ورم الغدة العرقية
ورم الغدة العرقية (بالإنجليزية: Spiradenoma) (المعروف أيضًا بالورم الغدي المفرز للعرق[1][2] أو الورم الغدي العرقي الناتح[3]) هو حالة جلدية تتميز سريريا تماما بعقيدة جلدية غائرة وحيدة حوالي واحد سنتيمتر تحدث في السطح البطناني من الجسم،[4]:666[5] وتعتبر آفات الورم الغدي العرقي أوراما عرقية حميدة،[6] وقد وصفت أيضا بأنها سرطان طلائي كيسي للغدد العرقية.[7]
| ورم الغدة العرقية | |
|---|---|
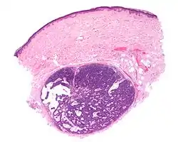
![]() صورة مجهرية لورم الغدة العرقية بصبعة H&E صورة مجهرية لورم الغدة العرقية بصبعة H&E | |
| معلومات عامة | |
| الاختصاص | علم الأورام ، وطب الجلد |
انظر أيضًا
مراجع
- Paul Gerson Unna (1896). The Histopathology of the diseases of the skin. Macmillan. صفحات 805–. مؤرشف من الأصل في 25 يناير 2020. اطلع عليه بتاريخ 11 سبتمبر 2012. الوسيط
|CitationClass=تم تجاهله (مساعدة) - Smith Ely Jelliffe & Caroline Wormeley Latimer (1916). Appleton's medical dictionary. D. Appleton and company. صفحة 771. مؤرشف من الأصل في 25 يناير 2020. اطلع عليه بتاريخ 11 سبتمبر 2012. الوسيط
|CitationClass=تم تجاهله (مساعدة) - article/1062079 في موقع إي ميديسين
- James, William D.; Berger, Timothy G.; et al. (2006). Andrews' Diseases of the Skin: clinical Dermatology. Saunders Elsevier. ISBN 0-7216-2921-0. الوسيط
|CitationClass=تم تجاهله (مساعدة) - Rapini, Ronald P.; Bolognia, Jean L.; Jorizzo, Joseph L. (2007). Dermatology: 2-Volume Set. St. Louis: Mosby. ISBN 1-4160-2999-0. الوسيط
|CitationClass=تم تجاهله (مساعدة) - Reinhard Dummer (29 October 2010). Skin Cancer - a World-wide Perspective. Springer. صفحات 135–. ISBN 978-3-642-05071-8. مؤرشف من الأصل في 25 يناير 2020. اطلع عليه بتاريخ 03 مايو 2011. الوسيط
|CitationClass=تم تجاهله (مساعدة) - Taber's Cyclopedic Medical Dictionary. F.A. Davis Company. 18 February 2009. صفحات 2176. الوسيط
|CitationClass=تم تجاهله (مساعدة); تحقق من التاريخ في:|year= / |date= mismatch(مساعدة)
- بوابة طب
في كومنز صور وملفات عن: ورم الغدة العرقية
This article is issued from Wikipedia. The text is licensed under Creative Commons - Attribution - Sharealike. Additional terms may apply for the media files.
