ورم الخلايا الحبيبية
ورم الخلايا الحبيبية هو ورم يمكن أن يتطور على أي سطح جلدي أو مخاطي، ولكنه يحدث على اللسان 40% من الوقت.
| ورم الخلايا الحبيبية | |
|---|---|
| Granular cell tumor | |
![]() ورم الخلايا الحبيبية | |
| معلومات عامة | |
| الاختصاص | علم الأورام النسائي ، وطب التوليد والنسائيات ، وعلم الأورام ، وعلم الغدد الصم |
| من أنواع | سرطان المبيض |
_skin.jpg.webp)
المعروف أيضا باسم الورم الأرومي العضلي الخلوي، و ورم غمد الخلايا العصبية،[1] أورام الخلايا الحبيبية (GCTs) تصيب الإناث أكثر من الذكور.[2]
علم الأمراض
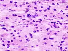
تظهر أورام الخلايا الحبيبية تشابهًا مع الأنسجة العصبية، كما يمكن أن يثبت ذلك من خلال الكيمياء المناعية والأدلة فائقة البنية باستخدام الميكروسكوب الإلكتروني.
قد تظهر أورام الخلايا الحبيبية المتعددة في سياق متلازمة ليوبارد، بسبب طفرة في جين PTPN11.[3]
قد تظهر هذه الأورام في بعض الأحيان مشابهة لأورام الكلى (المتعلقة بالكلى) أو أورام الأنسجة الرخوة الأخرى.
العلاج
الطريقة الأساسية للعلاج هي الجراحية وليست الطبية. ليست هناك حاجة للإشعاع والعلاج الكيميائي للآفات الحميدة وليست فعالة للآفات الخبيثة.
أورام الخلايا الحبيبية الحميدة لديها معدل تكرار من 2% إلى 8% وإذا لم يفد يتم زيادة معدل التكرار إلى 20 ٪. تعتبر الاورام الخبيثة عدوانية ويصعب استئصالها بالجراحة ومعدل تكرارها 32٪.
علم الأوبئة
يمكن أن تؤثر أورام الخلايا الحبيبية على جميع أجزاء الجسم ؛ ومع ذلك، تتأثر مناطق الرأس والرقبة بنسبة 45% إلى 65٪.
من حالات الرأس والرقبة توجد 70% من الاورام داخل الفم ( اللسان، الغشاء المخاطي للفم، الحنك الصلب ).
الموقع الاخر الأكثر شيوعًا الذي توجد فيه الاورام في منطقة الرأس والعنق هو الحنجرة (10٪).[4] كما توجد أورام الخلايا الحبيبية في الأعضاء الداخلية، وخاصة في الجهاز الهضمي العلوي. ورم الخلايا الحبيبية المهبلية نادر بشكل عام.[5]
العرض المعتاد هو سلوك بطيء النمو، مما يشكل تراكمًا متعدد الأضلاع لليزوزومات الثانوية في السيتوبلازم. عادةً ما تكون أورام الخلايا الحبيبية منفردة ونادراً ما تكون أكبر من ثلاثة سنتيمترات. و وُجد أن هذا النوع من الأورام حميد وخبيث، على الرغم من أن الأورام الخبيثة نادرة وتشكل 2% فقط من جميع أورام الخلايا الحبيبية.[6]
انظر أيضا
المراجع
- Rapini, Ronald P.; Bolognia, Jean L.; Jorizzo, Joseph L. (2007). Dermatology: 2-Volume Set. St. Louis: Mosby. صفحات 1796, 1804. ISBN 978-1-4160-2999-1. الوسيط
|CitationClass=تم تجاهله (مساعدة) - "Granular cell tumor | Genetic and Rare Diseases Information Center (GARD) – an NCATS Program". Genetic and rare diseases information center. مؤرشف من الأصل في 27 أكتوبر 2018. اطلع عليه بتاريخ 17 أبريل 2018. الوسيط
|CitationClass=تم تجاهله (مساعدة) - Schrader, KA.; Nelson, TN.; De Luca, A.; Huntsman, DG.; McGillivray, BC. (Feb 2009). "Multiple granular cell tumors are an associated feature of LEOPARD syndrome caused by mutation in PTPN11". Clin Genet. 75 (2): 185–9. doi:10.1111/j.1399-0004.2008.01100.x. PMID 19054014. الوسيط
|CitationClass=تم تجاهله (مساعدة) - Kahn, Michael A. Basic Oral and Maxillofacial Pathology. Volume 1. 2001.
- Danforth's obstetrics and gynecology. Gibbs, Ronald S., 1943-, Danforth, David N. (David Newton), 1912-1990. (الطبعة 10th). Philadelphia: Lippincott Williams & Wilkins. 2008. ISBN 9780781769372. OCLC 187289377. الوسيط
|CitationClass=تم تجاهله (مساعدة)صيانة CS1: آخرون (link) - Fanburg-Smith JC, Meis-Kindblom JM, et al. Malignant granular cell tumor of soft tissue: diagnostic criteria and clinicopathologic correlation. Am J Surg Pathol. Jul 1998;22(7):779-94.
صور وملفات صوتية من كومنز
- بوابة طب
