ورم النسيج المرن الليفي الحليمي
ورم النسيج المرن الليفي الحليمي (بالإنجليزية: Papillary fibroelastoma) هو أحد أورام القلب الأولية الذي يُصيب غالباً أحد صمامات القَلب، ويُعتبر هذا الوَرم من الأورام النادِرة، حيثُ يُشكل حوالي 10% من أورام القلب الأولية،[1] كما يُعتبر ثالث أكثر أنواع أورام القلب الأولية بَعد الأورام المخاطية وَالشَحمية.[2]
| ورم النسيج المرن الليفي الحليمي | |
|---|---|
| معلومات عامة | |
| الاختصاص | علم الأورام ، وطب القلب |
| من أنواع | أورام القلب الأولية |


التشخيص
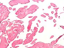
يتم إيجاد وَتَشخيص ورم النسيج المرن الليفي الحليمي عادةً عن طَريق التصوير التشخيصي الطبي، ويتم تَأكيد التشخيص عن طريق علم الأمراض، أما في علم الأنسجة فإنَّ ورم النسيج المرن الليفي الحليمي يمتلك حليمات مُتفرعة لا وعائية تتكون مِن كولاجين، وتكون مُغطاة ببطانة غشائية.
الأعراض
يُعتبر ورم النسيج المرن الليفي الحليمي من الأورام الحَميدة،[3] ولكن انسداد تَدفق الدم قد يَترافق مع حُدوث إغماء[4] وَذبحة صدرية وَنوبة قلبية وَسكتة دماغية،[5][6] وَقد يؤدي إلى توقف فجائي للقلب.
غالباً ما تكون أعراض ورم النسيج المرن الليفي الحليمي ناجمة عن الآثار الميكانيكية للوَرم أو نتيجةً انصِمام جُزء من الوَرم إلى أعضاء بعيدة، وبشكل خاص، فإنَّ الذبحة الصدرية والإغماء قد تحدث نتيجة انسداد مؤقت للشريان التاجي الرئيسي الأيسر عن طريق الوَرم،[7] أما النوبة القلبية وتوقف القَلب فقد يحدث نتيجةً للانصمام جزء من الورم إلى الشريان التاجي.[8]
العلاج
إذا تم العُثور على الوَرم عن طريق الصُدفة في شَخص لا يُظهر أي أعراض لوجود الوَرم، فإنَّ طريقة العلاج في هذه الحالة خلافية ومحل للجدل بين الأطباء،[9] أما في حال كانَ الورم كَبير وَمُسَّوق فإنه يتم إجراء عملية جراحية لاستئصال الوَرم وذلك لتجنب ظُهور الأعراض ولخفض خطر حدوث الانسداد، وبالرغم من ذلك فإنَّ هذه الطريقة العلاجية مَحل خلاف أيضاً.[10]
أما إذا كان ورم النسيج المرن الليفي الحليمي يُظهر الأعراض، فإنَّه من المُوصى به إجراء عملية الاستئصال الجراحية بهدف تخفيف الأعراض، وهُناك بعض الحالات يتم التعامل معها بِشكل خاص،[11] مثلاً إذا كان الورم مُتضمن الصمام الأبهري فإنَّه يتم إزالة الوَرم من غير إزالة الصَمام (أي لا حاجة لاستبدال الصمام بصمام صناعي).[12][13]
المراجع
- Palecek T, Lindner J, Vitkova I, Linhart A (2008). "Papillary Fibroelastoma Arising from the Left Ventricular Apex Associated with Nonspecific Systemic Symptoms". Echocardiography. 25 (5): 526–8. doi:10.1111/j.1540-8175.2007.00617.x. PMID 18177380. الوسيط
|CitationClass=تم تجاهله (مساعدة) - Matsumoto N, Sato Y, Kusama J, Matsuo S, Kinukawa N, Kunimasa T, Ichiyama I, Takahashi H, Kimura S, Orime Y, Saito S (2007). "Multiple papillary fibroelastomas of the aortic valve: case report". Int J Cardiol. 122 (1): e1–3. doi:10.1016/j.ijcard.2006.11.026. PMID 17196273. الوسيط
|CitationClass=تم تجاهله (مساعدة) - Kumbala D, Sharp T, Kamalesh M (2008). ""Perilous pearl"--papillary fibroelastoma of aortic valve: a case report and literature review". Angiology. 59 (5): 625–8. doi:10.1177/0003319707305986. PMID 18388078. مؤرشف من الأصل في 16 ديسمبر 2019. الوسيط
|CitationClass=تم تجاهله (مساعدة) - Maestroni A, Zecca B, Triggiani M (2006). "Cardiac papillary fibroelastoma presenting with acute coronary syndrome and syncope". Acta Cardiol. 61 (3): 363–5. doi:10.2143/AC.61.3.2014843. PMID 16869462. الوسيط
|CitationClass=تم تجاهله (مساعدة) - Liebeskind DS, Buljubasic N, Saver JL (2001). "Cardioembolic stroke due to papillary fibroelastoma". J Stroke Cerebrovasc Dis. 10 (2): 94–5. doi:10.1053/jscd.2001.24654. PMID 17903807. الوسيط
|CitationClass=تم تجاهله (مساعدة) - Kalavakunta, Jagadeesh K.; Peddi, Prashanth; Bantu, Viswaroop; Tokala, Hemasri; Kodenchery, Mihas (2010-09-01). "Lambl's excrescences: a rare cause of stroke". The Journal of Heart Valve Disease. 19 (5): 669–670. ISSN 0966-8519. PMID 21053748. الوسيط
|CitationClass=تم تجاهله (مساعدة) - Kalavakunta, Jagadeesh K.; Martin, David; Gupta, Vishal (2011-01-01). "A rare location and presentation of papillary fibroelastoma". The American Heart Hospital Journal. 9 (2): 114–115. ISSN 1541-9215. PMID 24839649. الوسيط
|CitationClass=تم تجاهله (مساعدة) - Takada A, Saito K, Ro A, Tokudome S, Murai T (2000). "Papillary fibroelastoma of the aortic valve: a sudden death case of coronary embolism with myocardial infarction". Forensic Sci Int. 113 (1–3): 209–14. doi:10.1016/S0379-0738(00)00207-3. PMID 10978627. الوسيط
|CitationClass=تم تجاهله (مساعدة) - Mutlu H, Demir IE, Leppo J, Levy WK (2008). "Nonsurgical Management of a Left Ventricular Pedunculated Papillary Fibroelastoma: A Case Report". J Am Soc Echocardiogr. 21 (7): 877.e4–7. doi:10.1016/j.echo.2007.10.001. PMID 18191538. الوسيط
|CitationClass=تم تجاهله (مساعدة) - Boodhwani M, Veinot JP, Hendry PJ (2007). "Surgical approach to cardiac papillary fibroelastomas". Can J Cardiol. 23 (4): 301–2. doi:10.1016/S0828-282X(07)70759-6. PMC 2647888. PMID 17380224. الوسيط
|CitationClass=تم تجاهله (مساعدة) - Kim RW, Jeffery ME, Smith MJ, Wilensky RL, Woo EY, Woo YJ (2007). "Minimally invasive resection of papillary fibroelastoma in a high-risk patient". J Cardiovasc Med. 8 (8): 639–41. doi:10.2459/01.JCM.0000281694.01986.ab. PMID 17667039. الوسيط
|CitationClass=تم تجاهله (مساعدة) - Westhof FB, Chryssagis K, Liangos A, Batz G, Diegeler A (2007). "Aortic valve leaflet reconstruction after excision of a papillary fibroelastoma using autologous pericardium". Thorac Cardiovasc Surg. 55 (3): 204–7. doi:10.1055/s-2006-924439. PMID 17410513. الوسيط
|CitationClass=تم تجاهله (مساعدة) - Hsu VM, Atluri P, Keane MG, Woo YJ (2006). "Minimally invasive aortic valve papillary fibroelastoma resection". Interact Cardiovasc Thorac Surg. 5 (6): 779–81. doi:10.1510/icvts.2006.133702. PMID 17670711. الوسيط
|CitationClass=تم تجاهله (مساعدة)
- بوابة طب
صور وملفات صوتية من كومنز