ورم جذع الدماغ الدبقي
ورم دبقي في جذع الدماغ[2] أو ورم جذع الدماغ الدبقي (بالإنجليزية: Brainstem glioma) هو ورم دبقي سرطاني في جذع الدماغ، ويُشخص عادةً 75% بالأطفال والبالغين دون سن العشرين، ولكن وُجد أنه يؤثر على كبار السن أيضًا.[3] يبدأ هذا الورم من أنسجة الدماغ أو الحبل الشوكي، ثم يمتد عادةً في جميع أنحاء الجهاز العصبي.[4]
| ورم جذع الدماغ الدبقي | |
|---|---|
![]() ورم دبقي في جذع الدماغ. صورة رنين مغناطيسي محورية مع مادة تباين ورم دبقي في جذع الدماغ. صورة رنين مغناطيسي محورية مع مادة تباين | |
| معلومات عامة | |
| الاختصاص | علم الأورام |
| من أنواع | سرطان جذع الدماغ ، وورم دبقي ، وورم دبقي في الدماغ |
| الموقع التشريحي | جذع الدماغ [1] |
العلامات والأعراض
_-_Fonc-02-00205-g003_D_(cropped).jpg.webp)
يُوجد عددٌ من الأعراض لهذا الورم، ومنها:
- عدم التحكم في الوجه (تدلي الجفون)
- رؤية مزدوجة
- الصداع أو الصداع الذي يتحسن بعد القيء
- قيء وغثيان
- ضعف وتعب
- نوباتٍ تشنجية
- اضطرابات في التوازن
- خدرٌ في الوجه
قد تتطور الأعراض ببطءٍ وبالخفاء وقد تمر دون أن يُلاحظها أحد لعدة أشهر. في حالاتٍ أُخرى، قد تظهر الأعراض بشكل مفاجئ. ظهور الأعراض بشكل مفاجئ يميل للحدوث في الأورام المُتقدمة سريعة النمو.[بحاجة لمصدر]
الأسباب
لا يزال سبب هذا الورم مجهولًا حتى الآن، ولم تجد الأبحاث أي صلةٍ وراثية مباشرة في هذا الورم.
التشخيص
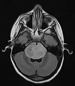
يُعتبر التصوير العصبي (مثل التصوير بالرنين المغناطيسي) الأداة الرئيسية لتشخيص الأورام الدبقية في جذع الدماغ. في حالاتٍ نادرة جدًا، قد يتم إجراء جراحة وخزعة.

العلاج
على عكس معظم أورام جذع الدماغ، فإنَّ الأورام الدبقية في جذع الدماغ في كثيرٍ من الأحيان لا تُعالج بالجراحة العصبية؛ وذلك بسبب المضاعفات التي قد تحصل في أجزاءٍ حيوية من الدماغ. عادةً تُعالج بالعلاج الكيميائي و/أو العلاج بالأشعة (على الرغم من أن الاستخدام السابق للعلاج الإشعاعي قد حقق نتائج مُختلطة).[5]
على الرغم من هذا، إلا أنَّ هذه العلاجات تُسبب آثارًا جانبية، غالبًا ما تكون غثيان وتعب وانهيار في الجهاز المناعي، كما قد يحدث تساقطٌ للشعر من العلاج الكيميائي والإشعاعي، ولكن عادةً ما ينمو مرةً أخرى بعد توقف العلاج الكيميائي. قد تكون هناك حاجةً إلى الستيرويدات مثل الديكساميثازون لعلاج التورم في الدماغ، ولكن قد يؤدي الديكساميثازون إلى زيادةٍ في الوزن والعدوى. قد يعاني المرضى أيضًا من نوباتٍ تشنجية، والتي تحتاج إلى علاجٍ لتجنب المضاعفات. بالنسبة لبعض المرضى، هناك احتمالٌ لحدوث انهيارٍ عصبي؛ والذي قد يشمل الارتباك وفقدان الذاكرة.
استعمال التوبوتيكان لا زال تحت البحث.[6]
هناك العديد من التجارب السريرية الجديدة. إحدى هذه التجارب هي العلاج المناعي للخلايا الجذعية، والذي يستخدم خلايا الورم للمريض وخلايا الدم البيضاء لإنتاج علاجٍ كيميائي يهاجم الورم مباشرةً.[بحاجة لمصدر]
المآل
ورم جذع الدماغ الدبقي هو سرطانٌ عدواني وخطير. بدون علاجٍ، يكون متوسط العمر المتوقع عادةً بضعة أشهر من وقت التشخيص، أما مع العلاج المناسب، فإنهُ 37% نسبة البقاء على قيد الحياة لأكثر من سنةٍ واحدة، 20% نسبة البقاء على قيد الحياة لمدة سنتين، و13% نسبة البقاء على قيد الحياة لمدة 3 سنوات. هذا ليس لجميع أورام جذع الدماغ، وهذه الإحصائية حول الورم الدبقي الجسري الداخلي المنتشر (DIPG). هناك أورامٌ دبقية أُخرى في جذع الدماغ.[7]
الأبحاث
تحليل أنسجة الورم
وتشمل:[8]
- المركز الطبي الوطني للأطفال، واشنطن العاصمة: تحليل بروتيني شامل (التنميط البروتي) للأورام الدبقية في الأطفال باستخدام أنسجة البرافين المُدمجة.
- مركز ميموريال سلون كيترينج للسرطان: فرضيتنا هي أن الكشف عن التغيرات الجينية للأورام الدبقية المنتشرة المرتشحة أو الأورام الدبقية الجسرية الداخلية المنتشرة، سيؤدي إلى تحسين فهم بيولوجيا هذه الأورام، والتعرف على الخيارات العلاجية المُحسنة.[9]
- المعاهد الوطنية للصحة: تحليل الحمض النووي الريبوزي منزوع الأكسجين (DNA) لعينات أنسجة الورم باستخدام كُتل البارافين المُدمج من المرضى الذين يعانون من الورم الدبقي الجسري المنتشر.
- مستشفى سانت جود لبحوث الأطفال: هدفنا هو إجراء تحليل وراثي واسع النطاق لعينات الورم التي تم الحصول عليها من المرضى الذين يعانون من الورم الدبقي الجسري الداخلي المنتشر.[10]
- مستشفى سانت جود لبحوث الأطفال: اكتشف مشروع التسلسل الجيني طفرات مرتبطة بأورام الدماغ القاتلة لدى الأطفال الصغار.[11][12]
- مركز جونسون الشامل للسرطان في جامعة كاليفورنيا: يستخدم نظامًا جديدًا من الألماس النانوي لإيصال أدوية العلاج الكيميائي مباشرةً إلى أورام الدماغ.[13]
- مركز يوتي ساوثرنويسترن الطبي: حدد الباحثون مفتاحًا يتحكم في نمو معظم خلايا ورم الدماغ العدوانية.[14]
- معهد أبحاث السرطان، لندن: قد يكون الخلل الوراثي مفتاحًا لسرطان الأورام القاتلة في مرحلة الطفولة.[15][16]
- باتريك كوفرور، أستاذ ومدير وحدة الكيمياء الفيزيائية والتكنولوجيا الدوائية والعلاج الحيوي في جامعة باريس سود في فرنسا: مكافحة السرطان باستخدام التكنولوجيا النانوية.[17]
- مستشفى الأطفال المرضى في تورنتو، كندا: علم الوراثة لدم الأطفال المُصابين بأورام جذع الدماغ الدبقية.
- جامعة كاليفورنيا، سان فرانسيسكو: تطور الجهاز العصبي المركزي وتشكل الأورام الدبقية في جذع الدماغ.
- المركز الطبي لجامعة في يو، أمستردام (هولندا): تنفيذ بروتوكول متعدد المؤسسات لتشريح الورم الدبقي الجسري المنتشر (ببمد 22845849).
أبحاث التصوير الطبي
وتشمل:[8]
- مستشفى الأطفال في لوس أنجلوس: دراسة تجريبية|التنبؤ بالاستجابة للعلاج الإشعاعي من خلال تقييم مستويات الكولين مع التنظير الطيفي الرنيني المغناطيسي (MRS) قبل وبعد العلاج الإشعاعي.
- أطفال لوس أنجلوس: دراسة تصويرية|تأثير الستيرويدات على أيض الأورام (بحث حيواني).
- سجل الورم الدبقي الجسري الداخلي المنتشر (DIPG).[18]
انظر أيضًا
المراجع
- معرف أنطولوجية المرض: http://www.disease-ontology.org/?id=DOID:4202 — تاريخ الاطلاع: 15 مايو 2019 — الرخصة: CC0
- "Al-Qamoos القاموس - English Arabic dictionary / قاموس إنجليزي عربي". www.alqamoos.org. مؤرشف من الأصل في 16 ديسمبر 2019. اطلع عليه بتاريخ 11 يونيو 2019. الوسيط
|CitationClass=تم تجاهله (مساعدة) - Landolfi, Joseph (30 يونيو 2009). "Brainstem Gliomas". eMedicine. مؤرشف من الأصل في 4 أكتوبر 2017. اطلع عليه بتاريخ 15 أغسطس 2010. الوسيط
|CitationClass=تم تجاهله (مساعدة) - Salmaggi A, Fariselli L, Milanesi I, et al. (فبراير 2008). "Natural history and management of brainstem gliomas in adults. A retrospective Italian study". J. Neurol. 255 (2): 171–7. doi:10.1007/s00415-008-0589-0. PMID 18293027. الوسيط
|CitationClass=تم تجاهله (مساعدة) - Broniscer A, Laningham FH, Kocak M, et al. (مارس 2006). "Intratumoral hemorrhage among children with newly diagnosed, diffuse brainstem glioma". Cancer. 106 (6): 1364–71. doi:10.1002/cncr.21749. PMID 16463390. الوسيط
|CitationClass=تم تجاهله (مساعدة) - Sanghavi SN, Needle MN, Krailo MD, Geyer JR, Ater J, Mehta MP (January 2003). "A phase I study of topotecan as a radiosensitizer for brainstem glioma of childhood: first report of the Children's Cancer Group-0952". Neuro-oncology. 5 (1): 8–13. doi:10.1215/15228517-5-1-8. PMC 1920667. PMID 12626128. مؤرشف من الأصل في 27 مايو 2020. اطلع عليه بتاريخ أغسطس 2020. الوسيط
|CitationClass=تم تجاهله (مساعدة); تحقق من التاريخ في:|تاريخ الوصول=(مساعدة) - "DIPG (Diffuse Intrinsic Pontine Glioma) Facts". thecurestartsnow.org. مؤرشف من الأصل في 14 مايو 2013. اطلع عليه بتاريخ 26 مايو 2013. الوسيط
|CitationClass=تم تجاهله (مساعدة) - just host. "Welcome justonemoreday.org - Justhost.com". justonemoreday.org. مؤرشف من الأصل في 6 أكتوبر 2018. الوسيط
|CitationClass=تم تجاهله (مساعدة) - "Milestone Clinical Trial for DIPG Approved". Weill Cornell Brain and Spine Center. مؤرشف من الأصل في 18 مايو 2013. الوسيط
|CitationClass=تم تجاهله (مساعدة) - "Error". cancer.gov. الوسيط
|CitationClass=تم تجاهله (مساعدة)[وصلة مكسورة] - "Gene sequencing project discovers mutations tied to deadly brain tumors in young children". medicalxpress.com. مؤرشف من الأصل في 4 مارس 2016. الوسيط
|CitationClass=تم تجاهله (مساعدة) - "Hair Loss Caused by Stress and Trauma". surethik.com. مؤرشف من الأصل في 4 يوليو 2017. اطلع عليه بتاريخ أكتوبر 2020. الوسيط
|CitationClass=تم تجاهله (مساعدة); تحقق من التاريخ في:|تاريخ الوصول=(مساعدة) - "New system uses nanodiamonds to deliver chemotherapy drugs directly to brain tumors". phys.org. مؤرشف من الأصل في 3 يناير 2017. الوسيط
|CitationClass=تم تجاهله (مساعدة) - "Researchers identify a switch that controls growth of most aggressive brain tumor cells". phys.org. مؤرشف من الأصل في 3 يونيو 2019. الوسيط
|CitationClass=تم تجاهله (مساعدة) - "Genetic flaw may hold key to deadly childhood brain tumour". medicalxpress.com. مؤرشف من الأصل في 4 مارس 2016. الوسيط
|CitationClass=تم تجاهله (مساعدة) - ""Uni Strand" Strip method". surehair.com. مؤرشف من الأصل في 23 نوفمبر 2015. الوسيط
|CitationClass=تم تجاهله (مساعدة) - European Patent Office. "EPO - Fighting cancer with nanotechnology". epo.org. مؤرشف من الأصل في 6 مايو 2019. الوسيط
|CitationClass=تم تجاهله (مساعدة) - Registry Research | DIPG Registry نسخة محفوظة 2013-06-19 على موقع واي باك مشين.
مراجع إضافية
- Foer, Dana R, and Paul G. Fisher. "Brain Stem Gliomas in Childhood." Brain Tumor Types and Imaging. The Childhood Brain Tumor Foundation. 23 Oct. 2008.
- "Brain Stem Gliomas." Brain Tumor Society. 25 Oct. 2008.
- "Brain Stem Glioma." Tumor Types. National Brain Tumor Foundation. 25 Oct. 2008.
- Landolfi, Joseph, and Anita Venkataramana. "Brainstem Gliomas : Article by Joseph Landolfi." eMedicine (Aug. 29 2006): 24 Oct. 2008.
- Phuphanich, Surasak. "Immunotherapy for Patients With Brain Stem Glioma and Glioblastoma." 1 Dec. 2007. ClinicalTrials.gov. 23 Oct. 2008.
- بوابة طب
صور وملفات صوتية من كومنز
