome". N Engl J Med. 357 (11): 1113–20. doi:10.1056/NEJMct074213. PMID 17855672. الوسيط
|CitationClass=تم تجاهله (مساعدة) - Makdisi, G; Wang, IW (July 2015). "Extra Corporeal Membrane Oxygenation (ECMO) review of a lifesaving technology". Journal of Thoracic Disease. 7 (7): E166–76. doi:10.3978/j.issn.2072-1439.2015.07.17. PMID 26380745. الوسيط
|CitationClass=تم تجاهله (مساعدة) - Hemmila, MR; Rowe, SA; Boules, TN; Miskulin, J; McGillicuddy, JW; Schuerer, DJ; Haft, JW; Swaniker, F; Arbabi, S (October 2004). "Extracorporeal life support for severe acute respiratory distress syndrome in adults". Annals of Surgery. 240 (4): 595–605, discussion 605–7. doi:10.1097/01.sla.0000141159.90676.2d. PMID 15383787. الوسيط
|CitationClass=تم تجاهله (مساعدة) - Brogan, TV; Thiagarajan, RR; Rycus, PT; Bartlett, RH; Bratton, SL (December 2009). "Extracorporeal membrane oxygenation in adults with severe respiratory failure: a multi-center database". Intensive Care Medicine. 35 (12): 2105–14. doi:10.1007/s00134-009-1661-7. PMID 19768656. الوسيط
|CitationClass=تم تجاهله (مساعدة) - Lewis, Sharon R.; Pritchard, Michael W.; Thomas, Carmel M.; Smith, Andrew F. (July 23, 2019). "Pharmacological agents for adults with acute respiratory distress syndrome". The Cochrane Database of Systematic Reviews. 7: CD004477. doi:10.1002/14651858.CD004477.pub3. ISSN 1469-493X. PMID 31334568. الوسيط
|CitationClass=تم تجاهله (مساعدة)
صور وملفات صوتية من كومنز
- بوابة طب
