ورم الغدة الصنوبرية
ورم الغدة الصنوبرية Pinealoma هو ورم حميد عادة في الغدة الصنوبرية. تنتج الغدة الصنوبرية هرمون الميلاتونين الذي يلعب دوراً في تنظيم إيقاع الحياة اليومي. وقد يُعطّلُ ورمُ الغدة الصنوبرية إنتاجَ هذا الهرمون، و يسبب الأرق.[2]
| ورم الغدة الصنوبرية | |
|---|---|
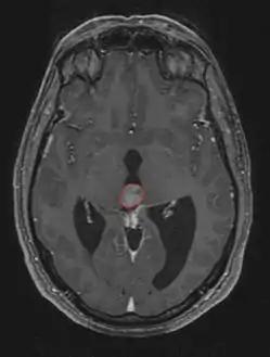
![]() ورم الغدة الصنوبرية ورم الغدة الصنوبرية | |
| معلومات عامة | |
| الاختصاص | علم الأورام |
| من أنواع | سرطان الدماغ |
| الموقع التشريحي | غدة صنوبرية [1] |
وفي كثير من الأحيان، فإن شلل الحملقة نحو الأعلى إلى جانب العديد من النتائج الميكرسكوبية المعروفة بالإجماع أنها متلازمة بارينواد (بالإنجليزية: Parinaud's syndrome) هي الأعراض الفيزيائية الوحيدة المُشاهدة.[3] وهذا يحدث بسبب ضغط مركز الحملقة العمودي في سقف الدماغ الأوسط عند مستوى العصب الثالث القِحفيّ الأُكيْمي الرئيسي. و قد يظهر لدى المرضى أيضاً تشويش حَدَقي وانكماش الجفن (علامة كولر Collier's sign).[4]
قد يسبب ورم الغدة الصنوبرية انقطاع المسارات المُثبطة تحت مهادية، و أحياناً تؤدي إلى إفراز بيتا إتش سي جي (beta-hCG) و تحفيز خلية ليديغ المتسلسلة.
و ثمة أعراض أخرى قد تشمل استسقاء الدماغ، ترنح أو اختلال المشية و البلوغ المبكر.
أسباب المرض
يمكن أن يحدث ورم الغدة الصنوبرية نتيجة تشعّب أو تكاثر الخلايا الصنوبرية الرئيسية (أورام الخلية الصنوبرية، أو الأورام في الخلية الصنوبرية)، أو الخلايا النجميّة (أو أورام الخلايا النجمية) ، أو الخلايا الجرثومية (أو أورام الخلايا الجرثومية[5]). و تُعد الأورام الجرثومية أكثر الأورام شيوعاً في الغدة الصنوبرية.[6]
التشخيص
من بين الأنواع المختلفة لأورام الغدة الصنوبرية، يبرز النوع الأكثر تفضيلاً عند التشخيص و هو ورم الخلية الصنوبرية.[7]
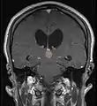
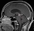
صور إضافية
مراجع
- معرف أنطولوجية المرض: http://www.disease-ontology.org/?id=DOID:5032 — تاريخ الاطلاع: 15 مايو 2019 — الرخصة: CC0
- Deshmukh VR, Smith KA, Rekate HL, Coons S، 2004، "Diagnosis and management of pineocytomas". Neurosurgery 55 (2): 349–55; discussion 355–7
- Medscape: Medscape Access نسخة محفوظة 16 أكتوبر 2008 على موقع واي باك مشين.
- Gaspar N, Verschuur A, Mercier G, Couanet D, Sainte-Rose C, Brugières L (September 2003). "Reversible hearing loss associated with a malignant pineal germ cell tumor. Case report". J. Neurosurg. 99 (3): 587–90
- Wolters Kluwer Health - Article Landing Page
- An Error Occurred Setting Your User Cookie نسخة محفوظة 2020-09-16 على موقع واي باك مشين.
- NCBI - WWW Error Blocked Diagnostic نسخة محفوظة 15 يوليو 2009 على موقع واي باك مشين.
- بوابة طب


