ورم بانكوست
ورم بانكوست المسمى أيضاً بوَرَمُ التَّلْمِ الرِّئَوِيّ وهو ورم ينشأ من قمة الرئة. يُعرَّف في الأساس بناءً على مكانه في قمة الرئة اليمنى أو اليسرى. وينتشر في الغالب للأنسجة المحيطة مثل الضلوع والفقرات. الغالبية العظمى من أورام بانكوست تكون من نوع سرطان الرئة ذو الخلايا غير الصغيرة.
| ورم بانكوست | |
|---|---|
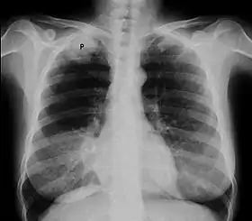
![]() صورة بالأشعة السينية على الصدر يبين ورم بانكوست ( موضح بحرف P ، سرطان الرئة ذو الخلايا غير الصغيرة، الرئة اليمنى) لرئة امرأة مدخنة تبلغ من العمر 47 عاماً. صورة بالأشعة السينية على الصدر يبين ورم بانكوست ( موضح بحرف P ، سرطان الرئة ذو الخلايا غير الصغيرة، الرئة اليمنى) لرئة امرأة مدخنة تبلغ من العمر 47 عاماً. | |
| معلومات عامة | |
| الاختصاص | علم الأورام |
| من أنواع | سرطان الرئة |
الورم أثناء نموه من الممكن أن يضغط على الوريد العضدي الرأسي، الشريان تحت الترقوة، العصب الحجابي، العصب الحنجري الراجع، العصب الحائر أو، بشكل مميز، قد يضغط على عقدة ودية مما يؤدى إلى مجموعة من الأعراض المعروفة باسم متلازمة هورنر.
تم تسمية الورم نسبة لهنري بانكوست طبيب الأشعة الأمريكي والذي وصفه في عامي 1924 و 1932.[1]
الأعراض
بعيداً عن الأعراض العامة لأي سرطان والتي تشمل هبوط، فقدان الوزن، حمَّى. في الحالات التقدمية، تتأثر الضفيرة العضدية أيضا، مما يسبب ألماً وضعفاً في عضلات الذراع واليد مع الأعراض النموذجية لمتلازمة مخرج الصدر. يمكن للورم أيضا ضغط على العصب الحنجري الراجع ومن هذا قد يحدث صوتا والأبقار أجش السعال
في حالة متلازمة الوريد الاجوف العلوي، انسداد الوريد الأجوف العلوي بواسطة ورم (بتأثير الكتلة) يؤدي لانتفاخ الوجه، زرقة، وانتفاخ أوردة الوجه والرقبة.
ورم بانكوست هو ورم قمي عادة ما يرتبط بوجود تاريخ تدخين. العلامات والأعراض أثناء الفحص السريري قد يمكن الخلط بينها وبين ال وعائية عصبية على مستوى فتحة الصدر العلوية. تاريخ المريض التدخيني، سرعة ظهور علامات وأعراض سريرية والألم الجنبي قد يدل على ووجود ورم قمي. من الممكن أن يؤدي ورم بانكوست إلى كل من متلازمة بانكوست ومتلازمة هورنر. عندما يتعلق الأمر بجذور الضفيرة العضدية فإنه سوف يُنتِج متلازمة بانكوست. إصابة الألياف العصبية الودية عند خروجها من الحبل الشوكي عند الفقرة الصدرية الأولى وأثناء صعودها إلى العقدة الرقبية العلوية سوف تنتج متلازمة هورنر.
العلاج
قد يختلف علاج ورم بانكوست عن بقية سرطانات الرئة ذات الخلايا غير الصغيرة. فموقعه وقربه الشديد من تراكيب حيوية مثل الحبل الشوكي والأعصاب يجعلان من الجراحة أمراً صعباً. و نتيجة لذلك، واعتماداً على مرحلة السرطان فقد يتم إعطاء علاج إشعاعي وكيميائي للمريض قبل إجراء الجراحة.
قد تشمل الجراحة إزالة الفص العلوي من الرئة مع الأعضاء المجاورة كالشريان والوريد تحت الترقوة، فروع من الضفيرة العضدية، أضلع وأجسام فقرات، وأيضاً إزالة العقد الليمفاوية. الوصول الجراحي قد يكون عن طريق بضع الصدر من الخلف[2] أو من الأمام[3] وتعديلاتهما.[4]
مسح بالأشعة المقطعية يُظهِر ورم بانكوست ( موضَّح بحرف P، سرطان الرئة ذو الخلايا غير الصغيرة، الرئة اليمنى) لرئة امرأة مدخنة تبلغ من العمر 47 عاماً.
المراجع
- synd/2953 على قاموس من سمى هذا؟
- "Results of bronchoplastic procedures for bronchogenic carcinoma". Ann. Surg. 151: 729–40. May 1960. doi:10.1097/00000658-196005000-00013. PMC 1613696. PMID 14431029. الوسيط
|CitationClass=تم تجاهله (مساعدة) - "Anterior transcervical-thoracic approach for radical resection of lung tumors invading the thoracic inlet". J. Thorac. Cardiovasc. Surg. 105 (6): 1025–34. June 1993. PMID 8080467. الوسيط
|CitationClass=تم تجاهله (مساعدة) - Nazari S (August 1996). "Transcervical approach (Dartevelle technique) for resection of lung tumors invading the thoracic inlet, sparing the clavicle". J. Thorac. Cardiovasc. Surg. 112 (2): 558–60. doi:10.1016/s0022-5223(96)70296-9. PMID 8751536. مؤرشف من الأصل في 16 ديسمبر 2019. الوسيط
|CitationClass=تم تجاهله (مساعدة)
"Transmanubrial osteomuscular sparing approach for apical chest tumors". Ann. Thorac. Surg. 63 (2): 563–6. February 1997. doi:10.1016/S0003-4975(96)01023-5. PMID 9033349. مؤرشف من الأصل في 16 يونيو 2018. الوسيط|CitationClass=تم تجاهله (مساعدة)
Anterior Access for radical resection of Pancoast tumors على يوتيوب
- بوابة طب
- بوابة علم الأحياء الخلوي والجزيئي
وصلات خارجية
- Pancoast Tumor في موقع إي ميديسين
- Pancoast Tumor UCSD-Xray
- Pulmonary sulcus tumor entry in the public domain NCI Dictionary of Cancer Terms
- Pancoast Tumor (NSCLC) Radiographs, CT, and PET MedPix
- 5 min. video Pancoast Tumors
صور وملفات صوتية من كومنز
