ورم جلدي أسطواني الخلايا
في علم الأمراض الجلدية ورم جلدي ناتح أسطواني الخلايا (بالإنجليزية: Dermal cylindroma) ويُسمى أيضًا ورم جلدي أسطواني ناتح[1] كما يطلق عليه (بتحديد أقل) ورم أسطواني، هو ورم حميد ملحق[2] يظهر في فروة الرأس والجبين حيث تترتب العديد من الأورام الجلدية الأسطوانية كقبعة.
| ورم جلدي أسطواني الخلايا | |
|---|---|
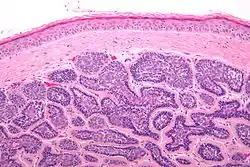
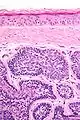
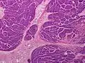
![]() صورة مجهرية للورم الجلدي الأسطواني. صورة مجهرية للورم الجلدي الأسطواني. | |
فعدد من الأورام الجلدية الأسطوانية قد تنمو معا مكونة شكل قبعة وأحيانًا يشار اليه بورم العمامة،[3] وتعتبر الأورام الجلدية الأسطوانية خللًا غير شائع في تنسج ملحقات الجلد.[4]
علم الأنسجة
الأورام الجلدية الأسطوانية هي:
- آفات جلدية تتكون من أعشاش من الخلايا التي يحيط بها الهيالين (وهو عبارة عن مواد زجاجية ويوزينية ولا خلوية) ولها:
- أنوية مفرطة الانصباغ تشكل سياجا (أنوية عمودية مرتبة حول محيط أعشاش الخلايا بحيث تكون محاورها القصيرة مماسة لمحيط العش)
- خلايا ذات أنوية بيضاوية فاتحة الانصباغ تقع في المركز.
تفتقر إلى عدد كبير من الخلايا الليمفاوية، وهذا ما يميزها عن الورم الغدي العرقي.
معرض صور
انظر أيضًا
مراجع
- James, William D.; Berger, Timothy G.; et al. (2006). Andrews' Diseases of the Skin: clinical Dermatology. Saunders Elsevier. ISBN 0-7216-2921-0. الوسيط
|CitationClass=تم تجاهله (مساعدة) - "Cylindroma" في معجم دورلاند الطبي
- "Cylindroma: Background, Pathophysiology, Epidemiology". مؤرشف من الأصل في 8 أكتوبر 2017. الوسيط
|CitationClass=تم تجاهله (مساعدة); Cite journal requires|journal=(مساعدة) - Cylindroma في موقع إي ميديسين
- بوابة طب
ورم جلدي أسطواني الخلايا في المشاريع الشقيقة
صور وملفات صوتية من كومنز
This article is issued from Wikipedia. The text is licensed under Creative Commons - Attribution - Sharealike. Additional terms may apply for the media files.




